Revision 1

#50292

Store at -20C

CST Logo
Orders:

877-616-CELL (2355)

[email protected]

Support:

877-678-TECH (8324)

3 Trask Lane | Danvers | Massachusetts | 01923 | USA

For Research Use Only. Not for Use in Diagnostic Procedures.

Applications:
W, IHC-P

Reactivity:
H

Sensitivity:
Endogenous

MW (kDa):
68

Source/Isotype:
Rabbit IgG

UniProt ID:
#Q14134

Entrez-Gene Id:
23650

Product Usage Information

Application Dilution
Western Blotting 1:1000
Immunohistochemistry (Paraffin) 1:50

Storage

Supplied in 10 mM sodium HEPES (pH 7.5), 150 mM NaCl, 100 µg/ml BSA, 50% glycerol and less than 0.02% sodium azide. Store at –20°C. Do not aliquot the antibody.

Specificity/Sensitivity

TRIM29/ATDC (E1L4E) Rabbit Monoclonal Antibody recognizes endogenous levels of total TRIM29/ATDC protein. This antibody also cross-reacts with an unidentified protein of 49 kDa.

Source / Purification

Monoclonal antibody is produced by immunizing animals with a synthetic peptide corresponding to residues surrounding Gln499 of human TRIM29/ATDC protein.

Background

Tripartite motif-containing protein 29 (TRIM29, ATDC) was isolated as a candidate gene by its ability to complement the radiosensitivity defect of an ataxia-telangiectasia (AT) cell line (1). This putative transcription regulator belongs to the TRIM (tripartite motif) protein family that is characterized by highly conserved amino-terminal RING finger, B-box, and coiled-coil domains. The TRIM29 protein binds and sequesters cytosolic p53, repressing expression of p53 target genes including p21 and Noxa by preventing p53 from entering the nucleus. Expression of TRIM29 inhibits p53 function and results in increased cell proliferation. (2). TRIM29 enhances tumor growth and metastasis in vivo and high TRIM29 levels are seen in most invasive pancreatic cancers. The oncogenic effect of TRIM29 appears to require β-catenin as expression of both proteins is elevated in pancreatic cancer cell lines and tissues (3).

Species Reactivity

Species reactivity is determined by testing in at least one approved application (e.g., western blot).

Western Blot Buffer

IMPORTANT: For western blots, incubate membrane with diluted primary antibody in 5% w/v BSA, 1X TBS, 0.1% Tween® 20 at 4°C with gentle shaking, overnight.

Applications Key

W: Western Blotting IHC-P: Immunohistochemistry (Paraffin)

Cross-Reactivity Key

H: Human

Trademarks and Patents

Cell Signaling Technology is a trademark of Cell Signaling Technology, Inc.

SignalStain is a registered trademark of Cell Signaling Technology, Inc.

All other trademarks are the property of their respective owners. Visit cellsignal.com/trademarks for more information.

Limited Uses

Except as otherwise expressly agreed in a writing signed by a legally authorized representative of CST, the following terms apply to Products provided by CST, its affiliates or its distributors. Any Customer's terms and conditions that are in addition to, or different from, those contained herein, unless separately accepted in writing by a legally authorized representative of CST, are rejected and are of no force or effect.

Products are labeled with For Research Use Only or a similar labeling statement and have not been approved, cleared, or licensed by the FDA or other regulatory foreign or domestic entity, for any purpose. Customer shall not use any Product for any diagnostic or therapeutic purpose, or otherwise in any manner that conflicts with its labeling statement. Products sold or licensed by CST are provided for Customer as the end-user and solely for research and development uses. Any use of Product for diagnostic, prophylactic or therapeutic purposes, or any purchase of Product for resale (alone or as a component) or other commercial purpose, requires a separate license from CST. Customer shall (a) not sell, license, loan, donate or otherwise transfer or make available any Product to any third party, whether alone or in combination with other materials, or use the Products to manufacture any commercial products, (b) not copy, modify, reverse engineer, decompile, disassemble or otherwise attempt to discover the underlying structure or technology of the Products, or use the Products for the purpose of developing any products or services that would compete with CST products or services, (c) not alter or remove from the Products any trademarks, trade names, logos, patent or copyright notices or markings, (d) use the Products solely in accordance with CST Product Terms of Sale and any applicable documentation, and (e) comply with any license, terms of service or similar agreement with respect to any third party products or services used by Customer in connection with the Products.

Orders: 877-616-CELL (2355) [email protected] Support: 877-678-TECH (8324) [email protected] Web: cellsignal.com
For Research Use Only. Not for Use in Diagnostic Procedures.

Revision 1

Cell Signaling Technology Logo
Western blot analysis of extracts from various cell lines using TRIM29/ATDC (E1L4E) Rabbit mAb (upper) and β-Actin (D6A8) Rabbit mAb #8457 (lower).
Western Blotting Image 1: TRIM29/ATDC (E1L4E) Rabbit Monoclonal Antibody
Immunohistochemical analysis of paraffin embedded BxPC-3 (left) and HeLa (right) cell pellets using TRIM29/ATDC (E1L4E) Rabbit mAb.
Immunohistochemistry Image 1: TRIM29/ATDC (E1L4E) Rabbit Monoclonal Antibody
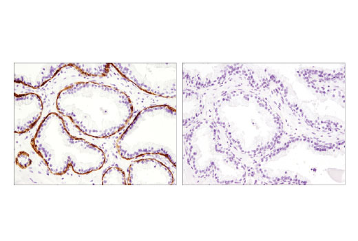
Immunohistochemical analysis of paraffin embedded human prostate using TRIM29/ATDC (E1L4E) Rabbit mAb in the presence of control peptide (left) or antigen-specific peptide (right).
Immunohistochemistry Image 2: TRIM29/ATDC (E1L4E) Rabbit Monoclonal Antibody
Orders: 877-616-CELL (2355) [email protected] Support: 877-678-TECH (8324) [email protected] Web: cellsignal.com
For Research Use Only. Not for Use in Diagnostic Procedures.