Revision 1

#54721

Store at -20C

CST Logo
Orders:

877-616-CELL (2355)

[email protected]

Support:

877-678-TECH (8324)

3 Trask Lane | Danvers | Massachusetts | 01923 | USA

For Research Use Only. Not for Use in Diagnostic Procedures.

Applications:
W, IHC-P

Reactivity:
H M

Sensitivity:
Endogenous

MW (kDa):
48, 54

Source/Isotype:
Rabbit IgG

UniProt ID:
#P11473

Entrez-Gene Id:
7421

Product Usage Information

This product is the carrier free version of product #12550. All data were generated using the same antibody clone in the standard formulation which contains BSA and glycerol.

This formulation is ideal for use with technologies requiring specialized or custom antibody labeling, including fluorophores, metals, lanthanides, and oligonucleotides. It is not recommended for ChIP, ChIP-seq, CUT&RUN or CUT&Tag assays. If you require a carrier free formulation for chromatin profiling, please contact us. Optimal dilutions/concentrations should be determined by the end user.

BSA and Azide Free antibodies are quality control tested by size exclusion chromatography (SEC) to determine antibody integrity.

Formulation

Supplied in 1X PBS (10 mM Na2HPO4, 3 mM KCl, 2 mM KH2PO4, and 140 mM NaCl (pH 7.8)). BSA and Azide Free.

For standard formulation of this product see product #12550.

Storage

Store at -20°C. This product will freeze at -20°C so it is recommended to aliquot into single-use vials to avoid multiple freeze/thaw cycles. A slight precipitate may be present and can be dissolved by gently vortexing. This will not interfere with antibody performance.

Specificity/Sensitivity

Vitamin D3 Receptor (D2K6W) Rabbit Monoclonal Antibody (BSA and Azide Free) recognizes endogenous levels of total vitamin D3 receptor protein. This antibody does not cross-react with vitamin D3 receptor-like proteins. Based upon sequence alignment, this antibody is predicted to react with both VDRB1 and VDRB2 isoforms.

Species predicted to react based on 100% sequence homology

Hamster, Bovine, Pig, Horse

Source / Purification

Monoclonal antibody is produced by immunizing animals with a synthetic peptide corresponding to residues near the amino terminus of human vitamin D3 receptor isoform A protein.

Background

Although originally identified based on their roles in calcium and bone homeostasis, the vitamin D3 receptor (VDR/NR1I1) and its ligand 1-α, 25-dihydroxycholecalciferol [1α, 25(OH)2D3] are now recognized to exert biological effects in almost every tissue of the human body. Targets for vitamin D signaling include the central nervous system, skin, immune system, endocrine glands, kidney, and colon. At the cellular level, vitamin D signaling affects proliferation, differentiation, and apoptosis of both normal and transformed cells. Within the steroid receptor gene family, VDR belongs to the NR1I subfamily that also includes NR1I2/PXR and NR1I3/CAR. The human VDR gene is composed of 11 exons that encode six domains (A-F) of the full length VDR protein, which includes an N-terminal dual zinc finger DNA binding domain, a C-terminal ligand-binding activity domain, and an extensive unstructured region that links the two functional domains together (1). Upon 1α, 25(OH)2D3 binding to the hormone ligand-binding domain, VDR is stabilized by the phosphorylation of Ser51 in the DNA-binding domain by PKC (2), and Ser208 in the hinge region by casein kinase II (3). VDR associates with the retinoic acid receptor (RXR) through dimerization domains. The 1α, 25(OH)2D3-VDR-RXR complex binds to the vitamin D response elements (VDREs) in the promoters of target genes through the DNA-binding domain. Ligand-induced conformation changes in VDR results in the dissociation of the co-repressor, silencing-mediator for retinoid and thyroid hormone receptors (SMRT), and allows interaction of the VDR activation function (AF2) transactivation domain with transcriptional coactivators (1).Studies have shown that variable VDR expression is associated with different forms or stages of cancer and likely results from tissue-type variation in 1α, 25(OH)2D3 signaling. In the case of colon cancer, research indicates that VDR expression is relatively higher in hyperplastic colon polyps and during early tumorigenesis but diminishes in later stage, poorly differentiated tumors. Multiple studies suggest that 1α, 25(OH)2D3 may be an attractive target for development as a therapeutic anticancer agent (4,5) .

Species Reactivity

Species reactivity is determined by testing in at least one approved application (e.g., western blot).

Applications Key

W: Western Blotting IHC-P: Immunohistochemistry (Paraffin)

Cross-Reactivity Key

H: Human M: Mouse

Trademarks and Patents

Cell Signaling Technology is a trademark of Cell Signaling Technology, Inc.

All other trademarks are the property of their respective owners. Visit cellsignal.com/trademarks for more information.

Limited Uses

Except as otherwise expressly agreed in a writing signed by a legally authorized representative of CST, the following terms apply to Products provided by CST, its affiliates or its distributors. Any Customer's terms and conditions that are in addition to, or different from, those contained herein, unless separately accepted in writing by a legally authorized representative of CST, are rejected and are of no force or effect.

Products are labeled with For Research Use Only or a similar labeling statement and have not been approved, cleared, or licensed by the FDA or other regulatory foreign or domestic entity, for any purpose. Customer shall not use any Product for any diagnostic or therapeutic purpose, or otherwise in any manner that conflicts with its labeling statement. Products sold or licensed by CST are provided for Customer as the end-user and solely for research and development uses. Any use of Product for diagnostic, prophylactic or therapeutic purposes, or any purchase of Product for resale (alone or as a component) or other commercial purpose, requires a separate license from CST. Customer shall (a) not sell, license, loan, donate or otherwise transfer or make available any Product to any third party, whether alone or in combination with other materials, or use the Products to manufacture any commercial products, (b) not copy, modify, reverse engineer, decompile, disassemble or otherwise attempt to discover the underlying structure or technology of the Products, or use the Products for the purpose of developing any products or services that would compete with CST products or services, (c) not alter or remove from the Products any trademarks, trade names, logos, patent or copyright notices or markings, (d) use the Products solely in accordance with CST Product Terms of Sale and any applicable documentation, and (e) comply with any license, terms of service or similar agreement with respect to any third party products or services used by Customer in connection with the Products.

Orders: 877-616-CELL (2355) [email protected] Support: 877-678-TECH (8324) [email protected] Web: cellsignal.com
For Research Use Only. Not for Use in Diagnostic Procedures.

Revision 1

Cell Signaling Technology Logo
Western blot analysis of extracts from various cell lines using Vitamin D3 Receptor (D2K6W) Rabbit mAb. Data were generated using the standard formulation of this product.
Western Blotting Image 1: Vitamin D3 Receptor (D2K6W) Rabbit Monoclonal Antibody (BSA and Azide Free)
Western blot analysis of kidney tissue extracts from Vdr (+/+) and Vdr (-/-) mice using Vitamin D3 Receptor (D2K6W) Rabbit mAb (upper) and GAPDH (D16H11) XP® Rabbit mAb #5174 (lower). (Vdr (+/+) and Vdr (-/-) kidneys were kindly provided by Dr. Marie Demay, Massachusetts General Hospital). Data were generated using the standard formulation of this product.
Western Blotting Image 2: Vitamin D3 Receptor (D2K6W) Rabbit Monoclonal Antibody (BSA and Azide Free)
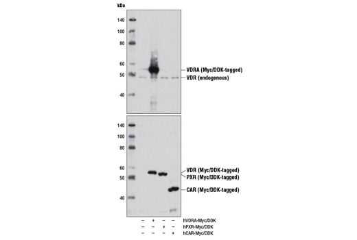
Western blot analysis of extracts from 293T cells, mock transfected (-) or transfected with constructs expressing Myc/DDK-tagged full-length human vitamin D receptor isoform A (hVDRA-Myc/DDK; +), full-length human pregnane X receptor (hPXR-Myc/DDK; +), and full-length human constitutive androstane receptor (hCAR-Myc/DDK; +), using Vitamin D3 Receptor (D2K6W) Rabbit mAb (upper) or DYKDDDDK Tag Antibody #2368 (lower). Data were generated using the standard formulation of this product.
Western Blotting Image 3: Vitamin D3 Receptor (D2K6W) Rabbit Monoclonal Antibody (BSA and Azide Free)
Orders: 877-616-CELL (2355) [email protected] Support: 877-678-TECH (8324) [email protected] Web: cellsignal.com
For Research Use Only. Not for Use in Diagnostic Procedures.

Revision 1

Cell Signaling Technology Logo
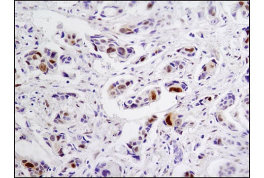
Immunohistochemical analysis of paraffin-embedded human breast carcinoma using Vitamin D3 Receptor (D2K6W) Rabbit mAb. Data were generated using the standard formulation of this product.
Immunohistochemistry Image 1: Vitamin D3 Receptor (D2K6W) Rabbit Monoclonal Antibody (BSA and Azide Free)
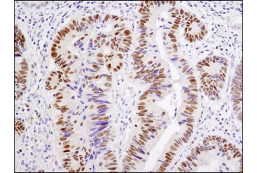
Immunohistochemical analysis of paraffin-embedded human colon carcinoma using Vitamin D3 Receptor (D2K6W) Rabbit mAb. Data were generated using the standard formulation of this product.
Immunohistochemistry Image 2: Vitamin D3 Receptor (D2K6W) Rabbit Monoclonal Antibody (BSA and Azide Free)
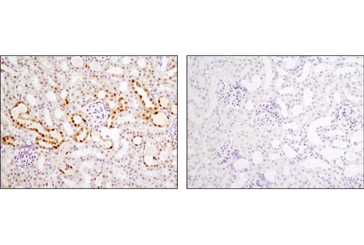
Immunohistochemical analysis of paraffin-embedded mouse kidney, Vdr (+/+; left) or Vdr (-/-; right), using Vitamin D3 Receptor (D2K6W) Rabbit mAb (Tissues courtesy of Dr. Marie Demay, Massachusetts General Hospital). Data were generated using the standard formulation of this product.
Immunohistochemistry Image 3: Vitamin D3 Receptor (D2K6W) Rabbit Monoclonal Antibody (BSA and Azide Free)
Orders: 877-616-CELL (2355) [email protected] Support: 877-678-TECH (8324) [email protected] Web: cellsignal.com
For Research Use Only. Not for Use in Diagnostic Procedures.