Revision 13

#64953

Store at -20C

CST Logo
Orders:

877-616-CELL (2355)

[email protected]

Support:

877-678-TECH (8324)

3 Trask Lane | Danvers | Massachusetts | 01923 | USA

For Research Use Only. Not for Use in Diagnostic Procedures.

Applications:
W, IHC-Bond, IHC-P, FC-FP

Reactivity:
H Mk

Sensitivity:
Endogenous

MW (kDa):
45-65

Source/Isotype:
Rabbit IgG

UniProt ID:
#Q9H7M9

Entrez-Gene Id:
64115

Product Usage Information

Application Dilution
Western Blotting 1:1000
IHC Leica Bond 1:100 - 1:400
Immunohistochemistry (Paraffin) 1:100 - 1:400
Flow Cytometry (Fixed/Permeabilized) 1:50 - 1:200

Storage

Supplied in 10 mM sodium HEPES (pH 7.5), 150 mM NaCl, 100 µg/ml BSA, 50% glycerol and less than 0.02% sodium azide. Store at –20°C. Do not aliquot the antibody.

For a carrier-free (BSA and azide free) version of this product see product #82119.

Specificity/Sensitivity

VISTA (D1L2G) Rabbit Monoclonal Antibody recognizes endogenous levels of total VISTA protein. Non-specific staining was observed in kidney and prostate epithelium by immunohistochemistry.

Source / Purification

Monoclonal antibody is produced by immunizing animals with a synthetic peptide corresponding to residues near the carboxy terminus of human VISTA protein.

Background

VISTA (V-Domain Ig Suppressor of T Cell Activation) is a negative checkpoint control protein that regulates T cell activation and immune responses. VISTA, which contains a single Ig-like V-type domain, a transmembrane domain, and an intracellular domain, has sequence similarity to both the B7 and CD28 family members. Although primarily expressed by myeloid cells, VISTA is also expressed by CD4+, CD8+, and FoxP3+ T-cells. Thus, VISTA is described as both a ligand and a receptor (1-3). Blocking VISTA induces T-cell activation and proliferation, and potentiates disease severity in the EAE model (1). Furthermore, genetic deletion of VISTA in mice leads to spontaneous T-cell activation and chronic inflammation (4,5). In mouse models of cancer, neutralization of VISTA enhances T-cell proliferation and effector function and increases tumor infiltration, suggesting VISTA blockade could be an effective strategy for tumor immunotherapy (6,7).

Species Reactivity

Species reactivity is determined by testing in at least one approved application (e.g., western blot).

Western Blot Buffer

IMPORTANT: For western blots, incubate membrane with diluted primary antibody in 5% w/v BSA, 1X TBS, 0.1% Tween® 20 at 4°C with gentle shaking, overnight.

Applications Key

W: Western Blotting IHC-Bond: IHC Leica Bond IHC-P: Immunohistochemistry (Paraffin) FC-FP: Flow Cytometry (Fixed/Permeabilized)

Cross-Reactivity Key

H: Human Mk: Monkey

Trademarks and Patents

Cell Signaling Technology is a trademark of Cell Signaling Technology, Inc.

All other trademarks are the property of their respective owners. Visit cellsignal.com/trademarks for more information.

Limited Uses

Except as otherwise expressly agreed in a writing signed by a legally authorized representative of CST, the following terms apply to Products provided by CST, its affiliates or its distributors. Any Customer's terms and conditions that are in addition to, or different from, those contained herein, unless separately accepted in writing by a legally authorized representative of CST, are rejected and are of no force or effect.

Products are labeled with For Research Use Only or a similar labeling statement and have not been approved, cleared, or licensed by the FDA or other regulatory foreign or domestic entity, for any purpose. Customer shall not use any Product for any diagnostic or therapeutic purpose, or otherwise in any manner that conflicts with its labeling statement. Products sold or licensed by CST are provided for Customer as the end-user and solely for research and development uses. Any use of Product for diagnostic, prophylactic or therapeutic purposes, or any purchase of Product for resale (alone or as a component) or other commercial purpose, requires a separate license from CST. Customer shall (a) not sell, license, loan, donate or otherwise transfer or make available any Product to any third party, whether alone or in combination with other materials, or use the Products to manufacture any commercial products, (b) not copy, modify, reverse engineer, decompile, disassemble or otherwise attempt to discover the underlying structure or technology of the Products, or use the Products for the purpose of developing any products or services that would compete with CST products or services, (c) not alter or remove from the Products any trademarks, trade names, logos, patent or copyright notices or markings, (d) use the Products solely in accordance with CST Product Terms of Sale and any applicable documentation, and (e) comply with any license, terms of service or similar agreement with respect to any third party products or services used by Customer in connection with the Products.

Orders: 877-616-CELL (2355) [email protected] Support: 877-678-TECH (8324) [email protected] Web: cellsignal.com
For Research Use Only. Not for Use in Diagnostic Procedures.

Revision 13

Cell Signaling Technology Logo
Western blot analysis of extracts from OVKATE, DU 145, and MCF7 cells using VISTA (D1L2G) XP® Rabbit mAb (upper) or β-Actin (D6A8) Rabbit mAb #8457 (lower).
Western Blotting Image 1: VISTA (D1L2G) Rabbit Monoclonal Antibody
Immunohistochemical analysis of paraffin-embedded human colon adenocarcinoma using VISTA (D1L2G) XP® Rabbit mAb performed on the Leica® BOND™ Rx.
Immunohistochemistry Image 1: VISTA (D1L2G) Rabbit Monoclonal Antibody
Immunohistochemical analysis of paraffin-embedded human tonsil using VISTA (D1L2G) XP® Rabbit mAb.
Immunohistochemistry Image 1: VISTA (D1L2G) Rabbit Monoclonal Antibody
Orders: 877-616-CELL (2355) [email protected] Support: 877-678-TECH (8324) [email protected] Web: cellsignal.com
For Research Use Only. Not for Use in Diagnostic Procedures.

Revision 13

Cell Signaling Technology Logo
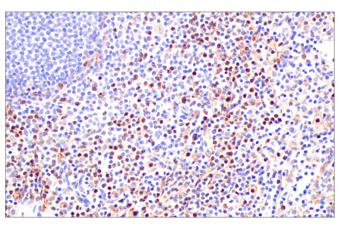
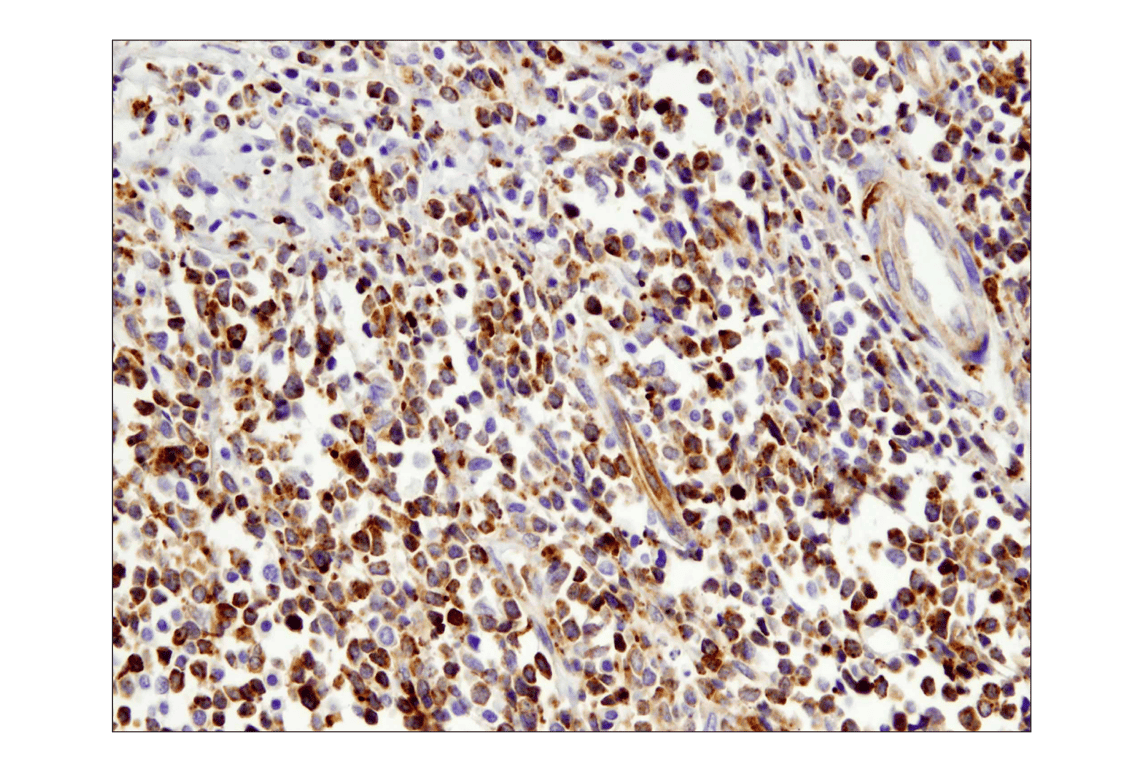
Immunohistochemical analysis of paraffin-embedded human non-Hodgkin B-Cell lymphoma using VISTA (D1L2G) XP® Rabbit mAb.
Immunohistochemistry Image 2: VISTA (D1L2G) Rabbit Monoclonal Antibody
Immunohistochemical analysis of paraffin-embedded human breast carcinoma using VISTA (D1L2G) XP® Rabbit mAb.
Immunohistochemistry Image 3: VISTA (D1L2G) Rabbit Monoclonal Antibody
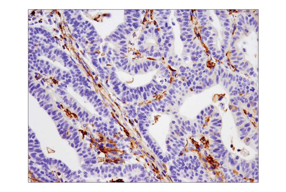
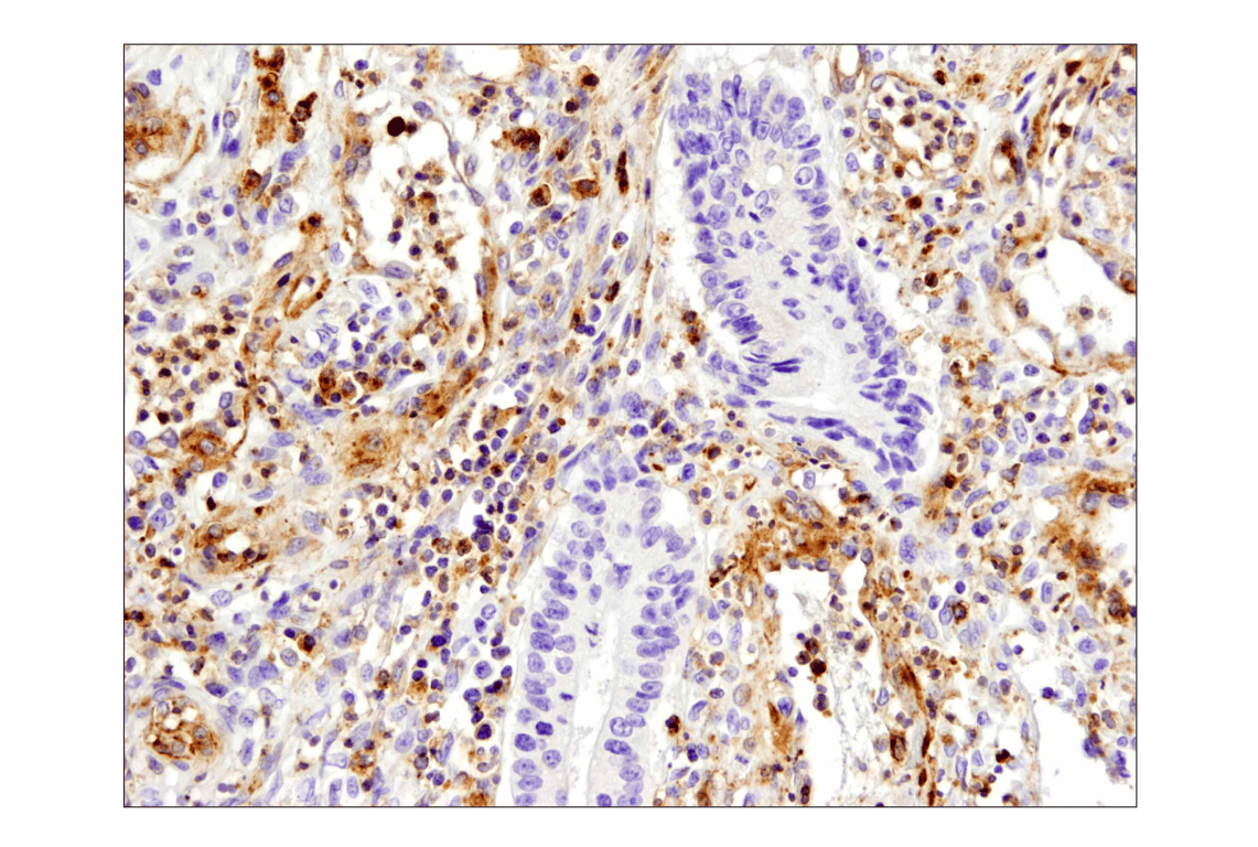
Immunohistochemical analysis of paraffin-embedded human colon carcinoma using VISTA (D1L2G) XP® Rabbit mAb.
Immunohistochemistry Image 4: VISTA (D1L2G) Rabbit Monoclonal Antibody
Orders: 877-616-CELL (2355) [email protected] Support: 877-678-TECH (8324) [email protected] Web: cellsignal.com
For Research Use Only. Not for Use in Diagnostic Procedures.

Revision 13

Cell Signaling Technology Logo
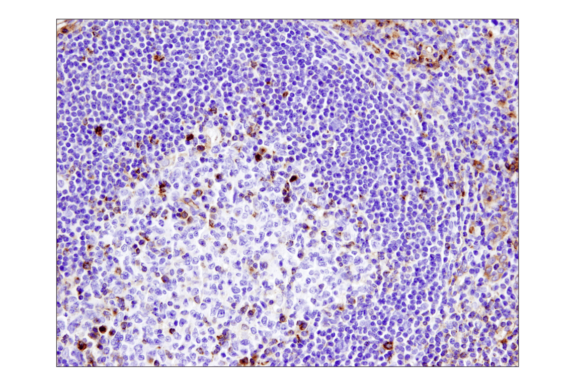
Immunohistochemical analysis of paraffin-embedded rhesus monkey spleen using VISTA (D1L2G) XP® Rabbit mAb.
Immunohistochemistry Image 5: VISTA (D1L2G) Rabbit Monoclonal Antibody
Immunohistochemical analysis of paraffin-embedded OVKATE (left) and MCF7 (right) cell pellets using VISTA (D1L2G) XP® Rabbit mAb.
Immunohistochemistry Image 6: VISTA (D1L2G) Rabbit Monoclonal Antibody
Multiplex immunohistochemical analysis of paraffin-embedded human ovarian carcinoma using VISTA (D1L2G) XP® rabbit mAb (orange), PD-1 (D4W2J) XP® rabbit mAb #86163 (green), B7-H3 (D9M2L) XP® rabbit mAb #14058 (red), B7-H4 (D1M8I) XP® rabbit mAb (cyan), LAG3 (D2G4O™) XP® rabbit mAb #15372 (magenta) and TIM-3 (D5D5R™) XP® rabbit mAb #45208 (yellow).
Immunohistochemistry Image 7: VISTA (D1L2G) Rabbit Monoclonal Antibody
Orders: 877-616-CELL (2355) [email protected] Support: 877-678-TECH (8324) [email protected] Web: cellsignal.com
For Research Use Only. Not for Use in Diagnostic Procedures.

Revision 13

Cell Signaling Technology Logo
Flow cytometric analysis of fixed and permeabilized human whole blood cells stained with VISTA (D1L2G) XP® Rabbit mAb or a concentration-matched Rabbit (DA1E) mAb IgG XP® Isotype Control #3900 and co-stained with CD19-PE and CD14-APC. VISTA is present on CD14+ monocytes (right; upper right quadrant) and shows a significant increase in intensity when compared to its isotype control (middle; upper left quadrant). CD19+ B cells are negative for VISTA (left; upper left quadrant). Anti-rabbit IgG (H+L), F(ab')2 Fragment (Alexa Fluor® 488 Conjugate) #4412 was used as a secondary antibody.
Flow Cytometry Image 1: VISTA (D1L2G) Rabbit Monoclonal Antibody
Orders: 877-616-CELL (2355) [email protected] Support: 877-678-TECH (8324) [email protected] Web: cellsignal.com
For Research Use Only. Not for Use in Diagnostic Procedures.