Revision 4

#81242

Store at -20C

CST Logo
Orders:

877-616-CELL (2355)

[email protected]

Support:

877-678-TECH (8324)

3 Trask Lane | Danvers | Massachusetts | 01923 | USA

For Research Use Only. Not for Use in Diagnostic Procedures.

Applications:
W, IHC-Bond, IHC-P, IF-F, IF-IC, FC-FP

Reactivity:
H M R

Sensitivity:
Endogenous

MW (kDa):
55-60

Source/Isotype:
Rabbit IgG

UniProt ID:
#P07101

Entrez-Gene Id:
7054

Product Usage Information

This product is the carrier-free version of product #58844. All data were generated using the same antibody clone in the standard formulation which contains BSA and glycerol.

This formulation is ideal for use with technologies requiring specialized or custom antibody labeling, including fluorophores, metals, lanthanides, and oligonucleotides. It is not recommended for ChIP, ChIP-seq, CUT&RUN, or CUT&Tag assays. If you require a carrier-free formulation for chromatin profiling, please contact us. Optimal dilutions/concentrations should be determined by the end user.

BSA and Azide Free antibodies are quality control tested by size exclusion chromatography (SEC) to determine antibody integrity.

Formulation

Supplied in 1X PBS (10 mM Na2HPO4, 3 mM KCl, 2 mM KH2PO4, and 140 mM NaCl (pH 7.8)). BSA and Azide Free.

For standard formulation of this product see product #58844.

Storage

Store at -20°C. This product will freeze at -20°C so it is recommended to aliquot into single-use vials to avoid multiple freeze/thaw cycles. A slight precipitate may be present and can be dissolved by gently vortexing. This will not interfere with antibody performance.

Specificity/Sensitivity

Tyrosine Hydroxylase (E2L6M) Rabbit Monoclonal Antibody (BSA and Azide Free) recognizes endogenous levels of total tyrosine hydroxylase protein.

Source / Purification

Monoclonal antibody is produced by immunizing animals with a synthetic peptide corresponding to residues near the carboxy terminus of human tyrosine hydroxylase protein.

Background

Tyrosine hydroxylase (TH) catalyzes the rate-limiting step in the synthesis of the neurotransmitter dopamine and other catecholamines. TH functions as a tetramer, with each subunit composed of a regulatory and catalytic domain, and exists in several different isoforms (1,2). This enzyme is required for embryonic development since TH knockout mice die before or at birth (3). Levels of transcription, translation and post-translational modification regulate TH activity. The amino-terminal regulatory domain contains three serine residues: Ser9, Ser31, and Ser40. Phosphorylation at Ser40 by PKA positively regulates the catalytic activity of TH (4-6). Phosphorylation at Ser31 by CDK5 also increases the catalytic activity of TH through stabilization of TH protein levels (7-9).

Species Reactivity

Species reactivity is determined by testing in at least one approved application (e.g., western blot).

Applications Key

W: Western Blotting IHC-Bond: IHC Leica Bond IHC-P: Immunohistochemistry (Paraffin) IF-F: Immunofluorescence (Frozen) IF-IC: Immunofluorescence (Immunocytochemistry) FC-FP: Flow Cytometry (Fixed/Permeabilized)

Cross-Reactivity Key

H: Human M: Mouse R: Rat

Trademarks and Patents

Cell Signaling Technology is a trademark of Cell Signaling Technology, Inc.

All other trademarks are the property of their respective owners. Visit cellsignal.com/trademarks for more information.

Limited Uses

Except as otherwise expressly agreed in a writing signed by a legally authorized representative of CST, the following terms apply to Products provided by CST, its affiliates or its distributors. Any Customer's terms and conditions that are in addition to, or different from, those contained herein, unless separately accepted in writing by a legally authorized representative of CST, are rejected and are of no force or effect.

Products are labeled with For Research Use Only or a similar labeling statement and have not been approved, cleared, or licensed by the FDA or other regulatory foreign or domestic entity, for any purpose. Customer shall not use any Product for any diagnostic or therapeutic purpose, or otherwise in any manner that conflicts with its labeling statement. Products sold or licensed by CST are provided for Customer as the end-user and solely for research and development uses. Any use of Product for diagnostic, prophylactic or therapeutic purposes, or any purchase of Product for resale (alone or as a component) or other commercial purpose, requires a separate license from CST. Customer shall (a) not sell, license, loan, donate or otherwise transfer or make available any Product to any third party, whether alone or in combination with other materials, or use the Products to manufacture any commercial products, (b) not copy, modify, reverse engineer, decompile, disassemble or otherwise attempt to discover the underlying structure or technology of the Products, or use the Products for the purpose of developing any products or services that would compete with CST products or services, (c) not alter or remove from the Products any trademarks, trade names, logos, patent or copyright notices or markings, (d) use the Products solely in accordance with CST Product Terms of Sale and any applicable documentation, and (e) comply with any license, terms of service or similar agreement with respect to any third party products or services used by Customer in connection with the Products.

Orders: 877-616-CELL (2355) [email protected] Support: 877-678-TECH (8324) [email protected] Web: cellsignal.com
For Research Use Only. Not for Use in Diagnostic Procedures.

Revision 4

Cell Signaling Technology Logo
Western blot analysis of extracts from various tissues and cell lines using Tyrosine Hydroxylase (E2L6M) Rabbit mAb (upper) or β-Actin (D6A8) Rabbit mAb #8457 (lower). Data were generated using the standard formulation of this product.
Western Blotting Image 1: Tyrosine Hydroxylase (E2L6M) Rabbit Monoclonal Antibody (BSA and Azide Free)
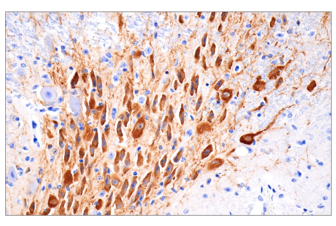
Immunohistochemical analysis of paraffin-embedded mouse brain using Tyrosine Hydroxylase (E2L6M) Rabbit mAb performed on the Leica BOND Rx. Data were generated using the standard formulation of this product.
Immunohistochemistry Image 1: Tyrosine Hydroxylase (E2L6M) Rabbit Monoclonal Antibody (BSA and Azide Free)
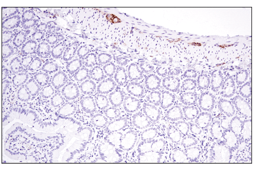
Immunohistochemical analysis of paraffin-embedded mouse colon using Tyrosine Hydroxylase (E2L6M) Rabbit mAb performed on the Leica BOND Rx. Data were generated using the standard formulation of this product.
Immunohistochemistry Image 2: Tyrosine Hydroxylase (E2L6M) Rabbit Monoclonal Antibody (BSA and Azide Free)
Orders: 877-616-CELL (2355) [email protected] Support: 877-678-TECH (8324) [email protected] Web: cellsignal.com
For Research Use Only. Not for Use in Diagnostic Procedures.

Revision 4

Cell Signaling Technology Logo
Immunohistochemical analysis of paraffin-embedded mouse brain using Tyrosine Hydroxylase (E2L6M) Rabbit mAb (left) compared to concentration matched Rabbit (DA1E) mAb IgG XP® Isotype Control #3900 (right). Data were generated using the standard formulation of this product.
Immunohistochemistry Image 1: Tyrosine Hydroxylase (E2L6M) Rabbit Monoclonal Antibody (BSA and Azide Free)
Immunohistochemical analysis of paraffin-embedded PC-12 cell pellet (left, positive) or KNRK cell pellet (right, negative) using Tyrosine Hydroxylase (E2L6M) Rabbit mAb. Data were generated using the standard formulation of this product.
Immunohistochemistry Image 2: Tyrosine Hydroxylase (E2L6M) Rabbit Monoclonal Antibody (BSA and Azide Free)
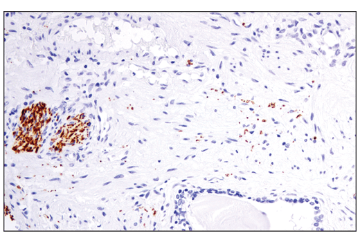
Immunohistochemical analysis of paraffin-embedded human prostate carcinoma using Tyrosine Hydroxylase (E2L6M) Rabbit mAb. Data were generated using the standard formulation of this product.
Immunohistochemistry Image 3: Tyrosine Hydroxylase (E2L6M) Rabbit Monoclonal Antibody (BSA and Azide Free)
Orders: 877-616-CELL (2355) [email protected] Support: 877-678-TECH (8324) [email protected] Web: cellsignal.com
For Research Use Only. Not for Use in Diagnostic Procedures.

Revision 4

Cell Signaling Technology Logo
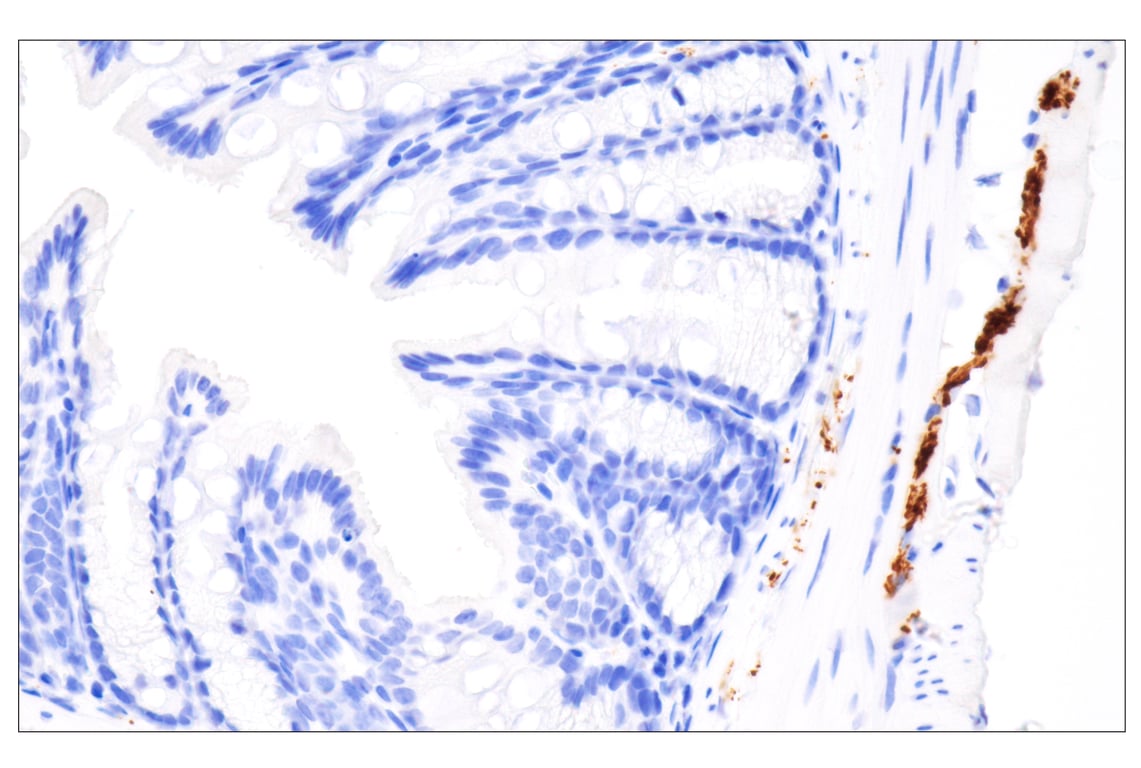
Immunohistochemical analysis of paraffin-embedded rat small intestine using Tyrosine Hydroxylase (E2L6M) Rabbit mAb. Data were generated using the standard formulation of this product.
Immunohistochemistry Image 4: Tyrosine Hydroxylase (E2L6M) Rabbit Monoclonal Antibody (BSA and Azide Free)
Confocal immunofluorescent analysis of rat striatum using Tyrosine Hydroxylase (E2L6M) Rabbit mAb (green) and Neurofilament-L (DA2) Mouse mAb #2835 (red). Samples were mounted in ProLong® Gold Antifade Reagent with DAPI #8961 (blue). Data were generated using the standard formulation of this product.
Immunofluorescence Image 1: Tyrosine Hydroxylase (E2L6M) Rabbit Monoclonal Antibody (BSA and Azide Free)
Confocal immunofluorescent analysis of HCC1419 cells (left, positive) and ACHN cells (right, negative) using Tyrosine Hydroxylase (E2L6M) Rabbit mAb (green). Actin filaments were labeled with DyLight™ 554 Phalloidin #13054 (red). Blue = Hoechst 33342 #4082 (fluorescent DNA dye). Data were generated using the standard formulation of this product.
Immunofluorescence Image 1: Tyrosine Hydroxylase (E2L6M) Rabbit Monoclonal Antibody (BSA and Azide Free)
Orders: 877-616-CELL (2355) [email protected] Support: 877-678-TECH (8324) [email protected] Web: cellsignal.com
For Research Use Only. Not for Use in Diagnostic Procedures.

Revision 4

Cell Signaling Technology Logo
Flow cytometric analysis of KNRK cells (blue, negative) and PC-12 cells (green, positive) using Tyrosine Hydroxylase (E2L6M) Rabbit mAb (solid lines) or concentration-matched Rabbit (DA1E) mAb IgG XP® Isotype Control #3900 (dashed lines). Anti-rabbit IgG (H+L), F(ab')2 Fragment (Alexa Fluor® 488 Conjugate) #4412 was used as a secondary antibody. Data were generated using the standard formulation of this product.
Flow Cytometry Image 1: Tyrosine Hydroxylase (E2L6M) Rabbit Monoclonal Antibody (BSA and Azide Free)
Orders: 877-616-CELL (2355) [email protected] Support: 877-678-TECH (8324) [email protected] Web: cellsignal.com
For Research Use Only. Not for Use in Diagnostic Procedures.