Revision 3

#15140

Store at -20C

CST Logo
Orders:

877-616-CELL (2355)

[email protected]

Support:

877-678-TECH (8324)

3 Trask Lane | Danvers | Massachusetts | 01923 | USA

For Research Use Only. Not for Use in Diagnostic Procedures.

Applications:
W, IHC-P

Reactivity:
H M R Hm Mk

Sensitivity:
Endogenous

MW (kDa):
55

Source/Isotype:
Rabbit IgG

UniProt ID:
#Q16881

Entrez-Gene Id:
7296

Product Usage Information

Application Dilution
Western Blotting 1:1000
Immunohistochemistry (Paraffin) 1:100

Storage

Supplied in 10 mM sodium HEPES (pH 7.5), 150 mM NaCl, 100 µg/ml BSA, 50% glycerol and less than 0.02% sodium azide. Store at –20°C. Do not aliquot the antibody.

For a carrier free (BSA and azide free) version of this product see product #94415.

Specificity/Sensitivity

TRXR1 (D1T3D) Rabbit Monoclonal Antibody recognizes endogenous levels of total TRXR1 protein.

Source / Purification

Monoclonal antibody is produced by immunizing animals with a synthetic peptide corresponding to residues surrounding Gly412 of human TRXR1 protein.

Background

TRXR1 (thioredoxin reductase 1) is a selenocysteine-containing protein that is involved in redox homeostasis (1-6). Its canonical target is thioredoxin, another redox protein (1). Together, they are involved in many functions such as antioxidant regulation (3-6), cell proliferation (2,3,5), DNA replication (2,3), and transcription (3,5). TRXR1 is also capable of reducing a wide array of cellular proteins (1,3). Selenium deficiency, either by diet modification (2,6) or introduction of methylmercury (4), hinders proper expression and function of TRXR1. It is possible that this effect, which results in a higher oxidative state, is a result of the selenocysteine codon (UGA) being read as a STOP codon in the absence of adequate selenium (4). The functions of TRXR1 in cell proliferation and antioxidant defense make it a potential therapeutic target.

Species Reactivity

Species reactivity is determined by testing in at least one approved application (e.g., western blot).

Western Blot Buffer

IMPORTANT: For western blots, incubate membrane with diluted primary antibody in 5% w/v BSA, 1X TBS, 0.1% Tween® 20 at 4°C with gentle shaking, overnight.

Applications Key

W: Western Blotting IHC-P: Immunohistochemistry (Paraffin)

Cross-Reactivity Key

H: Human M: Mouse R: Rat Hm: Hamster Mk: Monkey

Trademarks and Patents

Cell Signaling Technology is a trademark of Cell Signaling Technology, Inc.

SignalStain is a registered trademark of Cell Signaling Technology, Inc.

All other trademarks are the property of their respective owners. Visit cellsignal.com/trademarks for more information.

Limited Uses

Except as otherwise expressly agreed in a writing signed by a legally authorized representative of CST, the following terms apply to Products provided by CST, its affiliates or its distributors. Any Customer's terms and conditions that are in addition to, or different from, those contained herein, unless separately accepted in writing by a legally authorized representative of CST, are rejected and are of no force or effect.

Products are labeled with For Research Use Only or a similar labeling statement and have not been approved, cleared, or licensed by the FDA or other regulatory foreign or domestic entity, for any purpose. Customer shall not use any Product for any diagnostic or therapeutic purpose, or otherwise in any manner that conflicts with its labeling statement. Products sold or licensed by CST are provided for Customer as the end-user and solely for research and development uses. Any use of Product for diagnostic, prophylactic or therapeutic purposes, or any purchase of Product for resale (alone or as a component) or other commercial purpose, requires a separate license from CST. Customer shall (a) not sell, license, loan, donate or otherwise transfer or make available any Product to any third party, whether alone or in combination with other materials, or use the Products to manufacture any commercial products, (b) not copy, modify, reverse engineer, decompile, disassemble or otherwise attempt to discover the underlying structure or technology of the Products, or use the Products for the purpose of developing any products or services that would compete with CST products or services, (c) not alter or remove from the Products any trademarks, trade names, logos, patent or copyright notices or markings, (d) use the Products solely in accordance with CST Product Terms of Sale and any applicable documentation, and (e) comply with any license, terms of service or similar agreement with respect to any third party products or services used by Customer in connection with the Products.

Orders: 877-616-CELL (2355) [email protected] Support: 877-678-TECH (8324) [email protected] Web: cellsignal.com
For Research Use Only. Not for Use in Diagnostic Procedures.

Revision 3

Cell Signaling Technology Logo
Western blot analysis of extracts from various cell lines and tissues using TRXR1 (D1T3D) Rabbit mAb.
Western Blotting Image 1: TRXR1 (D1T3D) Rabbit Monoclonal Antibody
Western blot analysis of Caco-2 cells, untreated (-) or treated (+) for 48 hr with R-sulforaphane (SFN; 10 μM) and sodium selenite (100 nM), using TRXR1 (D1T3D) Rabbit mAb (upper) and GAPDH (D16H11) XP® Rabbit mAb #5174 (lower).
Western Blotting Image 2: TRXR1 (D1T3D) Rabbit Monoclonal Antibody
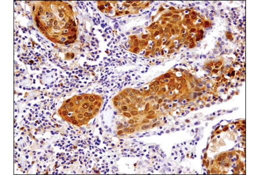
Immunohistochemical analysis of paraffin-embedded human lung carcinoma using TRXR1 (D1T3D) Rabbit mAb.
Immunohistochemistry Image 1: TRXR1 (D1T3D) Rabbit Monoclonal Antibody
Orders: 877-616-CELL (2355) [email protected] Support: 877-678-TECH (8324) [email protected] Web: cellsignal.com
For Research Use Only. Not for Use in Diagnostic Procedures.

Revision 3

Cell Signaling Technology Logo
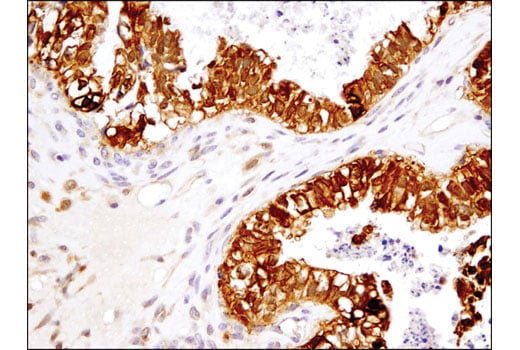
Immunohistochemical analysis of paraffin-embedded human ovarian carcinoma using TRXR1 (D1T3D) Rabbit mAb.
Immunohistochemistry Image 2: TRXR1 (D1T3D) Rabbit Monoclonal Antibody
Immunohistochemical analysis of paraffin-embedded Caco-2 cells, untreated (left) and R-sulforaphane (SFN) and sodium selenite-treated (right), using TRXR1 (D1T3D) Rabbit mAb.
Immunohistochemistry Image 3: TRXR1 (D1T3D) Rabbit Monoclonal Antibody
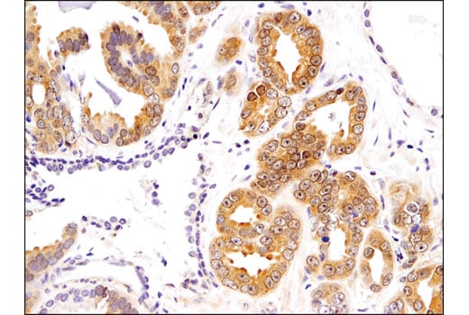
Immunohistochemical analysis of paraffin-embedded human prostate carcinoma using TRXR1 (D1T3D) Rabbit mAb.
Immunohistochemistry Image 4: TRXR1 (D1T3D) Rabbit Monoclonal Antibody
Orders: 877-616-CELL (2355) [email protected] Support: 877-678-TECH (8324) [email protected] Web: cellsignal.com
For Research Use Only. Not for Use in Diagnostic Procedures.

Revision 3

Cell Signaling Technology Logo
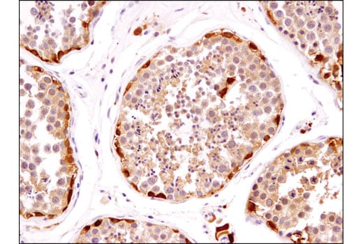
Immunohistochemical analysis of paraffin-embedded human testis using TRXR1 (D1T3D) Rabbit mAb.
Immunohistochemistry Image 5: TRXR1 (D1T3D) Rabbit Monoclonal Antibody
Orders: 877-616-CELL (2355) [email protected] Support: 877-678-TECH (8324) [email protected] Web: cellsignal.com
For Research Use Only. Not for Use in Diagnostic Procedures.