Revision 3

#28521

Store at -20C

CST Logo
Orders:

877-616-CELL (2355)

[email protected]

Support:

877-678-TECH (8324)

3 Trask Lane | Danvers | Massachusetts | 01923 | USA

For Research Use Only. Not for Use in Diagnostic Procedures.

Applications:
W, IHC-P, IF-F, IF-IC, ELISA

Reactivity:
H M

Sensitivity:
Endogenous

MW (kDa):
210, 230

Source/Isotype:
Rabbit IgG

UniProt ID:
#P35968

Entrez-Gene Id:
3791

Product Usage Information

This product is the carrier free version of product #2479. All data were generated using the same antibody clone in the standard formulation which contains BSA and glycerol.

This formulation is ideal for use with technologies requiring specialized or custom antibody labeling, including fluorophores, metals, lanthanides, and oligonucleotides. It is not recommended for ChIP, ChIP-seq, CUT&RUN or CUT&Tag assays. If you require a carrier free formulation for chromatin profiling, please contact us. Optimal dilutions/concentrations should be determined by the end user.

BSA and Azide Free antibodies are quality control tested by size exclusion chromatography (SEC) to determine antibody integrity.

Formulation

Supplied in 1X PBS (10 mM Na2HPO4, 3 mM KCl, 2 mM KH2PO4, and 140 mM NaCl (pH 7.8)). BSA and Azide Free.

For standard formulation of this product see product #2479

Storage

Store at -20°C. This product will freeze at -20°C so it is recommended to aliquot into single-use vials to avoid multiple freeze/thaw cycles. A slight precipitate may be present and can be dissolved by gently vortexing. This will not interfere with antibody performance.

Specificity/Sensitivity

VEGF Receptor 2 (55B11) Rabbit Monoclonal Antibody (BSA and Azide Free) detects endogenous levels of VEGF receptor 2 protein. This antibody does not cross-react with other family members.

Species predicted to react based on 100% sequence homology

Bovine

Source / Purification

Monoclonal antibody is produced by immunizing animals with a recombinant protein containing the carboxy-terminal 150 amino acid residues of human VEGF receptor 2.

Background

Vascular endothelial growth factor receptor 2 (VEGFR2, KDR, Flk-1) is a major receptor for VEGF-induced signaling in endothelial cells. Upon ligand binding, VEGFR2 undergoes autophosphorylation and becomes activated (1). Major autophosphorylation sites of VEGFR2 are located in the kinase insert domain (Tyr951/996) and in the tyrosine kinase catalytic domain (Tyr1054/1059) (2). Activation of the receptor leads to rapid recruitment of adaptor proteins, including Shc, GRB2, PI3 kinase, NCK, and the protein tyrosine phosphatases SHP-1 and SHP-2 (3). Phosphorylation at Tyr1212 provides a docking site for GRB2 binding and phospho-Tyr1175 binds the p85 subunit of PI3 kinase and PLCγ, as well as Shb (1,4,5). Signaling from VEGFR2 is necessary for the execution of VEGF-stimulated proliferation, chemotaxis and sprouting, as well as survival of cultured endothelial cells in vitro and angiogenesis in vivo (6-8).

Species Reactivity

Species reactivity is determined by testing in at least one approved application (e.g., western blot).

Applications Key

W: Western Blotting IHC-P: Immunohistochemistry (Paraffin) IF-F: Immunofluorescence (Frozen) IF-IC: Immunofluorescence (Immunocytochemistry) ELISA: ELISA

Cross-Reactivity Key

H: Human M: Mouse

Trademarks and Patents

Cell Signaling Technology is a trademark of Cell Signaling Technology, Inc.

All other trademarks are the property of their respective owners. Visit cellsignal.com/trademarks for more information.

Limited Uses

Except as otherwise expressly agreed in a writing signed by a legally authorized representative of CST, the following terms apply to Products provided by CST, its affiliates or its distributors. Any Customer's terms and conditions that are in addition to, or different from, those contained herein, unless separately accepted in writing by a legally authorized representative of CST, are rejected and are of no force or effect.

Products are labeled with For Research Use Only or a similar labeling statement and have not been approved, cleared, or licensed by the FDA or other regulatory foreign or domestic entity, for any purpose. Customer shall not use any Product for any diagnostic or therapeutic purpose, or otherwise in any manner that conflicts with its labeling statement. Products sold or licensed by CST are provided for Customer as the end-user and solely for research and development uses. Any use of Product for diagnostic, prophylactic or therapeutic purposes, or any purchase of Product for resale (alone or as a component) or other commercial purpose, requires a separate license from CST. Customer shall (a) not sell, license, loan, donate or otherwise transfer or make available any Product to any third party, whether alone or in combination with other materials, or use the Products to manufacture any commercial products, (b) not copy, modify, reverse engineer, decompile, disassemble or otherwise attempt to discover the underlying structure or technology of the Products, or use the Products for the purpose of developing any products or services that would compete with CST products or services, (c) not alter or remove from the Products any trademarks, trade names, logos, patent or copyright notices or markings, (d) use the Products solely in accordance with CST Product Terms of Sale and any applicable documentation, and (e) comply with any license, terms of service or similar agreement with respect to any third party products or services used by Customer in connection with the Products.

Orders: 877-616-CELL (2355) [email protected] Support: 877-678-TECH (8324) [email protected] Web: cellsignal.com
For Research Use Only. Not for Use in Diagnostic Procedures.

Revision 3

Cell Signaling Technology Logo
Western blot analysis of extracts from various cell lines and primary cell cultures, using VEGF Receptor 2 (55B11) Rabbit mAb. PAE/CKR cells overexpress chimeric receptors containing human CSF-1 extracellular binding domain/mouse VEGF receptor 2 intracellular domains (Rahimi, N. et al. [2000] J. Biol. Chem. 275, 16986-16992). PAE/VEGFR1 cells overexpress human VEGF receptor 1. Data were generated using the standard formulation of this product.
Western Blotting Image 1: VEGF Receptor 2 (55B11) Rabbit Monoclonal Antibody (BSA and Azide Free)
Immunohistochemical analysis of paraffin-embedded human astrocytoma, using VEGF Receptor 2 (55B11) Rabbit mAb. Data were generated using the standard formulation of this product.
Immunohistochemistry Image 1: VEGF Receptor 2 (55B11) Rabbit Monoclonal Antibody (BSA and Azide Free)
Immunohistochemical analysis of paraffin-embedded breast angiosarcoma, using VEGF Receptor 2 (55B11) Rabbit mAb (left). A serial section is stained for CD31 (PECAM-1), an endothelial cell marker (right). Data were generated using the standard formulation of this product.
Immunohistochemistry Image 2: VEGF Receptor 2 (55B11) Rabbit Monoclonal Antibody (BSA and Azide Free)
Orders: 877-616-CELL (2355) [email protected] Support: 877-678-TECH (8324) [email protected] Web: cellsignal.com
For Research Use Only. Not for Use in Diagnostic Procedures.

Revision 3

Cell Signaling Technology Logo
Immunohistochemical analysis of paraffin-embedded HUVEC cells, using VEGF Receptor 2 (55B11) Rabbit mAb. Data were generated using the standard formulation of this product.
Immunohistochemistry Image 3: VEGF Receptor 2 (55B11) Rabbit Monoclonal Antibody (BSA and Azide Free)
Immunohistochemical analysis of paraffin-embedded human renal adenocarcinoma, using VEGF Receptor 2 (55B11) Rabbit mAb. Data were generated using the standard formulation of this product.
Immunohistochemistry Image 4: VEGF Receptor 2 (55B11) Rabbit Monoclonal Antibody (BSA and Azide Free)
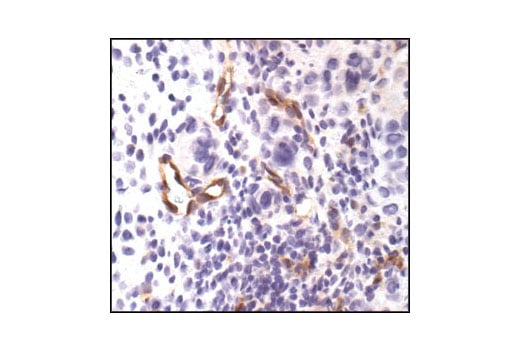
Immunohistochemical analysis of paraffin-embedded HT-29 xenograft, using VEGF Receptor 2 (55B11) Rabbit mAb. Note staining of mouse blood vessels. Data were generated using the standard formulation of this product.
Immunohistochemistry Image 5: VEGF Receptor 2 (55B11) Rabbit Monoclonal Antibody (BSA and Azide Free)
Orders: 877-616-CELL (2355) [email protected] Support: 877-678-TECH (8324) [email protected] Web: cellsignal.com
For Research Use Only. Not for Use in Diagnostic Procedures.

Revision 3

Cell Signaling Technology Logo
Confocal immunofluorescent analysis of mouse pancreas using VEGF Receptor 2 (55B11) Rabbit mAb (green) and S6 Ribosomal Protein (54D2) Mouse mAb #2317 (red). Blue pseudocolor = DRAQ5® #4084 (fluorescent DNA dye). Data were generated using the standard formulation of this product.
Immunofluorescence Image 1: VEGF Receptor 2 (55B11) Rabbit Monoclonal Antibody (BSA and Azide Free)
Confocal immunofluorescent images of HUVEC cells untreated (left) or stimulated with Vascular Endothelial Growth Factor (VEGF) (right) and labeled with Phospho-VEGF Receptor 2 (Tyr1175) (19A10) Rabbit mAb #2478 (top, green) and VEGF Receptor 2 (55B11) Rabbit mAb (bottom, green). Blue pseudocolor = DRAQ5® (fluorescent DNA dye). Data were generated using the standard formulation of this product.
Immunofluorescence Image 1: VEGF Receptor 2 (55B11) Rabbit Monoclonal Antibody (BSA and Azide Free)
Data using Phospho-VEGFR-2 (Tyr1175) Matched Antibody Pair #37611 are shown. The two antibodies function as a capture-target-detection sandwich (#28521 and #79800, respectively) to detect endogenous protein expression in positive and negative controls.
ELISA Image 1: VEGF Receptor 2 (55B11) Rabbit Monoclonal Antibody (BSA and Azide Free)
Orders: 877-616-CELL (2355) [email protected] Support: 877-678-TECH (8324) [email protected] Web: cellsignal.com
For Research Use Only. Not for Use in Diagnostic Procedures.