Revision 1

#8655

Store at -20C

CST Logo
Orders:

877-616-CELL (2355)

[email protected]

Support:

877-678-TECH (8324)

3 Trask Lane | Danvers | Massachusetts | 01923 | USA

For Research Use Only. Not for Use in Diagnostic Procedures.

Product Includes Product # Quantity Mol. Wt Isotype/Source
CD44 (156-3C11) Mouse Monoclonal Antibody357020 µl80 kDaMouse IgG2a
Cyclin D1 (92G2) Rabbit Monoclonal Antibody297820 µl36 kDaRabbit IgG
c-Jun (60A8) Rabbit Monoclonal Antibody916520 µl43, 48 kDaRabbit IgG
LEF1 (C12A5) Rabbit Monoclonal Antibody223020 µl25-58 kDaRabbit IgG
Met (D1C2) Rabbit Monoclonal Antibody819820 µl140, 170 kDaRabbit IgG
MMP-7 (D4H5) Rabbit Monoclonal Antibody380120 µl28, 20-22 kDaRabbit
c-Myc (D84C12) Rabbit Monoclonal Antibody560520 µl57-65 kDaRabbit IgG
TCF1/TCF7 (C63D9) Rabbit Monoclonal Antibody220320 µl48, 50 kDaRabbit IgG
Anti-mouse IgG, HRP-linked Antibody7076100 µlHorse
Anti-rabbit IgG, HRP-linked Antibody7074100 µlGoat

Please visit cellsignal.com for individual component applications, species cross-reactivity, dilutions, protocols, and additional product information.

Description

The Wnt/β-Catenin Activated Targets Antibody Sampler Kit provides an economical means to investigate target proteins of the Wnt/β-Catenin signaling pathway. This kit contains enough primary antibody to perform two western blots per primary.

Storage

Supplied in 10 mM sodium HEPES (pH 7.5), 150 mM NaCl, 100 µg/ml BSA, 50% glycerol and less than 0.02% sodium azide. Store at –20°C. Do not aliquot the antibody.

Background

The Wnt family includes several secreted glycoproteins that play important roles in animal development. β-catenin is a key downstream effector of the Wnt signaling pathway that research studies have shown is implicated in early embryonic development and tumorigenesis in vertebrates (1-3). Following binding of Wnt family proteins to the Frizzled receptor, β-catenin translocates to the nucleus where it interacts with LEF1 and TCF1 to activate canonical targets (4). Accepted canonical targets include CD44, cyclin D1, c-Jun, c-Myc, Met, and MMP-7 (5-11).

Trademarks and Patents

Cell Signaling Technology is a trademark of Cell Signaling Technology, Inc.

U.S. Patent No. 7,429,487, foreign equivalents, and child patents deriving therefrom.

All other trademarks are the property of their respective owners. Visit cellsignal.com/trademarks for more information.

Limited Uses

Except as otherwise expressly agreed in a writing signed by a legally authorized representative of CST, the following terms apply to Products provided by CST, its affiliates or its distributors. Any Customer's terms and conditions that are in addition to, or different from, those contained herein, unless separately accepted in writing by a legally authorized representative of CST, are rejected and are of no force or effect.

Products are labeled with For Research Use Only or a similar labeling statement and have not been approved, cleared, or licensed by the FDA or other regulatory foreign or domestic entity, for any purpose. Customer shall not use any Product for any diagnostic or therapeutic purpose, or otherwise in any manner that conflicts with its labeling statement. Products sold or licensed by CST are provided for Customer as the end-user and solely for research and development uses. Any use of Product for diagnostic, prophylactic or therapeutic purposes, or any purchase of Product for resale (alone or as a component) or other commercial purpose, requires a separate license from CST. Customer shall (a) not sell, license, loan, donate or otherwise transfer or make available any Product to any third party, whether alone or in combination with other materials, or use the Products to manufacture any commercial products, (b) not copy, modify, reverse engineer, decompile, disassemble or otherwise attempt to discover the underlying structure or technology of the Products, or use the Products for the purpose of developing any products or services that would compete with CST products or services, (c) not alter or remove from the Products any trademarks, trade names, logos, patent or copyright notices or markings, (d) use the Products solely in accordance with CST Product Terms of Sale and any applicable documentation, and (e) comply with any license, terms of service or similar agreement with respect to any third party products or services used by Customer in connection with the Products.

Orders: 877-616-CELL (2355) [email protected] Support: 877-678-TECH (8324) [email protected] Web: cellsignal.com
For Research Use Only. Not for Use in Diagnostic Procedures.

Revision 1

Cell Signaling Technology Logo
Western blot analysis of total cell lysates from HT29, Colo201, Jurkat and mouse thymocytes using TCF1/TCF7 (C63D9) Rabbit mAb.
undefined Image 1: Wnt/beta-Catenin Activated Targets Antibody Sampler Kit
Western blot analysis of total cell lysates from HCT15, DLD1 and mouse thymocytes using LEF1 (C12A5) Rabbit mAb.
undefined Image 2: Wnt/beta-Catenin Activated Targets Antibody Sampler Kit
Western blot analysis of extracts from MCF7, L929 and C6 cells, using Cyclin D1 (92G2) Rabbit mAb.
undefined Image 3: Wnt/beta-Catenin Activated Targets Antibody Sampler Kit
Orders: 877-616-CELL (2355) [email protected] Support: 877-678-TECH (8324) [email protected] Web: cellsignal.com
For Research Use Only. Not for Use in Diagnostic Procedures.

Revision 1

Cell Signaling Technology Logo
Western blot analysis of extracts from HeLa and PANC1 cell lines using CD44 (156-3C11) Mouse mAb.
undefined Image 4: Wnt/beta-Catenin Activated Targets Antibody Sampler Kit
Western blot analysis of extracts mouse intestine (MMP-7 positive), mouse colon (MMP-7 negative) and rat prostate (MMP-7 positive) tissues using MMP-7 (D4H5) XP® Rabbit mAb.
undefined Image 5: Wnt/beta-Catenin Activated Targets Antibody Sampler Kit
Western blot analysis of extracts from control HEK293 cells (lane 1) or c-Myc knockout HEK293 cells (lane 2) using c-Myc (D84C12) Rabbit mAb Antibody, #5605 (upper) or β-actin (13E5) Rabbit mAb, #4970 (lower). The absence of signal in the c-Myc knockout HEK293 cells confirms specificity of the antibody for c-Myc.
undefined Image 6: Wnt/beta-Catenin Activated Targets Antibody Sampler Kit
Orders: 877-616-CELL (2355) [email protected] Support: 877-678-TECH (8324) [email protected] Web: cellsignal.com
For Research Use Only. Not for Use in Diagnostic Procedures.

Revision 1

Cell Signaling Technology Logo
After the primary antibody is bound to the target protein, a complex with HRP-linked secondary antibody is formed. The LumiGLO® is added and emits light during enzyme catalyzed decomposition.
undefined Image 7: Wnt/beta-Catenin Activated Targets Antibody Sampler Kit
After the primary antibody is bound to the target protein, a complex with HRP-linked secondary antibody is formed. The LumiGLO* is added and emits light during enzyme catalyzed decomposition.
undefined Image 8: Wnt/beta-Catenin Activated Targets Antibody Sampler Kit
Western blot analysis of extracts from HT-29 (Met+), SK-BR-3 (Met-), and T-47D (Met-) cells using Met (D1C2) XP® Rabbit mAb (upper) or β-Actin Antibody #4967 (lower).
undefined Image 9: Wnt/beta-Catenin Activated Targets Antibody Sampler Kit
Orders: 877-616-CELL (2355) [email protected] Support: 877-678-TECH (8324) [email protected] Web: cellsignal.com
For Research Use Only. Not for Use in Diagnostic Procedures.

Revision 1

Cell Signaling Technology Logo
Western blot analysis of extracts from control HeLa cells (lane 1) or c-Jun knockout HeLa cells (lane 2) using c-Jun (60A8) Rabbit mAb #9165. The absence of signal in the c-Jun knockout HeLa cells confirms specificity of the antibody for c-Jun.
undefined Image 10: Wnt/beta-Catenin Activated Targets Antibody Sampler Kit
Immunohistochemical analysis of paraffin-embedded human Non-Hodgkin lymphoma using TCF1/TCF7 (C63D9) Rabbit mAb.
undefined Image 11: Wnt/beta-Catenin Activated Targets Antibody Sampler Kit
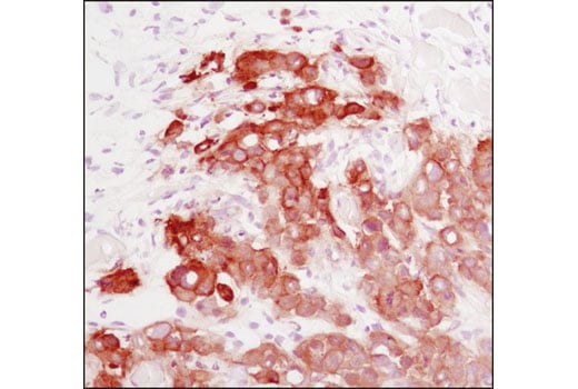
Immunohistochemical analysis of paraffin-embedded human colon carcinoma, using Cyclin D1 (92G2) Rabbit mAb.
undefined Image 12: Wnt/beta-Catenin Activated Targets Antibody Sampler Kit
Orders: 877-616-CELL (2355) [email protected] Support: 877-678-TECH (8324) [email protected] Web: cellsignal.com
For Research Use Only. Not for Use in Diagnostic Procedures.

Revision 1

Cell Signaling Technology Logo
Immunohistochemical analysis of human Non-Hodgkin's lymphoma using CD44 (156-3C11) Mouse mAb.
undefined Image 13: Wnt/beta-Catenin Activated Targets Antibody Sampler Kit
Western blot analysis of extracts from COS cells, untransfected or transfected with mouse MMP-7, using MMP-7 (D4H5) XP® Rabbit mAb.
undefined Image 14: Wnt/beta-Catenin Activated Targets Antibody Sampler Kit
Western blot analysis of extracts from HeLa cells, mock transfected or transfected with SignalSilence® c-Myc siRNA I #6341, using c-Myc (D84C12) Rabbit mAb.
undefined Image 15: Wnt/beta-Catenin Activated Targets Antibody Sampler Kit
Orders: 877-616-CELL (2355) [email protected] Support: 877-678-TECH (8324) [email protected] Web: cellsignal.com
For Research Use Only. Not for Use in Diagnostic Procedures.

Revision 1

Cell Signaling Technology Logo
Western blot analysis of extracts from control HeLa cells (lane 1) or Met knockout HeLa cells (lane 2) using Met (D1C2) XP® Rabbit mAb #8198. The absence of signal in the Met knockout HeLa cells confirms specificity of the antibody for Met.
undefined Image 16: Wnt/beta-Catenin Activated Targets Antibody Sampler Kit
Western blot analysis of extracts from NIH/3T3 and SK-N-MC cells, untreated or UV-treated, using c-Jun (60A8) Rabbit mAb.
undefined Image 17: Wnt/beta-Catenin Activated Targets Antibody Sampler Kit
Immunohistochemical analysis of paraffin-embedded human lung carcinoma using TCF1/TCF7 (C63D9) Rabbit mAb in the presence of control peptide (left) or TCF1/TCF7 blocking peptide #1007 (right).
undefined Image 18: Wnt/beta-Catenin Activated Targets Antibody Sampler Kit
Orders: 877-616-CELL (2355) [email protected] Support: 877-678-TECH (8324) [email protected] Web: cellsignal.com
For Research Use Only. Not for Use in Diagnostic Procedures.

Revision 1

Cell Signaling Technology Logo
Immunohistochemical analysis of paraffin-embedded Apc (min/+) mouse intestine using Cyclin D1 (92G2) Rabbit mAb.
undefined Image 19: Wnt/beta-Catenin Activated Targets Antibody Sampler Kit
Immunohistochemical analysis of human tonsil using CD44 (156-3C11) Mouse mAb.
undefined Image 20: Wnt/beta-Catenin Activated Targets Antibody Sampler Kit
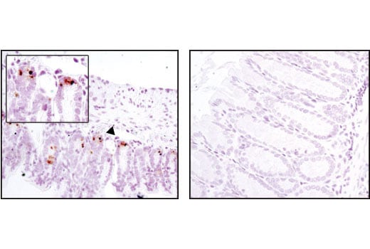
Immunohistochemical analysis of paraffin-embedded mouse small intestine (positive, left) and mouse colon (negative, right) using MMP-7 (D4H5) XP® Rabbit mAb.
undefined Image 21: Wnt/beta-Catenin Activated Targets Antibody Sampler Kit
Orders: 877-616-CELL (2355) [email protected] Support: 877-678-TECH (8324) [email protected] Web: cellsignal.com
For Research Use Only. Not for Use in Diagnostic Procedures.

Revision 1

Cell Signaling Technology Logo
Western blot analysis of extracts from various cell lines using c-Myc (D84C12) Rabbit mAb.
undefined Image 22: Wnt/beta-Catenin Activated Targets Antibody Sampler Kit
Immunohistochemical analysis of paraffin-embedded human colon adenocarcinoma using Met (D1C2) XP® Rabbit mAb performed on the Leica® Bond™ Rx.
undefined Image 23: Wnt/beta-Catenin Activated Targets Antibody Sampler Kit
Immunohistochemical analysis of paraffin-embedded human astrocytoma, using c-Jun (60A8) Rabbit mAb.
undefined Image 24: Wnt/beta-Catenin Activated Targets Antibody Sampler Kit
Orders: 877-616-CELL (2355) [email protected] Support: 877-678-TECH (8324) [email protected] Web: cellsignal.com
For Research Use Only. Not for Use in Diagnostic Procedures.

Revision 1

Cell Signaling Technology Logo
Immunohistochemical analysis of paraffin-embedded human tonsil using TCF1/TCF7 (C63D9) Rabbit mAb.
undefined Image 25: Wnt/beta-Catenin Activated Targets Antibody Sampler Kit
Confocal immunofluorescent analysis of HCT-15 cells using LEF1 (C12A5) Rabbit mAb (green). Actin filaments have been labeled with DyLight™ 554 Phalloidin #13054 (red).
undefined Image 26: Wnt/beta-Catenin Activated Targets Antibody Sampler Kit
Immunohistochemical analysis of paraffin-embedded human breast carcinoma, using Cyclin D1 (92G2) Rabbit mAb in the presence of control peptide (left) or Cyclin D1 Blocking Peptide #1044 (right).
undefined Image 27: Wnt/beta-Catenin Activated Targets Antibody Sampler Kit
Orders: 877-616-CELL (2355) [email protected] Support: 877-678-TECH (8324) [email protected] Web: cellsignal.com
For Research Use Only. Not for Use in Diagnostic Procedures.

Revision 1

Cell Signaling Technology Logo
Confocal immunofluorescent analysis of PANC-1 cells (left, positive) or A2780 cells (right, negative) using CD44 (156-3C11) Mouse mAb (green), DyLight™ 650 Phalloidin #12956 (red), and DAPI #4083 (blue).
undefined Image 28: Wnt/beta-Catenin Activated Targets Antibody Sampler Kit
Confocal immunofluorescent analysis of HeLa cells, mock-transfected (left) or transfected with SignalSilence® c-Myc siRNA I #6341 (right), using c-Myc (D84C12) Rabbit mAb (green) and DyLight 554 Phalloidin #13054 (red).
undefined Image 29: Wnt/beta-Catenin Activated Targets Antibody Sampler Kit
Immunohistochemical analysis of paraffin-embedded human non-small cell lung carcinoma using Met (D1C2) XP® Rabbit mAb performed on the Leica® Bond™ Rx.
undefined Image 30: Wnt/beta-Catenin Activated Targets Antibody Sampler Kit
Orders: 877-616-CELL (2355) [email protected] Support: 877-678-TECH (8324) [email protected] Web: cellsignal.com
For Research Use Only. Not for Use in Diagnostic Procedures.

Revision 1

Cell Signaling Technology Logo
Immunohistochemical analysis of paraffin-embedded human colon carcinoma, using c-Jun (60A8) Rabbit mAb.
undefined Image 31: Wnt/beta-Catenin Activated Targets Antibody Sampler Kit
Confocal immunofluorescent analysis of DLD-1 cells using TCF1/TCF7 (C63D9) Rabbit mAb (green). Actin filaments have been labeled with Alexa Fluor® 555 phalloidin (red).
undefined Image 32: Wnt/beta-Catenin Activated Targets Antibody Sampler Kit

Flow cytometric analysis of mouse splenocytes using LEF1 (C12A5) Rabbit mAb (right) compared to concentration-matched Rabbit (DA1E) mAb IgG XP® Isotype Control #3900 (left), co-stained with CD3 (17A2) Rat mAb (APC Conjugate) #24265. Anti-rabbit IgG (H+L), F(ab')2 Fragment (Alexa Fluor® 488 Conjugate) #4412 was used as a secondary antibody.

undefined Image 33: Wnt/beta-Catenin Activated Targets Antibody Sampler Kit
Orders: 877-616-CELL (2355) [email protected] Support: 877-678-TECH (8324) [email protected] Web: cellsignal.com
For Research Use Only. Not for Use in Diagnostic Procedures.

Revision 1

Cell Signaling Technology Logo
Immunohistochemical analysis of paraffin-embedded H1975 xenograft, using Cyclin D1 (92G2) Rabbit mAb.
undefined Image 34: Wnt/beta-Catenin Activated Targets Antibody Sampler Kit
Confocal immunofluorescent analysis of Hela cells using CD44 (156-3C11) Mouse mAb (green). Actin filaments have been labeled with Alexa Fluor® 555 phalloidin (red). Blue pseudocolor = DRAQ5® #4084 (fluorescent DNA dye).
undefined Image 35: Wnt/beta-Catenin Activated Targets Antibody Sampler Kit
Immunohistochemical analysis of paraffin-embedded human metastatic lung carcinoma using Met (D1C2) XP® Rabbit mAb.
undefined Image 36: Wnt/beta-Catenin Activated Targets Antibody Sampler Kit
Orders: 877-616-CELL (2355) [email protected] Support: 877-678-TECH (8324) [email protected] Web: cellsignal.com
For Research Use Only. Not for Use in Diagnostic Procedures.

Revision 1

Cell Signaling Technology Logo
Immunohistochemical analysis of paraffin-embedded human ovarian carcinoma, using c-Jun (60A8) Rabbit mAb.
undefined Image 37: Wnt/beta-Catenin Activated Targets Antibody Sampler Kit
Flow cytometric analysis of A20 cells (blue) and EL-4 cells (green) using TCF1/TCF7 (C63D9) Rabbit mAb (solid lines) or a concentration-matched Rabbit (DA1E) mAb IgG XP® Isotype Control #3900 (dashed lines). Anti-rabbit IgG (H+L), F(ab')2 Fragment (Alexa Fluor® 488 Conjugate) #4412 was used as a secondary antibody.
undefined Image 38: Wnt/beta-Catenin Activated Targets Antibody Sampler Kit
Flow cytometric analysis of live LNCaP cells (blue, negative) and PANC-1 cells (green, positive) using CD44 (156-3C11) Mouse mAb (solid lines) or a concentration-matched Mouse (G3A1) mAb IgG1 Isotype Control #5415 (dashed lines). Anti-mouse IgG (H+L), F(ab')2 Fragment (Alexa Fluor® 488 Conjugate) #4408 was used as a secondary antibody.
undefined Image 39: Wnt/beta-Catenin Activated Targets Antibody Sampler Kit
Orders: 877-616-CELL (2355) [email protected] Support: 877-678-TECH (8324) [email protected] Web: cellsignal.com
For Research Use Only. Not for Use in Diagnostic Procedures.

Revision 1

Cell Signaling Technology Logo
Immunohistochemical analysis of paraffin-embedded human hepatocellular carcinoma using Met (D1C2) XP® Rabbit mAb.
undefined Image 40: Wnt/beta-Catenin Activated Targets Antibody Sampler Kit
Flow cytometric analysis of fixed and permeabilized LNCaP cells (blue, negative) and PANC-1 cells (green, positive) using CD44 (156-3C11) Mouse mAb (solid lines) or concentration-matched Mouse (G3A1) mAb IgG1 Isotype Control #5415 (dashed lines). Anti-mouse IgG (H+L), F(ab')2 Fragment (Alexa Fluor® 488 Conjugate) #4408 was used as a secondary antibody.
undefined Image 41: Wnt/beta-Catenin Activated Targets Antibody Sampler Kit
Immunohistochemical analysis of paraffin-embedded human papillary renal cell carcinoma using Met (D1C2) XP® Rabbit mAb.
undefined Image 42: Wnt/beta-Catenin Activated Targets Antibody Sampler Kit
Orders: 877-616-CELL (2355) [email protected] Support: 877-678-TECH (8324) [email protected] Web: cellsignal.com
For Research Use Only. Not for Use in Diagnostic Procedures.

Revision 1

Cell Signaling Technology Logo
Chromatin immunoprecipitations were performed with cross-linked chromatin from mouse thymocytes and either TCF1/TCF7 (C63D9) Rabbit mAb or Normal Rabbit IgG #2729 using SimpleChIP® Plus Enzymatic Chromatin IP Kit (Magnetic Beads) #9005. The enriched DNA was quantified by real-time PCR using SimpleChIP® Mouse LEF1 Upstream Primers #80993 and SimpleChIP® Mouse MYT-1 Promoter Primers #8985. The amount of immunoprecipitated DNA in each sample is represented as signal relative to the total amount of input chromatin, which is equivalent to one.
undefined Image 43: Wnt/beta-Catenin Activated Targets Antibody Sampler Kit
Immunohistochemical analysis of paraffin-embedded cell pellets, MKN-45 (left) and T-47D (right), using Met (D1C2) XP® Rabbit mAb.
undefined Image 44: Wnt/beta-Catenin Activated Targets Antibody Sampler Kit
Confocal immunofluorescent analysis of HeLa cells, using c-Jun (60A8) Rabbit mAb (green). Actin filaments have been labeled with Alexa Fluor® 555 phalloidin (red).
undefined Image 45: Wnt/beta-Catenin Activated Targets Antibody Sampler Kit
Orders: 877-616-CELL (2355) [email protected] Support: 877-678-TECH (8324) [email protected] Web: cellsignal.com
For Research Use Only. Not for Use in Diagnostic Procedures.

Revision 1

Cell Signaling Technology Logo
Immunohistochemical analysis of frozen MKN-45 xenograft using Met (D1C2) XP® Rabbit mAb.
undefined Image 46: Wnt/beta-Catenin Activated Targets Antibody Sampler Kit
Flow cytometric analysis of Jurkat cells using c-Jun (60A8) Rabbit mAb (solid line) compared to concentration-matched Rabbit (DA1E) mAb IgG XP® Isotype Control #3900 (dashed line). Anti-rabbit IgG (H+L), F(ab')2 Fragment (Alexa Fluor® 488 Conjugate) #4412 was used as a secondary antibody.
undefined Image 47: Wnt/beta-Catenin Activated Targets Antibody Sampler Kit
Confocal immunofluorescent analysis of HT-29 and T-47D cells using Met (D1C2) XP® Rabbit mAb (green). Actin filaments were labeled with DY-554 phalloidin (red). Blue pseudocolor = DRAQ5® #4084 (fluorescent DNA dye).
undefined Image 48: Wnt/beta-Catenin Activated Targets Antibody Sampler Kit
Orders: 877-616-CELL (2355) [email protected] Support: 877-678-TECH (8324) [email protected] Web: cellsignal.com
For Research Use Only. Not for Use in Diagnostic Procedures.

Revision 1

Cell Signaling Technology Logo
Chromatin immunoprecipitations were performed with cross-linked chromatin from PC-12 cells starved overnight and treated with β-NGF #5221 (50ng/ml) for 2h and c-Jun (60A8) Rabbit mAb, using SimpleChIP® Plus Enzymatic Chromatin IP Kit (Magnetic Beads) #9005. DNA Library Prep Kit for Illumina® (ChIP-seq, CUT&RUN) #56795. The figure shows binding across Dclk1, a known target gene of c-Jun (see additional figure containing ChIP-qPCR data).
undefined Image 49: Wnt/beta-Catenin Activated Targets Antibody Sampler Kit
Flow cytometric analysis of fixed and permeabilized Ramos cells (blue, negative) and MKN-45 cells (green, positive) using Met (D1C2) XP® Rabbit mAb (solid lines) or a concentration-matched Rabbit (DA1E) mAb IgG XP® Isotype Control #3900 (dashed lines). Anti-rabbit IgG (H+L), F(ab')2 Fragment (Alexa Fluor® 488 Conjugate) #4412 was used as a secondary antibody.
undefined Image 50: Wnt/beta-Catenin Activated Targets Antibody Sampler Kit
Chromatin immunoprecipitations were performed with cross-linked chromatin from PC-12 cells starved overnight and treated with β-NGF #5221 (50ng/ml) for 2h and c-Jun (60A8) Rabbit mAb, using SimpleChIP® Plus Enzymatic Chromatin IP Kit (Magnetic Beads) #9005. DNA Library Prep Kit for Illumina® (ChIP-seq, CUT&RUN) #56795. The figure shows binding across chromosome 2 (upper), including Dclk1 (lower), a known target gene of c-Jun (see additional figure containing ChIP-qPCR data).
undefined Image 51: Wnt/beta-Catenin Activated Targets Antibody Sampler Kit
Orders: 877-616-CELL (2355) [email protected] Support: 877-678-TECH (8324) [email protected] Web: cellsignal.com
For Research Use Only. Not for Use in Diagnostic Procedures.

Revision 1

Cell Signaling Technology Logo
Chromatin immunoprecipitations were performed with cross-linked chromatin from PC-12 cells starved overnight and treated with β-NGF #5221 (50ng/ml) for 2h and either of c-Jun (60A8) Rabbit mAb or Normal Rabbit IgG #2729 using SimpleChIP® Enzymatic Chromatin IP Kit (Magnetic Beads) #9003. The enriched DNA was quantified by real-time PCR using SimpleChIP® Rat CCRN4L Promoter Primers #7983, rat DCLK1 promoter primers, and SimpleChIP® Rat GAPDH Promoter Primers #7964. The amount of immunoprecipitated DNA in each sample is represented as signal relative to the total amount of input chromatin, which is equivalent to one.
undefined Image 52: Wnt/beta-Catenin Activated Targets Antibody Sampler Kit
Confocal immunofluorescent analysis of fixed frozen lymph node from wild-type (left) Tcf7GFP flox (right; Jax Strain 030909) mice using TCF1/TCF7 (C63D9) Rabbit mAb #2203 (red) and CD4 (RM4-5) Rat mAb (redFluor™ 710 Conjugate) #75508 (blue). EGFP insertion around Tcf7 exon 2 interferes with expression of long isoforms, but not short isoforms.
undefined Image 53: Wnt/beta-Catenin Activated Targets Antibody Sampler Kit
Immunoprecipitation of TCF1/TCF7 protein from Jurkat cell extracts. Lane 1 is 10% input, lane 2 is Rabbit (DA1E) mAb IgG XP® Isotype Control #3900, and lane 3 is TCF1/TCF7 (C63D9) Rabbit mAb. Western blot analysis was performed using TCF1/TCF7 (C63D9) Rabbit mAb. Mouse Anti-rabbit IgG (Conformation Specific) (L27A9) mAb #3678 was used as a secondary antibody.
undefined Image 54: Wnt/beta-Catenin Activated Targets Antibody Sampler Kit
Orders: 877-616-CELL (2355) [email protected] Support: 877-678-TECH (8324) [email protected] Web: cellsignal.com
For Research Use Only. Not for Use in Diagnostic Procedures.

Revision 1

Cell Signaling Technology Logo
Flow cytometric analysis of human peripheral blood mononuclear cells using TCF1/TCF7 (C63D9) Rabbit mAb (right) or concentration-matched Rabbit (DA1E) mAb IgG XP® Isotype Control #3900 (left), co-stained with CD3 (UCHT1) Mouse mAb (APC Conjugate) #19881. Anti-rabbit IgG (H+L), F(ab')2 Fragment (Alexa Fluor® 488 Conjugate) #4412 was used as a secondary antibody.
undefined Image 55: Wnt/beta-Catenin Activated Targets Antibody Sampler Kit

Flow cytometric analysis of human peripheral blood mononuclear cells using LEF1 (C12A5) Rabbit mAb (right) compared to concentration-matched Rabbit (DA1E) mAb IgG XP® Isotype Control #3900 (left), co-stained with CD3 (UCHT1) Mouse mAb (APC Conjugate) #19881. Anti-rabbit IgG (H+L), F(ab')2 Fragment (Alexa Fluor® 488 Conjugate) #4412 was used as a secondary antibody.

undefined Image 56: Wnt/beta-Catenin Activated Targets Antibody Sampler Kit
Simple Western™ analysis of lysates (1 mg/mL) from Raji cells using c-Myc (D84C12) Rabbit mAb #5605. The virtual lane view (left) shows a single target band (as indicated) at 1:50 and 1:250 dilutions of primary antibody. The corresponding electropherogram view (right) plots chemiluminescence by molecular weight along the capillary at 1:50 (blue line) and 1:250 (green line) dilutions of primary antibody. This experiment was performed under reducing conditions on the Jess™ Simple Western instrument from ProteinSimple, a BioTechne brand, using the 12-230 kDa separation module.
undefined Image 57: Wnt/beta-Catenin Activated Targets Antibody Sampler Kit
Orders: 877-616-CELL (2355) [email protected] Support: 877-678-TECH (8324) [email protected] Web: cellsignal.com
For Research Use Only. Not for Use in Diagnostic Procedures.

Revision 1

Cell Signaling Technology Logo
Simple Western™ analysis of lysates (0.1 mg/mL) from HT-29 untreated cells using Met (D1C2) XP® Rabbit mAb #8198 lane view (left) shows a single target band (as indicated) at 1:50 and 1:250 dilutions of primary antibody. The corresponding electropherogram view (right) plots chemiluminescence by molecular weight along the capillary at 1:50 (blue line) and 1:250 (green line) dilutions of primary antibody. This experiment was performed under reducing conditions on the Jess™ Simple Western instrument from ProteinSimple, a BioTechne brand, using the 12-230 kDa separation module.
undefined Image 58: Wnt/beta-Catenin Activated Targets Antibody Sampler Kit

Simple Western™ analysis of lysates (0.1 mg/mL) from HeLa cells treated with UV (100 mJ/cm2; 2H recovery) using c-Jun (60A8) Rabbit mAb #9165. The virtual lane view (left) shows the target band (as indicated) at 1:10 and 1:50 dilutions of primary antibody. The corresponding electropherogram view (right) plots chemiluminescence by molecular weight along the capillary at 1:10 (blue line) and 1:50 (green line) dilutions of primary antibody. This experiment was performed under reducing conditions on the Jess™ ​​​​​​​ Simple Western instrument from ProteinSimple, a BioTechne brand, using the 12-230 kDa separation module.

undefined Image 59: Wnt/beta-Catenin Activated Targets Antibody Sampler Kit
CUT&RUN was performed with PC-12 cells starved overnight and treated with β-NGF #5221 (50ng/mL) for 2h and c-Jun (60A8) Rabbit mAb or Rabbit (DA1E) mAb IgG XP® Isotype Control (CUT&RUN) #66362, using CUT&RUN Assay Kit #86652. The enriched DNA was quantified by real-time PCR using rat Adck4 promoter primers, rat Dclk1 promoter primers, and rat Noct downstream primers. The amount of immunoprecipitated DNA in each sample is represented as signal relative to the total amount of input chromatin, which is equivalent to one.
undefined Image 60: Wnt/beta-Catenin Activated Targets Antibody Sampler Kit
Orders: 877-616-CELL (2355) [email protected] Support: 877-678-TECH (8324) [email protected] Web: cellsignal.com
For Research Use Only. Not for Use in Diagnostic Procedures.

Revision 1

Cell Signaling Technology Logo
CUT&RUN was performed with PC-12 cells starved overnight and treated with β-NGF #5221 (50ng/mL) for 2h and c-Jun (60A8) Rabbit mAb, using CUT&RUN Assay Kit #86652. DNA Library was prepared using DNA Library Prep Kit for Illumina® (ChIP-seq, CUT&RUN) #56795. The figure shows binding across the Adck4 gene.
undefined Image 61: Wnt/beta-Catenin Activated Targets Antibody Sampler Kit
CUT&RUN was performed with PC-12 cells starved overnight and treated with β-NGF #5221 (50ng/mL) for 2h and c-Jun (60A8) Rabbit mAb, using CUT&RUN Assay Kit #86652. DNA Library was prepared using DNA Library Prep Kit for Illumina® (ChIP-seq, CUT&RUN) #56795. The figures show binding across chromosome 1 (upper), including the Adck4 gene (lower).
undefined Image 62: Wnt/beta-Catenin Activated Targets Antibody Sampler Kit
Orders: 877-616-CELL (2355) [email protected] Support: 877-678-TECH (8324) [email protected] Web: cellsignal.com
For Research Use Only. Not for Use in Diagnostic Procedures.