Revision 1

#33510

Store at -20C

CST Logo
Orders:

877-616-CELL (2355)

[email protected]

Support:

877-678-TECH (8324)

3 Trask Lane | Danvers | Massachusetts | 01923 | USA

For Research Use Only. Not for Use in Diagnostic Procedures.

Applications:
W, IP, IHC-P

Reactivity:
H M R Mk

Sensitivity:
Endogenous

MW (kDa):
180

Source/Isotype:
Rabbit IgG

UniProt ID:
#O15550

Entrez-Gene Id:
7403

Product Usage Information

Application Dilution
Western Blotting 1:1000
Immunoprecipitation 1:200
Immunohistochemistry (Paraffin) 1:200 - 1:800

Storage

Supplied in 10 mM sodium HEPES (pH 7.5), 150 mM NaCl, 100 µg/ml BSA, 50% glycerol and less than 0.02% sodium azide. Store at –20°C. Do not aliquot the antibody.

Specificity/Sensitivity

UTX (D3Q1I) Rabbit Monoclonal Antibody recognizes endogenous levels of total UTX protein. This antibody does not cross-react with UTY protein. This antibody also cross-reacts with unidentified proteins of 60 kDa and 70 kDa.

Source / Purification

Monoclonal antibody is produced by immunizing animals with recombinant protein surrounding Ala490 of human UTX protein.

Background

The methylation state of lysine residues in histone proteins is a major determinant of the formation of active and inactive regions of the genome and is crucial for proper programming of the genome during development (1,2). Jumonji C (JmjC) domain-containing proteins represent the largest class of potential histone demethylase proteins (3). The JmjC domain can catalyze the demethylation of mono-, di-, and tri-methyl lysine residues via an oxidative reaction that requires iron and α-ketoglutarate (3). Based on homology, both humans and mice contain at least 30 such proteins, which can be divided into 7 separate families (3). The three members of the UTX/UTY family include the ubiquitously transcribed X chromosome tetratricopeptide repeat protein (UTX), the ubiquitously transcribed Y chromosome tetratricopeptide repeat protein (UTY), and JmjC domain-containing protein 3 (JMJD3) (3). This family of proteins has been shown to demethylate both di- and tri-methyl histone H3 Lys 27 (4-8). The UTX gene escapes X inactivation in females and is ubiquitously expressed (9). UTX functions to regulate HOX gene expression during development (4-6). JMJD3 functions to regulate gene expression in macrophages responding to various inflammatory stimuli and has been shown to be upregulated in prostate cancer (7,8). Both UTX and JMJD3 interact with mixed-lineage leukemia (MLL) complexes 2 and 3, both of which have been shown to methylate histone H3 at Lys4 (6,7). The UTY gene is expressed in most tissues in the male mouse (10).

Species Reactivity

Species reactivity is determined by testing in at least one approved application (e.g., western blot).

Western Blot Buffer

IMPORTANT: For western blots, incubate membrane with diluted primary antibody in 5% w/v BSA, 1X TBS, 0.1% Tween® 20 at 4°C with gentle shaking, overnight.

Applications Key

W: Western Blotting IP: Immunoprecipitation IHC-P: Immunohistochemistry (Paraffin)

Cross-Reactivity Key

H: Human M: Mouse R: Rat Mk: Monkey

Trademarks and Patents

Cell Signaling Technology is a trademark of Cell Signaling Technology, Inc.

SignalStain is a registered trademark of Cell Signaling Technology, Inc.

All other trademarks are the property of their respective owners. Visit cellsignal.com/trademarks for more information.

Limited Uses

Except as otherwise expressly agreed in a writing signed by a legally authorized representative of CST, the following terms apply to Products provided by CST, its affiliates or its distributors. Any Customer's terms and conditions that are in addition to, or different from, those contained herein, unless separately accepted in writing by a legally authorized representative of CST, are rejected and are of no force or effect.

Products are labeled with For Research Use Only or a similar labeling statement and have not been approved, cleared, or licensed by the FDA or other regulatory foreign or domestic entity, for any purpose. Customer shall not use any Product for any diagnostic or therapeutic purpose, or otherwise in any manner that conflicts with its labeling statement. Products sold or licensed by CST are provided for Customer as the end-user and solely for research and development uses. Any use of Product for diagnostic, prophylactic or therapeutic purposes, or any purchase of Product for resale (alone or as a component) or other commercial purpose, requires a separate license from CST. Customer shall (a) not sell, license, loan, donate or otherwise transfer or make available any Product to any third party, whether alone or in combination with other materials, or use the Products to manufacture any commercial products, (b) not copy, modify, reverse engineer, decompile, disassemble or otherwise attempt to discover the underlying structure or technology of the Products, or use the Products for the purpose of developing any products or services that would compete with CST products or services, (c) not alter or remove from the Products any trademarks, trade names, logos, patent or copyright notices or markings, (d) use the Products solely in accordance with CST Product Terms of Sale and any applicable documentation, and (e) comply with any license, terms of service or similar agreement with respect to any third party products or services used by Customer in connection with the Products.

Orders: 877-616-CELL (2355) [email protected] Support: 877-678-TECH (8324) [email protected] Web: cellsignal.com
For Research Use Only. Not for Use in Diagnostic Procedures.

Revision 1

Cell Signaling Technology Logo
Western blot analysis of extracts from various cell lines using UTX (D3Q1I) Rabbit mAb (upper) and α-Actinin (D6F6) XP® Rabbit mAb #6487 (lower). As expected, THP-1 cells are negative for UTX.
Western Blotting Image 1: UTX (D3Q1I) Rabbit Monoclonal Antibody
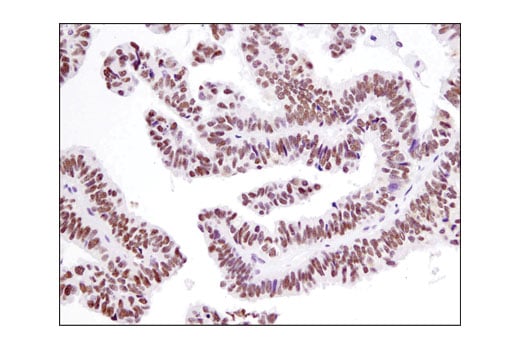
Immunohistochemical analysis of paraffin-embedded human breast carcinoma using UTX (D3Q1I) Rabbit mAb.
Immunohistochemistry Image 1: UTX (D3Q1I) Rabbit Monoclonal Antibody
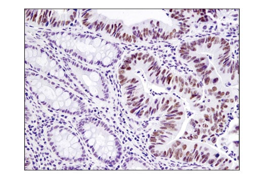
Immunohistochemical analysis of paraffin-embedded colon carcinoma using UTX (D3Q1I) Rabbit mAb.
Immunohistochemistry Image 2: UTX (D3Q1I) Rabbit Monoclonal Antibody
Orders: 877-616-CELL (2355) [email protected] Support: 877-678-TECH (8324) [email protected] Web: cellsignal.com
For Research Use Only. Not for Use in Diagnostic Procedures.

Revision 1

Cell Signaling Technology Logo
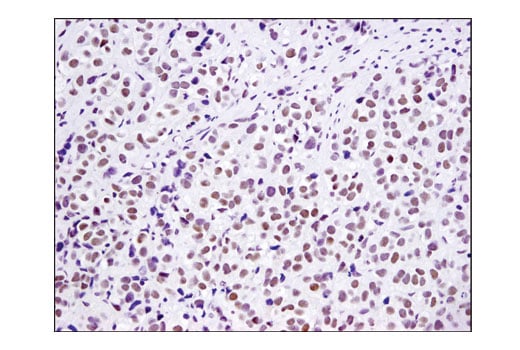
Immunohistochemical analysis of paraffin-embedded human ovarian carcinoma using UTX (D3Q1I) Rabbit mAb.
Immunohistochemistry Image 3: UTX (D3Q1I) Rabbit Monoclonal Antibody
Immunohistochemical analysis of paraffin-embedded 293 (left) and THP-1 (right) cell pellets using UTX (D3Q1I) Rabbit mAb.
Immunohistochemistry Image 4: UTX (D3Q1I) Rabbit Monoclonal Antibody
Orders: 877-616-CELL (2355) [email protected] Support: 877-678-TECH (8324) [email protected] Web: cellsignal.com
For Research Use Only. Not for Use in Diagnostic Procedures.