Revision 5

#14334

Store at -20C

CST Logo
Orders:

877-616-CELL (2355)

[email protected]

Support:

877-678-TECH (8324)

3 Trask Lane | Danvers | Massachusetts | 01923 | USA

For Research Use Only. Not for Use in Diagnostic Procedures.

Applications:
W, IP, IHC-P

Reactivity:
H Mk

Sensitivity:
Endogenous

MW (kDa):
53

Source/Isotype:
Rabbit IgG

UniProt ID:
#P98170

Entrez-Gene Id:
331

Product Usage Information

Application Dilution
Western Blotting 1:1000
Immunoprecipitation 1:100
Immunohistochemistry (Paraffin) 1:50

Storage

Supplied in 10 mM sodium HEPES (pH 7.5), 150 mM NaCl, 100 µg/ml BSA, 50% glycerol and less than 0.02% sodium azide. Store at –20°C. Do not aliquot the antibody.

For a carrier free (BSA and azide free) version of this product see product #37329.

Specificity/Sensitivity

XIAP (D2Z8W) Rabbit Monoclonal Antibody recognizes endogenous levels of total XIAP protein.

Source / Purification

Monoclonal antibody is produced by immunizing animals with a synthetic peptide corresponding to residues surrounding Leu256 of human XIAP protein.

Background

The inhibitor of apoptosis protein (IAP) family consists of an evolutionarily conserved group of apoptosis inhibitors containing a conserved 70 amino acid BIR (baculovirus inhibitor repeat) domain (1,2). Human members of this family include c-IAP1, c-IAP2, XIAP, survivin, livin, and NAIP. Overexpression of IAP family members, particularly survivin and livin, in cancer cell lines and primary tumors suggests an important role for these proteins in cancer progression (3-5). In general, the IAP proteins function through direct interactions to inhibit the activity of several caspases, including caspase-3, caspase-7, and caspase-9 (5,6). In addition, binding of IAP family members to the mitochondrial protein Smac blocks their interaction with caspase-9, thereby allowing the processing and activation of the caspase (2).

Species Reactivity

Species reactivity is determined by testing in at least one approved application (e.g., western blot).

Western Blot Buffer

IMPORTANT: For western blots, incubate membrane with diluted primary antibody in 5% w/v BSA, 1X TBS, 0.1% Tween® 20 at 4°C with gentle shaking, overnight.

Applications Key

W: Western Blotting IP: Immunoprecipitation IHC-P: Immunohistochemistry (Paraffin)

Cross-Reactivity Key

H: Human Mk: Monkey

Trademarks and Patents

Cell Signaling Technology is a trademark of Cell Signaling Technology, Inc.

SignalStain is a registered trademark of Cell Signaling Technology, Inc.

All other trademarks are the property of their respective owners. Visit cellsignal.com/trademarks for more information.

Limited Uses

Except as otherwise expressly agreed in a writing signed by a legally authorized representative of CST, the following terms apply to Products provided by CST, its affiliates or its distributors. Any Customer's terms and conditions that are in addition to, or different from, those contained herein, unless separately accepted in writing by a legally authorized representative of CST, are rejected and are of no force or effect.

Products are labeled with For Research Use Only or a similar labeling statement and have not been approved, cleared, or licensed by the FDA or other regulatory foreign or domestic entity, for any purpose. Customer shall not use any Product for any diagnostic or therapeutic purpose, or otherwise in any manner that conflicts with its labeling statement. Products sold or licensed by CST are provided for Customer as the end-user and solely for research and development uses. Any use of Product for diagnostic, prophylactic or therapeutic purposes, or any purchase of Product for resale (alone or as a component) or other commercial purpose, requires a separate license from CST. Customer shall (a) not sell, license, loan, donate or otherwise transfer or make available any Product to any third party, whether alone or in combination with other materials, or use the Products to manufacture any commercial products, (b) not copy, modify, reverse engineer, decompile, disassemble or otherwise attempt to discover the underlying structure or technology of the Products, or use the Products for the purpose of developing any products or services that would compete with CST products or services, (c) not alter or remove from the Products any trademarks, trade names, logos, patent or copyright notices or markings, (d) use the Products solely in accordance with CST Product Terms of Sale and any applicable documentation, and (e) comply with any license, terms of service or similar agreement with respect to any third party products or services used by Customer in connection with the Products.

Orders: 877-616-CELL (2355) [email protected] Support: 877-678-TECH (8324) [email protected] Web: cellsignal.com
For Research Use Only. Not for Use in Diagnostic Procedures.

Revision 5

Cell Signaling Technology Logo
Western blot analysis of extracts from various cell lines using XIAP (D2Z8W) Rabbit mAb.
Western Blotting Image 1: XIAP (D2Z8W) Rabbit Monoclonal Antibody
Western blot analysis of extracts from HT-29 cells, untreated (-) or treated with mithramycin A (200 nM, overnight; +) using XIAP (D2Z8W) Rabbit mAb (upper) or β-Actin (D6A8) Rabbit mAb #8457 (lower).
Western Blotting Image 2: XIAP (D2Z8W) Rabbit Monoclonal Antibody
Immunoprecipitation of XIAP from MCF7 cell extracts using Rabbit (DA1E) mAb IgG XP® Isotype Control #3900 (lane 2) or XIAP (D2Z8W) Rabbit mAb (lane 3). Lane 1 represents 10% input. Western blot was performed using XIAP (D2Z8W) Rabbit mAb. The conformation specific secondary antibody Mouse Anti-Rabbit IgG (Conformation Specific) (L27A9) mAb #3678 was using to avoid cross reactivity with the IgG heavy chain.
Immunoprecipitation Image 1: XIAP (D2Z8W) Rabbit Monoclonal Antibody
Orders: 877-616-CELL (2355) [email protected] Support: 877-678-TECH (8324) [email protected] Web: cellsignal.com
For Research Use Only. Not for Use in Diagnostic Procedures.

Revision 5

Cell Signaling Technology Logo
Immunohistochemical analysis of paraffin-embedded human breast carcinoma using XIAP (D2Z8W) Rabbit mAb.
Immunohistochemistry Image 1: XIAP (D2Z8W) Rabbit Monoclonal Antibody
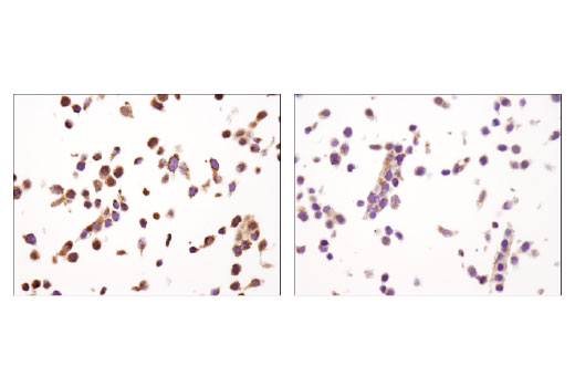
Immunohistochemical analysis of paraffin-embedded HT-29 cells, untreated (left) or mithramycin A-treated (right), using XIAP (D2Z8W) Rabbit mAb.
Immunohistochemistry Image 2: XIAP (D2Z8W) Rabbit Monoclonal Antibody
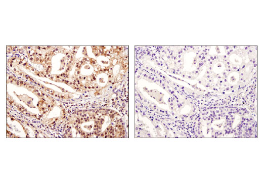
Immunohistochemical analysis of paraffin-embedded human non-small cell lung carcinoma using XIAP (D2Z8W) Rabbit mAb in the presence of control peptide (left) or antigen-specific peptide (right).
Immunohistochemistry Image 3: XIAP (D2Z8W) Rabbit Monoclonal Antibody
Orders: 877-616-CELL (2355) [email protected] Support: 877-678-TECH (8324) [email protected] Web: cellsignal.com
For Research Use Only. Not for Use in Diagnostic Procedures.