Revision 20

#5741

Store at -20C

CST Logo
Orders:

877-616-CELL (2355)

[email protected]

Support:

877-678-TECH (8324)

3 Trask Lane | Danvers | Massachusetts | 01923 | USA

For Research Use Only. Not for Use in Diagnostic Procedures.

Applications:
W, W-F, W-S, IHC-Bond, IHC-P, IF-F, IF-IC, FC-FP

Reactivity:
H M R Hm Mk

Sensitivity:
Endogenous

MW (kDa):
57

Source/Isotype:
Rabbit IgG

UniProt ID:
#P08670

Entrez-Gene Id:
7431

Product Usage Information

Application Dilution
Western Blotting 1:1000
Fluorescent Western 1:1000
Simple Western™ 1:10 - 1:50
IHC Leica Bond 1:200 - 1:800
Immunohistochemistry (Paraffin) 1:100 - 1:400
Immunofluorescence (Frozen) 1:50 - 1:100
Immunofluorescence (Immunocytochemistry) 1:50 - 1:200
Flow Cytometry (Fixed/Permeabilized) 1:50 - 1:200

Storage

Supplied in 10 mM sodium HEPES (pH 7.5), 150 mM NaCl, 100 µg/ml BSA, 50% glycerol and less than 0.02% sodium azide. Store at –20°C. Do not aliquot the antibody.

For a carrier free (BSA and azide free) version of this product see product #46173.

Specificity/Sensitivity

Vimentin (D21H3) Rabbit Monoclonal Antibody detects endogenous levels of total vimentin protein.

Source / Purification

Monoclonal antibody is produced by immunizing animals with a synthetic peptide corresponding to residues surrounding Arg45 of human vimentin protein.

Background

The cytoskeleton consists of three types of cytosolic fibers: microfilaments (actin filaments), intermediate filaments, and microtubules. Major types of intermediate filaments are distinguished by their cell-specific expression: cytokeratins (epithelial cells), glial fibrillary acidic protein (GFAP) (glial cells), desmin (skeletal, visceral, and certain vascular smooth muscle cells), vimentin (mesenchyme origin), and neurofilaments (neurons). GFAP and vimentin form intermediate filaments in astroglial cells and modulate their motility and shape (1). In particular, vimentin filaments are present at early developmental stages, while GFAP filaments are characteristic of differentiated and mature brain astrocytes. Thus, GFAP is commonly used as a marker for intracranial and intraspinal tumors arising from astrocytes (2). Research studies have shown that vimentin is present in sarcomas, but not carcinomas, and its expression is examined in conjunction with that of other markers to distinguish between the two (3). Vimentin's dynamic structural changes and spatial re-organization in response to extracellular stimuli help to coordinate various signaling pathways (4). Phosphorylation of vimentin at Ser56 in smooth muscle cells regulates the structural arrangement of vimentin filaments in response to serotonin (5,6). Remodeling of vimentin and other intermediate filaments is important during lymphocyte adhesion and migration through the endothelium (7).

During mitosis, CDK1 phosphorylates vimentin at Ser56. This phosphorylation provides a PLK binding site for vimentin-PLK interaction. PLK further phosphorylates vimentin at Ser83, which might serve as a memory phosphorylation site and play a regulatory role in vimentin filament disassembly (8,9). Additionally, studies using various soft-tissue sarcoma cells have shown that phosphorylation of vimentin at Ser39 by Akt1 enhances cell migration and survival, suggesting that vimentin could be a potential target for soft-tissue sarcoma targeted therapy (10,11).

Species Reactivity

Species reactivity is determined by testing in at least one approved application (e.g., western blot).

Western Blot Buffer

IMPORTANT: For western blots, incubate membrane with diluted primary antibody in 5% w/v BSA, 1X TBS, 0.1% Tween® 20 at 4°C with gentle shaking, overnight.

Applications Key

W: Western Blotting W-F: Fluorescent Western W-S: Simple Western™ IHC-Bond: IHC Leica Bond IHC-P: Immunohistochemistry (Paraffin) IF-F: Immunofluorescence (Frozen) IF-IC: Immunofluorescence (Immunocytochemistry) FC-FP: Flow Cytometry (Fixed/Permeabilized)

Cross-Reactivity Key

H: Human M: Mouse R: Rat Hm: Hamster Mk: Monkey

Trademarks and Patents

Cell Signaling Technology is a trademark of Cell Signaling Technology, Inc.

All other trademarks are the property of their respective owners. Visit cellsignal.com/trademarks for more information.

Limited Uses

Except as otherwise expressly agreed in a writing signed by a legally authorized representative of CST, the following terms apply to Products provided by CST, its affiliates or its distributors. Any Customer's terms and conditions that are in addition to, or different from, those contained herein, unless separately accepted in writing by a legally authorized representative of CST, are rejected and are of no force or effect.

Products are labeled with For Research Use Only or a similar labeling statement and have not been approved, cleared, or licensed by the FDA or other regulatory foreign or domestic entity, for any purpose. Customer shall not use any Product for any diagnostic or therapeutic purpose, or otherwise in any manner that conflicts with its labeling statement. Products sold or licensed by CST are provided for Customer as the end-user and solely for research and development uses. Any use of Product for diagnostic, prophylactic or therapeutic purposes, or any purchase of Product for resale (alone or as a component) or other commercial purpose, requires a separate license from CST. Customer shall (a) not sell, license, loan, donate or otherwise transfer or make available any Product to any third party, whether alone or in combination with other materials, or use the Products to manufacture any commercial products, (b) not copy, modify, reverse engineer, decompile, disassemble or otherwise attempt to discover the underlying structure or technology of the Products, or use the Products for the purpose of developing any products or services that would compete with CST products or services, (c) not alter or remove from the Products any trademarks, trade names, logos, patent or copyright notices or markings, (d) use the Products solely in accordance with CST Product Terms of Sale and any applicable documentation, and (e) comply with any license, terms of service or similar agreement with respect to any third party products or services used by Customer in connection with the Products.

Orders: 877-616-CELL (2355) [email protected] Support: 877-678-TECH (8324) [email protected] Web: cellsignal.com
For Research Use Only. Not for Use in Diagnostic Procedures.

Revision 20

Cell Signaling Technology Logo
Western blot analysis of extracts from control HeLa cells (lane 1) or Vimentin knockout HeLa cells (lane 2) using Vimentin (D21H3) XP® Rabbit mAb #5741 (upper) or β-Actin (13E5) Rabbit mAb #4970 (lower). The absence of signal in the Vimentin knockout HeLa cells confirms specificity of the antibody for Vimentin.
Western Blotting Image 1: Vimentin (D21H3) Rabbit Monoclonal Antibody
Western blot analysis of extracts from various cell lines using Vimentin (D21H3) XP® Rabbit mAb.
Western Blotting Image 2: Vimentin (D21H3) Rabbit Monoclonal Antibody
Western blot analysis of extracts from HeLa and NIH/3T3 cells using Vimentin (D21H3) XP® Rabbit mAb #5741 (green), and α-Actinin (E7U1O) Mouse mAb #69758 (red). Anti-rabbit IgG (H+L) (DyLight 800 4X PEG Conjugate) #5151 (green) and Anti-mouse IgG (H+L) (DyLight 680 Conjugate) #5470 (red) were used as secondary antibodies.
Western Blotting Image 1: Vimentin (D21H3) Rabbit Monoclonal Antibody
Orders: 877-616-CELL (2355) [email protected] Support: 877-678-TECH (8324) [email protected] Web: cellsignal.com
For Research Use Only. Not for Use in Diagnostic Procedures.

Revision 20

Cell Signaling Technology Logo
Simple Western™ analysis of lysates (1 mg/mL) from HeLa cells using Vimentin (D21H3) XP ® Rabbit mAb #5741. The virtual lane view (left) shows a single target band (as indicated) at 1:10 and 1:50 dilutions of primary antibody. The corresponding electropherogram view (right) plots chemiluminescence by molecular weight along the capillary at 1:10 (blue line) and 1:50 (green line) dilutions of primary antibody. This experiment was performed under reducing conditions on the Jess™ Simple Western instrument from ProteinSimple, a BioTechne brand, using the 12-230 kDa separation module.
Western Blotting Image 1: Vimentin (D21H3) Rabbit Monoclonal Antibody
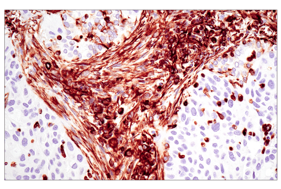
Immunohistochemical analysis of paraffin-embedded human squamous cell lung carcinoma using Vimentin (D21H3) XP® Rabbit mAb performed on the Leica® BOND™ Rx.
Immunohistochemistry Image 1: Vimentin (D21H3) Rabbit Monoclonal Antibody
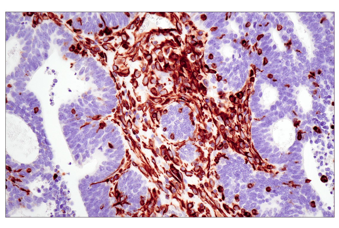
Immunohistochemical analysis of paraffin-embedded human endometrioid adenocarcinoma using Vimentin (D21H3) XP® Rabbit mAb performed on the Leica® BOND™ Rx.
Immunohistochemistry Image 2: Vimentin (D21H3) Rabbit Monoclonal Antibody
Orders: 877-616-CELL (2355) [email protected] Support: 877-678-TECH (8324) [email protected] Web: cellsignal.com
For Research Use Only. Not for Use in Diagnostic Procedures.

Revision 20

Cell Signaling Technology Logo
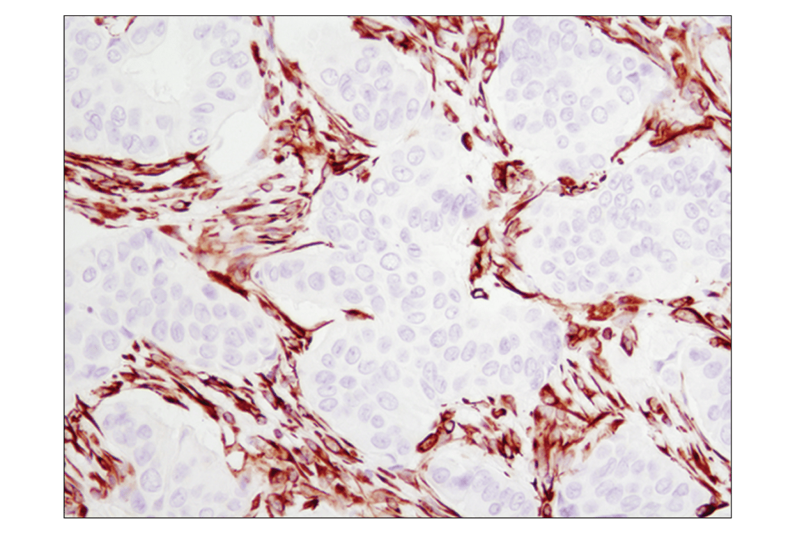
Immunohistochemical analysis of paraffin-embedded human breast carcinoma using Vimentin (D21H3) XP® Rabbit mAb.
Immunohistochemistry Image 1: Vimentin (D21H3) Rabbit Monoclonal Antibody
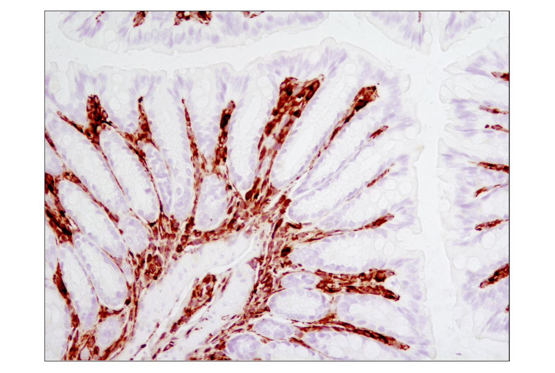
Immunohistochemical analysis of paraffin-embedded mouse colon using Vimentin (D21H3) XP® Rabbit mAb.
Immunohistochemistry Image 2: Vimentin (D21H3) Rabbit Monoclonal Antibody
Immunohistochemical analysis of paraffin-embedded rat colon using Vimentin (D21H3) XP® Rabbit mAb.
Immunohistochemistry Image 3: Vimentin (D21H3) Rabbit Monoclonal Antibody
Orders: 877-616-CELL (2355) [email protected] Support: 877-678-TECH (8324) [email protected] Web: cellsignal.com
For Research Use Only. Not for Use in Diagnostic Procedures.

Revision 20

Cell Signaling Technology Logo
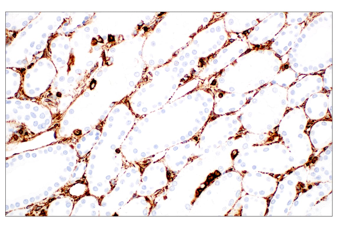
Immunohistochemical analysis of paraffin-embedded rhesus kidney using Vimentin (D21H3) XP® Rabbit mAb.
Immunohistochemistry Image 4: Vimentin (D21H3) Rabbit Monoclonal Antibody
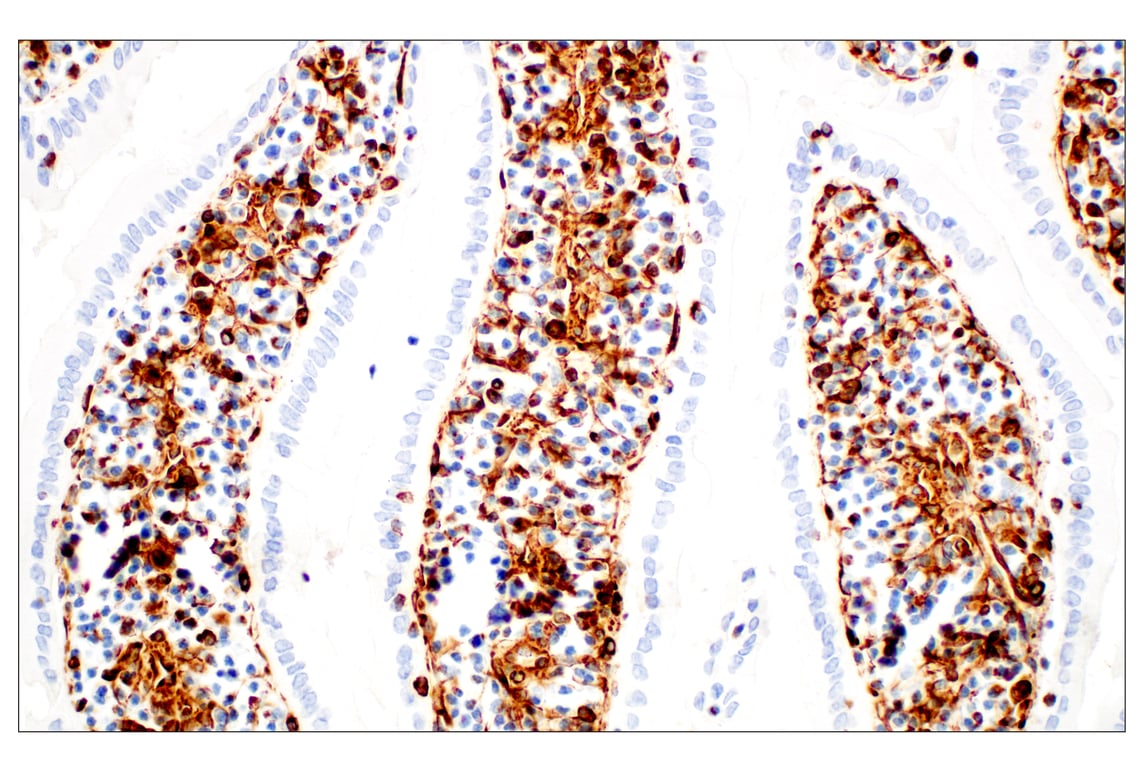
Immunohistochemical analysis of paraffin-embedded Syrian hamster small intestine using Vimentin (D21H3) XP® Rabbit mAb.
Immunohistochemistry Image 5: Vimentin (D21H3) Rabbit Monoclonal Antibody
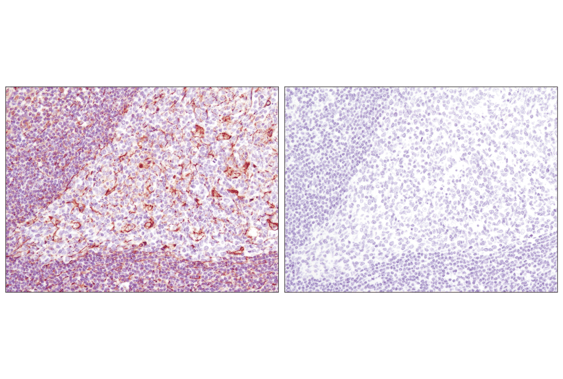
Immunohistochemical analysis of paraffin-embedded human tonsil using Vimentin (D21H3) XP® Rabbit mAb in the presence of control peptide (left) or antigen-specific peptide (right).
Immunohistochemistry Image 6: Vimentin (D21H3) Rabbit Monoclonal Antibody
Orders: 877-616-CELL (2355) [email protected] Support: 877-678-TECH (8324) [email protected] Web: cellsignal.com
For Research Use Only. Not for Use in Diagnostic Procedures.

Revision 20

Cell Signaling Technology Logo
Confocal immunofluorescent analysis of fixed frozen mouse kidney labeled with Vimentin (D21H3) XP® Rabbit mAb (left, green) and co-labeled with F4/80 (BM8.1) Rat mAb (right, red), and ProLong® Gold Antifade Reagent with DAPI #8961 (right, blue).
Immunofluorescence Image 1: Vimentin (D21H3) Rabbit Monoclonal Antibody
Confocal immunofluorescent analysis of fixed frozen mouse cerebellum labeled with Vimentin (D21H3) XP® Rabbit mAb (left, green) and co-labeled with F4/80 (BM8.1) Rat mAb (right, red), and ProLong® Gold Antifade Reagent with DAPI #8961 (right, blue).
Immunofluorescence Image 2: Vimentin (D21H3) Rabbit Monoclonal Antibody
Confocal immunofluorescent analysis of fixed frozen mouse colon using Vimentin (D21H3) XP® Rabbit mAb (green), F4/80 (BM8.1) Rat mAb (red), and ProLong® Gold Antifade Reagent with DAPI #8961 (blue).
Immunofluorescence Image 3: Vimentin (D21H3) Rabbit Monoclonal Antibody
Orders: 877-616-CELL (2355) [email protected] Support: 877-678-TECH (8324) [email protected] Web: cellsignal.com
For Research Use Only. Not for Use in Diagnostic Procedures.

Revision 20

Cell Signaling Technology Logo
Confocal immunofluorescent analysis of SNB19 cells using Vimentin (D21H3) Rabbit mAb (green). Blue pseudocolor = DRAQ5® #4084 (fluorescent DNA dye).
Immunofluorescence Image 1: Vimentin (D21H3) Rabbit Monoclonal Antibody
Flow cytometric analysis of MCF7 cells (blue, negative) and HeLa cells (green, positive) using Vimentin (D21H3) XP® Rabbit mAb(solid lines) or a concentration-matched Rabbit (DA1E) mAb IgG XP® Isotype Control #3900 (dashed lines). Anti-rabbit IgG (H+L), F(ab')2 Fragment (Alexa Fluor® 488 Conjugate) #4412 was used as a secondary antibody.
Flow Cytometry Image 1: Vimentin (D21H3) Rabbit Monoclonal Antibody
Orders: 877-616-CELL (2355) [email protected] Support: 877-678-TECH (8324) [email protected] Web: cellsignal.com
For Research Use Only. Not for Use in Diagnostic Procedures.