Revision 4

#20326

Store at -20C

CST Logo
Orders:

877-616-CELL (2355)

[email protected]

Support:

877-678-TECH (8324)

3 Trask Lane | Danvers | Massachusetts | 01923 | USA

For Research Use Only. Not for Use in Diagnostic Procedures.

Applications:
W, IHC-P

Reactivity:
All

Sensitivity:
Endogenous

Source/Isotype:
Rabbit IgG

UniProt ID:
#P62987, #P0CG48, #P0CG47, #P62979

Entrez-Gene Id:
7311, 7316, 7314, 6233

Product Usage Information

Application Dilution
Western Blotting 1:1000
Immunohistochemistry (Paraffin) 1:200 - 1:800

Storage

Supplied in 10 mM sodium HEPES (pH 7.5), 150 mM NaCl, 100 µg/mL BSA, 50% glycerol, and less than 0.02% sodium azide. Store at –20°C. Do not aliquot the antibody.

For a carrier free (BSA and azide free) version of this product see product #60396.

Specificity/Sensitivity

Ubiquitin (E6K4Y) Rabbit Monoclonal Antibody recognizes endogenous levels of total ubiquitin protein.

Source / Purification

Monoclonal antibody is produced by immunizing animals with a synthetic peptide corresponding to residues surrounding Pro37 of human ubiquitin protein.

Background

Ubiquitin is a conserved polypeptide unit that plays an important role in the ubiquitin-proteasome pathway. Ubiquitin can be covalently linked to many cellular proteins by the ubiquitination process, which targets proteins for degradation by the 26S proteasome. Three components are involved in the target protein-ubiquitin conjugation process. Ubiquitin is first activated by forming a thiolester complex with the activation component E1; the activated ubiquitin is subsequently transferred to the ubiquitin-carrier protein E2, then from E2 to ubiquitin ligase E3 for final delivery to the epsilon-NH2 of the target protein lysine residue (1-3). The ubiquitin-proteasome pathway has been implicated in a wide range of normal biological processes and in disease-related abnormalities. Several proteins such as IκB, p53, cdc25A, and Bcl-2 have been shown to be targets for the ubiquitin-proteasome process as part of regulation of cell cycle progression, differentiation, cell stress response, and apoptosis (4-7).

Species Reactivity

Species reactivity is determined by testing in at least one approved application (e.g., western blot).

Western Blot Buffer

IMPORTANT: For western blots, incubate membrane with diluted primary antibody in 5% w/v BSA, 1X TBS, 0.1% Tween® 20 at 4°C with gentle shaking, overnight.

Applications Key

W: Western Blotting IHC-P: Immunohistochemistry (Paraffin)

Cross-Reactivity Key

All: All Species Expected

Trademarks and Patents

Cell Signaling Technology is a trademark of Cell Signaling Technology, Inc.

All other trademarks are the property of their respective owners. Visit cellsignal.com/trademarks for more information.

Limited Uses

Except as otherwise expressly agreed in a writing signed by a legally authorized representative of CST, the following terms apply to Products provided by CST, its affiliates or its distributors. Any Customer's terms and conditions that are in addition to, or different from, those contained herein, unless separately accepted in writing by a legally authorized representative of CST, are rejected and are of no force or effect.

Products are labeled with For Research Use Only or a similar labeling statement and have not been approved, cleared, or licensed by the FDA or other regulatory foreign or domestic entity, for any purpose. Customer shall not use any Product for any diagnostic or therapeutic purpose, or otherwise in any manner that conflicts with its labeling statement. Products sold or licensed by CST are provided for Customer as the end-user and solely for research and development uses. Any use of Product for diagnostic, prophylactic or therapeutic purposes, or any purchase of Product for resale (alone or as a component) or other commercial purpose, requires a separate license from CST. Customer shall (a) not sell, license, loan, donate or otherwise transfer or make available any Product to any third party, whether alone or in combination with other materials, or use the Products to manufacture any commercial products, (b) not copy, modify, reverse engineer, decompile, disassemble or otherwise attempt to discover the underlying structure or technology of the Products, or use the Products for the purpose of developing any products or services that would compete with CST products or services, (c) not alter or remove from the Products any trademarks, trade names, logos, patent or copyright notices or markings, (d) use the Products solely in accordance with CST Product Terms of Sale and any applicable documentation, and (e) comply with any license, terms of service or similar agreement with respect to any third party products or services used by Customer in connection with the Products.

Orders: 877-616-CELL (2355) [email protected] Support: 877-678-TECH (8324) [email protected] Web: cellsignal.com
For Research Use Only. Not for Use in Diagnostic Procedures.

Revision 4

Cell Signaling Technology Logo
Western blot analysis of extracts from HeLa, NIH/3T3, and C6 cells, untreated (-) or treated with MG-132 (+), using Ubiquitin (E6K4Y) XP® Rabbit mAb (upper) or GAPDH (D16H11) XP® Rabbit mAb #5174.
Western Blotting Image 1: Ubiquitin (E6K4Y) Rabbit Monoclonal Antibody
Immunohistochemical analysis of paraffin-embedded human prostate adenocarcinoma using Ubiquitin (E6K4Y) XP® Rabbit mAb.
Immunohistochemistry Image 1: Ubiquitin (E6K4Y) Rabbit Monoclonal Antibody
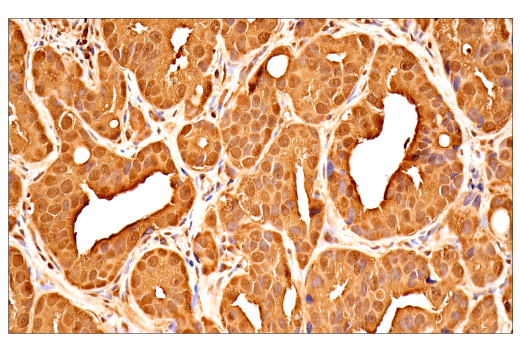
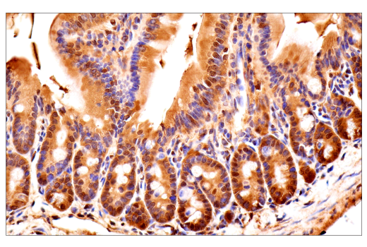
Immunohistochemical analysis of paraffin-embedded human colon adenocarcinoma using Ubiquitin (E6K4Y) XP® Rabbit mAb.
Immunohistochemistry Image 2: Ubiquitin (E6K4Y) Rabbit Monoclonal Antibody
Orders: 877-616-CELL (2355) [email protected] Support: 877-678-TECH (8324) [email protected] Web: cellsignal.com
For Research Use Only. Not for Use in Diagnostic Procedures.

Revision 4

Cell Signaling Technology Logo
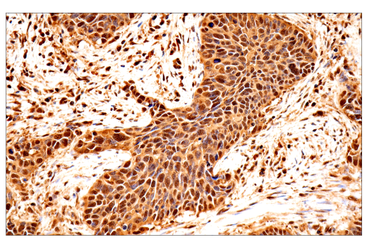
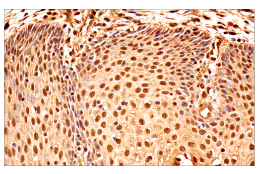
Immunohistochemical analysis of paraffin-embedded human squamous cell carcinoma of the cervix using Ubiquitin (E6K4Y) XP® Rabbit mAb.
Immunohistochemistry Image 3: Ubiquitin (E6K4Y) Rabbit Monoclonal Antibody
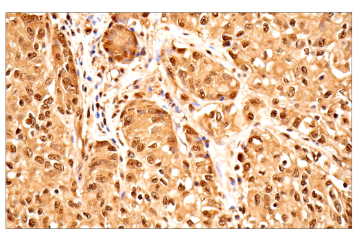
Immunohistochemical analysis of paraffin-embedded human large cell neuroendocrine carcinoma using Ubiquitin (E6K4Y) XP® Rabbit mAb.
Immunohistochemistry Image 4: Ubiquitin (E6K4Y) Rabbit Monoclonal Antibody
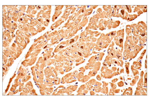
Immunohistochemical analysis of paraffin-embedded normal human heart using Ubiquitin (E6K4Y) XP® Rabbit mAb.
Immunohistochemistry Image 5: Ubiquitin (E6K4Y) Rabbit Monoclonal Antibody
Orders: 877-616-CELL (2355) [email protected] Support: 877-678-TECH (8324) [email protected] Web: cellsignal.com
For Research Use Only. Not for Use in Diagnostic Procedures.

Revision 4

Cell Signaling Technology Logo
Immunohistochemical analysis of paraffin-embedded normal human prostate using Ubiquitin (E6K4Y) XP® Rabbit mAb.
Immunohistochemistry Image 6: Ubiquitin (E6K4Y) Rabbit Monoclonal Antibody
Immunohistochemical analysis of paraffin-embedded normal human salivary gland using Ubiquitin (E6K4Y) XP® Rabbit mAb.
Immunohistochemistry Image 7: Ubiquitin (E6K4Y) Rabbit Monoclonal Antibody
Immunohistochemical analysis of paraffin-embedded normal human testis using Ubiquitin (E6K4Y) XP® Rabbit mAb.
Immunohistochemistry Image 8: Ubiquitin (E6K4Y) Rabbit Monoclonal Antibody
Orders: 877-616-CELL (2355) [email protected] Support: 877-678-TECH (8324) [email protected] Web: cellsignal.com
For Research Use Only. Not for Use in Diagnostic Procedures.

Revision 4

Cell Signaling Technology Logo
Immunohistochemical analysis of paraffin-embedded normal human esophagus using Ubiquitin (E6K4Y) XP® Rabbit mAb.
Immunohistochemistry Image 9: Ubiquitin (E6K4Y) Rabbit Monoclonal Antibody
Immunohistochemical analysis of paraffin-embedded mouse forestomach using Ubiquitin (E6K4Y) XP® Rabbit mAb.
Immunohistochemistry Image 10: Ubiquitin (E6K4Y) Rabbit Monoclonal Antibody
Immunohistochemical analysis of paraffin-embedded mouse thymus using Ubiquitin (E6K4Y) XP® Rabbit mAb.
Immunohistochemistry Image 11: Ubiquitin (E6K4Y) Rabbit Monoclonal Antibody
Orders: 877-616-CELL (2355) [email protected] Support: 877-678-TECH (8324) [email protected] Web: cellsignal.com
For Research Use Only. Not for Use in Diagnostic Procedures.

Revision 4

Cell Signaling Technology Logo
Immunohistochemical analysis of paraffin-embedded mouse small intestine using Ubiquitin (E6K4Y) XP® Rabbit mAb.
Immunohistochemistry Image 12: Ubiquitin (E6K4Y) Rabbit Monoclonal Antibody
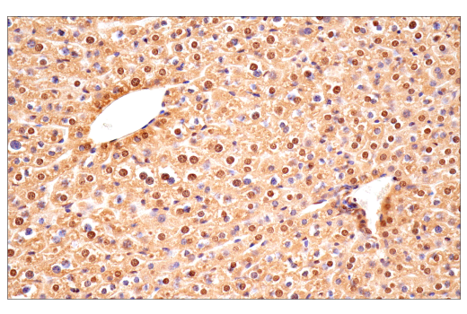
Immunohistochemical analysis of paraffin-embedded mouse liver using Ubiquitin (E6K4Y) XP® Rabbit mAb.
Immunohistochemistry Image 13: Ubiquitin (E6K4Y) Rabbit Monoclonal Antibody
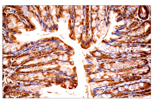
Immunohistochemical analysis of paraffin-embedded mouse colon using Ubiquitin (E6K4Y) XP® Rabbit mAb.
Immunohistochemistry Image 14: Ubiquitin (E6K4Y) Rabbit Monoclonal Antibody
Orders: 877-616-CELL (2355) [email protected] Support: 877-678-TECH (8324) [email protected] Web: cellsignal.com
For Research Use Only. Not for Use in Diagnostic Procedures.

Revision 4

Cell Signaling Technology Logo
Immunohistochemical analysis of paraffin-embedded human papillary thyroid carcinoma using Ubiquitin (E6K4Y) XP® Rabbit mAb (left) compared to concentration-matched Rabbit (DA1E) mAb IgG XP® Isotype Control #3900 (right).
Immunohistochemistry Image 15: Ubiquitin (E6K4Y) Rabbit Monoclonal Antibody
Orders: 877-616-CELL (2355) [email protected] Support: 877-678-TECH (8324) [email protected] Web: cellsignal.com
For Research Use Only. Not for Use in Diagnostic Procedures.