Revision 4

#92043

Store at -20C

CST Logo
Orders:

877-616-CELL (2355)

[email protected]

Support:

877-678-TECH (8324)

3 Trask Lane | Danvers | Massachusetts | 01923 | USA

For Research Use Only. Not for Use in Diagnostic Procedures.

Applications:
W, IP, IHC-P

Reactivity:
H

Sensitivity:
Endogenous

MW (kDa):
50

Source/Isotype:
Rabbit IgG

UniProt ID:
#P19474

Entrez-Gene Id:
6737

Product Usage Information

Application Dilution
Western Blotting 1:1000
Immunoprecipitation 1:50
Immunohistochemistry (Paraffin) 1:100 - 1:400

Storage

Supplied in 10 mM sodium HEPES (pH 7.5), 150 mM NaCl, 100 µg/ml BSA, 50% glycerol and less than 0.02% sodium azide. Store at –20°C. Do not aliquot the antibody.

Specificity/Sensitivity

TRIM21 (D1O1D) Rabbit Monoclonal Antibody recognizes endogenous levels of total TRIM21 protein.

Source / Purification

Monoclonal antibody is produced by immunizing animals with a synthetic peptide corresponding to residues surrounding Val309 of human TRIM21 protein.

Background

Tripartite motif-containing protein 21 (TRIM21) is a cytosolic antiviral protein that is induced by interferons (IFNs) and acts as a cytosolic IgG receptor (1,2). TRIM21 is an activator of the innate immune system and targets antibody-bound virions to the proteasome via its E3 ubiquitin ligase activity, leading to degradation of the virions in the cytosol (3,4). Interestingly, TRIM21 has also been shown to negatively regulate pathogen-induced IFN production through the polyubiquitin-mediated degradation of multiple targets, including IRF3, IRF7, and DDX41 (5-7).

Species Reactivity

Species reactivity is determined by testing in at least one approved application (e.g., western blot).

Western Blot Buffer

IMPORTANT: For western blots, incubate membrane with diluted primary antibody in 5% w/v BSA, 1X TBS, 0.1% Tween® 20 at 4°C with gentle shaking, overnight.

Applications Key

W: Western Blotting IP: Immunoprecipitation IHC-P: Immunohistochemistry (Paraffin)

Cross-Reactivity Key

H: Human

Trademarks and Patents

Cell Signaling Technology is a trademark of Cell Signaling Technology, Inc.

All other trademarks are the property of their respective owners. Visit cellsignal.com/trademarks for more information.

Limited Uses

Except as otherwise expressly agreed in a writing signed by a legally authorized representative of CST, the following terms apply to Products provided by CST, its affiliates or its distributors. Any Customer's terms and conditions that are in addition to, or different from, those contained herein, unless separately accepted in writing by a legally authorized representative of CST, are rejected and are of no force or effect.

Products are labeled with For Research Use Only or a similar labeling statement and have not been approved, cleared, or licensed by the FDA or other regulatory foreign or domestic entity, for any purpose. Customer shall not use any Product for any diagnostic or therapeutic purpose, or otherwise in any manner that conflicts with its labeling statement. Products sold or licensed by CST are provided for Customer as the end-user and solely for research and development uses. Any use of Product for diagnostic, prophylactic or therapeutic purposes, or any purchase of Product for resale (alone or as a component) or other commercial purpose, requires a separate license from CST. Customer shall (a) not sell, license, loan, donate or otherwise transfer or make available any Product to any third party, whether alone or in combination with other materials, or use the Products to manufacture any commercial products, (b) not copy, modify, reverse engineer, decompile, disassemble or otherwise attempt to discover the underlying structure or technology of the Products, or use the Products for the purpose of developing any products or services that would compete with CST products or services, (c) not alter or remove from the Products any trademarks, trade names, logos, patent or copyright notices or markings, (d) use the Products solely in accordance with CST Product Terms of Sale and any applicable documentation, and (e) comply with any license, terms of service or similar agreement with respect to any third party products or services used by Customer in connection with the Products.

Orders: 877-616-CELL (2355) [email protected] Support: 877-678-TECH (8324) [email protected] Web: cellsignal.com
For Research Use Only. Not for Use in Diagnostic Procedures.

Revision 4

Cell Signaling Technology Logo
Western blot analysis of extracts from 293T cells, untransfected (-) or transfected with a construct expressing full-length human TRIM21 (hTRIM21; +), using TRIM21 (D1O1D) Rabbit mAb.
Western Blotting Image 1: TRIM21 (D1O1D) Rabbit Monoclonal Antibody
Western blot analysis of extracts from HeLa cells, untreated (-) or treated with Human Interferon-α1 (hIFN-α1) #8927 (10 ng/ml, 16 hr; +), using TRIM21 (D1O1D) Rabbit mAb (upper) and β-Actin (D6A8) Rabbit mAb #8457 (lower).
Western Blotting Image 2: TRIM21 (D1O1D) Rabbit Monoclonal Antibody
Immunohistochemical analysis of paraffin-embedded human colon carcinoma using TRIM21 (D1O1D) Rabbit mAb.
Immunohistochemistry Image 1: TRIM21 (D1O1D) Rabbit Monoclonal Antibody
Orders: 877-616-CELL (2355) [email protected] Support: 877-678-TECH (8324) [email protected] Web: cellsignal.com
For Research Use Only. Not for Use in Diagnostic Procedures.

Revision 4

Cell Signaling Technology Logo
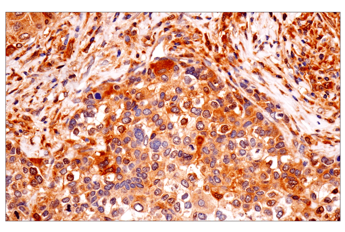
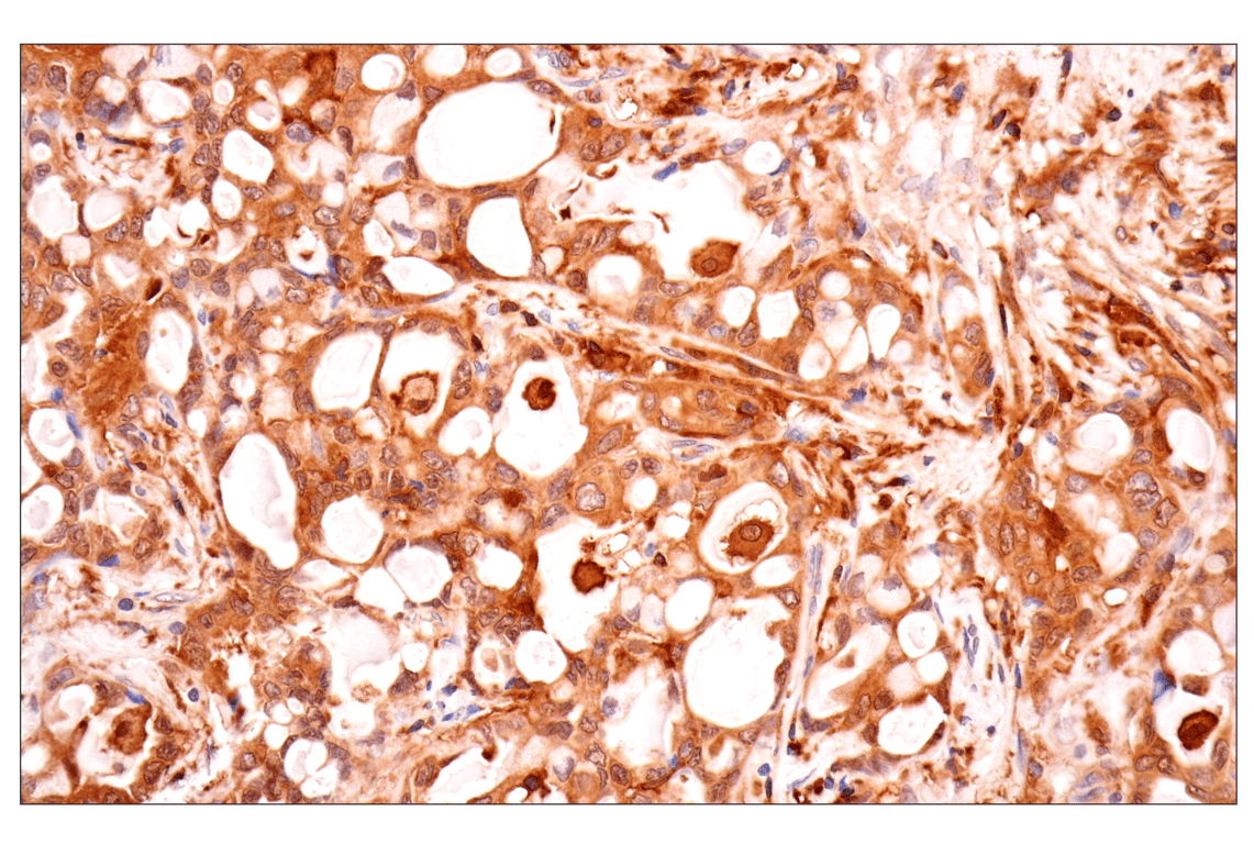
Immunohistochemical analysis of paraffin-embedded human hepatocellular carcinoma using TRIM21 (D1O1D) Rabbit mAb.
Immunohistochemistry Image 2: TRIM21 (D1O1D) Rabbit Monoclonal Antibody
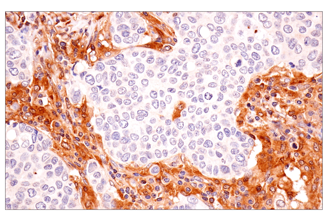
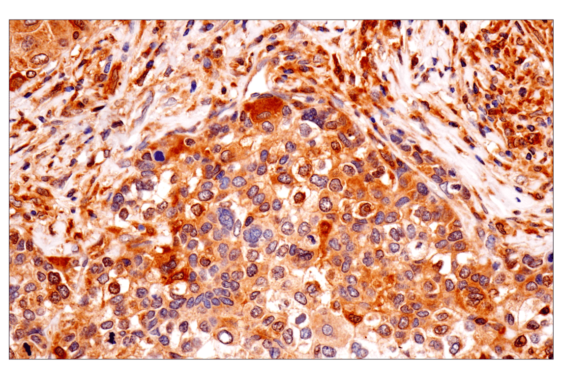
Immunohistochemical analysis of paraffin-embedded human lung adenocarcinoma using TRIM21 (D1O1D) Rabbit mAb.
Immunohistochemistry Image 3: TRIM21 (D1O1D) Rabbit Monoclonal Antibody
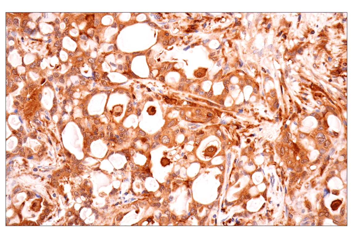
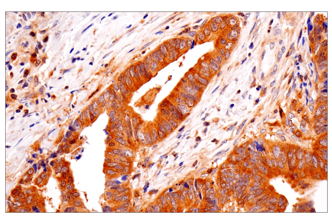
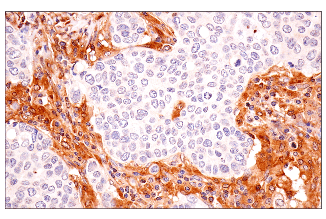
Immunohistochemical analysis of paraffin-embedded human ductal breast carcinoma using TRIM21 (D1O1D) Rabbit mAb.
Immunohistochemistry Image 4: TRIM21 (D1O1D) Rabbit Monoclonal Antibody
Orders: 877-616-CELL (2355) [email protected] Support: 877-678-TECH (8324) [email protected] Web: cellsignal.com
For Research Use Only. Not for Use in Diagnostic Procedures.

Revision 4

Cell Signaling Technology Logo
Immunohistochemical analysis of paraffin-embedded human lung adenocarcinoma using TRIM21 (D1O1D) Rabbit mAb.
Immunohistochemistry Image 5: TRIM21 (D1O1D) Rabbit Monoclonal Antibody
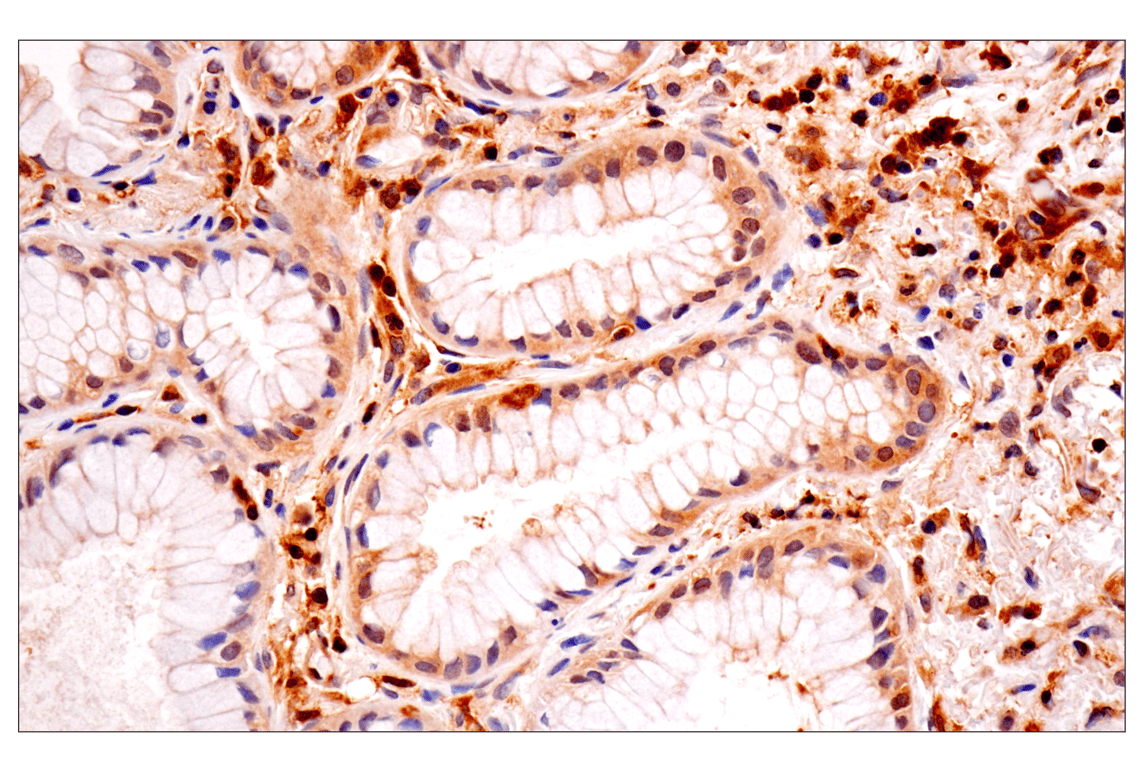
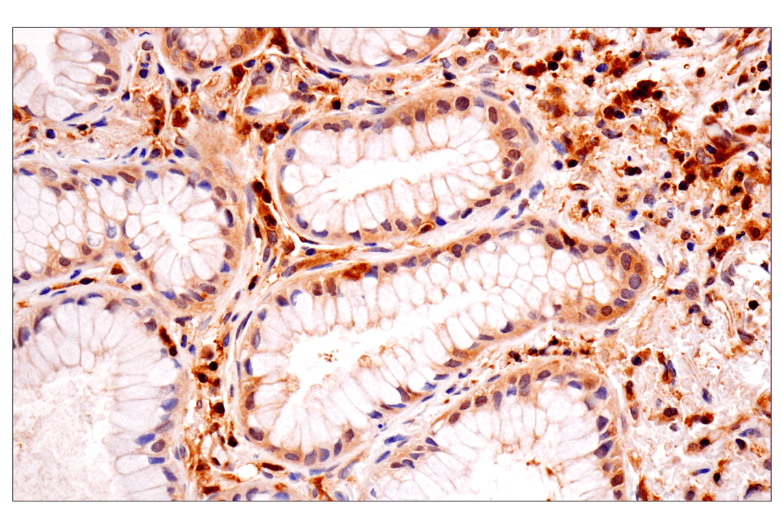
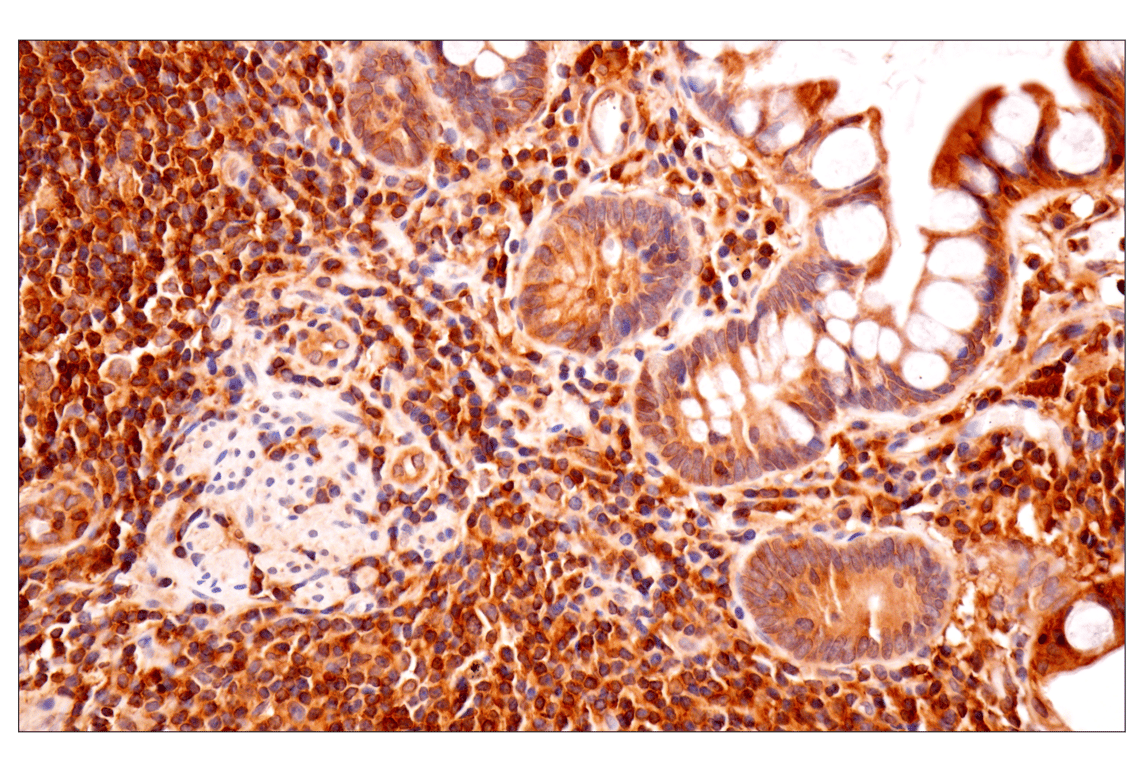
Immunohistochemical analysis of paraffin-embedded normal human small intestine using TRIM21 (D1O1D) Rabbit mAb.
Immunohistochemistry Image 6: TRIM21 (D1O1D) Rabbit Monoclonal Antibody
Immunohistochemical analysis of paraffin-embedded human adenoid cystic carcinoma of the salivary gland (left), gastric carcinoma (middle) or prostate carcinoma (right) using TRIM21 (D1O1D) Rabbit mAb (top) or a TRIM21 Rabbit mAb (bottom). These two antibodies detect unique, non-overlapping epitopes on human TRIM21. The similar staining patterns obtained with both antibodies help to confirm the specificity of the staining. 
Immunohistochemistry Image 7: TRIM21 (D1O1D) Rabbit Monoclonal Antibody
Orders: 877-616-CELL (2355) [email protected] Support: 877-678-TECH (8324) [email protected] Web: cellsignal.com
For Research Use Only. Not for Use in Diagnostic Procedures.

Revision 4

Cell Signaling Technology Logo
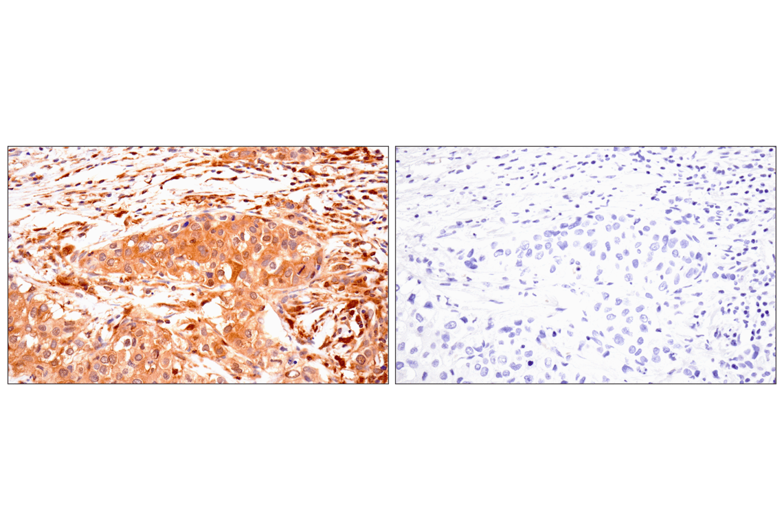
Immunohistochemical analysis of paraffin-embedded human hepatocellular carcinoma using TRIM21 (D1O1D) Rabbit mAb (left) compared to concentration-matched Rabbit (DA1E) mAb IgG XP® Isotype Control #3900 (right).
Immunohistochemistry Image 8: TRIM21 (D1O1D) Rabbit Monoclonal Antibody
Immunohistochemical analysis of paraffin-embedded PANC-1 cell pellet (left, positive) or Kelly cell pellet (right, negative) using TRIM21 (D1O1D) Rabbit mAb.
Immunohistochemistry Image 9: TRIM21 (D1O1D) Rabbit Monoclonal Antibody
Orders: 877-616-CELL (2355) [email protected] Support: 877-678-TECH (8324) [email protected] Web: cellsignal.com
For Research Use Only. Not for Use in Diagnostic Procedures.