Revision 10

#14074

Store at -20C

CST Logo
Orders:

877-616-CELL (2355)

[email protected]

Support:

877-678-TECH (8324)

3 Trask Lane | Danvers | Massachusetts | 01923 | USA

For Research Use Only. Not for Use in Diagnostic Procedures.

Applications:
W, W-S, IP, IHC-Bond, IHC-P, IF-F, IF-IC, FC-FP, ChIP, ChIP-seq, C&R

Reactivity:
H M R Hm Mk

Sensitivity:
Endogenous

MW (kDa):
65-78

Source/Isotype:
Rabbit IgG

UniProt ID:
#P46937

Entrez-Gene Id:
10413

Product Usage Information

For optimal ChIP and ChIP-seq results, use 10 μl of antibody and 10 μg of chromatin (approximately 4 x 106 cells) per IP. This antibody has been validated using SimpleChIP® Enzymatic Chromatin IP Kits.

The CUT&RUN dilution was determined using CUT&RUN Assay Kit #86652.
Application Dilution
Western Blotting 1:1000
Simple Western™ 1:10 - 1:50
Immunoprecipitation 1:50
IHC Leica Bond 1:100 - 1:400
Immunohistochemistry (Paraffin) 1:200 - 1:800
Immunofluorescence (Frozen) 1:50 - 1:200
Immunofluorescence (Immunocytochemistry) 1:50 - 1:200
Flow Cytometry (Fixed/Permeabilized) 1:50 - 1:200
Chromatin IP 1:50
Chromatin IP-seq 1:50
CUT&RUN 1:50

Storage

Supplied in 10 mM sodium HEPES (pH 7.5), 150 mM NaCl, 100 µg/ml BSA, 50% glycerol and less than 0.02% sodium azide. Store at –20°C. Do not aliquot the antibody.

For a carrier free (BSA and azide free) version of this product see product #53921.

Specificity/Sensitivity

YAP (D8H1X) Rabbit Monoclonal Antibody recognizes endogenous levels of total YAP protein. Non-specific labeling of membrane within fixed frozen mouse small intestine may be observed by immunofluorescence.

Species predicted to react based on 100% sequence homology

Bovine, Horse, Guinea Pig

Source / Purification

Monoclonal antibody is produced by immunizing animals with recombinant protein specific to the carboxy terminus of human YAP protein. The epitope corresponds to a region surrounding Pro435 of human YAP isoform 1. This sequence region is 100% conserved among all known isoforms of human YAP protein.

Background

YAP (Yes-associated protein, YAP65) was first identified based on its ability to associate with the SH3 domain of Yes. It also binds to other SH3 domain-containing proteins such as Nck, Crk, Src, and Abl (1). In addition to the SH3 binding motif, YAP contains a PDZ interaction motif, a coiled-coil domain, and WW domains (2-4). While initial studies of YAP all pointed towards a role in anchoring and targeting to specific subcellular compartments, subsequent studies showed that YAP is a transcriptional co-activator by virtue of its WW domain interacting with the PY motif (PPxY) of the transcription factor PEBP2 and other transcription factors (5). In its capacity as a transcriptional co-activator, YAP is now widely recognized as a central mediator of the Hippo Pathway, which plays a fundamental and widely conserved role in regulating tissue growth and organ size (6-8). Phosphorylation at multiple sites (e.g., Ser109, Ser127) by LATS kinases promotes YAP translocation from the nucleus to the cytoplasm, where it is sequestered through association with 14-3-3 proteins (7-9). These LATS-driven phosphorylation events serve to prime YAP for subsequent phosphorylation by CK1δ/ε in an adjacent phosphodegron, triggering proteasomal degradation of YAP (10).

Species Reactivity

Species reactivity is determined by testing in at least one approved application (e.g., western blot).

Western Blot Buffer

IMPORTANT: For western blots, incubate membrane with diluted primary antibody in 5% w/v BSA, 1X TBS, 0.1% Tween® 20 at 4°C with gentle shaking, overnight.

Applications Key

W: Western Blotting W-S: Simple Western™ IP: Immunoprecipitation IHC-Bond: IHC Leica Bond IHC-P: Immunohistochemistry (Paraffin) IF-F: Immunofluorescence (Frozen) IF-IC: Immunofluorescence (Immunocytochemistry) FC-FP: Flow Cytometry (Fixed/Permeabilized) ChIP: Chromatin IP ChIP-seq: Chromatin IP-seq C&R: CUT&RUN

Cross-Reactivity Key

H: Human M: Mouse R: Rat Hm: Hamster Mk: Monkey

Trademarks and Patents

Cell Signaling Technology is a trademark of Cell Signaling Technology, Inc.

Alexa Fluor is a registered trademark of Life Technologies Corporation.

All other trademarks are the property of their respective owners. Visit cellsignal.com/trademarks for more information.

Limited Uses

Except as otherwise expressly agreed in a writing signed by a legally authorized representative of CST, the following terms apply to Products provided by CST, its affiliates or its distributors. Any Customer's terms and conditions that are in addition to, or different from, those contained herein, unless separately accepted in writing by a legally authorized representative of CST, are rejected and are of no force or effect.

Products are labeled with For Research Use Only or a similar labeling statement and have not been approved, cleared, or licensed by the FDA or other regulatory foreign or domestic entity, for any purpose. Customer shall not use any Product for any diagnostic or therapeutic purpose, or otherwise in any manner that conflicts with its labeling statement. Products sold or licensed by CST are provided for Customer as the end-user and solely for research and development uses. Any use of Product for diagnostic, prophylactic or therapeutic purposes, or any purchase of Product for resale (alone or as a component) or other commercial purpose, requires a separate license from CST. Customer shall (a) not sell, license, loan, donate or otherwise transfer or make available any Product to any third party, whether alone or in combination with other materials, or use the Products to manufacture any commercial products, (b) not copy, modify, reverse engineer, decompile, disassemble or otherwise attempt to discover the underlying structure or technology of the Products, or use the Products for the purpose of developing any products or services that would compete with CST products or services, (c) not alter or remove from the Products any trademarks, trade names, logos, patent or copyright notices or markings, (d) use the Products solely in accordance with CST Product Terms of Sale and any applicable documentation, and (e) comply with any license, terms of service or similar agreement with respect to any third party products or services used by Customer in connection with the Products.

Orders: 877-616-CELL (2355) [email protected] Support: 877-678-TECH (8324) [email protected] Web: cellsignal.com
For Research Use Only. Not for Use in Diagnostic Procedures.

Revision 10

Cell Signaling Technology Logo
Western blot analysis of extracts from control HeLa cells (Lane 1) or YAP knockout HeLa cells (Lane 2) using YAP (D8H1X) XP® Rabbit mAb (upper) or β-actin (13E5) Rabbit mAb #4970 (lower). The absence of signal in the YAP knockout HeLa cells confirms the specificity of the antibody for YAP.
Western Blotting Image 1: YAP (D8H1X) Rabbit Monoclonal Antibody
Western blot analysis of extracts from various cell lines using YAP (D8H1X) XP® Rabbit mAb (upper) and β-Actin (D6A8) Rabbit mAb #8457 (lower). As expected, RL cells are negative for YAP protein expression.
Western Blotting Image 2: YAP (D8H1X) Rabbit Monoclonal Antibody
Simple Western™ analysis of lysates (1 mg/mL) from MCF-7 cells using YAP (D8H1X) XP® Rabbit mAb #14074. The virtual lane view (left) shows the target band (as indicated) at 1:10 and 1:50 dilutions of primary antibody. The corresponding electropherogram view (right) plots chemiluminescence by molecular weight along the capillary at 1:10 (blue line) and 1:50 (green line) dilutions of primary antibody. This experiment was performed under reducing conditions on the Jess™ Simple Western instrument from ProteinSimple, a BioTechne brand, using the 12-230 kDa separation module.
Western Blotting Image 1: YAP (D8H1X) Rabbit Monoclonal Antibody
Orders: 877-616-CELL (2355) [email protected] Support: 877-678-TECH (8324) [email protected] Web: cellsignal.com
For Research Use Only. Not for Use in Diagnostic Procedures.

Revision 10

Cell Signaling Technology Logo
Immunoprecipitation of YAP protein from A-204 cell extracts using Rabbit (DA1E) mAb XP® Isotype Control #3900 (lane 2) or YAP (D8H1X) XP® Rabbit mAb (lane 3). Lane 1 is 10% input. Western blot analysis was performed using YAP (D8H1X) XP® Rabbit mAb. Mouse Anti-rabbit IgG (Conformation Specific) (L27A9) mAb #3678 was used as a secondary antibody.
Immunoprecipitation Image 1: YAP (D8H1X) Rabbit Monoclonal Antibody
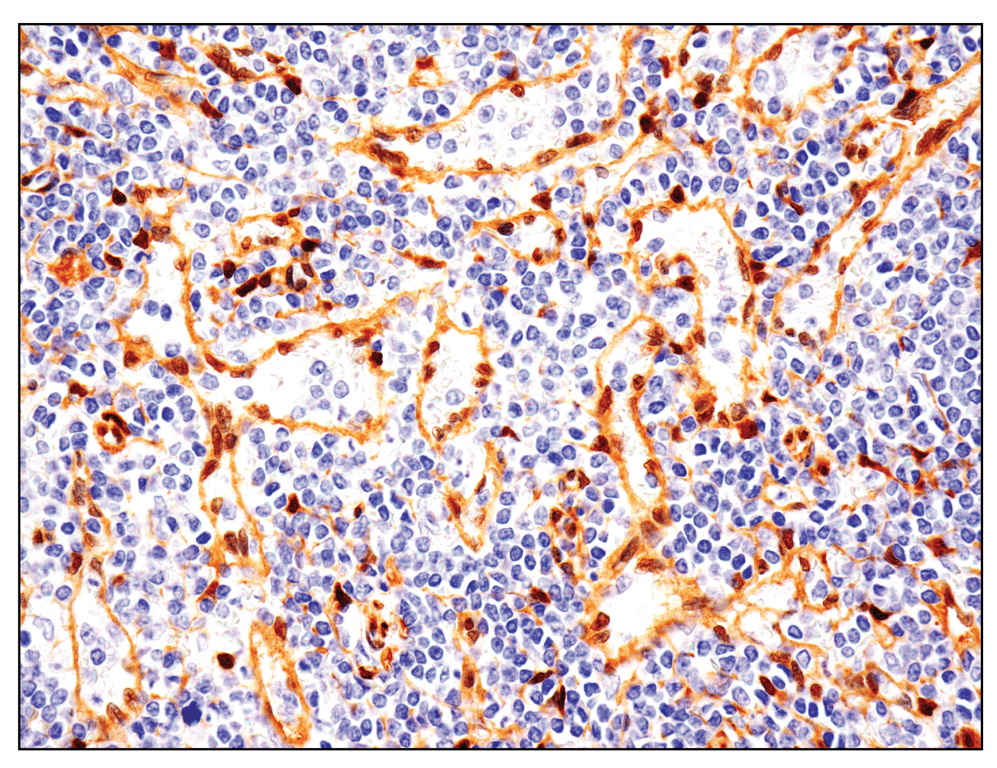
Immunohistochemical analysis of paraffin-embedded human non-Hodgkin lymphoma using YAP (D8H1X) XP® Rabbit mAb performed on the Leica® BOND™ Rx.
Immunohistochemistry Image 1: YAP (D8H1X) Rabbit Monoclonal Antibody
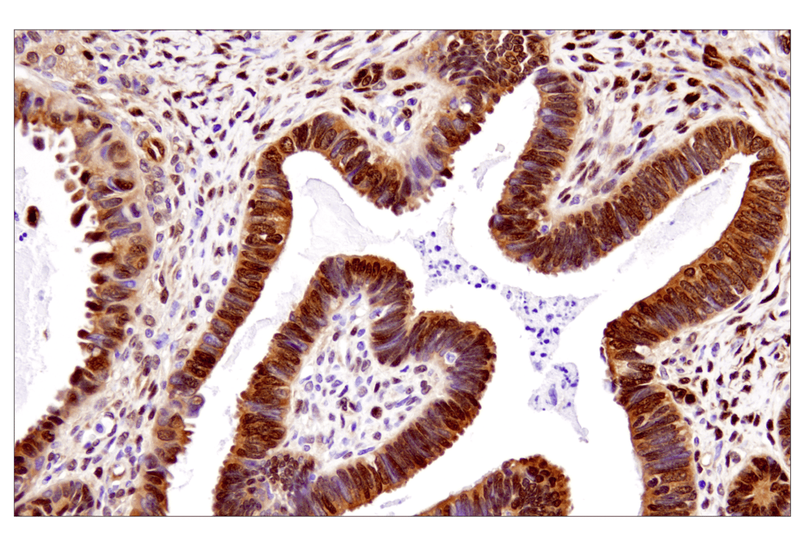
Immunohistochemical analysis of paraffin-embedded human endometrioid adenocarcinoma using YAP (D8H1X) XP® Rabbit mAb performed on the Leica® BOND™ Rx.  
Immunohistochemistry Image 2: YAP (D8H1X) Rabbit Monoclonal Antibody
Orders: 877-616-CELL (2355) [email protected] Support: 877-678-TECH (8324) [email protected] Web: cellsignal.com
For Research Use Only. Not for Use in Diagnostic Procedures.

Revision 10

Cell Signaling Technology Logo
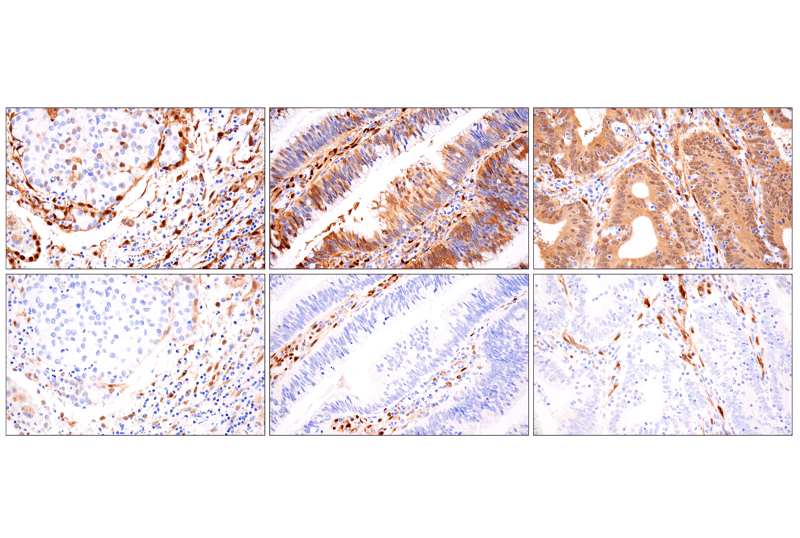
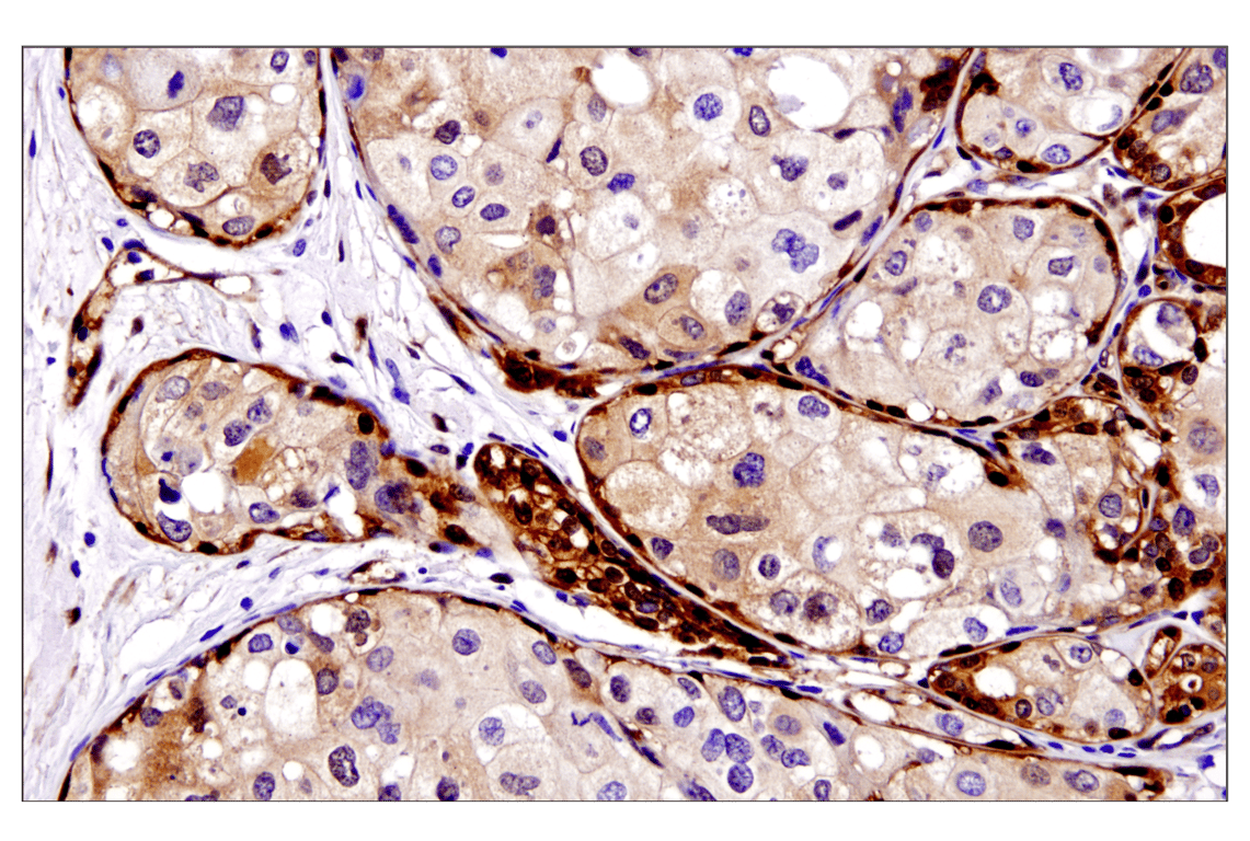
Immunohistochemical analysis of paraffin-embedded human breast adenocarcinoma using YAP (D8H1X) XP® Rabbit mAb.
Immunohistochemistry Image 1: YAP (D8H1X) Rabbit Monoclonal Antibody
Immunohistochemical analysis of paraffin-embedded human breast adenocarcinoma using YAP (D8H1X) XP® Rabbit mAb.
Immunohistochemistry Image 2: YAP (D8H1X) Rabbit Monoclonal Antibody
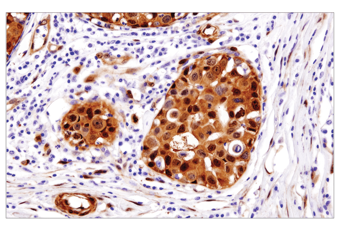
Immunohistochemical analysis of paraffin-embedded human ovarian serous carcinoma using YAP (D8H1X) XP® Rabbit mAb.
Immunohistochemistry Image 3: YAP (D8H1X) Rabbit Monoclonal Antibody
Orders: 877-616-CELL (2355) [email protected] Support: 877-678-TECH (8324) [email protected] Web: cellsignal.com
For Research Use Only. Not for Use in Diagnostic Procedures.

Revision 10

Cell Signaling Technology Logo
Immunohistochemical analysis of paraffin-embedded human non-small cell lung carcinoma (left), colon carcinoma case 1 (middle) or colon carcinoma case 2 (right), using YAP (D8H1X) XP® Rabbit mAb (top) or TAZ (E9J5A) XP® Rabbit mAb #72804 (bottom).
Immunohistochemistry Image 4: YAP (D8H1X) Rabbit Monoclonal Antibody
Immunohistochemical analysis of paraffin-embedded human benign prostatic hyperplasia using YAP (D8H1X) XP® Rabbit mAb.
Immunohistochemistry Image 5: YAP (D8H1X) Rabbit Monoclonal Antibody
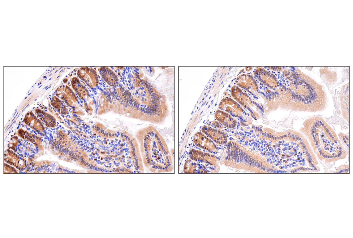
Immunohistochemical analysis of paraffin-embedded mouse small intesine using YAP (D8H1X) XP® Rabbit mAb (left) or YAP Antibody (right). These two antibodies detect unique, non-overlapping epitopes on YAP protein. The similar staining patterns obtained with both antibodies help to confirm the specificity of the staining.
Immunohistochemistry Image 6: YAP (D8H1X) Rabbit Monoclonal Antibody
Orders: 877-616-CELL (2355) [email protected] Support: 877-678-TECH (8324) [email protected] Web: cellsignal.com
For Research Use Only. Not for Use in Diagnostic Procedures.

Revision 10

Cell Signaling Technology Logo
Immunohistochemical analysis of paraffin-embedded BEN cell pellet, untransfected (left, YAP/TAZ low), YAP-transfected (middle) or TAZ-transfected (right), using YAP (D8H1X) XP® Rabbit mAb (top) or TAZ (E9J5A) XP® Rabbit mAb #72804 (bottom).
Immunohistochemistry Image 7: YAP (D8H1X) Rabbit Monoclonal Antibody
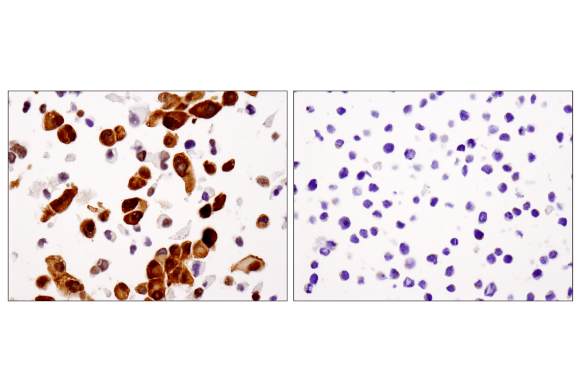
Immunohistochemical analysis of paraffin-embedded 293T cell pellet, wild-type (left, positive) or YAP/TAZ knockout (right, negative), using YAP (D8H1X) XP® Rabbit mAb.
Immunohistochemistry Image 8: YAP (D8H1X) Rabbit Monoclonal Antibody
Immunohistochemical analysis of paraffin-embedded PANC-1 (left) and RL (right) cell pellets using YAP (D8H1X) XP® Rabbit mAb.
Immunohistochemistry Image 9: YAP (D8H1X) Rabbit Monoclonal Antibody
Orders: 877-616-CELL (2355) [email protected] Support: 877-678-TECH (8324) [email protected] Web: cellsignal.com
For Research Use Only. Not for Use in Diagnostic Procedures.

Revision 10

Cell Signaling Technology Logo
Confocal immunofluorescent analysis of fixed frozen mouse small intestine labeled with YAP (D8H1X) XP® Rabbit mAb (left, green) and co-labeled with ProLong® Gold Antifade Reagent with DAPI #8961 (right, blue).
Immunofluorescence Image 1: YAP (D8H1X) Rabbit Monoclonal Antibody
Confocal immunofluorescent analysis of fixed frozen mouse kidney labeled with YAP (D8H1X) XP® Rabbit mAb (left, green) and co-labeled with ProLong® Gold Antifade Reagent with DAPI #8961 (right, blue).
Immunofluorescence Image 2: YAP (D8H1X) Rabbit Monoclonal Antibody
Confocal immunofluorescent analysis of fixed frozen mouse cerebellum labeled with YAP (D8H1X) XP® Rabbit mAb (left, green) and co-labeled with ProLong® Gold Antifade Reagent with DAPI #8961 (right, blue).
Immunofluorescence Image 3: YAP (D8H1X) Rabbit Monoclonal Antibody
Orders: 877-616-CELL (2355) [email protected] Support: 877-678-TECH (8324) [email protected] Web: cellsignal.com
For Research Use Only. Not for Use in Diagnostic Procedures.

Revision 10

Cell Signaling Technology Logo
Confocal immunofluorescent analysis of low confluence MCF 10A cells (left), high confluence MCF 10A (center), and YAP negative RL cells (right) using YAP (D8H1X) XP® Rabbit mAb (green). Blue pseudocolor in lower images = DRAQ5® #4084 (fluorescent DNA dye). Increased nuclear localization of YAP protein is seen in low confluence (proliferating) cells.
Immunofluorescence Image 1: YAP (D8H1X) Rabbit Monoclonal Antibody
Flow cytometric analysis of RL cells (blue, negative) and A-204 cells (green, positive) using YAP (D8H1X) Rabbit Monoclonal Antibody (solid lines) or a concentration-matched Rabbit (DA1E) Monoclonal Antibody IgG Isotype Control #3900 (dashed lines). Anti-rabbit IgG (H+L), F(ab')2 Fragment (Alexa Fluor® 488 Conjugate) #4412 was used as a secondary antibody.
Flow Cytometry Image 1: YAP (D8H1X) Rabbit Monoclonal Antibody
Chromatin immunoprecipitations were performed with cross-linked chromatin from NCI-H2052 cells and YAP (D8H1X) XP® Rabbit mAb, using SimpleChIP® Enzymatic Chromatin IP Kit (Magnetic Beads) #9003. DNA Libraries were prepared using DNA Library Prep Kit for Illumina® (ChIP-seq, CUT&RUN) #56795. The figure shows binding across CTGF, a known target gene of YAP (see additional figure containing ChIP-qPCR data).
Chromatin Immunoprecipitation Image 1: YAP (D8H1X) Rabbit Monoclonal Antibody
Orders: 877-616-CELL (2355) [email protected] Support: 877-678-TECH (8324) [email protected] Web: cellsignal.com
For Research Use Only. Not for Use in Diagnostic Procedures.

Revision 10

Cell Signaling Technology Logo
Chromatin immunoprecipitations were performed with cross-linked chromatin from NCI-H2052 cells and YAP (D8H1X) XP® Rabbit mAb, using SimpleChIP® Enzymatic Chromatin IP Kit (Magnetic Beads) #9003. DNA Libraries were prepared using DNA Library Prep Kit for Illumina® (ChIP-seq, CUT&RUN) #56795. The figure shows binding across chromosome 6 (upper), including CTGF (lower), a known target gene of YAP (see additional figure containing ChIP-qPCR data).
Chromatin Immunoprecipitation Image 2: YAP (D8H1X) Rabbit Monoclonal Antibody
Chromatin immunoprecipitations were performed with cross-linked chromatin from NCI-2052 cells and either YAP (D8H1X) XP® Rabbit mAb, or Normal Rabbit IgG #2729, using SimpleChIP® Enzymatic Chromatin IP Kit (Magnetic Beads) #9003. The enriched DNA was quantified by real-time PCR using SimpleChIP® Human CTGF Promoter Primers #14927, human SMYD3 intron 2 primers, and SimpleChIP® Human CTGF Upstream Primers #14928. The amount of immunoprecipitated DNA in each sample is represented as signal relative to the total amount of input chromatin, which is equivalent to one.
Chromatin Immunoprecipitation Image 3: YAP (D8H1X) Rabbit Monoclonal Antibody
CUT&RUN was performed with NCI-H2052 cells and YAP (D8H1X) XP® Rabbit mAb, using CUT&RUN Assay Kit #86652. DNA libraries were prepared using DNA Library Prep Kit for Illumina® (ChIP-seq, CUT&RUN) #56795. The figure shows binding around TSPAN2, a known target gene of YAP (see additional figure containing CUT&RUN-qPCR data).
CUT & RUN Image 1: YAP (D8H1X) Rabbit Monoclonal Antibody
Orders: 877-616-CELL (2355) [email protected] Support: 877-678-TECH (8324) [email protected] Web: cellsignal.com
For Research Use Only. Not for Use in Diagnostic Procedures.

Revision 10

Cell Signaling Technology Logo
CUT&RUN was performed with NCI-H2052 cells and YAP (D8H1X) XP® Rabbit mAb, using CUT&RUN Assay Kit #86652. DNA libraries were prepared using DNA Library Prep Kit for Illumina® (ChIP-seq, CUT&RUN) #56795. The figures show binding across across chromosome 1 (upper), including TSPAN2 (lower), a known target gene of YAP (see additional figure containing CUT&RUN-qPCR data).
CUT & RUN Image 2: YAP (D8H1X) Rabbit Monoclonal Antibody
CUT&RUN was performed with NCI-H2052 cells and either YAP (D8H1X) XP® Rabbit mAb or Rabbit (DA1E) mAb IgG XP® Isotype Control (CUT&RUN) #66362, using CUT&RUN Assay Kit #86652. The enriched DNA was quantified by real-time PCR using human C1D downstream primers, human TSPAN2 upstream primers, and human ITM2A upstream primers. The amount of immunoprecipitated DNA in each sample is represented as signal relative to the total amount of input chromatin, which is equivalent to one.
CUT & RUN Image 3: YAP (D8H1X) Rabbit Monoclonal Antibody
Orders: 877-616-CELL (2355) [email protected] Support: 877-678-TECH (8324) [email protected] Web: cellsignal.com
For Research Use Only. Not for Use in Diagnostic Procedures.