Revision 1

#46538

Store at -20C

CST Logo
Orders:

877-616-CELL (2355)

[email protected]

Support:

877-678-TECH (8324)

3 Trask Lane | Danvers | Massachusetts | 01923 | USA

For Research Use Only. Not for Use in Diagnostic Procedures.

Product Includes Product # Quantity Mol. Wt Isotype/Source
YAP (D8H1X) Rabbit Monoclonal Antibody14074100 µl65-78 kDaRabbit IgG
Phospho-YAP (Ser127) (D9W2I) Rabbit Monoclonal Antibody13008100 µl65-78 kDaRabbit IgG

Please visit cellsignal.com for individual component applications, species cross-reactivity, dilutions, protocols, and additional product information.

UniProt ID:
#P46937

Entrez-Gene Id:
10413

Description

PhosphoPlus® Duets from Cell Signaling Technology (CST) provide a means to assess protein activation status. Each Duet contains an activation-state and total protein antibody to your target of interest. These antibodies have been selected from CST's product offering based upon superior performance in specified applications.

Storage

Supplied in 10 mM sodium HEPES (pH 7.5), 150 mM NaCl, 100 µg/ml BSA, 50% glycerol and less than 0.02% sodium azide. Store at –20°C. Do not aliquot the antibody.

Background

YAP (Yes-associated protein, YAP65) was first identified based on its ability to associate with the SH3 domain of Yes. It also binds to other SH3 domain-containing proteins such as Nck, Crk, Src, and Abl (1). In addition to the SH3 binding motif, YAP contains a PDZ interaction motif, a coiled-coil domain, and WW domains (2-4). While initial studies of YAP all pointed towards a role in anchoring and targeting to specific subcellular compartments, subsequent studies showed that YAP is a transcriptional co-activator by virtue of its WW domain interacting with the PY motif (PPxY) of the transcription factor PEBP2 and other transcription factors (5). In its capacity as a transcriptional co-activator, YAP is now widely recognized as a central mediator of the Hippo Pathway, which plays a fundamental and widely conserved role in regulating tissue growth and organ size (6-8). Phosphorylation at multiple sites (e.g., Ser109, Ser127) by LATS kinases promotes YAP translocation from the nucleus to the cytoplasm, where it is sequestered through association with 14-3-3 proteins (7-9). These LATS-driven phosphorylation events serve to prime YAP for subsequent phosphorylation by CK1δ/ε in an adjacent phosphodegron, triggering proteasomal degradation of YAP (10).

Trademarks and Patents

Cell Signaling Technology is a trademark of Cell Signaling Technology, Inc.

PhosphoPlus is a registered trademark of Cell Signaling Technology, Inc.

All other trademarks are the property of their respective owners. Visit cellsignal.com/trademarks for more information.

Limited Uses

Except as otherwise expressly agreed in a writing signed by a legally authorized representative of CST, the following terms apply to Products provided by CST, its affiliates or its distributors. Any Customer's terms and conditions that are in addition to, or different from, those contained herein, unless separately accepted in writing by a legally authorized representative of CST, are rejected and are of no force or effect.

Products are labeled with For Research Use Only or a similar labeling statement and have not been approved, cleared, or licensed by the FDA or other regulatory foreign or domestic entity, for any purpose. Customer shall not use any Product for any diagnostic or therapeutic purpose, or otherwise in any manner that conflicts with its labeling statement. Products sold or licensed by CST are provided for Customer as the end-user and solely for research and development uses. Any use of Product for diagnostic, prophylactic or therapeutic purposes, or any purchase of Product for resale (alone or as a component) or other commercial purpose, requires a separate license from CST. Customer shall (a) not sell, license, loan, donate or otherwise transfer or make available any Product to any third party, whether alone or in combination with other materials, or use the Products to manufacture any commercial products, (b) not copy, modify, reverse engineer, decompile, disassemble or otherwise attempt to discover the underlying structure or technology of the Products, or use the Products for the purpose of developing any products or services that would compete with CST products or services, (c) not alter or remove from the Products any trademarks, trade names, logos, patent or copyright notices or markings, (d) use the Products solely in accordance with CST Product Terms of Sale and any applicable documentation, and (e) comply with any license, terms of service or similar agreement with respect to any third party products or services used by Customer in connection with the Products.

Orders: 877-616-CELL (2355) [email protected] Support: 877-678-TECH (8324) [email protected] Web: cellsignal.com
For Research Use Only. Not for Use in Diagnostic Procedures.

Revision 1

Cell Signaling Technology Logo
Western blot analysis of extracts from HeLa cells (lane 1) or YAP knock-out cells (lane 2) using Phospho-YAP (Ser127) (D9W2I) Rabbit mAb #13008 (upper), and GAPDH (D6H11) XP® Rabbit mAb #5174 (lower). The absence of signal in the YAP knock-out HeLa cells confirms that the antibody detects YAP.
undefined Image 1: PhosphoPlus<sup>®</sup> YAP (Ser127) Antibody Duet
Western blot analysis of extracts from control HeLa cells (Lane 1) or YAP knockout HeLa cells (Lane 2) using YAP (D8H1X) XP® Rabbit mAb (upper) or β-actin (13E5) Rabbit mAb #4970 (lower). The absence of signal in the YAP knockout HeLa cells confirms the specificity of the antibody for YAP.
undefined Image 2: PhosphoPlus<sup>®</sup> YAP (Ser127) Antibody Duet
Western blot analysis of extracts from PANC-1 cells, untreated (-) or λ-phosphatase-treated (+), using Phospho-YAP (Ser127) (D9W2I) Rabbit mAb (upper), YAP Antibody #4912 (middle), and β-Actin (D6A8) Rabbit mAb #8457 (lower).
undefined Image 3: PhosphoPlus<sup>®</sup> YAP (Ser127) Antibody Duet
Orders: 877-616-CELL (2355) [email protected] Support: 877-678-TECH (8324) [email protected] Web: cellsignal.com
For Research Use Only. Not for Use in Diagnostic Procedures.

Revision 1

Cell Signaling Technology Logo
Western blot analysis of extracts from various cell lines using YAP (D8H1X) XP® Rabbit mAb (upper) and β-Actin (D6A8) Rabbit mAb #8457 (lower). As expected, RL cells are negative for YAP protein expression.
undefined Image 4: PhosphoPlus<sup>®</sup> YAP (Ser127) Antibody Duet
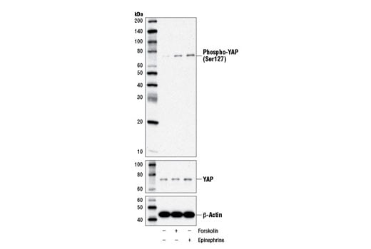
Western blot analysis of MDA-MB-231 cells, vehicle-treated (-) or treated with Forskolin #3828 (10 μM, 60 min; +) or epinephrine (10 μM, 60 min; +), using Phospho-YAP (Ser127) (D9W2I) Rabbit mAb (upper), YAP Antibody #4912 (middle), and β-Actin (D6A8) Rabbit mAb #8457 (lower). Note the induction of YAP (Ser127) phosphorylation after treatment with forskolin or epinephrine, consistent with the findings reported in Xu et al. (2012) [9].
undefined Image 5: PhosphoPlus<sup>®</sup> YAP (Ser127) Antibody Duet
Immunoprecipitation of YAP protein from A-204 cell extracts using Rabbit (DA1E) mAb XP® Isotype Control #3900 (lane 2) or YAP (D8H1X) XP® Rabbit mAb (lane 3). Lane 1 is 10% input. Western blot analysis was performed using YAP (D8H1X) XP® Rabbit mAb. Mouse Anti-rabbit IgG (Conformation Specific) (L27A9) mAb #3678 was used as a secondary antibody.
undefined Image 6: PhosphoPlus<sup>®</sup> YAP (Ser127) Antibody Duet
Orders: 877-616-CELL (2355) [email protected] Support: 877-678-TECH (8324) [email protected] Web: cellsignal.com
For Research Use Only. Not for Use in Diagnostic Procedures.

Revision 1

Cell Signaling Technology Logo
Western blot analysis of extracts from various cell lines using Phospho-YAP (Ser127) (D9W2I) Rabbit mAb.
undefined Image 7: PhosphoPlus<sup>®</sup> YAP (Ser127) Antibody Duet
Immunohistochemical analysis of paraffin-embedded human non-Hodgkin lymphoma using YAP (D8H1X) XP® Rabbit mAb performed on the Leica® BOND™ Rx.
undefined Image 8: PhosphoPlus<sup>®</sup> YAP (Ser127) Antibody Duet
Immunohistochemical analysis of paraffin-embedded human endometrioid adenocarcinoma using YAP (D8H1X) XP® Rabbit mAb performed on the Leica® BOND™ Rx.  
undefined Image 9: PhosphoPlus<sup>®</sup> YAP (Ser127) Antibody Duet
Orders: 877-616-CELL (2355) [email protected] Support: 877-678-TECH (8324) [email protected] Web: cellsignal.com
For Research Use Only. Not for Use in Diagnostic Procedures.

Revision 1

Cell Signaling Technology Logo
Immunohistochemical analysis of paraffin-embedded human colon adenocarcinoma, control (left) or λ-phosphatase treated (right), using Phospho-YAP (Ser127) (D9W2I) Rabbit mAb.
undefined Image 10: PhosphoPlus<sup>®</sup> YAP (Ser127) Antibody Duet
Immunohistochemical analysis of paraffin-embedded human breast adenocarcinoma using YAP (D8H1X) XP® Rabbit mAb.
undefined Image 11: PhosphoPlus<sup>®</sup> YAP (Ser127) Antibody Duet
Immunohistochemical analysis of paraffin-embedded cell pellets, A-204 (left) and RL (right), using Phospho-YAP (Ser127) (D9W2I) Rabbit mAb.
undefined Image 12: PhosphoPlus<sup>®</sup> YAP (Ser127) Antibody Duet
Orders: 877-616-CELL (2355) [email protected] Support: 877-678-TECH (8324) [email protected] Web: cellsignal.com
For Research Use Only. Not for Use in Diagnostic Procedures.

Revision 1

Cell Signaling Technology Logo
Immunohistochemical analysis of paraffin-embedded human breast adenocarcinoma using YAP (D8H1X) XP® Rabbit mAb.
undefined Image 13: PhosphoPlus<sup>®</sup> YAP (Ser127) Antibody Duet
Immunohistochemical analysis of paraffin-embedded human non-small cell lung carcinoma using Phospho-YAP (Ser127) (D9W2I) Rabbit mAb in the presence of control peptide (left) or antigen-specific peptide (right).
undefined Image 14: PhosphoPlus<sup>®</sup> YAP (Ser127) Antibody Duet
Immunohistochemical analysis of paraffin-embedded human ovarian serous carcinoma using YAP (D8H1X) XP® Rabbit mAb.
undefined Image 15: PhosphoPlus<sup>®</sup> YAP (Ser127) Antibody Duet
Orders: 877-616-CELL (2355) [email protected] Support: 877-678-TECH (8324) [email protected] Web: cellsignal.com
For Research Use Only. Not for Use in Diagnostic Procedures.

Revision 1

Cell Signaling Technology Logo
Immunohistochemical analysis of paraffin-embedded human non-small cell lung carcinoma (left), colon carcinoma case 1 (middle) or colon carcinoma case 2 (right), using YAP (D8H1X) XP® Rabbit mAb (top) or TAZ (E9J5A) XP® Rabbit mAb #72804 (bottom).
undefined Image 16: PhosphoPlus<sup>®</sup> YAP (Ser127) Antibody Duet
Immunohistochemical analysis of paraffin-embedded human benign prostatic hyperplasia using YAP (D8H1X) XP® Rabbit mAb.
undefined Image 17: PhosphoPlus<sup>®</sup> YAP (Ser127) Antibody Duet
Immunohistochemical analysis of paraffin-embedded mouse small intesine using YAP (D8H1X) XP® Rabbit mAb (left) or YAP Antibody (right). These two antibodies detect unique, non-overlapping epitopes on YAP protein. The similar staining patterns obtained with both antibodies help to confirm the specificity of the staining.
undefined Image 18: PhosphoPlus<sup>®</sup> YAP (Ser127) Antibody Duet
Orders: 877-616-CELL (2355) [email protected] Support: 877-678-TECH (8324) [email protected] Web: cellsignal.com
For Research Use Only. Not for Use in Diagnostic Procedures.

Revision 1

Cell Signaling Technology Logo
Immunohistochemical analysis of paraffin-embedded BEN cell pellet, untransfected (left, YAP/TAZ low), YAP-transfected (middle) or TAZ-transfected (right), using YAP (D8H1X) XP® Rabbit mAb (top) or TAZ (E9J5A) XP® Rabbit mAb #72804 (bottom).
undefined Image 19: PhosphoPlus<sup>®</sup> YAP (Ser127) Antibody Duet
Immunohistochemical analysis of paraffin-embedded 293T cell pellet, wild-type (left, positive) or YAP/TAZ knockout (right, negative), using YAP (D8H1X) XP® Rabbit mAb.
undefined Image 20: PhosphoPlus<sup>®</sup> YAP (Ser127) Antibody Duet
Immunohistochemical analysis of paraffin-embedded PANC-1 (left) and RL (right) cell pellets using YAP (D8H1X) XP® Rabbit mAb.
undefined Image 21: PhosphoPlus<sup>®</sup> YAP (Ser127) Antibody Duet
Orders: 877-616-CELL (2355) [email protected] Support: 877-678-TECH (8324) [email protected] Web: cellsignal.com
For Research Use Only. Not for Use in Diagnostic Procedures.

Revision 1

Cell Signaling Technology Logo
Confocal immunofluorescent analysis of low confluence MCF 10A cells (left), high confluence MCF 10A (center), and YAP negative RL cells (right) using YAP (D8H1X) XP® Rabbit mAb (green). Blue pseudocolor in lower images = DRAQ5® #4084 (fluorescent DNA dye). Increased nuclear localization of YAP protein is seen in low confluence (proliferating) cells.
undefined Image 22: PhosphoPlus<sup>®</sup> YAP (Ser127) Antibody Duet
Chromatin immunoprecipitations were performed with cross-linked chromatin from NCI-H2052 cells and YAP (D8H1X) XP® Rabbit mAb, using SimpleChIP® Enzymatic Chromatin IP Kit (Magnetic Beads) #9003. DNA Libraries were prepared using DNA Library Prep Kit for Illumina® (ChIP-seq, CUT&RUN) #56795. The figure shows binding across CTGF, a known target gene of YAP (see additional figure containing ChIP-qPCR data).
undefined Image 23: PhosphoPlus<sup>®</sup> YAP (Ser127) Antibody Duet
Chromatin immunoprecipitations were performed with cross-linked chromatin from NCI-H2052 cells and YAP (D8H1X) XP® Rabbit mAb, using SimpleChIP® Enzymatic Chromatin IP Kit (Magnetic Beads) #9003. DNA Libraries were prepared using DNA Library Prep Kit for Illumina® (ChIP-seq, CUT&RUN) #56795. The figure shows binding across chromosome 6 (upper), including CTGF (lower), a known target gene of YAP (see additional figure containing ChIP-qPCR data).
undefined Image 24: PhosphoPlus<sup>®</sup> YAP (Ser127) Antibody Duet
Orders: 877-616-CELL (2355) [email protected] Support: 877-678-TECH (8324) [email protected] Web: cellsignal.com
For Research Use Only. Not for Use in Diagnostic Procedures.

Revision 1

Cell Signaling Technology Logo
Chromatin immunoprecipitations were performed with cross-linked chromatin from NCI-2052 cells and either YAP (D8H1X) XP® Rabbit mAb, or Normal Rabbit IgG #2729, using SimpleChIP® Enzymatic Chromatin IP Kit (Magnetic Beads) #9003. The enriched DNA was quantified by real-time PCR using SimpleChIP® Human CTGF Promoter Primers #14927, human SMYD3 intron 2 primers, and SimpleChIP® Human CTGF Upstream Primers #14928. The amount of immunoprecipitated DNA in each sample is represented as signal relative to the total amount of input chromatin, which is equivalent to one.
undefined Image 25: PhosphoPlus<sup>®</sup> YAP (Ser127) Antibody Duet
CUT&RUN was performed with NCI-H2052 cells and YAP (D8H1X) XP® Rabbit mAb, using CUT&RUN Assay Kit #86652. DNA libraries were prepared using DNA Library Prep Kit for Illumina® (ChIP-seq, CUT&RUN) #56795. The figure shows binding around TSPAN2, a known target gene of YAP (see additional figure containing CUT&RUN-qPCR data).
undefined Image 26: PhosphoPlus<sup>®</sup> YAP (Ser127) Antibody Duet
CUT&RUN was performed with NCI-H2052 cells and YAP (D8H1X) XP® Rabbit mAb, using CUT&RUN Assay Kit #86652. DNA libraries were prepared using DNA Library Prep Kit for Illumina® (ChIP-seq, CUT&RUN) #56795. The figures show binding across across chromosome 1 (upper), including TSPAN2 (lower), a known target gene of YAP (see additional figure containing CUT&RUN-qPCR data).
undefined Image 27: PhosphoPlus<sup>®</sup> YAP (Ser127) Antibody Duet
Orders: 877-616-CELL (2355) [email protected] Support: 877-678-TECH (8324) [email protected] Web: cellsignal.com
For Research Use Only. Not for Use in Diagnostic Procedures.

Revision 1

Cell Signaling Technology Logo
CUT&RUN was performed with NCI-H2052 cells and either YAP (D8H1X) XP® Rabbit mAb or Rabbit (DA1E) mAb IgG XP® Isotype Control (CUT&RUN) #66362, using CUT&RUN Assay Kit #86652. The enriched DNA was quantified by real-time PCR using human C1D downstream primers, human TSPAN2 upstream primers, and human ITM2A upstream primers. The amount of immunoprecipitated DNA in each sample is represented as signal relative to the total amount of input chromatin, which is equivalent to one.
undefined Image 28: PhosphoPlus<sup>®</sup> YAP (Ser127) Antibody Duet
Immunoprecipitation of Phospho-YAP (Ser127) protein from C6 serum starved + Forskolin #3828 (20µM, 1 hr) cell extracts. Lane 1 is 10% input, lane 2 is Rabbit (DA1E) mAb IgG XP® Isotype Control #3900, and lane 3 is Phospho-YAP (Ser127) (D9W2I) Rabbit mAb. Western blot analysis was performed using Phospho-YAP (Ser127) (D9W2I) Rabbit mAb. Mouse Anti-rabbit IgG (Conformation Specific) (L27A9) mAb #3678 was used as a secondary antibody.
undefined Image 29: PhosphoPlus<sup>®</sup> YAP (Ser127) Antibody Duet
Simple Western™ analysis of lysates (1 mg/mL) from MCF-7 cells using YAP (D8H1X) XP® Rabbit mAb #14074. The virtual lane view (left) shows the target band (as indicated) at 1:10 and 1:50 dilutions of primary antibody. The corresponding electropherogram view (right) plots chemiluminescence by molecular weight along the capillary at 1:10 (blue line) and 1:50 (green line) dilutions of primary antibody. This experiment was performed under reducing conditions on the Jess™ Simple Western instrument from ProteinSimple, a BioTechne brand, using the 12-230 kDa separation module.
undefined Image 30: PhosphoPlus<sup>®</sup> YAP (Ser127) Antibody Duet
Orders: 877-616-CELL (2355) [email protected] Support: 877-678-TECH (8324) [email protected] Web: cellsignal.com
For Research Use Only. Not for Use in Diagnostic Procedures.

Revision 1

Cell Signaling Technology Logo
Confocal immunofluorescent analysis of fixed frozen mouse small intestine labeled with YAP (D8H1X) XP® Rabbit mAb (left, green) and co-labeled with ProLong® Gold Antifade Reagent with DAPI #8961 (right, blue).
undefined Image 31: PhosphoPlus<sup>®</sup> YAP (Ser127) Antibody Duet
Confocal immunofluorescent analysis of fixed frozen mouse kidney labeled with YAP (D8H1X) XP® Rabbit mAb (left, green) and co-labeled with ProLong® Gold Antifade Reagent with DAPI #8961 (right, blue).
undefined Image 32: PhosphoPlus<sup>®</sup> YAP (Ser127) Antibody Duet
Confocal immunofluorescent analysis of fixed frozen mouse cerebellum labeled with YAP (D8H1X) XP® Rabbit mAb (left, green) and co-labeled with ProLong® Gold Antifade Reagent with DAPI #8961 (right, blue).
undefined Image 33: PhosphoPlus<sup>®</sup> YAP (Ser127) Antibody Duet
Orders: 877-616-CELL (2355) [email protected] Support: 877-678-TECH (8324) [email protected] Web: cellsignal.com
For Research Use Only. Not for Use in Diagnostic Procedures.

Revision 1

Cell Signaling Technology Logo
Flow cytometric analysis of RL cells (blue, negative) and A-204 cells (green, positive) using YAP (D8H1X) Rabbit Monoclonal Antibody (solid lines) or a concentration-matched Rabbit (DA1E) Monoclonal Antibody IgG Isotype Control #3900 (dashed lines). Anti-rabbit IgG (H+L), F(ab')2 Fragment (Alexa Fluor® 488 Conjugate) #4412 was used as a secondary antibody.
undefined Image 34: PhosphoPlus<sup>®</sup> YAP (Ser127) Antibody Duet
Orders: 877-616-CELL (2355) [email protected] Support: 877-678-TECH (8324) [email protected] Web: cellsignal.com
For Research Use Only. Not for Use in Diagnostic Procedures.