Revision 5

#14898

Store at -20C

CST Logo
Orders:

877-616-CELL (2355)

[email protected]

Support:

877-678-TECH (8324)

3 Trask Lane | Danvers | Massachusetts | 01923 | USA

For Research Use Only. Not for Use in Diagnostic Procedures.

Applications:
W, W-S, IP, IHC-P, IF-IC

Reactivity:
H M R Mk

Sensitivity:
Endogenous

MW (kDa):
270

Source/Isotype:
Rabbit IgG

UniProt ID:
#Q93008

Entrez-Gene Id:
8239

Product Usage Information

Application Dilution
Western Blotting 1:1000
Simple Western™ 1:10 - 1:50
Immunoprecipitation 1:50
Immunohistochemistry (Paraffin) 1:100
Immunofluorescence (Immunocytochemistry) 1:400

Storage

Supplied in 10 mM sodium HEPES (pH 7.5), 150 mM NaCl, 100 µg/ml BSA, 50% glycerol and less than 0.02% sodium azide. Store at –20°C. Do not aliquot the antibody.

For a carrier free (BSA and azide free) version of this product see product #63924.

Specificity/Sensitivity

USP9X (D4Y7W) Rabbit Monoclonal Antibody recognizes endogenous levels of total USP9X protein.

Species predicted to react based on 100% sequence homology

Bovine, Dog, Horse

Source / Purification

Monoclonal antibody is produced by immunizing animals with a synthetic peptide corresponding to residues surrounding Asn1272 of human USP9X protein.

Background

Protein ubiquitination and deubiquitination are reversible processes catalyzed by ubiquitinating enzymes (UBEs) and deubiquitinating enzymes (DUBs) respectively (1,2). DUBs are categorized into five subfamilies-USP, UCH, OTU, MJD, and JAMM. Ubiquitin-specific protease 9, X-linked (USP9X) possesses a well-conserved catalytic domain with cysteine peptidase activity, which allows for cleavage of ubiquitin and polyubiquitin conjugates. USP9X is the mammalian homolog of the Drosophila fat-facets (faf) gene, which is essential for normal eye development and viability of the early fly embryo (3,4). While USP9X expression is also critical for normal mammalian development (5-7), many of its substrates are only beginning to be elucidated. There is mounting evidence that USP9X functions in the formation of epithelial cell-cell contacts through deubiquitination-dependent stabilization of molecules involved in maintaining the integrity of both adherens and tight junctions. Indeed, USP9X has been found to associate with AF-6, the β-catenin-E-cadherin complex, and EFA6 (8-11). Research studies have also demonstrated that USP9X is an integral component of the TGF-β/BMP signaling cascade by opposing TRIM33-mediated monoubiquitination of SMAD4 (12). USP9X is overexpressed in a variety of human cancers and contributes to enhanced cell survival, in part, through its ability to deubiquitinate and stabilize the Mcl-1 oncoprotein (13). There is some evidence, however, that suggests the role of USP9X in tumorigenesis is context dependent. Research studies have implicated USP9X in a tumor suppressor role during the early stages of pancreatic ductal adenocarcinoma (PDAC) and in an oncogenic role during advanced stages of PDAC (14,15).

Species Reactivity

Species reactivity is determined by testing in at least one approved application (e.g., western blot).

Western Blot Buffer

IMPORTANT: For western blots, incubate membrane with diluted primary antibody in 5% w/v nonfat dry milk, 1X TBS, 0.1% Tween® 20 at 4°C with gentle shaking, overnight.

Applications Key

W: Western Blotting W-S: Simple Western™ IP: Immunoprecipitation IHC-P: Immunohistochemistry (Paraffin) IF-IC: Immunofluorescence (Immunocytochemistry)

Cross-Reactivity Key

H: Human M: Mouse R: Rat Mk: Monkey

Trademarks and Patents

Cell Signaling Technology is a trademark of Cell Signaling Technology, Inc.

SignalStain is a registered trademark of Cell Signaling Technology, Inc.

All other trademarks are the property of their respective owners. Visit cellsignal.com/trademarks for more information.

Limited Uses

Except as otherwise expressly agreed in a writing signed by a legally authorized representative of CST, the following terms apply to Products provided by CST, its affiliates or its distributors. Any Customer's terms and conditions that are in addition to, or different from, those contained herein, unless separately accepted in writing by a legally authorized representative of CST, are rejected and are of no force or effect.

Products are labeled with For Research Use Only or a similar labeling statement and have not been approved, cleared, or licensed by the FDA or other regulatory foreign or domestic entity, for any purpose. Customer shall not use any Product for any diagnostic or therapeutic purpose, or otherwise in any manner that conflicts with its labeling statement. Products sold or licensed by CST are provided for Customer as the end-user and solely for research and development uses. Any use of Product for diagnostic, prophylactic or therapeutic purposes, or any purchase of Product for resale (alone or as a component) or other commercial purpose, requires a separate license from CST. Customer shall (a) not sell, license, loan, donate or otherwise transfer or make available any Product to any third party, whether alone or in combination with other materials, or use the Products to manufacture any commercial products, (b) not copy, modify, reverse engineer, decompile, disassemble or otherwise attempt to discover the underlying structure or technology of the Products, or use the Products for the purpose of developing any products or services that would compete with CST products or services, (c) not alter or remove from the Products any trademarks, trade names, logos, patent or copyright notices or markings, (d) use the Products solely in accordance with CST Product Terms of Sale and any applicable documentation, and (e) comply with any license, terms of service or similar agreement with respect to any third party products or services used by Customer in connection with the Products.

Orders: 877-616-CELL (2355) [email protected] Support: 877-678-TECH (8324) [email protected] Web: cellsignal.com
For Research Use Only. Not for Use in Diagnostic Procedures.

Revision 5

Cell Signaling Technology Logo
Western blot analysis of extracts from various cell lines using USP9X (D4Y7W) Rabbit mAb (upper) and GAPDH (D16H11) XP® Rabbit mAb #5174 (lower). LOX-IMVI cells are deficient in USP9X protein expression (13).
Western Blotting Image 1: USP9X (D4Y7W) Rabbit Monoclonal Antibody

Simple Western™ analysis of lysates (0.1 mg/mL) from 293T cells using USP9X (D4Y7W) Rabbit mAb #14898. The virtual lane view (left) shows the target band (as indicated) at 1:10 and 1:50 dilutions of primary antibody. The corresponding electropherogram view (right) plots chemiluminescence by molecular weight along the capillary at 1:10 (blue line) and 1:50 (green line) dilutions of primary antibody. This experiment was performed under reducing conditions on the Jess™ Simple Western instrument from ProteinSimple, a BioTechne brand, using the 66 - 440 kDa separation module.

Western Blotting Image 1: USP9X (D4Y7W) Rabbit Monoclonal Antibody
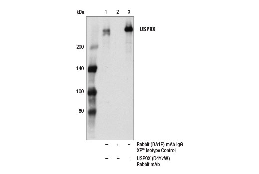
Immunoprecipitation of USP9X from 293T cell extracts using Rabbit (DA1E) mAb IgG XP® Isotype Control #3900 (lane 2) or USP9X (D4Y7W) Rabbit mAb (lane 3). Lane 1 is 10% input. Western blot analysis was performed using USP9X (D4Y7W) Rabbit mAb.
Immunoprecipitation Image 1: USP9X (D4Y7W) Rabbit Monoclonal Antibody
Orders: 877-616-CELL (2355) [email protected] Support: 877-678-TECH (8324) [email protected] Web: cellsignal.com
For Research Use Only. Not for Use in Diagnostic Procedures.

Revision 5

Cell Signaling Technology Logo
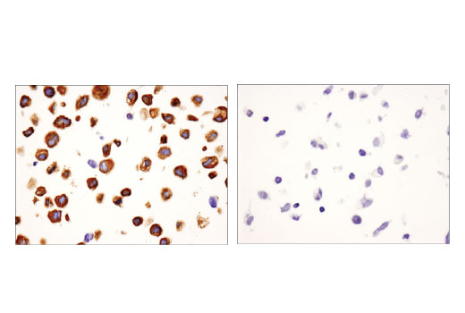
Immunohistochemical analysis of paraffin-embedded PC-3 (left, positive) and LOX-IMVI (right, negative) cell pellets using USP9X (D4Y7W) Rabbit mAb.
Immunohistochemistry Image 1: USP9X (D4Y7W) Rabbit Monoclonal Antibody
Immunohistochemical analysis of paraffin-embedded human colon carcinoma using USP9X (D4Y7W) Rabbit mAb in the presence of control peptide (left) or antigen-specific peptide (right).
Immunohistochemistry Image 2: USP9X (D4Y7W) Rabbit Monoclonal Antibody
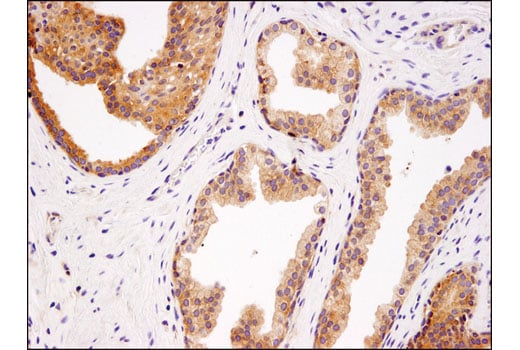
Immunohistochemical analysis of paraffin-embedded human prostate carcinoma using USP9X (D4Y7W) Rabbit mAb.
Immunohistochemistry Image 3: USP9X (D4Y7W) Rabbit Monoclonal Antibody
Orders: 877-616-CELL (2355) [email protected] Support: 877-678-TECH (8324) [email protected] Web: cellsignal.com
For Research Use Only. Not for Use in Diagnostic Procedures.

Revision 5

Cell Signaling Technology Logo
Confocal immunofluorescent analysis of 293T (left, positive) and LOX-IMVI (right, negative) cells using USP9X (D4Y7W) Rabbit mAb (green). Actin filaments were labeled with DyLight™ 554 Phalloidin #13054 (red). Blue pseudocolor = DRAQ5® #4084 (fluorescent DNA dye).
Immunofluorescence Image 1: USP9X (D4Y7W) Rabbit Monoclonal Antibody
Orders: 877-616-CELL (2355) [email protected] Support: 877-678-TECH (8324) [email protected] Web: cellsignal.com
For Research Use Only. Not for Use in Diagnostic Procedures.