Revision 7

#13901

Store at -20C

CST Logo
Orders:

877-616-CELL (2355)

[email protected]

Support:

877-678-TECH (8324)

3 Trask Lane | Danvers | Massachusetts | 01923 | USA

For Research Use Only. Not for Use in Diagnostic Procedures.

Applications:
W, W-S, IHC-Bond, IHC-P, FC-FP

Reactivity:
H M R Mk

Sensitivity:
Endogenous

MW (kDa):
124

Source/Isotype:
Rabbit IgG

UniProt ID:
#P18206-2

Entrez-Gene Id:
7414

Product Usage Information

Application Dilution
Western Blotting 1:1000
Simple Western™ 1:10 - 1:50
IHC Leica Bond 1:600 - 1:2400
Immunohistochemistry (Paraffin) 1:150 - 1:600
Flow Cytometry (Fixed/Permeabilized) 1:800 - 1:1600

Storage

Supplied in 10 mM sodium HEPES (pH 7.5), 150 mM NaCl, 100 µg/ml BSA, 50% glycerol and less than 0.02% sodium azide. Store at –20°C. Do not aliquot the antibody.

For a carrier free (BSA and azide free) version of this product see product #40211.

Specificity/Sensitivity

Vinculin (E1E9V) Rabbit Monoclonal Antibody recognizes endogenous levels of total vinculin protein. This antibody also reacts with metavinculin, a 145 kDa splice variant of vinculin.

Source / Purification

Monoclonal antibody is produced by immunizing animals with recombinant protein specific to the amino terminus of human vinculin protein.

Background

Vinculin is a cytoskeletal protein that plays an important role in the regulation of focal adhesions and embryonic development (1-4). Three structural vinculin domains include an amino-terminal head, a short, flexible proline-rich region, and a carboxy-terminal tail (1). In the inactive state, the head and tail domains of vinculin interact to form a closed conformation. The open and active form of vinculin translocates to focal adhesions, where it is thought to be involved in anchoring F-actin to the membrane and regulation of cell migration (2). Phospholipid binding to the tail domain and subsequent phosphorylation of vinculin at Ser1033 and Ser1045 by PKC-α and Tyr100 and Tyr1065 by Src kinases weakens the head-tail interaction (5,6). This change in vinculin allows the binding of a number of other proteins, including talin, α-actinin, and paxillin, which disrupts the head-tail interaction and initiates the conformational change from the inactive to active state (2,4). Vinculin deficiencies are associated with a decrease in cell adhesion and an increase in cell motility, suggesting a possible role in metastatic growth (7,8). This is supported by a demonstrated relationship between decreased vinculin expression and increased carcinogenesis and metastasis in colorectal carcinoma (9).

Species Reactivity

Species reactivity is determined by testing in at least one approved application (e.g., western blot).

Western Blot Buffer

IMPORTANT: For western blots, incubate membrane with diluted primary antibody in 5% w/v BSA, 1X TBS, 0.1% Tween® 20 at 4°C with gentle shaking, overnight.

Applications Key

W: Western Blotting W-S: Simple Western™ IHC-Bond: IHC Leica Bond IHC-P: Immunohistochemistry (Paraffin) FC-FP: Flow Cytometry (Fixed/Permeabilized)

Cross-Reactivity Key

H: Human M: Mouse R: Rat Mk: Monkey

Trademarks and Patents

Cell Signaling Technology is a trademark of Cell Signaling Technology, Inc.

Alexa Fluor is a registered trademark of Life Technologies Corporation.

All other trademarks are the property of their respective owners. Visit cellsignal.com/trademarks for more information.

Limited Uses

Except as otherwise expressly agreed in a writing signed by a legally authorized representative of CST, the following terms apply to Products provided by CST, its affiliates or its distributors. Any Customer's terms and conditions that are in addition to, or different from, those contained herein, unless separately accepted in writing by a legally authorized representative of CST, are rejected and are of no force or effect.

Products are labeled with For Research Use Only or a similar labeling statement and have not been approved, cleared, or licensed by the FDA or other regulatory foreign or domestic entity, for any purpose. Customer shall not use any Product for any diagnostic or therapeutic purpose, or otherwise in any manner that conflicts with its labeling statement. Products sold or licensed by CST are provided for Customer as the end-user and solely for research and development uses. Any use of Product for diagnostic, prophylactic or therapeutic purposes, or any purchase of Product for resale (alone or as a component) or other commercial purpose, requires a separate license from CST. Customer shall (a) not sell, license, loan, donate or otherwise transfer or make available any Product to any third party, whether alone or in combination with other materials, or use the Products to manufacture any commercial products, (b) not copy, modify, reverse engineer, decompile, disassemble or otherwise attempt to discover the underlying structure or technology of the Products, or use the Products for the purpose of developing any products or services that would compete with CST products or services, (c) not alter or remove from the Products any trademarks, trade names, logos, patent or copyright notices or markings, (d) use the Products solely in accordance with CST Product Terms of Sale and any applicable documentation, and (e) comply with any license, terms of service or similar agreement with respect to any third party products or services used by Customer in connection with the Products.

Orders: 877-616-CELL (2355) [email protected] Support: 877-678-TECH (8324) [email protected] Web: cellsignal.com
For Research Use Only. Not for Use in Diagnostic Procedures.

Revision 7

Cell Signaling Technology Logo
Western blot analysis of extracts from various cell lines using Vinculin (E1E9V) XP® Rabbit mAb (upper) or α-Actinin (D6F6) XP® Rabbit mAb, #6487 (lower).
Western Blotting Image 1: Vinculin (E1E9V) Rabbit Monoclonal Antibody
Simple Western™ analysis of lysates (0.1 mg/mL) from HeLa cells using Vinculin (E1E9V) XP® Rabbit mAb #13901. The virtual lane view (left) shows the target band (as indicated) at 1:10 and 1:50 dilutions of primary antibody. The corresponding electropherogram view (right) plots chemiluminescence by molecular weight along the capillary at 1:10 (blue line) and 1:50 (green line) dilutions of primary antibody. This experiment was performed under reducing conditions on the Jess™ ​​​​​​​ Simple Western instrument from ProteinSimple, a BioTechne brand, using the 12-230 kDa separation module.
Western Blotting Image 1: Vinculin (E1E9V) Rabbit Monoclonal Antibody
Immunohistochemical analysis of paraffin-embedded human colon carcinoma using Vinculin (E1E9V) XP® Rabbit mAb performed on the Leica® BOND™ Rx.
Immunohistochemistry Image 1: Vinculin (E1E9V) Rabbit Monoclonal Antibody
Orders: 877-616-CELL (2355) [email protected] Support: 877-678-TECH (8324) [email protected] Web: cellsignal.com
For Research Use Only. Not for Use in Diagnostic Procedures.

Revision 7

Cell Signaling Technology Logo
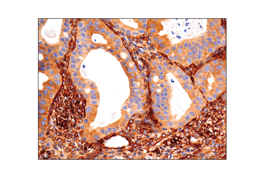
Immunohistochemical analysis of paraffin-embedded human endometrioid adenocarcinoma using Vinculin (E1E9V) XP® Rabbit mAb performed on the Leica® BOND™ Rx
Immunohistochemistry Image 2: Vinculin (E1E9V) Rabbit Monoclonal Antibody
Immunohistochemical analysis of paraffin-embedded human breast ductal carcinoma in situ using Vinculin (E1E9V) XP® Rabbit mAb.
Immunohistochemistry Image 1: Vinculin (E1E9V) Rabbit Monoclonal Antibody
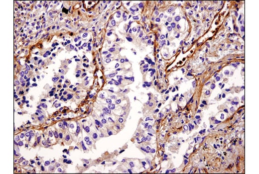
Immunohistochemical analysis of paraffin-embedded human non-small cell lung carcinoma using Vinculin (E1E9V) XP® Rabbit mAb.
Immunohistochemistry Image 2: Vinculin (E1E9V) Rabbit Monoclonal Antibody
Orders: 877-616-CELL (2355) [email protected] Support: 877-678-TECH (8324) [email protected] Web: cellsignal.com
For Research Use Only. Not for Use in Diagnostic Procedures.

Revision 7

Cell Signaling Technology Logo
Immunohistochemical analysis of paraffin-embedded mouse spleen using Vinculin (E1E9V) XP® Rabbit mAb.
Immunohistochemistry Image 3: Vinculin (E1E9V) Rabbit Monoclonal Antibody
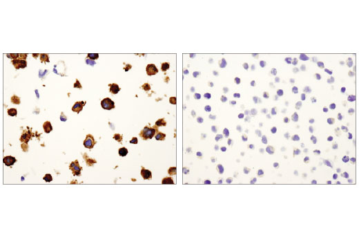
Immunohistochemical analysis of paraffin-embedded Hs578T (left) and Jurkat (right) cell pellets using Vinculin (E1E9V) XP(R) Rabbit mAb.
Immunohistochemistry Image 4: Vinculin (E1E9V) Rabbit Monoclonal Antibody
Flow cytometric analysis of Jurkat cells (blue) and PANC-1 cells (green) using Vinculin (E1E9V) XP® Rabbit mAb (solid lines) or concentration-matched Rabbit (DA1E) mAb IgG XP® Isotype Control #3900 (dashed lines). Anti-rabbit IgG (H+L), F(ab')2 Fragment (Alexa Fluor® 488 Conjugate) #4412 was used as a secondary antibody.
Flow Cytometry Image 1: Vinculin (E1E9V) Rabbit Monoclonal Antibody
Orders: 877-616-CELL (2355) [email protected] Support: 877-678-TECH (8324) [email protected] Web: cellsignal.com
For Research Use Only. Not for Use in Diagnostic Procedures.