Revision 8

#81292

Store at -20C

CST Logo
Orders:

877-616-CELL (2355)

[email protected]

Support:

877-678-TECH (8324)

3 Trask Lane | Danvers | Massachusetts | 01923 | USA

For Research Use Only. Not for Use in Diagnostic Procedures.

Applications:
W-S, IHC-Bond, IHC-P

Reactivity:
H M

Sensitivity:
Endogenous

Source/Isotype:
Rabbit IgG

UniProt ID:
#P40337

Entrez-Gene Id:
7428

Product Usage Information

Application Dilution
Simple Western™ 1:10 - 1:50
IHC Leica Bond 1:50 - 1:200
Immunohistochemistry (Paraffin) 1:50 - 1:200

Storage

Supplied in 10 mM sodium HEPES (pH 7.5), 150 mM NaCl, 100 µg/mL BSA, 50% glycerol, and less than 0.02% sodium azide. Store at –20°C. Do not aliquot the antibody.

For a carrier free (BSA and azide free) version of this product see product #82127.

Specificity/Sensitivity

VHL (E3X9K) Rabbit Monoclonal Antibody recognizes endogenous levels of total VHL protein. Non-specific staining of skeletal and cardiac muscle has been observed by immunohistochemistry. This antibody is not approved for traditional western blot analysis.

Source / Purification

Monoclonal antibody is produced by immunizing animals with recombinant protein specific to human VHL protein.

Background

The von Hippel-Lindau (VHL) protein is a substrate recognition component of an E3 ubiquitin ligase complex containing elongin BC (TCEB1 and TCEB2), cullin 1 (CUL1), and RING-box protein 1 (RBX1) (1-3). VHL protein has been shown to exist as three distinct isoforms resulting from alternatively spliced transcript variants (4). Loss of VHL protein function results in a dominantly inherited familial cancer syndrome that manifests as angiomas of the retina, hemangioblastomas of the central nervous system, renal clear cell carcinomas, and pheochromocytomas (4). Under normoxic conditions, VHL directs the ubiquitylation and subsequent proteasomal degradation of the hypoxia-inducible factor 1α (HIF-1α), maintaining very low levels of HIF-1α in the cell. Cellular exposure to hypoxic conditions, or loss of VHL protein function, results in increased HIF-1α protein levels and increased expression of HIF-induced gene products, many of which are angiogenesis factors such as vascular endothelial growth factor (VEGF). Thus, loss of VHL protein function is believed to contribute to the formation of highly vascular neoplasias (4). In addition to HIF-1α, VHL is known to regulate the ubiquitylation of several other proteins, including tat-binding protein-1 (TBP-1), the atypical protein kinase C (aPKC) lambda, and two subunits of the multiprotein RNA polymerase II complex (RPB1 and RPB7) (5-8). Interactions with elongin BC, RPB1, RPB7, and the pVHL-associated KRAB-A domain-containing protein (VHLaK) suggest that VHL may also play a more direct role in transcriptional repression.

Species Reactivity

Species reactivity is determined by testing in at least one approved application (e.g., western blot).

Applications Key

W-S: Simple Western™ IHC-Bond: IHC Leica Bond IHC-P: Immunohistochemistry (Paraffin)

Cross-Reactivity Key

H: Human M: Mouse

Trademarks and Patents

Cell Signaling Technology is a trademark of Cell Signaling Technology, Inc.

All other trademarks are the property of their respective owners. Visit cellsignal.com/trademarks for more information.

Limited Uses

Except as otherwise expressly agreed in a writing signed by a legally authorized representative of CST, the following terms apply to Products provided by CST, its affiliates or its distributors. Any Customer's terms and conditions that are in addition to, or different from, those contained herein, unless separately accepted in writing by a legally authorized representative of CST, are rejected and are of no force or effect.

Products are labeled with For Research Use Only or a similar labeling statement and have not been approved, cleared, or licensed by the FDA or other regulatory foreign or domestic entity, for any purpose. Customer shall not use any Product for any diagnostic or therapeutic purpose, or otherwise in any manner that conflicts with its labeling statement. Products sold or licensed by CST are provided for Customer as the end-user and solely for research and development uses. Any use of Product for diagnostic, prophylactic or therapeutic purposes, or any purchase of Product for resale (alone or as a component) or other commercial purpose, requires a separate license from CST. Customer shall (a) not sell, license, loan, donate or otherwise transfer or make available any Product to any third party, whether alone or in combination with other materials, or use the Products to manufacture any commercial products, (b) not copy, modify, reverse engineer, decompile, disassemble or otherwise attempt to discover the underlying structure or technology of the Products, or use the Products for the purpose of developing any products or services that would compete with CST products or services, (c) not alter or remove from the Products any trademarks, trade names, logos, patent or copyright notices or markings, (d) use the Products solely in accordance with CST Product Terms of Sale and any applicable documentation, and (e) comply with any license, terms of service or similar agreement with respect to any third party products or services used by Customer in connection with the Products.

Orders: 877-616-CELL (2355) [email protected] Support: 877-678-TECH (8324) [email protected] Web: cellsignal.com
For Research Use Only. Not for Use in Diagnostic Procedures.

Revision 8

Cell Signaling Technology Logo
Simple WesternTM analysis of lysates (1 mg/mL) from HeLa lysate using VHL (E3X9K) Rabbit mAb #81292. The virtual lane view (left) shows the target band (as indicated) at 1:10 and 1:50 dilutions of primary antibody. The corresponding electropherogram view (right) plots chemiluminescence by molecular weight along the capillary at 1:10 (blue line) and 1:50 (green line) dilutions of primary antibody.  This experiment was performed under reducing conditions on the JessTM Simple Western instrument from ProteinSimple, a BioTechne brand, using the 12-230 kDa separation module. This antibody is not approved for traditional western blot analysis.
Western Blotting Image 1: VHL (E3X9K) Rabbit Monoclonal Antibody
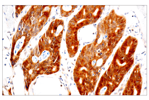
Immunohistochemical analysis of paraffin-embedded human esophageal adenocarcinoma using VHL (E3X9K) Rabbit mAb performed on the Leica BOND Rx.
Immunohistochemistry Image 1: VHL (E3X9K) Rabbit Monoclonal Antibody
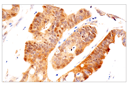
Immunohistochemical analysis of paraffin-embedded human colon carcinoma using VHL (E3X9K) Rabbit mAb performed on the Leica BOND Rx.
Immunohistochemistry Image 2: VHL (E3X9K) Rabbit Monoclonal Antibody
Orders: 877-616-CELL (2355) [email protected] Support: 877-678-TECH (8324) [email protected] Web: cellsignal.com
For Research Use Only. Not for Use in Diagnostic Procedures.

Revision 8

Cell Signaling Technology Logo
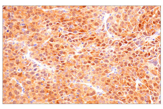
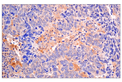
Immunohistochemical analysis of paraffin-embedded human clear cell renal cell carcinoma using VHL (E3X9K) Rabbit mAb performed on the Leica BOND Rx.
Immunohistochemistry Image 1: VHL (E3X9K) Rabbit Monoclonal Antibody
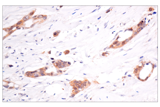
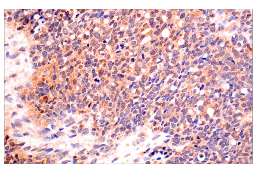
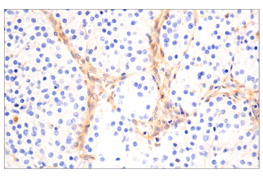
Immunohistochemical analysis of paraffin-embedded human small cell carcinoma of the salivary gland using VHL (E3X9K) Rabbit mAb.
Immunohistochemistry Image 2: VHL (E3X9K) Rabbit Monoclonal Antibody
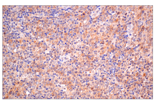
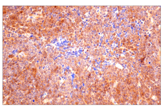
Immunohistochemical analysis of paraffin-embedded human B-cell non-Hodgkin lymphoma using VHL (E3X9K) Rabbit mAb.
Immunohistochemistry Image 3: VHL (E3X9K) Rabbit Monoclonal Antibody
Orders: 877-616-CELL (2355) [email protected] Support: 877-678-TECH (8324) [email protected] Web: cellsignal.com
For Research Use Only. Not for Use in Diagnostic Procedures.

Revision 8

Cell Signaling Technology Logo
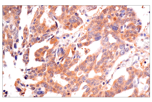
Immunohistochemical analysis of paraffin-embedded human serous adenocarcinoma of the ovary using VHL (E3X9K) Rabbit mAb.
Immunohistochemistry Image 4: VHL (E3X9K) Rabbit Monoclonal Antibody
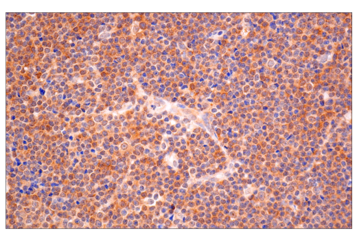
Immunohistochemical analysis of paraffin-embedded human T-cell lymphoma using VHL (E3X9K) Rabbit mAb.
Immunohistochemistry Image 5: VHL (E3X9K) Rabbit Monoclonal Antibody
Immunohistochemical analysis of paraffin-embedded human serous papillary carcinoma of the ovary using VHL (E3X9K) Rabbit mAb.
Immunohistochemistry Image 6: VHL (E3X9K) Rabbit Monoclonal Antibody
Orders: 877-616-CELL (2355) [email protected] Support: 877-678-TECH (8324) [email protected] Web: cellsignal.com
For Research Use Only. Not for Use in Diagnostic Procedures.

Revision 8

Cell Signaling Technology Logo

Immunohistochemical analysis of paraffin-embedded human ductal breast carcinoma using VHL (E3X9K) Rabbit mAb.

Immunohistochemistry Image 7: VHL (E3X9K) Rabbit Monoclonal Antibody
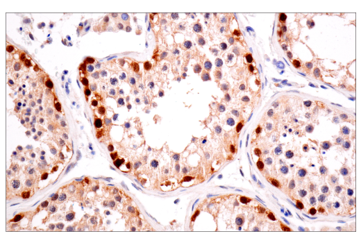
Immunohistochemical analysis of paraffin-embedded normal human testis using VHL (E3X9K) Rabbit mAb.
Immunohistochemistry Image 8: VHL (E3X9K) Rabbit Monoclonal Antibody
Immunohistochemical analysis of paraffin-embedded A20 syngeneic tumor using VHL (E3X9K) Rabbit mAb.
Immunohistochemistry Image 9: VHL (E3X9K) Rabbit Monoclonal Antibody
Orders: 877-616-CELL (2355) [email protected] Support: 877-678-TECH (8324) [email protected] Web: cellsignal.com
For Research Use Only. Not for Use in Diagnostic Procedures.

Revision 8

Cell Signaling Technology Logo

Immunohistochemical analysis of paraffin-embedded Renca syngeneic tumor using VHL (E3X9K) Rabbit mAb.

Immunohistochemistry Image 10: VHL (E3X9K) Rabbit Monoclonal Antibody
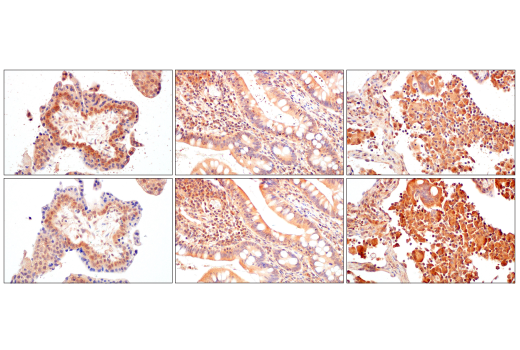
Immunohistochemical analysis of paraffin-embedded normal human placenta (left), small intestine (middle), or lung (right) using VHL (E3X9K) Rabbit mAb (top) or a VHL Rabbit mAb (bottom). These two antibodies detect unique, non-overlapping epitopes on human VHL. The similar staining patterns obtained with both antibodies help to confirm the specificity of the staining.
Immunohistochemistry Image 11: VHL (E3X9K) Rabbit Monoclonal Antibody
Immunohistochemical analysis of paraffin-embedded normal human placenta using VHL (E3X9K) Rabbit mAb (left) compared to concentration-matched Rabbit (DA1E) mAb XP® IgG Isotype Control #3900 (right).
Immunohistochemistry Image 12: VHL (E3X9K) Rabbit Monoclonal Antibody
Orders: 877-616-CELL (2355) [email protected] Support: 877-678-TECH (8324) [email protected] Web: cellsignal.com
For Research Use Only. Not for Use in Diagnostic Procedures.

Revision 8

Cell Signaling Technology Logo
Immunohistochemical analysis of paraffin-embedded HeLa cell pellet (left, positive) or 786-O cell pellet (right, negative) using VHL (E3X9K) Rabbit mAb.
Immunohistochemistry Image 13: VHL (E3X9K) Rabbit Monoclonal Antibody
Orders: 877-616-CELL (2355) [email protected] Support: 877-678-TECH (8324) [email protected] Web: cellsignal.com
For Research Use Only. Not for Use in Diagnostic Procedures.