Revision 1

#33575

Store at -20C

CST Logo
Orders:

877-616-CELL (2355)

[email protected]

Support:

877-678-TECH (8324)

3 Trask Lane | Danvers | Massachusetts | 01923 | USA

For Research Use Only. Not for Use in Diagnostic Procedures.

Applications:
W, IHC-P, IF-F, IF-IC, FC-FP

Reactivity:
H M R Mk

Sensitivity:
Endogenous

MW (kDa):
27

Source/Isotype:
Rabbit IgG

UniProt ID:
#P09936

Entrez-Gene Id:
7345

Product Usage Information

This product is the carrier free version of product #13179. All data were generated using the same antibody clone in the standard formulation which contains BSA and glycerol.

This formulation is ideal for use with technologies requiring specialized or custom antibody labeling, including fluorophores, metals, lanthanides, and oligonucleotides. It is not recommended for ChIP, ChIP-seq, CUT&RUN or CUT&Tag assays. If you require a carrier free formulation for chromatin profiling, please contact us. Optimal dilutions/concentrations should be determined by the end user.

BSA and Azide Free antibodies are quality control tested by size exclusion chromatography (SEC) to determine antibody integrity.

Formulation

Supplied in 1X PBS (10 mM Na2HPO4, 3 mM KCl, 2 mM KH2PO4, and 140 mM NaCl (pH 7.8)). BSA and Azide Free.

For standard formulation of this product see product #13179

Storage

Store at -20°C. This product will freeze at -20°C so it is recommended to aliquot into single-use vials to avoid multiple freeze/thaw cycles. A slight precipitate may be present and can be dissolved by gently vortexing. This will not interfere with antibody performance.

Specificity/Sensitivity

UCHL1 (D3T2E) Rabbit Monoclonal Antibody (BSA and Azide Free) recognizes endogenous levels of total UCHL1 protein. This antibody does not cross-react with other UCH family members.

Species predicted to react based on 100% sequence homology

Hamster, Bovine, Dog, Pig, Horse

Source / Purification

Monoclonal antibody is produced by immunizing animals with a synthetic peptide corresponding to residues near the carboxy terminus of human UCHL1 protein.

Background

Protein ubiquitination and deubiquitination are reversible processes catalyzed by ubiquitinating enzymes (UBEs) and deubiquitinating enzymes (DUBs) (1,2). DUBs are categorized into 5 subfamilies: USP, UCH, OTU, MJD, and JAMM. UCHL1, UCHL3, UCHL5/UCH37, and BRCA-1-associated protein-1 (BAP1) belong to the ubiquitin carboxy-terminal hydrolase (UCH) family of DUBs, which all possess a conserved catalytic UCH domain of about 230 amino acids. UCHL5 and BAP1 have unique, extended carboxy-terminal tails. UCHL1 is abundantly expressed in neuronal tissues and testes, while UCHL3 expression is more widely distributed (3,4). Although UCHL1 and UCHL3 are the most closely related UCH family members with about 53% identity, their biochemical properties differ in that UCHL1 binds monoubiquitin and UCHL3 shows dual specificity toward both ubiquitin (Ub) and NEDD8, a Ub-like molecule.

UCHL1 (PGP 9.5/PARK5) functions as a deubiquitinating enzyme and monoubiquitin stabilizer. In vitro studies have demonstrated that UCHL1 can hydrolyze isopeptide bonds between the carboxy-terminal glycine of Ub and the ε-amino group of lysine on target proteins. UCHL1 is also involved in the cotranslational processing of pro-ubiquitin and ribosomal proteins translated as ubiquitin fusions (5-7). Mice deficient in UCHL1 experience spasticity, suggesting that UCHL1 activity is required for the normal neuromuscular junction structure and function (5-7). Research studies have described loss of UCHL1 expression in numerous human malignancies, such as prostate, colorectal, renal, and breast carcinomas. Investigators have shown that loss of UCHL1 expression in breast carcinomas can be attributed to hyper-methylation of the UCHL1 gene promoter (8). While loss of UCHL1 expression is implicated in human carcinogenesis, mutation of UCHL1 has been implicated in neurodegenerative diseases such as Parkinson's and Alzheimer's (6,7).

Species Reactivity

Species reactivity is determined by testing in at least one approved application (e.g., western blot).

Applications Key

W: Western Blotting IHC-P: Immunohistochemistry (Paraffin) IF-F: Immunofluorescence (Frozen) IF-IC: Immunofluorescence (Immunocytochemistry) FC-FP: Flow Cytometry (Fixed/Permeabilized)

Cross-Reactivity Key

H: Human M: Mouse R: Rat Mk: Monkey

Trademarks and Patents

Cell Signaling Technology is a trademark of Cell Signaling Technology, Inc.

All other trademarks are the property of their respective owners. Visit cellsignal.com/trademarks for more information.

Limited Uses

Except as otherwise expressly agreed in a writing signed by a legally authorized representative of CST, the following terms apply to Products provided by CST, its affiliates or its distributors. Any Customer's terms and conditions that are in addition to, or different from, those contained herein, unless separately accepted in writing by a legally authorized representative of CST, are rejected and are of no force or effect.

Products are labeled with For Research Use Only or a similar labeling statement and have not been approved, cleared, or licensed by the FDA or other regulatory foreign or domestic entity, for any purpose. Customer shall not use any Product for any diagnostic or therapeutic purpose, or otherwise in any manner that conflicts with its labeling statement. Products sold or licensed by CST are provided for Customer as the end-user and solely for research and development uses. Any use of Product for diagnostic, prophylactic or therapeutic purposes, or any purchase of Product for resale (alone or as a component) or other commercial purpose, requires a separate license from CST. Customer shall (a) not sell, license, loan, donate or otherwise transfer or make available any Product to any third party, whether alone or in combination with other materials, or use the Products to manufacture any commercial products, (b) not copy, modify, reverse engineer, decompile, disassemble or otherwise attempt to discover the underlying structure or technology of the Products, or use the Products for the purpose of developing any products or services that would compete with CST products or services, (c) not alter or remove from the Products any trademarks, trade names, logos, patent or copyright notices or markings, (d) use the Products solely in accordance with CST Product Terms of Sale and any applicable documentation, and (e) comply with any license, terms of service or similar agreement with respect to any third party products or services used by Customer in connection with the Products.

Orders: 877-616-CELL (2355) [email protected] Support: 877-678-TECH (8324) [email protected] Web: cellsignal.com
For Research Use Only. Not for Use in Diagnostic Procedures.

Revision 1

Cell Signaling Technology Logo
Western blot analysis of extracts from various cell lines using UCHL1 (D3T2E) XP® Rabbit mAb (upper) and GAPDH (D16H11) XP® Rabbit mAb #5174 (lower). Data were generated using the standard formulation of this product.
Western Blotting Image 1: UCHL1 (D3T2E) Rabbit Monoclonal Antibody (BSA and Azide Free)
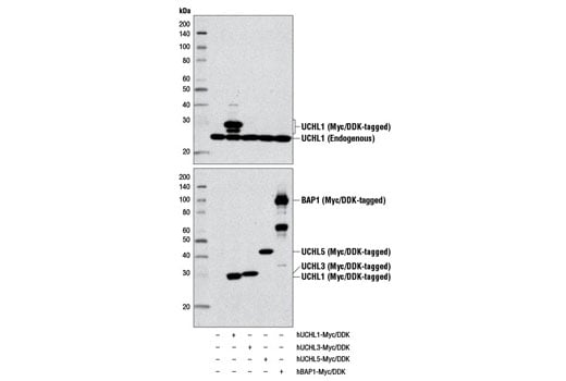
Western blot analysis of extracts from 293T cells, mock transfected (-) or transfected with constructs expressing Myc/DDK-tagged full-length human UCHL1 (hUCHL1-Myc/DDK; +), Myc/DDK-tagged full-length human UCHL3 (hUCHL3-Myc/DDK; +), Myc/DDK-tagged full-length human UCHL5 (hUCHL5-Myc/DDK; +), and Myc/DDK-tagged full-length human BAP1 (hBAP1-Myc/DDK; +), using UCHL1 (D3T2E) XP® Rabbit mAb (upper) or DYKDDDDK Tag Antibody #2368 (lower). Data were generated using the standard formulation of this product.
Western Blotting Image 2: UCHL1 (D3T2E) Rabbit Monoclonal Antibody (BSA and Azide Free)
Western blot analysis of extracts from Ramos and K-562 cells using UCHL1 (D3T2E) XP® Rabbit mAb (upper) and GAPDH (D16H11) XP® Rabbit mAb #5174 (lower). As expected, UCHL1 protein expression is not detected in K-562 cells. Data were generated using the standard formulation of this product.
Western Blotting Image 3: UCHL1 (D3T2E) Rabbit Monoclonal Antibody (BSA and Azide Free)
Orders: 877-616-CELL (2355) [email protected] Support: 877-678-TECH (8324) [email protected] Web: cellsignal.com
For Research Use Only. Not for Use in Diagnostic Procedures.

Revision 1

Cell Signaling Technology Logo
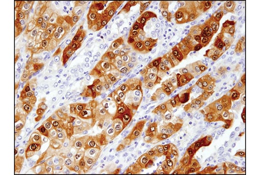
Immunohistochemical analysis of paraffin-embedded human non-small cell lung carcinoma using UCHL1 (D3T2E) XP® Rabbit mAb. Data were generated using the standard formulation of this product.
Immunohistochemistry Image 1: UCHL1 (D3T2E) Rabbit Monoclonal Antibody (BSA and Azide Free)
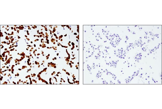
Immunohistochemical analysis of paraffin-embedded DU 145 (left; positive) and LNCaP (right; negative) cell pellets using UCHL1 (D3T2E) XP® Rabbit mAb. Data were generated using the standard formulation of this product.
Immunohistochemistry Image 2: UCHL1 (D3T2E) Rabbit Monoclonal Antibody (BSA and Azide Free)
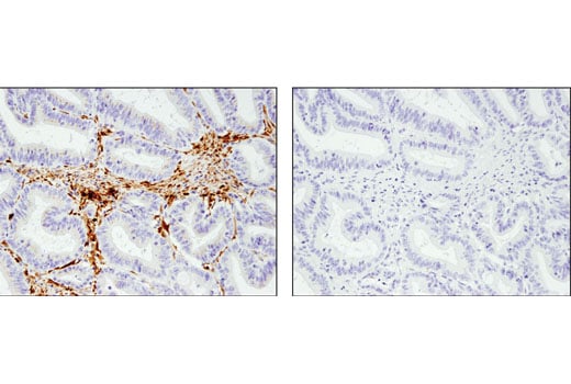
Immunohistochemical analysis of paraffin-embedded colorectal adenocarcinoma using UCHL1 (D3T2E) XP® Rabbit mAb in the presence of control peptide (left) or antigen specific peptide (right). Data were generated using the standard formulation of this product.
Immunohistochemistry Image 3: UCHL1 (D3T2E) Rabbit Monoclonal Antibody (BSA and Azide Free)
Orders: 877-616-CELL (2355) [email protected] Support: 877-678-TECH (8324) [email protected] Web: cellsignal.com
For Research Use Only. Not for Use in Diagnostic Procedures.

Revision 1

Cell Signaling Technology Logo
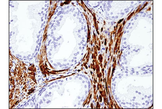
Immunohistochemical analysis of paraffin-embedded human prostate adenocarcinoma using UCHL1 (D3T2E) XP® Rabbit mAb. Data were generated using the standard formulation of this product.
Immunohistochemistry Image 4: UCHL1 (D3T2E) Rabbit Monoclonal Antibody (BSA and Azide Free)
Confocal immunofluorescent analysis of mouse brain using UCHL1 (D3T2E) XP® Rabbit mAb (green). Blue = Hoescht 33342 #4082 (fluorescent DNA dye). Data were generated using the standard formulation of this product.
Immunofluorescence Image 1: UCHL1 (D3T2E) Rabbit Monoclonal Antibody (BSA and Azide Free)
Confocal immunofluorescent analysis of mouse brain using UCHL1 (D8R2I) XP® Rabbit mAb (green). Blue = Hoescht 33342 #4082 (fluorescent DNA dye). Data were generated using the standard formulation of this product.
Immunofluorescence Image 2: UCHL1 (D3T2E) Rabbit Monoclonal Antibody (BSA and Azide Free)
Orders: 877-616-CELL (2355) [email protected] Support: 877-678-TECH (8324) [email protected] Web: cellsignal.com
For Research Use Only. Not for Use in Diagnostic Procedures.

Revision 1

Cell Signaling Technology Logo
Confocal immunofluorescent analysis of mouse olfactory bulb (left) and pons (right) using UCHL1 (D3T2E) XP® Rabbit mAb #13179 (green) and GFAP (GA5) Mouse mAb (Alexa Fluor® 555 Conjugate) #3656 (red). Samples were mounted in ProLong® Gold Antifade Reagent with DAPI #8961 (blue). Data were generated using the standard formulation of this product.
Immunofluorescence Image 3: UCHL1 (D3T2E) Rabbit Monoclonal Antibody (BSA and Azide Free)
Confocal immunofluorescent analysis of DU 145 (positive; left) and LNCaP (negative; right) cells using UCHL1 (D3T2E) XP® Rabbit mAb (green). Blue pseudocolor= DRAQ5® #4084 (fluorescent DNA dye). Data were generated using the standard formulation of this product.
Immunofluorescence Image 1: UCHL1 (D3T2E) Rabbit Monoclonal Antibody (BSA and Azide Free)
Flow cytometric analysis of K-562 cells (blue; negative) and Ramos cells (green; positive) using UCHL1 (D3T2E) XP® Rabbit mAb (solid lines) or concentration-matched Rabbit (DA1E) mAb IgG XP® Isotype Control #3900 (dashed lines). Anti-rabbit IgG (H+L), F(ab')2 Fragment (Alexa Fluor® 488 Conjugate) #4412 was used as a secondary antibody. Data were generated using the standard formulation of this product.
Flow Cytometry Image 1: UCHL1 (D3T2E) Rabbit Monoclonal Antibody (BSA and Azide Free)
Orders: 877-616-CELL (2355) [email protected] Support: 877-678-TECH (8324) [email protected] Web: cellsignal.com
For Research Use Only. Not for Use in Diagnostic Procedures.