Revision 4

#40199

Store at -20C

CST Logo
Orders:

877-616-CELL (2355)

[email protected]

Support:

877-678-TECH (8324)

3 Trask Lane | Danvers | Massachusetts | 01923 | USA

For Research Use Only. Not for Use in Diagnostic Procedures.

Applications:
W, IP, IHC-P, IF-IC, eCLIP

Reactivity:
H M Mk

Sensitivity:
Endogenous

MW (kDa):
150, 160

Source/Isotype:
Rabbit IgG

UniProt ID:
#Q14157

Entrez-Gene Id:
9898

Product Usage Information

Application Dilution
Western Blotting 1:1000
Immunoprecipitation 1:100
Immunohistochemistry (Paraffin) 1:200 - 1:800
Immunofluorescence (Immunocytochemistry) 1:50 - 1:200
eCLIP 1:200
For more information about the RBP-eCLIP service please visit Eclipsebio.

Storage

Supplied in 10 mM sodium HEPES (pH 7.5), 150 mM NaCl, 100 µg/ml BSA, 50% glycerol and less than 0.02% sodium azide. Store at –20°C. Do not aliquot the antibody.

Specificity/Sensitivity

UBAP2L (E5X4E) Rabbit Monoclonal Antibody recognizes endogenous levels of total UBAP2L protein. This antibody may detect non-specific bands of unknown origin between 80-110 kDa.

Source / Purification

Monoclonal antibody is produced by immunizing animals with recombinant protein specific to the amino terminus of human UBAP2L protein.

Background

Ubiquitin-associated protein 2-like (UBAP2L) is a ubiquitous and highly conserved protein containing an N-terminal ubiquitin-associated (UBA) domain involved in the ubiquitin-proteasome system (UPS) and aggregate formation induced by proteasome inhibitors (1). It can also interact with the Polycomb group protein BMI1 to form a Polycomb subcomplex and regulate hematopoietic stem cell activity (2). UBAP2L is essential for the formation of stress granules (SGs), small cytosolic membraneless organelles that form in eukaryotic cells after stress exposure (3). Some studies suggest that UBAP2L is methylated by the arginine methyltransferase PRMT1, and that this methylation inhibits UBAP2L interaction with SG elements and overall SG assembly (4,5). UBAP2L is also an oncogenic protein found to be amplified and/or overexpressed in a large subset of cancers, including breast cancer, hepatocellular carcinoma, lung adenocarcinoma, glioblastoma, prostate cancer, and colorectal cancer, where it is often associated with tumor growth and poor prognosis (6-12).

Species Reactivity

Species reactivity is determined by testing in at least one approved application (e.g., western blot).

Western Blot Buffer

IMPORTANT: For western blots, incubate membrane with diluted primary antibody in 5% w/v nonfat dry milk, 1X TBS, 0.1% Tween® 20 at 4°C with gentle shaking, overnight.

Applications Key

W: Western Blotting IP: Immunoprecipitation IHC-P: Immunohistochemistry (Paraffin) IF-IC: Immunofluorescence (Immunocytochemistry) eCLIP: eCLIP

Cross-Reactivity Key

H: Human M: Mouse Mk: Monkey

Trademarks and Patents

Cell Signaling Technology is a trademark of Cell Signaling Technology, Inc.

SignalStain is a registered trademark of Cell Signaling Technology, Inc.

All other trademarks are the property of their respective owners. Visit cellsignal.com/trademarks for more information.

Limited Uses

Except as otherwise expressly agreed in a writing signed by a legally authorized representative of CST, the following terms apply to Products provided by CST, its affiliates or its distributors. Any Customer's terms and conditions that are in addition to, or different from, those contained herein, unless separately accepted in writing by a legally authorized representative of CST, are rejected and are of no force or effect.

Products are labeled with For Research Use Only or a similar labeling statement and have not been approved, cleared, or licensed by the FDA or other regulatory foreign or domestic entity, for any purpose. Customer shall not use any Product for any diagnostic or therapeutic purpose, or otherwise in any manner that conflicts with its labeling statement. Products sold or licensed by CST are provided for Customer as the end-user and solely for research and development uses. Any use of Product for diagnostic, prophylactic or therapeutic purposes, or any purchase of Product for resale (alone or as a component) or other commercial purpose, requires a separate license from CST. Customer shall (a) not sell, license, loan, donate or otherwise transfer or make available any Product to any third party, whether alone or in combination with other materials, or use the Products to manufacture any commercial products, (b) not copy, modify, reverse engineer, decompile, disassemble or otherwise attempt to discover the underlying structure or technology of the Products, or use the Products for the purpose of developing any products or services that would compete with CST products or services, (c) not alter or remove from the Products any trademarks, trade names, logos, patent or copyright notices or markings, (d) use the Products solely in accordance with CST Product Terms of Sale and any applicable documentation, and (e) comply with any license, terms of service or similar agreement with respect to any third party products or services used by Customer in connection with the Products.

Orders: 877-616-CELL (2355) [email protected] Support: 877-678-TECH (8324) [email protected] Web: cellsignal.com
For Research Use Only. Not for Use in Diagnostic Procedures.

Revision 4

Cell Signaling Technology Logo
Western blot analysis of extracts from various cell lines using UBAP2L (E5X4E) Rabbit mAb.
Western Blotting Image 1: UBAP2L (E5X4E) Rabbit Monoclonal Antibody
Immunoprecipitation of UBAP2L protein from DLD-1 cell extracts. Lane 1 is 10% input, lane 2 is Rabbit (DA1E) mAb IgG XP® Isotype Control #3900, and lane 3 is UBAP2L (E5X4E) Rabbit mAb. Western blot analysis was performed using UBAP2L (E5X4E) Rabbit mAb. Anti-rabbit IgG, HRP-linked Antibody #7074 was used as a secondary antibody.
Immunoprecipitation Image 1: UBAP2L (E5X4E) Rabbit Monoclonal Antibody
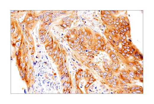
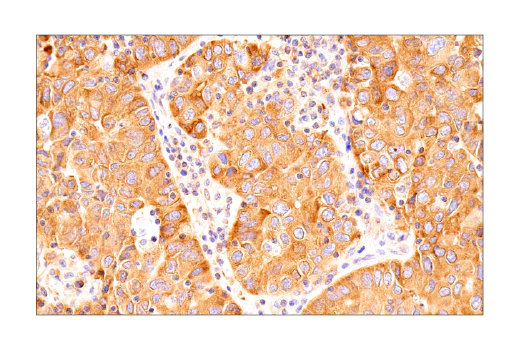
Immunohistochemical analysis of paraffin-embedded human urothelial carcinoma using UBAP2L (E5X4E) Rabbit mAb.
Immunohistochemistry Image 1: UBAP2L (E5X4E) Rabbit Monoclonal Antibody
Orders: 877-616-CELL (2355) [email protected] Support: 877-678-TECH (8324) [email protected] Web: cellsignal.com
For Research Use Only. Not for Use in Diagnostic Procedures.

Revision 4

Cell Signaling Technology Logo
Immunohistochemical analysis of paraffin-embedded human non-small cell lung carcinoma using UBAP2L (E5X4E) Rabbit mAb.
Immunohistochemistry Image 2: UBAP2L (E5X4E) Rabbit Monoclonal Antibody
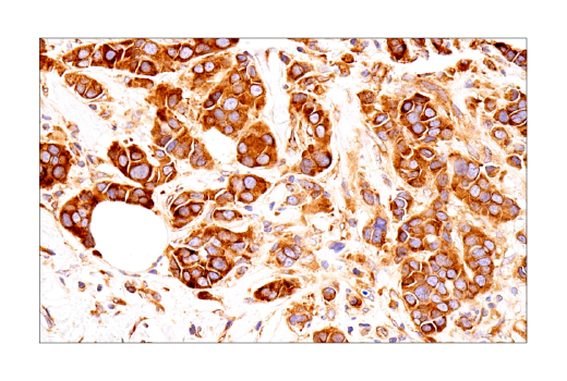
Immunohistochemical analysis of paraffin-embedded human ductal breast carcinoma using UBAP2L (E5X4E) Rabbit mAb.
Immunohistochemistry Image 3: UBAP2L (E5X4E) Rabbit Monoclonal Antibody
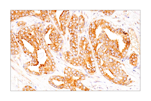
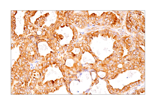
Immunohistochemical analysis of paraffin-embedded human prostate adenocarcinoma using UBAP2L (E5X4E) Rabbit mAb.
Immunohistochemistry Image 4: UBAP2L (E5X4E) Rabbit Monoclonal Antibody
Orders: 877-616-CELL (2355) [email protected] Support: 877-678-TECH (8324) [email protected] Web: cellsignal.com
For Research Use Only. Not for Use in Diagnostic Procedures.

Revision 4

Cell Signaling Technology Logo
Immunohistochemical analysis of paraffin-embedded human B-cell non-Hodgkin lymphoma using UBAP2L (E5X4E) Rabbit mAb.
Immunohistochemistry Image 5: UBAP2L (E5X4E) Rabbit Monoclonal Antibody
Immunohistochemical analysis of paraffin-embedded human esophageal adenocarcinoma using UBAP2L (E5X4E) Rabbit mAb.
Immunohistochemistry Image 6: UBAP2L (E5X4E) Rabbit Monoclonal Antibody
Immunohistochemical analysis of paraffin-embedded human colon adenocarcinoma using UBAP2L (E5X4E) Rabbit mAb.
Immunohistochemistry Image 7: UBAP2L (E5X4E) Rabbit Monoclonal Antibody
Orders: 877-616-CELL (2355) [email protected] Support: 877-678-TECH (8324) [email protected] Web: cellsignal.com
For Research Use Only. Not for Use in Diagnostic Procedures.

Revision 4

Cell Signaling Technology Logo
Immunohistochemical analysis of paraffin-embedded human ovarian clear cell carcinoma using UBAP2L (E5X4E) Rabbit mAb.
Immunohistochemistry Image 8: UBAP2L (E5X4E) Rabbit Monoclonal Antibody
Immunohistochemical analysis of paraffin-embedded normal human appendix using UBAP2L (E5X4E) Rabbit mAb (left) compared to concentration-matched Rabbit (DA1E) mAb IgG XP® Isotype Control #3900 (right). 
Immunohistochemistry Image 9: UBAP2L (E5X4E) Rabbit Monoclonal Antibody
Immunohistochemical analysis of paraffin-embedded normal human testis using UBAP2L (E5X4E) Rabbit mAb.
Immunohistochemistry Image 10: UBAP2L (E5X4E) Rabbit Monoclonal Antibody
Orders: 877-616-CELL (2355) [email protected] Support: 877-678-TECH (8324) [email protected] Web: cellsignal.com
For Research Use Only. Not for Use in Diagnostic Procedures.

Revision 4

Cell Signaling Technology Logo
Immunohistochemical analysis of paraffin-embedded normal human thymus using UBAP2L (E5X4E) Rabbit mAb.
Immunohistochemistry Image 11: UBAP2L (E5X4E) Rabbit Monoclonal Antibody
Immunohistochemical analysis of paraffin-embedded normal human prostate using UBAP2L (E5X4E) Rabbit mAb.
Immunohistochemistry Image 12: UBAP2L (E5X4E) Rabbit Monoclonal Antibody
Immunohistochemical analysis of paraffin-embedded normal human colon using UBAP2L (E5X4E) Rabbit mAb.
Immunohistochemistry Image 13: UBAP2L (E5X4E) Rabbit Monoclonal Antibody
Orders: 877-616-CELL (2355) [email protected] Support: 877-678-TECH (8324) [email protected] Web: cellsignal.com
For Research Use Only. Not for Use in Diagnostic Procedures.

Revision 4

Cell Signaling Technology Logo
Immunohistochemical analysis of paraffin-embedded normal mouse brain using UBAP2L (E5X4E) Rabbit mAb.
Immunohistochemistry Image 14: UBAP2L (E5X4E) Rabbit Monoclonal Antibody
Immunohistochemical analysis of paraffin-embedded normal mouse colon using UBAP2L (E5X4E) Rabbit mAb.
Immunohistochemistry Image 15: UBAP2L (E5X4E) Rabbit Monoclonal Antibody
Immunohistochemical analysis of paraffin-embedded normal mouse forestomach using UBAP2L (E5X4E) Rabbit mAb.
Immunohistochemistry Image 16: UBAP2L (E5X4E) Rabbit Monoclonal Antibody
Orders: 877-616-CELL (2355) [email protected] Support: 877-678-TECH (8324) [email protected] Web: cellsignal.com
For Research Use Only. Not for Use in Diagnostic Procedures.

Revision 4

Cell Signaling Technology Logo
Immunohistochemical analysis of paraffin-embedded 4T1 syngeneic mammary tumor using UBAP2L (E5X4E) Rabbit mAb.
Immunohistochemistry Image 17: UBAP2L (E5X4E) Rabbit Monoclonal Antibody
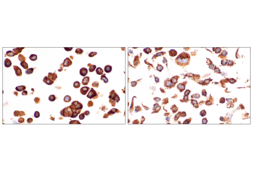
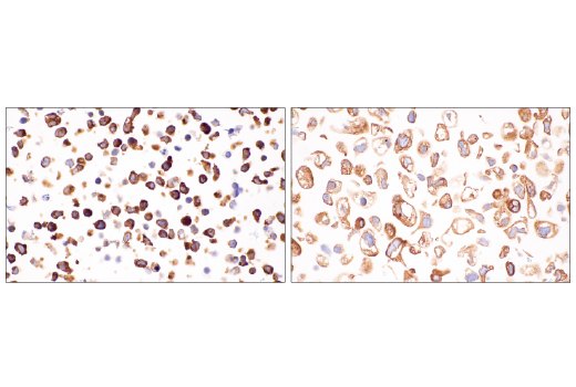
Immunohistochemical analysis of paraffin-embedded KMS-11 cell pellet (left, high-expressing) or OVMANA cell pellet (right, low-expressing) using UBAP2L (E5X4E) Rabbit mAb.
Immunohistochemistry Image 18: UBAP2L (E5X4E) Rabbit Monoclonal Antibody
Immunohistochemical analysis of paraffin-embedded HeLa cell pellets, untreated (left) or treated with sodium arsenite (right), using UBAP2L (E5X4E) Rabbit mAb. Note the translocation of UBAP2L protein to stress granules upon sodium arsenite treatment.
Immunohistochemistry Image 19: UBAP2L (E5X4E) Rabbit Monoclonal Antibody
Orders: 877-616-CELL (2355) [email protected] Support: 877-678-TECH (8324) [email protected] Web: cellsignal.com
For Research Use Only. Not for Use in Diagnostic Procedures.

Revision 4

Cell Signaling Technology Logo
Confocal immunofluorescent analysis of HeLa cells, untreated (left) or treated with sodium arsenite (500 µM, 30 min; right), using UBAP2L (E5X4E) Rabbit mAb (green). Actin filaments were labeled with DyLight™ 554 Phalloidin #13054 (red). Blue = DAPI #4083 (fluorescent DNA dye).
Immunofluorescence Image 1: UBAP2L (E5X4E) Rabbit Monoclonal Antibody
Enhanced cross-linking and immunoprecipitation (eCLIP) was performed with RNA from K-562 cells and UBAP2L (E5X4E) Rabbit mAb using a protocol based on the RBP-eCLIP method from Eclipsebio. The figure shows binding across the UBAP2L transcript. Data is kindly provided by the laboratory of Dr. Gene Yeo and used with permission.
eCLIP Image 1: UBAP2L (E5X4E) Rabbit Monoclonal Antibody
Orders: 877-616-CELL (2355) [email protected] Support: 877-678-TECH (8324) [email protected] Web: cellsignal.com
For Research Use Only. Not for Use in Diagnostic Procedures.