Revision 1

#61260

Store at -20C

CST Logo
Orders:

877-616-CELL (2355)

[email protected]

Support:

877-678-TECH (8324)

3 Trask Lane | Danvers | Massachusetts | 01923 | USA

For Research Use Only. Not for Use in Diagnostic Procedures.

Applications:
W

Reactivity:
H

Sensitivity:
Endogenous

MW (kDa):
12

Source/Isotype:
Rabbit

UniProt ID:
#P47992

Entrez-Gene Id:
6375

Product Usage Information

Application Dilution
Western Blotting 1:1000

Storage

Supplied in 10 mM sodium HEPES (pH 7.5), 150 mM NaCl, 100 µg/ml BSA and 50% glycerol. Store at –20°C. Do not aliquot the antibody.

Specificity/Sensitivity

XCL1/XCL2 Antibody recognizes endogenous levels of total XCL1 and XCL2 proteins.

Source / Purification

Polyclonal antibodies are produced by immunizing animals with a synthetic peptide corresponding to residues surrounding Pro99 of human XCL1 protein. Antibodies are purified by peptide affinity chromatography.

Background

XCL1 (Lymphotactin, SCM-1 alpha, Chemokine (C motif) ligand 1) and XCL2 (SCM-1 beta, Chemokine (C motif) ligand 2) comprise the C chemokine family, lacking two of the four invariant cysteines normally found on chemokines (1,4). Their sequences differ by 2 amino acids and they are primarily expressed by CD8+ T cells and NK cells (1-5). XCL1 and XCL2 act as ligands for the chemokine receptor XCR1 (1-5). XCR1-positive dendritic cells cross-present antigens to naïve CD8+ T cells, priming them to become activated cytotoxic CD8+ T cells (6,7). In addition, in mouse models, the XCL1-XCR1 signaling axis was shown to be involved in the formation of self-tolerance through the development of Treg cells within the thymus (8).

Species Reactivity

Species reactivity is determined by testing in at least one approved application (e.g., western blot).

Western Blot Buffer

IMPORTANT: For western blots, incubate membrane with diluted primary antibody in 5% w/v nonfat dry milk, 1X TBS, 0.1% Tween® 20 at 4°C with gentle shaking, overnight.

Applications Key

W: Western Blotting

Cross-Reactivity Key

H: Human

Trademarks and Patents

Cell Signaling Technology is a trademark of Cell Signaling Technology, Inc.

All other trademarks are the property of their respective owners. Visit cellsignal.com/trademarks for more information.

Limited Uses

Except as otherwise expressly agreed in a writing signed by a legally authorized representative of CST, the following terms apply to Products provided by CST, its affiliates or its distributors. Any Customer's terms and conditions that are in addition to, or different from, those contained herein, unless separately accepted in writing by a legally authorized representative of CST, are rejected and are of no force or effect.

Products are labeled with For Research Use Only or a similar labeling statement and have not been approved, cleared, or licensed by the FDA or other regulatory foreign or domestic entity, for any purpose. Customer shall not use any Product for any diagnostic or therapeutic purpose, or otherwise in any manner that conflicts with its labeling statement. Products sold or licensed by CST are provided for Customer as the end-user and solely for research and development uses. Any use of Product for diagnostic, prophylactic or therapeutic purposes, or any purchase of Product for resale (alone or as a component) or other commercial purpose, requires a separate license from CST. Customer shall (a) not sell, license, loan, donate or otherwise transfer or make available any Product to any third party, whether alone or in combination with other materials, or use the Products to manufacture any commercial products, (b) not copy, modify, reverse engineer, decompile, disassemble or otherwise attempt to discover the underlying structure or technology of the Products, or use the Products for the purpose of developing any products or services that would compete with CST products or services, (c) not alter or remove from the Products any trademarks, trade names, logos, patent or copyright notices or markings, (d) use the Products solely in accordance with CST Product Terms of Sale and any applicable documentation, and (e) comply with any license, terms of service or similar agreement with respect to any third party products or services used by Customer in connection with the Products.

Orders: 877-616-CELL (2355) [email protected] Support: 877-678-TECH (8324) [email protected] Web: cellsignal.com
For Research Use Only. Not for Use in Diagnostic Procedures.

Revision 1

Cell Signaling Technology Logo
Western blot analysis of extracts from NK-92 cells, untreated (-) or treated as indicated with TPA (12-O-Tetradecanoylphorbol-13-Acetate) #4174 (80 nM, 5 hr; +) and Ionomycin, Calcium Salt #9995 (3 μM, 5 hr; +), or Brefeldin A #9972 (300 ng/mL, last 4 hr of stimulation; +), using XCL1/XCL2 Antibody (upper) or β-Actin (D6A8) Rabbit mAb #8457 (lower).
Western Blotting Image 1: XCL1/XCL2 Antibody
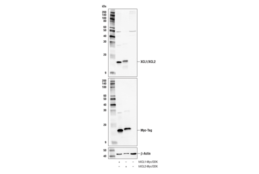
Western blot analysis of extracts from 293T cells, mock transfected (-) or transfected with constructs expressing Myc/DDK-tagged full-length human XCL1 protein (hXCL1-Myc/DDK; +) and Myc/DDK-tagged full-length human XCL2 protein (hXCL2-Myc/DDK; +), using XCL1/XCL2 Antibody (upper), Myc-Tag (71D10) Rabbit mAb #2278 (middle), and β-Actin (D6A8) Rabbit mAb #8457 (lower).
Western Blotting Image 2: XCL1/XCL2 Antibody
Orders: 877-616-CELL (2355) [email protected] Support: 877-678-TECH (8324) [email protected] Web: cellsignal.com
For Research Use Only. Not for Use in Diagnostic Procedures.