Revision 1

#63924

Store at -20C

CST Logo
Orders:

877-616-CELL (2355)

[email protected]

Support:

877-678-TECH (8324)

3 Trask Lane | Danvers | Massachusetts | 01923 | USA

For Research Use Only. Not for Use in Diagnostic Procedures.

Applications:
W, IHC-P, IF-IC

Reactivity:
H M R Mk

Sensitivity:
Endogenous

MW (kDa):
270

Source/Isotype:
Rabbit IgG

UniProt ID:
#Q93008

Entrez-Gene Id:
8239

Product Usage Information

This product is the carrier free version of product #14898. All data were generated using the same antibody clone in the standard formulation which contains BSA and glycerol.

This formulation is ideal for use with technologies requiring specialized or custom antibody labeling, including fluorophores, metals, lanthanides, and oligonucleotides. It is not recommended for ChIP, ChIP-seq, CUT&RUN or CUT&Tag assays. If you require a carrier free formulation for chromatin profiling, please contact us. Optimal dilutions/concentrations should be determined by the end user.

BSA and Azide Free antibodies are quality control tested by size exclusion chromatography (SEC) to determine antibody integrity.

Formulation

Supplied in 1X PBS (10 mM Na2HPO4, 3 mM KCl, 2 mM KH2PO4, and 140 mM NaCl (pH 7.8)). BSA and Azide Free.

For standard formulation of this product see product #14898

Storage

Store at -20°C. This product will freeze at -20°C so it is recommended to aliquot into single-use vials to avoid multiple freeze/thaw cycles. A slight precipitate may be present and can be dissolved by gently vortexing. This will not interfere with antibody performance.

Specificity/Sensitivity

USP9X (D4Y7W) Rabbit Monoclonal Antibody (BSA and Azide Free) recognizes endogenous levels of total USP9X protein.

Species predicted to react based on 100% sequence homology

Bovine, Dog, Horse

Source / Purification

Monoclonal antibody is produced by immunizing animals with a synthetic peptide corresponding to residues surrounding Asn1272 of human USP9X protein.

Background

Protein ubiquitination and deubiquitination are reversible processes catalyzed by ubiquitinating enzymes (UBEs) and deubiquitinating enzymes (DUBs) respectively (1,2). DUBs are categorized into five subfamilies-USP, UCH, OTU, MJD, and JAMM. Ubiquitin-specific protease 9, X-linked (USP9X) possesses a well-conserved catalytic domain with cysteine peptidase activity, which allows for cleavage of ubiquitin and polyubiquitin conjugates. USP9X is the mammalian homolog of the Drosophila fat-facets (faf) gene, which is essential for normal eye development and viability of the early fly embryo (3,4). While USP9X expression is also critical for normal mammalian development (5-7), many of its substrates are only beginning to be elucidated. There is mounting evidence that USP9X functions in the formation of epithelial cell-cell contacts through deubiquitination-dependent stabilization of molecules involved in maintaining the integrity of both adherens and tight junctions. Indeed, USP9X has been found to associate with AF-6, the β-catenin-E-cadherin complex, and EFA6 (8-11). Research studies have also demonstrated that USP9X is an integral component of the TGF-β/BMP signaling cascade by opposing TRIM33-mediated monoubiquitination of SMAD4 (12). USP9X is overexpressed in a variety of human cancers and contributes to enhanced cell survival, in part, through its ability to deubiquitinate and stabilize the Mcl-1 oncoprotein (13). There is some evidence, however, that suggests the role of USP9X in tumorigenesis is context dependent. Research studies have implicated USP9X in a tumor suppressor role during the early stages of pancreatic ductal adenocarcinoma (PDAC) and in an oncogenic role during advanced stages of PDAC (14,15).

Species Reactivity

Species reactivity is determined by testing in at least one approved application (e.g., western blot).

Applications Key

W: Western Blotting IHC-P: Immunohistochemistry (Paraffin) IF-IC: Immunofluorescence (Immunocytochemistry)

Cross-Reactivity Key

H: Human M: Mouse R: Rat Mk: Monkey

Trademarks and Patents

Cell Signaling Technology is a trademark of Cell Signaling Technology, Inc.

SignalStain is a registered trademark of Cell Signaling Technology, Inc.

All other trademarks are the property of their respective owners. Visit cellsignal.com/trademarks for more information.

Limited Uses

Except as otherwise expressly agreed in a writing signed by a legally authorized representative of CST, the following terms apply to Products provided by CST, its affiliates or its distributors. Any Customer's terms and conditions that are in addition to, or different from, those contained herein, unless separately accepted in writing by a legally authorized representative of CST, are rejected and are of no force or effect.

Products are labeled with For Research Use Only or a similar labeling statement and have not been approved, cleared, or licensed by the FDA or other regulatory foreign or domestic entity, for any purpose. Customer shall not use any Product for any diagnostic or therapeutic purpose, or otherwise in any manner that conflicts with its labeling statement. Products sold or licensed by CST are provided for Customer as the end-user and solely for research and development uses. Any use of Product for diagnostic, prophylactic or therapeutic purposes, or any purchase of Product for resale (alone or as a component) or other commercial purpose, requires a separate license from CST. Customer shall (a) not sell, license, loan, donate or otherwise transfer or make available any Product to any third party, whether alone or in combination with other materials, or use the Products to manufacture any commercial products, (b) not copy, modify, reverse engineer, decompile, disassemble or otherwise attempt to discover the underlying structure or technology of the Products, or use the Products for the purpose of developing any products or services that would compete with CST products or services, (c) not alter or remove from the Products any trademarks, trade names, logos, patent or copyright notices or markings, (d) use the Products solely in accordance with CST Product Terms of Sale and any applicable documentation, and (e) comply with any license, terms of service or similar agreement with respect to any third party products or services used by Customer in connection with the Products.

Orders: 877-616-CELL (2355) [email protected] Support: 877-678-TECH (8324) [email protected] Web: cellsignal.com
For Research Use Only. Not for Use in Diagnostic Procedures.

Revision 1

Cell Signaling Technology Logo
Western blot analysis of extracts from various cell lines using USP9X (D4Y7W) Rabbit mAb (upper) and GAPDH (D16H11) XP® Rabbit mAb #5174 (lower). LOX-IMVI cells are deficient in USP9X protein expression (13). Data were generated using the standard formulation of this product.
Western Blotting Image 1: USP9X (D4Y7W) Rabbit Monoclonal Antibody (BSA and Azide Free)
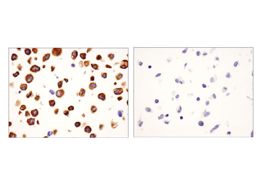
Immunohistochemical analysis of paraffin-embedded PC-3 (left, positive) and LOX-IMVI (right, negative) cell pellets using USP9X (D4Y7W) Rabbit mAb. Data were generated using the standard formulation of this product.
Immunohistochemistry Image 1: USP9X (D4Y7W) Rabbit Monoclonal Antibody (BSA and Azide Free)
Immunohistochemical analysis of paraffin-embedded human colon carcinoma using USP9X (D4Y7W) Rabbit mAb in the presence of control peptide (left) or antigen-specific peptide (right). Data were generated using the standard formulation of this product.
Immunohistochemistry Image 2: USP9X (D4Y7W) Rabbit Monoclonal Antibody (BSA and Azide Free)
Orders: 877-616-CELL (2355) [email protected] Support: 877-678-TECH (8324) [email protected] Web: cellsignal.com
For Research Use Only. Not for Use in Diagnostic Procedures.

Revision 1

Cell Signaling Technology Logo
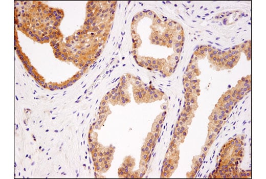
Immunohistochemical analysis of paraffin-embedded human prostate carcinoma using USP9X (D4Y7W) Rabbit mAb. Data were generated using the standard formulation of this product.
Immunohistochemistry Image 3: USP9X (D4Y7W) Rabbit Monoclonal Antibody (BSA and Azide Free)
Confocal immunofluorescent analysis of 293T (left, positive) and LOX-IMVI (right, negative) cells using USP9X (D4Y7W) Rabbit mAb (green). Actin filaments were labeled with DyLight™ 554 Phalloidin #13054 (red). Blue pseudocolor = DRAQ5® #4084 (fluorescent DNA dye). Data were generated using the standard formulation of this product.
Immunofluorescence Image 1: USP9X (D4Y7W) Rabbit Monoclonal Antibody (BSA and Azide Free)
Orders: 877-616-CELL (2355) [email protected] Support: 877-678-TECH (8324) [email protected] Web: cellsignal.com
For Research Use Only. Not for Use in Diagnostic Procedures.