Revision 4

#92056

Store at -20C

CST Logo
Orders:

877-616-CELL (2355)

[email protected]

Support:

877-678-TECH (8324)

3 Trask Lane | Danvers | Massachusetts | 01923 | USA

For Research Use Only. Not for Use in Diagnostic Procedures.

Applications:
W, IP, IHC-P, FC-FP

Reactivity:
H M R Mk

Sensitivity:
Endogenous

MW (kDa):
80-90, 180

Source/Isotype:
Rabbit IgG

UniProt ID:
#Q9BZ95

Entrez-Gene Id:
54904

Product Usage Information

Application Dilution
Western Blotting 1:1000
Immunoprecipitation 1:200
Immunohistochemistry (Paraffin) 1:200
Flow Cytometry (Fixed/Permeabilized) 1:400

Storage

Supplied in 10 mM sodium HEPES (pH 7.5), 150 mM NaCl, 100 µg/ml BSA, 50% glycerol and less than 0.02% sodium azide. Store at –20°C. Do not aliquot the antibody.

For a carrier free (BSA and azide free) version of this product see product #33839.

Specificity/Sensitivity

WHSC1L1 (D4N9N) Rabbit Monoclonal Antibody recognizes endogenous levels of total WHSC1L1 protein, both long and short isoforms.

Source / Purification

Monoclonal antibody is produced by immunizing animals with a synthetic peptide corresponding to residues surrounding Pro117 of human WHSC1L1 protein.

Background

Wolf-Hirschhorn syndrome candidate 1-like protein 1 (WHSC1L1), also known as histone-lysine N-methyltransferase NSD3, is a SET domain-containing histone methyltransferase protein that methylates histone H3 on lysine 4 (H3K4me) and lysine 27 (H3K27me) (1). Methylation of histone H3 lysine 4 is associated with transcriptional activation, while methylation of histone H3 lysine 27 is associated with transcriptional repression. WHSC1L1 can function as an oncogene or a tumor suppressor protein, depending on cell context, and has been shown to regulate expression of a number of genes associated with cell cycle (2). Amplification and/or increased expression of WHSC1L1 in breast, lung, and liver cancer increases growth and survival, and is associated with poor prognosis (2-5). In addition, the NSD3 gene has been found fused with the nuclear pore complex protein NUP98 gene in acute myeloid leukemia (AML) and acute lymphoblastic leukemia (ALL), and fused with the NUT gene in NUT midline carcinomas (6-10).

Species Reactivity

Species reactivity is determined by testing in at least one approved application (e.g., western blot).

Western Blot Buffer

IMPORTANT: For western blots, incubate membrane with diluted primary antibody in 5% w/v BSA, 1X TBS, 0.1% Tween® 20 at 4°C with gentle shaking, overnight.

Applications Key

W: Western Blotting IP: Immunoprecipitation IHC-P: Immunohistochemistry (Paraffin) FC-FP: Flow Cytometry (Fixed/Permeabilized)

Cross-Reactivity Key

H: Human M: Mouse R: Rat Mk: Monkey

Trademarks and Patents

Cell Signaling Technology is a trademark of Cell Signaling Technology, Inc.

Alexa Fluor is a registered trademark of Life Technologies Corporation.

The transfer of this product is contingent on the buyer using the purchased product solely in research conducted by the buyer (whether the buyer is an academic or for-profit entity), for Immunocytochemistry, high content screening (HCS) analysis, or flow cytometry applications. The sale of this product is expressly conditioned on the buyer not using the product or its components (1) in manufacturing; (2) to provide a service, information, or data to an unaffiliated third party for payment; (3) for therapeutic, diagnostic or prophylactic purposes; (4) resale, whether or not such product or its components are resold for use in research; or for any other commercial purpose. For information on purchasing a license to this product for purposes other than research, contact Life Technologies Corporation, 5791 Van Allen Way, Carlsbad, CA 92008 USA or [email protected].

All other trademarks are the property of their respective owners. Visit cellsignal.com/trademarks for more information.

Limited Uses

Except as otherwise expressly agreed in a writing signed by a legally authorized representative of CST, the following terms apply to Products provided by CST, its affiliates or its distributors. Any Customer's terms and conditions that are in addition to, or different from, those contained herein, unless separately accepted in writing by a legally authorized representative of CST, are rejected and are of no force or effect.

Products are labeled with For Research Use Only or a similar labeling statement and have not been approved, cleared, or licensed by the FDA or other regulatory foreign or domestic entity, for any purpose. Customer shall not use any Product for any diagnostic or therapeutic purpose, or otherwise in any manner that conflicts with its labeling statement. Products sold or licensed by CST are provided for Customer as the end-user and solely for research and development uses. Any use of Product for diagnostic, prophylactic or therapeutic purposes, or any purchase of Product for resale (alone or as a component) or other commercial purpose, requires a separate license from CST. Customer shall (a) not sell, license, loan, donate or otherwise transfer or make available any Product to any third party, whether alone or in combination with other materials, or use the Products to manufacture any commercial products, (b) not copy, modify, reverse engineer, decompile, disassemble or otherwise attempt to discover the underlying structure or technology of the Products, or use the Products for the purpose of developing any products or services that would compete with CST products or services, (c) not alter or remove from the Products any trademarks, trade names, logos, patent or copyright notices or markings, (d) use the Products solely in accordance with CST Product Terms of Sale and any applicable documentation, and (e) comply with any license, terms of service or similar agreement with respect to any third party products or services used by Customer in connection with the Products.

Orders: 877-616-CELL (2355) [email protected] Support: 877-678-TECH (8324) [email protected] Web: cellsignal.com
For Research Use Only. Not for Use in Diagnostic Procedures.

Revision 4

Cell Signaling Technology Logo
Western blot analysis of extracts from A549 and COS-7 cell lines using WHSC1L1 (D4N9N) Rabbit mAb. As expected, this antibody detects both the long and short isoforms of WHSC1L1.
Western Blotting Image 1: WHSC1L1 (D4N9N) Rabbit Monoclonal Antibody
Immunoprecipitation of WHSC1L1 from A549 cell extracts. Lane 1 is 10% input, lane 2 is Rabbit (DA1E) mAb IgG XP® Isotype Control #3900, and lane 3 is WHSC1L1 (D4N9N) Rabbit mAb. Western blot analysis was performed using WHSC1L1 (D4N9N) Rabbit mAb.
Immunoprecipitation Image 1: WHSC1L1 (D4N9N) Rabbit Monoclonal Antibody
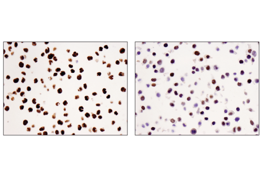
Immunohistochemical analysis of paraffin-embedded MOLT-4 cell pellet (left, high-expressing) or HT29 cell pellet (right, low-expressing) using WHSC1L1 (D4N9N) Rabbit mAb.
Immunohistochemistry Image 1: WHSC1L1 (D4N9N) Rabbit Monoclonal Antibody
Orders: 877-616-CELL (2355) [email protected] Support: 877-678-TECH (8324) [email protected] Web: cellsignal.com
For Research Use Only. Not for Use in Diagnostic Procedures.

Revision 4

Cell Signaling Technology Logo
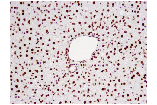
Immunohistochemical analysis of paraffin-embedded mouse liver using WHSC1L1 (D4N9N) Rabbit mAb.
Immunohistochemistry Image 2: WHSC1L1 (D4N9N) Rabbit Monoclonal Antibody
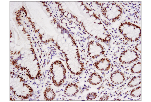
Immunohistochemical analysis of paraffin-embedded human small intestine using WHSC1L1 (D4N9N) Rabbit mAb.
Immunohistochemistry Image 3: WHSC1L1 (D4N9N) Rabbit Monoclonal Antibody
Flow cytometric analysis of HT-29 cells (blue) and MOLT-4 cells (green) using WHSC1L1 (D4N9N) Rabbit mAb (solid lines) or a concentration matched Rabbit (DA1E) mAb IgG XP® Isotype Control #3900 (dashed lines). Anti-rabbit IgG (H+L), F(ab')2 Fragment (Alexa Fluor® 488 Conjugate) #4412 was used as a secondary antibody.
Flow Cytometry Image 1: WHSC1L1 (D4N9N) Rabbit Monoclonal Antibody
Orders: 877-616-CELL (2355) [email protected] Support: 877-678-TECH (8324) [email protected] Web: cellsignal.com
For Research Use Only. Not for Use in Diagnostic Procedures.