Revision 2

#53775

Store at -20C

CST Logo
Orders:

877-616-CELL (2355)

[email protected]

Support:

877-678-TECH (8324)

3 Trask Lane | Danvers | Massachusetts | 01923 | USA

For Research Use Only. Not for Use in Diagnostic Procedures.

Applications:
W, IHC-P, IF-IC, FC-FP

Reactivity:
H M R Mk

Sensitivity:
Endogenous

MW (kDa):
17

Source/Isotype:
Rabbit IgG

UniProt ID:
#P68431

Entrez-Gene Id:
8350

Product Usage Information

This product is the carrier free version of product #4909. All data were generated using the same antibody clone in the standard formulation which contains BSA and glycerol.

This formulation is ideal for use with technologies requiring specialized or custom antibody labeling, including fluorophores, metals, lanthanides, and oligonucleotides. It is not recommended for ChIP, ChIP-seq, CUT&RUN or CUT&Tag assays. If you require a carrier free formulation for chromatin profiling, please contact us. Optimal dilutions/concentrations should be determined by the end user.

BSA and Azide Free antibodies are quality control tested by size exclusion chromatography (SEC) to determine antibody integrity.

Formulation

Supplied in 1X PBS (10 mM Na2HPO4, 3 mM KCl, 2 mM KH2PO4, and 140 mM NaCl (pH 7.8)). BSA and Azide Free.

For standard formulation of this product see product #4909

Storage

Store at -20°C. This product will freeze at -20°C so it is recommended to aliquot into single-use vials to avoid multiple freeze/thaw cycles. A slight precipitate may be present and can be dissolved by gently vortexing. This will not interfere with antibody performance.

Specificity/Sensitivity

Tri-Methyl-Histone H3 (Lys36) (D5A7) Rabbit Monoclonal Antibody (BSA and Azide Free) detects endogenous levels of histone H3 only when tri-methylated on Lys36. This antibody does not cross-react with non-methylated, mono-methylated, or di-methylated Lys36. In addition, this antibody does not cross-react with histone H3 methylated at Lys4, Lys9, Lys27 or histone H4 methylated at Lys20.

Species predicted to react based on 100% sequence homology

Hamster, Chicken, D. melanogaster, Xenopus, Zebrafish, Bovine

Source / Purification

Monoclonal antibody is produced by immunizing animals with a synthetic peptide corresponding to the amino terminus of histone H3 in which Lys36 is tri-methylated.

Background

The nucleosome, made up of four core histone proteins (H2A, H2B, H3, and H4), is the primary building block of chromatin. Originally thought to function as a static scaffold for DNA packaging, histones have now been shown to be dynamic proteins, undergoing multiple types of post-translational modifications, including acetylation, phosphorylation, methylation, and ubiquitination (1). Histone methylation is a major determinant for the formation of active and inactive regions of the genome and is crucial for the proper programming of the genome during development (2,3). Arginine methylation of histones H3 (Arg2, 17, 26) and H4 (Arg3) promotes transcriptional activation and is mediated by a family of protein arginine methyltransferases (PRMTs), including the co-activators PRMT1 and CARM1 (PRMT4) (4). In contrast, a more diverse set of histone lysine methyltransferases has been identified, all but one of which contain a conserved catalytic SET domain originally identified in the Drosophila Su(var)3-9, Enhancer of zeste, and Trithorax proteins. Lysine methylation occurs primarily on histones H3 (Lys4, 9, 27, 36, 79) and H4 (Lys20) and has been implicated in both transcriptional activation and silencing (4). Methylation of these lysine residues coordinates the recruitment of chromatin modifying enzymes containing methyl-lysine binding modules such as chromodomains (HP1, PRC1), PHD fingers (BPTF, ING2), tudor domains (53BP1), and WD-40 domains (WDR5) (5-8). The discovery of histone demethylases, such as PADI4, LSD1, JMJD1, JMJD2, and JHDM1, has shown that methylation is a reversible epigenetic marker (9).

Species Reactivity

Species reactivity is determined by testing in at least one approved application (e.g., western blot).

Applications Key

W: Western Blotting IHC-P: Immunohistochemistry (Paraffin) IF-IC: Immunofluorescence (Immunocytochemistry) FC-FP: Flow Cytometry (Fixed/Permeabilized)

Cross-Reactivity Key

H: Human M: Mouse R: Rat Mk: Monkey

Trademarks and Patents

Cell Signaling Technology is a trademark of Cell Signaling Technology, Inc.

SignalStain is a registered trademark of Cell Signaling Technology, Inc.

All other trademarks are the property of their respective owners. Visit cellsignal.com/trademarks for more information.

Limited Uses

Except as otherwise expressly agreed in a writing signed by a legally authorized representative of CST, the following terms apply to Products provided by CST, its affiliates or its distributors. Any Customer's terms and conditions that are in addition to, or different from, those contained herein, unless separately accepted in writing by a legally authorized representative of CST, are rejected and are of no force or effect.

Products are labeled with For Research Use Only or a similar labeling statement and have not been approved, cleared, or licensed by the FDA or other regulatory foreign or domestic entity, for any purpose. Customer shall not use any Product for any diagnostic or therapeutic purpose, or otherwise in any manner that conflicts with its labeling statement. Products sold or licensed by CST are provided for Customer as the end-user and solely for research and development uses. Any use of Product for diagnostic, prophylactic or therapeutic purposes, or any purchase of Product for resale (alone or as a component) or other commercial purpose, requires a separate license from CST. Customer shall (a) not sell, license, loan, donate or otherwise transfer or make available any Product to any third party, whether alone or in combination with other materials, or use the Products to manufacture any commercial products, (b) not copy, modify, reverse engineer, decompile, disassemble or otherwise attempt to discover the underlying structure or technology of the Products, or use the Products for the purpose of developing any products or services that would compete with CST products or services, (c) not alter or remove from the Products any trademarks, trade names, logos, patent or copyright notices or markings, (d) use the Products solely in accordance with CST Product Terms of Sale and any applicable documentation, and (e) comply with any license, terms of service or similar agreement with respect to any third party products or services used by Customer in connection with the Products.

Orders: 877-616-CELL (2355) [email protected] Support: 877-678-TECH (8324) [email protected] Web: cellsignal.com
For Research Use Only. Not for Use in Diagnostic Procedures.

Revision 2

Cell Signaling Technology Logo
Western blot analysis of extracts from various cell lines using Tri-Methyl-Histone H3 (Lys36) (D5A7) XP® Rabbit mAb. Data were generated using the standard formulation of this product.
Western Blotting Image 1: Tri-Methyl-Histone H3 (Lys36) (D5A7) Rabbit Monoclonal Antibody (BSA and Azide Free)
Immunohistochemical analysis of paraffin-embedded human papillary carcinoma of the breast using Tri-Methyl-Histone H3(K36) (D5A7) XP(R) Rabbit mAb. Data were generated using the standard formulation of this product.
Immunohistochemistry Image 1: Tri-Methyl-Histone H3 (Lys36) (D5A7) Rabbit Monoclonal Antibody (BSA and Azide Free)
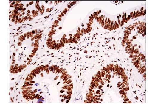
Immunohistochemical analysis of paraffin-embedded human colon carcinoma using Tri-Methyl-Histone H3(K36) (D5A7) XP(R) Rabbit mAb. Data were generated using the standard formulation of this product.
Immunohistochemistry Image 2: Tri-Methyl-Histone H3 (Lys36) (D5A7) Rabbit Monoclonal Antibody (BSA and Azide Free)
Orders: 877-616-CELL (2355) [email protected] Support: 877-678-TECH (8324) [email protected] Web: cellsignal.com
For Research Use Only. Not for Use in Diagnostic Procedures.

Revision 2

Cell Signaling Technology Logo
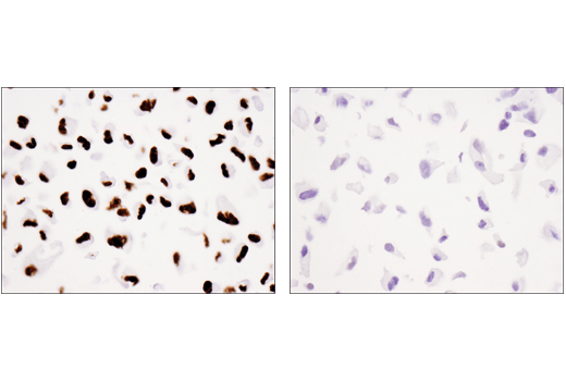
Immunohistochemical analysis of paraffin-embedded 786-O cell pellet (left, positive) or A498 cell pellet (right, negative) using Tri-Methyl-Histone H3(K36) (D5A7) XP(R) Rabbit mAb. Note that the A498 cell line harbors a SETD2 mutation. Data were generated using the standard formulation of this product.
Immunohistochemistry Image 3: Tri-Methyl-Histone H3 (Lys36) (D5A7) Rabbit Monoclonal Antibody (BSA and Azide Free)
Immunohistochemical analysis of paraffin-embedded human serous papillary carcinoma of the ovary using Tri-Methyl-Histone H3(K36) (D5A7) XP(R) Rabbit mAb in the presence of non-methyl peptide (left) or K36 tri-methyl peptide (right). Data were generated using the standard formulation of this product.
Immunohistochemistry Image 4: Tri-Methyl-Histone H3 (Lys36) (D5A7) Rabbit Monoclonal Antibody (BSA and Azide Free)
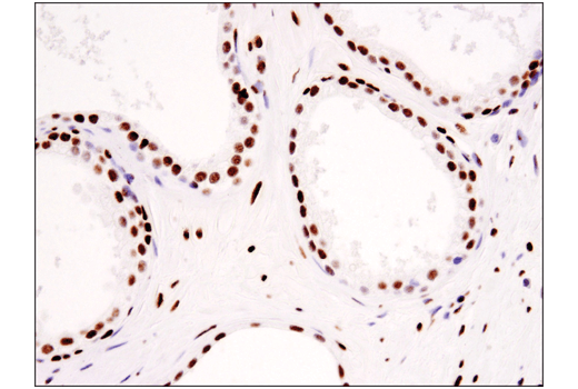
Immunohistochemical analysis of paraffin-embedded human prostate carcinoma using Tri-Methyl-Histone H3(K36) (D5A7) XP(R) Rabbit mAb. Data were generated using the standard formulation of this product.
Immunohistochemistry Image 5: Tri-Methyl-Histone H3 (Lys36) (D5A7) Rabbit Monoclonal Antibody (BSA and Azide Free)
Orders: 877-616-CELL (2355) [email protected] Support: 877-678-TECH (8324) [email protected] Web: cellsignal.com
For Research Use Only. Not for Use in Diagnostic Procedures.

Revision 2

Cell Signaling Technology Logo
Confocal immunofluorescent analysis of HeLa cells using Tri-Methyl-Histone H3 (Lys36) (D5A7) XP® Rabbit mAb (green) and COX IV (4D11-B3-E8) Mouse mAb #11967 (red). Data were generated using the standard formulation of this product.
Immunofluorescence Image 1: Tri-Methyl-Histone H3 (Lys36) (D5A7) Rabbit Monoclonal Antibody (BSA and Azide Free)
Flow cytometric analysis of A498 cells (blue) and 786-O cells (green) using Tri-Methyl-Histone H3 (Lys36) (D5A7) XP® Rabbit mAb (solid lines) or a concentration-matched Rabbit (DA1E) mAb IgG XP® Isotype Control #3900 (dashed lines). Anti-rabbit IgG (H+L), F(ab')2 Fragment (Alexa Fluor® 488 Conjugate) #4412 was used as a secondary antibody. Data were generated using the standard formulation of this product.
Flow Cytometry Image 1: Tri-Methyl-Histone H3 (Lys36) (D5A7) Rabbit Monoclonal Antibody (BSA and Azide Free)
Tri-Methyl Histone H3 (Lys36) (D5A7) XP® Rabbit mAb specificity was determined by peptide ELISA. The graph depicts the binding of the antibody to pre-coated tri-methyl histone H3 (Lys36) peptide in the presence of increasing concentrations of various competitor peptides. As shown, only the tri-methyl histone H3 (Lys36) peptide competed away binding of the antibody. Data were generated using the standard formulation of this product.
undefined Image 1: Tri-Methyl-Histone H3 (Lys36) (D5A7) Rabbit Monoclonal Antibody (BSA and Azide Free)
Orders: 877-616-CELL (2355) [email protected] Support: 877-678-TECH (8324) [email protected] Web: cellsignal.com
For Research Use Only. Not for Use in Diagnostic Procedures.