Revision 6

#56548

Store at -20C

CST Logo
Orders:

877-616-CELL (2355)

[email protected]

Support:

877-678-TECH (8324)

3 Trask Lane | Danvers | Massachusetts | 01923 | USA

For Research Use Only. Not for Use in Diagnostic Procedures.

Applications:
W, IHC-Bond, IHC-P, IF-F, IF-IC

Reactivity:
H M R

Sensitivity:
Endogenous

MW (kDa):
45-65

Source/Isotype:
Rabbit IgG

UniProt ID:
#Q9D659

Entrez-Gene Id:
74048

Product Usage Information

This product is the carrier free version of product #54979. All data were generated using the same antibody clone in the standard formulation which contains BSA and glycerol.

This formulation is ideal for use with technologies requiring specialized or custom antibody labeling, including fluorophores, metals, lanthanides, and oligonucleotides. It is not recommended for ChIP, ChIP-seq, CUT&RUN, or CUT&Tag assays. If you require a carrier-free formulation for chromatin profiling, please contact us. Optimal dilutions/concentrations should be determined by the end user.

BSA and Azide Free antibodies are quality control tested by size exclusion chromatography (SEC) to determine antibody integrity.

Formulation

Supplied in 1X PBS (10 mM Na2HPO4, 3 mM KCl, 2 mM KH2PO4, and 140 mM NaCl (pH 7.8)). BSA and Azide Free.

For standard formulation of this product see product #54979.

Storage

Store at -20°C. This product will freeze at -20°C so it is recommended to aliquot into single-use vials to avoid multiple freeze/thaw cycles. A slight precipitate may be present and can be dissolved by gently vortexing. This will not interfere with antibody performance.

Specificity/Sensitivity

VISTA (D5L5T) Rabbit Monoclonal Antibody (BSA and Azide Free) recognizes endogenous levels of total VISTA protein. This antibody is not recommended for immunohistochemical analysis of human tissues. Instead, VISTA (D1L2G) Rabbit Monoclonal Antibody #64953 is suggested.

Source / Purification

Monoclonal antibody is produced by immunizing animals with a synthetic peptide corresponding to residues surrounding Val291 of mouse VISTA protein.

Background

VISTA (V-Domain Ig Suppressor of T Cell Activation) is a negative checkpoint control protein that regulates T cell activation and immune responses. VISTA, which contains a single Ig-like V-type domain, a transmembrane domain, and an intracellular domain, has sequence similarity to both the B7 and CD28 family members. Although primarily expressed by myeloid cells, VISTA is also expressed by CD4+, CD8+, and FoxP3+ T-cells. Thus, VISTA is described as both a ligand and a receptor (1-3). Blocking VISTA induces T-cell activation and proliferation, and potentiates disease severity in the EAE model (1). Furthermore, genetic deletion of VISTA in mice leads to spontaneous T-cell activation and chronic inflammation (4,5). In mouse models of cancer, neutralization of VISTA enhances T-cell proliferation and effector function and increases tumor infiltration, suggesting VISTA blockade could be an effective strategy for tumor immunotherapy (6,7).

Species Reactivity

Species reactivity is determined by testing in at least one approved application (e.g., western blot).

Applications Key

W: Western Blotting IHC-Bond: IHC Leica Bond IHC-P: Immunohistochemistry (Paraffin) IF-F: Immunofluorescence (Frozen) IF-IC: Immunofluorescence (Immunocytochemistry)

Cross-Reactivity Key

H: Human M: Mouse R: Rat

Trademarks and Patents

Cell Signaling Technology is a trademark of Cell Signaling Technology, Inc.

All other trademarks are the property of their respective owners. Visit cellsignal.com/trademarks for more information.

Limited Uses

Except as otherwise expressly agreed in a writing signed by a legally authorized representative of CST, the following terms apply to Products provided by CST, its affiliates or its distributors. Any Customer's terms and conditions that are in addition to, or different from, those contained herein, unless separately accepted in writing by a legally authorized representative of CST, are rejected and are of no force or effect.

Products are labeled with For Research Use Only or a similar labeling statement and have not been approved, cleared, or licensed by the FDA or other regulatory foreign or domestic entity, for any purpose. Customer shall not use any Product for any diagnostic or therapeutic purpose, or otherwise in any manner that conflicts with its labeling statement. Products sold or licensed by CST are provided for Customer as the end-user and solely for research and development uses. Any use of Product for diagnostic, prophylactic or therapeutic purposes, or any purchase of Product for resale (alone or as a component) or other commercial purpose, requires a separate license from CST. Customer shall (a) not sell, license, loan, donate or otherwise transfer or make available any Product to any third party, whether alone or in combination with other materials, or use the Products to manufacture any commercial products, (b) not copy, modify, reverse engineer, decompile, disassemble or otherwise attempt to discover the underlying structure or technology of the Products, or use the Products for the purpose of developing any products or services that would compete with CST products or services, (c) not alter or remove from the Products any trademarks, trade names, logos, patent or copyright notices or markings, (d) use the Products solely in accordance with CST Product Terms of Sale and any applicable documentation, and (e) comply with any license, terms of service or similar agreement with respect to any third party products or services used by Customer in connection with the Products.

Orders: 877-616-CELL (2355) [email protected] Support: 877-678-TECH (8324) [email protected] Web: cellsignal.com
For Research Use Only. Not for Use in Diagnostic Procedures.

Revision 6

Cell Signaling Technology Logo
Western blot analysis of extracts from various cell lines and tissues using VISTA (D5L5T) XP® Rabbit mAb (upper) and β-actin (D6A8) Rabbit mAb #8457 (lower). Data were generated using the standard formulation of this product.
Western Blotting Image 1: VISTA (D5L5T) Rabbit Monoclonal Antibody (BSA and Azide Free)
Immunohistochemical analysis of paraffin-embedded mouse CT26 syngeneic tumor using VISTA (D5L5T) XP® Rabbit mAb performed on the Leica® Bond™ Rx. Data were generated using the standard formulation of this product.
Immunohistochemistry Image 1: VISTA (D5L5T) Rabbit Monoclonal Antibody (BSA and Azide Free)
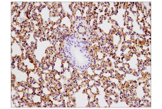
Immunohistochemical analysis of paraffin-embedded mouse lung using VISTA (D5L5T) XP® Rabbit mAb. Data were generated using the standard formulation of this product.
Immunohistochemistry Image 1: VISTA (D5L5T) Rabbit Monoclonal Antibody (BSA and Azide Free)
Orders: 877-616-CELL (2355) [email protected] Support: 877-678-TECH (8324) [email protected] Web: cellsignal.com
For Research Use Only. Not for Use in Diagnostic Procedures.

Revision 6

Cell Signaling Technology Logo
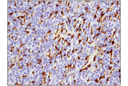
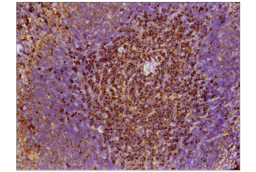
Immunohistochemical analysis of paraffin-embedded mouse spleen using VISTA (D5L5T) XP® Rabbit mAb. Data were generated using the standard formulation of this product.
Immunohistochemistry Image 2: VISTA (D5L5T) Rabbit Monoclonal Antibody (BSA and Azide Free)
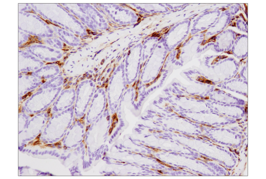
Immunohistochemical analysis of paraffin-embedded mouse colon using VISTA (D5L5T) XP® Rabbit mAb. Data were generated using the standard formulation of this product.
Immunohistochemistry Image 3: VISTA (D5L5T) Rabbit Monoclonal Antibody (BSA and Azide Free)
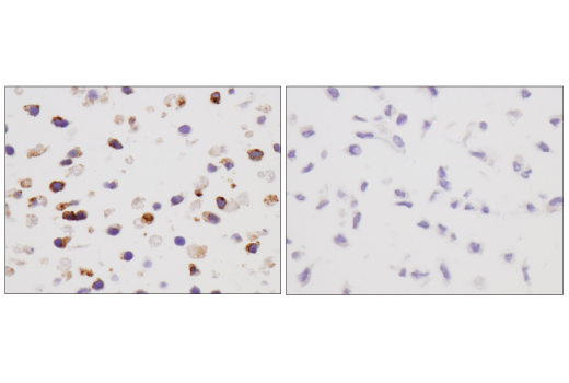
Immunohistochemical analysis of paraffin-embedded EL4 cell pellet (left, positive) or 3T3 cell pellet (right, negative) using VISTA (D5L5T) XP® Rabbit mAb. Data were generated using the standard formulation of this product.
Immunohistochemistry Image 4: VISTA (D5L5T) Rabbit Monoclonal Antibody (BSA and Azide Free)
Orders: 877-616-CELL (2355) [email protected] Support: 877-678-TECH (8324) [email protected] Web: cellsignal.com
For Research Use Only. Not for Use in Diagnostic Procedures.

Revision 6

Cell Signaling Technology Logo
Confocal immunofluorescent analysis of fixed frozen mouse colon using VISTA (D5L5T) XP® Rabbit mAb (green), DyLight™ 554 Phalloidin #13054 (red), and DRAQ5® #4084 (blue). Data were generated using the standard formulation of this product.
Immunofluorescence Image 1: VISTA (D5L5T) Rabbit Monoclonal Antibody (BSA and Azide Free)
Confocal immunofluorescent analysis of RAW 264.7 cells (left, positive) and HeLa cells (right, negative) using VISTA (D5L5T) XP® Rabbit mAb (green), β-Actin Mouse mAb (red), and DRAQ5® #4084 (blue). Data were generated using the standard formulation of this product.
Immunofluorescence Image 1: VISTA (D5L5T) Rabbit Monoclonal Antibody (BSA and Azide Free)
Orders: 877-616-CELL (2355) [email protected] Support: 877-678-TECH (8324) [email protected] Web: cellsignal.com
For Research Use Only. Not for Use in Diagnostic Procedures.