Revision 1

#13996

Store at -20C

CST Logo
Orders:

877-616-CELL (2355)

[email protected]

Support:

877-678-TECH (8324)

3 Trask Lane | Danvers | Massachusetts | 01923 | USA

For Research Use Only. Not for Use in Diagnostic Procedures.

Applications:
W, IP

Reactivity:
H

Sensitivity:
Endogenous

MW (kDa):
42

Source/Isotype:
Rabbit IgG

UniProt ID:
#Q8WXG1

Entrez-Gene Id:
91543

Product Usage Information

Application Dilution
Western Blotting 1:1000
Immunoprecipitation 1:100

Storage

Supplied in 10 mM sodium HEPES (pH 7.5), 150 mM NaCl, 100 µg/ml BSA, 50% glycerol and less than 0.02% sodium azide. Store at –20°C. Do not aliquot the antibody.

Specificity/Sensitivity

Viperin (D5T2X) Rabbit Monoclonal Antibody recognizes endogenous levels of total viperin protein.

Source / Purification

Monoclonal antibody is produced by immunizing animals with a synthetic peptide corresponding to residues surrounding Val270 of human viperin protein.

Background

The antiviral protein viperin (RSAD2) is induced by viral infection, lipopolysaccharides (LPS), polyriboinosinic polyribocytidylic acid [poly(I:C)], and interferons (1,2). Viperin protein localizes to the ER, redistributing to the Golgi and then to lipid droplets following viral infection (1,3). Viruses are known to use lipid droplets for replication, and the localization of the antiviral viperin protein to these lipid droplets is likely part of a cellular mechanism to inhibit these pathogens (4). Research studies indicate that HIV induction of viperin in human macrophages inhibits virus production and that siRNA targeting viperin reduces inhibition of HIV replication observed in poly(I:C) treated astrocytes (5,6). Additional research suggests that human cytomegalovirus (HCMV) co-opts viperin protein function, resulting in an interaction between viperin and the viral protein vMIA. This association leads to viperin relocalization to mitochondria, disrupting ATP generation and the actin cytoskeleton and increasing viral infection (7). The viperin protein also contributes to innate immune signaling by recruiting IRAK1 and TRAF6 to lipid droplets, resulting in IRF7 activation and type I interferon induction (8).

Species Reactivity

Species reactivity is determined by testing in at least one approved application (e.g., western blot).

Western Blot Buffer

IMPORTANT: For western blots, incubate membrane with diluted primary antibody in 5% w/v BSA, 1X TBS, 0.1% Tween® 20 at 4°C with gentle shaking, overnight.

Applications Key

W: Western Blotting IP: Immunoprecipitation

Cross-Reactivity Key

H: Human

Trademarks and Patents

Cell Signaling Technology is a trademark of Cell Signaling Technology, Inc.

All other trademarks are the property of their respective owners. Visit cellsignal.com/trademarks for more information.

Limited Uses

Except as otherwise expressly agreed in a writing signed by a legally authorized representative of CST, the following terms apply to Products provided by CST, its affiliates or its distributors. Any Customer's terms and conditions that are in addition to, or different from, those contained herein, unless separately accepted in writing by a legally authorized representative of CST, are rejected and are of no force or effect.

Products are labeled with For Research Use Only or a similar labeling statement and have not been approved, cleared, or licensed by the FDA or other regulatory foreign or domestic entity, for any purpose. Customer shall not use any Product for any diagnostic or therapeutic purpose, or otherwise in any manner that conflicts with its labeling statement. Products sold or licensed by CST are provided for Customer as the end-user and solely for research and development uses. Any use of Product for diagnostic, prophylactic or therapeutic purposes, or any purchase of Product for resale (alone or as a component) or other commercial purpose, requires a separate license from CST. Customer shall (a) not sell, license, loan, donate or otherwise transfer or make available any Product to any third party, whether alone or in combination with other materials, or use the Products to manufacture any commercial products, (b) not copy, modify, reverse engineer, decompile, disassemble or otherwise attempt to discover the underlying structure or technology of the Products, or use the Products for the purpose of developing any products or services that would compete with CST products or services, (c) not alter or remove from the Products any trademarks, trade names, logos, patent or copyright notices or markings, (d) use the Products solely in accordance with CST Product Terms of Sale and any applicable documentation, and (e) comply with any license, terms of service or similar agreement with respect to any third party products or services used by Customer in connection with the Products.

Orders: 877-616-CELL (2355) [email protected] Support: 877-678-TECH (8324) [email protected] Web: cellsignal.com
For Research Use Only. Not for Use in Diagnostic Procedures.

Revision 1

Cell Signaling Technology Logo
Western blot analysis of extracts from 293T cells, mock transfected (-) or transfected with a construct expressing DDK-tagged full-length human Viperin (hViperin-DDK; +), using viperin (D5T2X) Rabbit mAb.
Western Blotting Image 1: Viperin (D5T2X) Rabbit Monoclonal Antibody
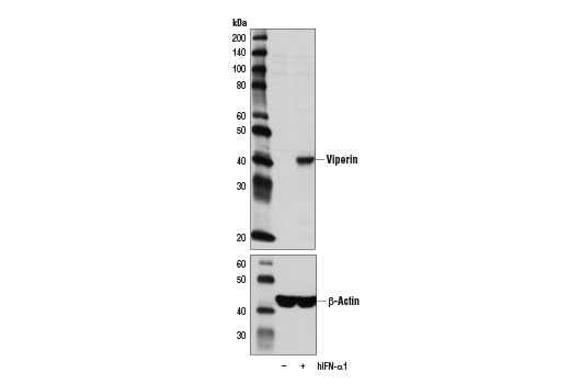
Western blot analysis of extracts from U-937 cells, untreated (-) or treated with Human Interferon-α1 (hIFN-α1) #8927 (10 ng/ml, 16 hr; +), using Viperin (D5T2X) Rabbit mAb (upper) and β-Actin (D6A8) Rabbit mAb #8457 (lower).
Western Blotting Image 2: Viperin (D5T2X) Rabbit Monoclonal Antibody
Immunoprecipitation of viperin from U-937 cell extracts treated with Human Interferon-α1 (hIFN-α1) #8927 (10 ng/ml, 16 hr), using Rabbit (DA1E) mAb IgG XP® Isotype Control #3900 (lane 2) or Viperin (D5T2X) Rabbit mAb (lane 3). Lane 1 is 10% input. Western blot analysis was performed using Viperin (D5T2X) Rabbit mAb.
Immunoprecipitation Image 1: Viperin (D5T2X) Rabbit Monoclonal Antibody
Orders: 877-616-CELL (2355) [email protected] Support: 877-678-TECH (8324) [email protected] Web: cellsignal.com
For Research Use Only. Not for Use in Diagnostic Procedures.