Revision 1

#33839

Store at -20C

CST Logo
Orders:

877-616-CELL (2355)

[email protected]

Support:

877-678-TECH (8324)

3 Trask Lane | Danvers | Massachusetts | 01923 | USA

For Research Use Only. Not for Use in Diagnostic Procedures.

Applications:
W, IHC-P, FC-FP

Reactivity:
H M R Mk

Sensitivity:
Endogenous

MW (kDa):
80-90, 180

Source/Isotype:
Rabbit IgG

UniProt ID:
#Q9BZ95

Entrez-Gene Id:
54904

Product Usage Information

This product is the carrier free version of product #92056. All data were generated using the same antibody clone in the standard formulation which contains BSA and glycerol.

This formulation is ideal for use with technologies requiring specialized or custom antibody labeling, including fluorophores, metals, lanthanides, and oligonucleotides. It is not recommended for ChIP, ChIP-seq, CUT&RUN or CUT&Tag assays. If you require a carrier free formulation for chromatin profiling, please contact us. Optimal dilutions/concentrations should be determined by the end user.

BSA and Azide Free antibodies are quality control tested by size exclusion chromatography (SEC) to determine antibody integrity.

Formulation

Supplied in 1X PBS (10 mM Na2HPO4, 3 mM KCl, 2 mM KH2PO4, and 140 mM NaCl (pH 7.8)). BSA and Azide Free.

For standard formulation of this product see product #92056

Storage

Store at -20°C. This product will freeze at -20°C so it is recommended to aliquot into single-use vials to avoid multiple freeze/thaw cycles. A slight precipitate may be present and can be dissolved by gently vortexing. This will not interfere with antibody performance.

Specificity/Sensitivity

WHSC1L1 (D4N9N) Rabbit Monoclonal Antibody (BSA and Azide Free) recognizes endogenous levels of total WHSC1L1 protein, both long and short isoforms.

Source / Purification

Monoclonal antibody is produced by immunizing animals with a synthetic peptide corresponding to residues surrounding Pro117 of human WHSC1L1 protein.

Background

Wolf-Hirschhorn syndrome candidate 1-like protein 1 (WHSC1L1), also known as histone-lysine N-methyltransferase NSD3, is a SET domain-containing histone methyltransferase protein that methylates histone H3 on lysine 4 (H3K4me) and lysine 27 (H3K27me) (1). Methylation of histone H3 lysine 4 is associated with transcriptional activation, while methylation of histone H3 lysine 27 is associated with transcriptional repression. WHSC1L1 can function as an oncogene or a tumor suppressor protein, depending on cell context, and has been shown to regulate expression of a number of genes associated with cell cycle (2). Amplification and/or increased expression of WHSC1L1 in breast, lung, and liver cancer increases growth and survival, and is associated with poor prognosis (2-5). In addition, the NSD3 gene has been found fused with the nuclear pore complex protein NUP98 gene in acute myeloid leukemia (AML) and acute lymphoblastic leukemia (ALL), and fused with the NUT gene in NUT midline carcinomas (6-10).

Species Reactivity

Species reactivity is determined by testing in at least one approved application (e.g., western blot).

Applications Key

W: Western Blotting IHC-P: Immunohistochemistry (Paraffin) FC-FP: Flow Cytometry (Fixed/Permeabilized)

Cross-Reactivity Key

H: Human M: Mouse R: Rat Mk: Monkey

Trademarks and Patents

Cell Signaling Technology is a trademark of Cell Signaling Technology, Inc.

The transfer of this product is contingent on the buyer using the purchased product solely in research conducted by the buyer (whether the buyer is an academic or for-profit entity), for Immunocytochemistry, high content screening (HCS) analysis, or flow cytometry applications. The sale of this product is expressly conditioned on the buyer not using the product or its components (1) in manufacturing; (2) to provide a service, information, or data to an unaffiliated third party for payment; (3) for therapeutic, diagnostic or prophylactic purposes; (4) resale, whether or not such product or its components are resold for use in research; or for any other commercial purpose. For information on purchasing a license to this product for purposes other than research, contact Life Technologies Corporation, 5791 Van Allen Way, Carlsbad, CA 92008 USA or [email protected].

All other trademarks are the property of their respective owners. Visit cellsignal.com/trademarks for more information.

Limited Uses

Except as otherwise expressly agreed in a writing signed by a legally authorized representative of CST, the following terms apply to Products provided by CST, its affiliates or its distributors. Any Customer's terms and conditions that are in addition to, or different from, those contained herein, unless separately accepted in writing by a legally authorized representative of CST, are rejected and are of no force or effect.

Products are labeled with For Research Use Only or a similar labeling statement and have not been approved, cleared, or licensed by the FDA or other regulatory foreign or domestic entity, for any purpose. Customer shall not use any Product for any diagnostic or therapeutic purpose, or otherwise in any manner that conflicts with its labeling statement. Products sold or licensed by CST are provided for Customer as the end-user and solely for research and development uses. Any use of Product for diagnostic, prophylactic or therapeutic purposes, or any purchase of Product for resale (alone or as a component) or other commercial purpose, requires a separate license from CST. Customer shall (a) not sell, license, loan, donate or otherwise transfer or make available any Product to any third party, whether alone or in combination with other materials, or use the Products to manufacture any commercial products, (b) not copy, modify, reverse engineer, decompile, disassemble or otherwise attempt to discover the underlying structure or technology of the Products, or use the Products for the purpose of developing any products or services that would compete with CST products or services, (c) not alter or remove from the Products any trademarks, trade names, logos, patent or copyright notices or markings, (d) use the Products solely in accordance with CST Product Terms of Sale and any applicable documentation, and (e) comply with any license, terms of service or similar agreement with respect to any third party products or services used by Customer in connection with the Products.

Orders: 877-616-CELL (2355) [email protected] Support: 877-678-TECH (8324) [email protected] Web: cellsignal.com
For Research Use Only. Not for Use in Diagnostic Procedures.

Revision 1

Cell Signaling Technology Logo
Western blot analysis of extracts from A549 and COS-7 cell lines using WHSC1L1 (D4N9N) Rabbit mAb. As expected, this antibody detects both the long and short isoforms of WHSC1L1. Data were generated using the standard formulation of this product.
Western Blotting Image 1: WHSC1L1 (D4N9N) Rabbit Monoclonal Antibody (BSA and Azide Free)
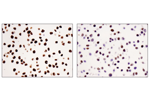
Immunohistochemical analysis of paraffin-embedded MOLT-4 cell pellet (left, high-expressing) or HT29 cell pellet (right, low-expressing) using WHSC1L1 (D4N9N) Rabbit mAb. Data were generated using the standard formulation of this product.
Immunohistochemistry Image 1: WHSC1L1 (D4N9N) Rabbit Monoclonal Antibody (BSA and Azide Free)
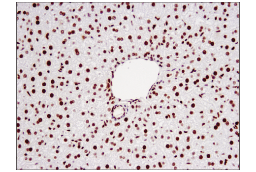
Immunohistochemical analysis of paraffin-embedded mouse liver using WHSC1L1 (D4N9N) Rabbit mAb. Data were generated using the standard formulation of this product.
Immunohistochemistry Image 2: WHSC1L1 (D4N9N) Rabbit Monoclonal Antibody (BSA and Azide Free)
Orders: 877-616-CELL (2355) [email protected] Support: 877-678-TECH (8324) [email protected] Web: cellsignal.com
For Research Use Only. Not for Use in Diagnostic Procedures.

Revision 1

Cell Signaling Technology Logo
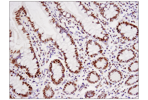
Immunohistochemical analysis of paraffin-embedded human small intestine using WHSC1L1 (D4N9N) Rabbit mAb. Data were generated using the standard formulation of this product.
Immunohistochemistry Image 3: WHSC1L1 (D4N9N) Rabbit Monoclonal Antibody (BSA and Azide Free)
Flow cytometric analysis of HT-29 cells (blue) and MOLT-4 cells (green) using WHSC1L1 (D4N9N) Rabbit mAb (solid lines) or a concentration matched Rabbit (DA1E) mAb IgG XP® Isotype Control #3900 (dashed lines). Anti-rabbit IgG (H+L), F(ab')2 Fragment (Alexa Fluor® 488 Conjugate) #4412 was used as a secondary antibody. Data were generated using the standard formulation of this product.
Flow Cytometry Image 1: WHSC1L1 (D4N9N) Rabbit Monoclonal Antibody (BSA and Azide Free)
Orders: 877-616-CELL (2355) [email protected] Support: 877-678-TECH (8324) [email protected] Web: cellsignal.com
For Research Use Only. Not for Use in Diagnostic Procedures.