Revision 7

#47066

Store at -20C

CST Logo
Orders:

877-616-CELL (2355)

[email protected]

Support:

877-678-TECH (8324)

3 Trask Lane | Danvers | Massachusetts | 01923 | USA

For Research Use Only. Not for Use in Diagnostic Procedures.

Applications:
W, W-S, IHC-P, IF-IC

Reactivity:
H

Sensitivity:
Endogenous

MW (kDa):
30-40

Source/Isotype:
Rabbit IgG

UniProt ID:
#P36222

Entrez-Gene Id:
1116

Product Usage Information

Application Dilution
Western Blotting 1:1000
Simple Western™ 1:10 - 1:50
Immunohistochemistry (Paraffin) 1:400 - 1:1600
Immunofluorescence (Immunocytochemistry) 1:100

Storage

Supplied in 10 mM sodium HEPES (pH 7.5), 150 mM NaCl, 100 µg/ml BSA, 50% glycerol and less than 0.02% sodium azide. Store at –20°C. Do not aliquot the antibody.

For a carrier free (BSA and azide free) version of this product see product #44073.

Specificity/Sensitivity

YKL-40 (E2L1M) Rabbit mAb recognizes endogenous levels of total YKL-40 protein.

Source / Purification

Monoclonal antibody is produced by immunizing animals with a synthetic peptide corresponding to residues near the carboxy terminus of human YKL-40 protein.

Background

YKL-40, also known as chitinase-3-like protein 1 (CHI3L1), is a secreted glycoprotein encoded by the CHI3L1 gene (1,2). Unlike other members of the chitinase-like protein family, YKL-40 is not an active chitinase. It is produced by activated macrophages, chondrocytes, neutrophils, and synovial cells. It is a pro-inflammatory molecule that contributes to the progression of many inflammatory diseases, including fibrosis, neurodegenerative disease, breast, lung, prostate, liver, bladder, colon, and other types of cancers (3,4). Levels of YKL-40 in serum and plasma in patients with various types of tumors have been reported to predict poor prognosis, and in some clinical assays, YKL-40 is being used as a predictive biomarker of cancer outcome (4).

Species Reactivity

Species reactivity is determined by testing in at least one approved application (e.g., western blot).

Western Blot Buffer

IMPORTANT: For western blots, incubate membrane with diluted primary antibody in 5% w/v BSA, 1X TBS, 0.1% Tween® 20 at 4°C with gentle shaking, overnight.

Applications Key

W: Western Blotting W-S: Simple Western™ IHC-P: Immunohistochemistry (Paraffin) IF-IC: Immunofluorescence (Immunocytochemistry)

Cross-Reactivity Key

H: Human

Trademarks and Patents

Cell Signaling Technology is a trademark of Cell Signaling Technology, Inc.

SignalStain is a registered trademark of Cell Signaling Technology, Inc.

All other trademarks are the property of their respective owners. Visit cellsignal.com/trademarks for more information.

Limited Uses

Except as otherwise expressly agreed in a writing signed by a legally authorized representative of CST, the following terms apply to Products provided by CST, its affiliates or its distributors. Any Customer's terms and conditions that are in addition to, or different from, those contained herein, unless separately accepted in writing by a legally authorized representative of CST, are rejected and are of no force or effect.

Products are labeled with For Research Use Only or a similar labeling statement and have not been approved, cleared, or licensed by the FDA or other regulatory foreign or domestic entity, for any purpose. Customer shall not use any Product for any diagnostic or therapeutic purpose, or otherwise in any manner that conflicts with its labeling statement. Products sold or licensed by CST are provided for Customer as the end-user and solely for research and development uses. Any use of Product for diagnostic, prophylactic or therapeutic purposes, or any purchase of Product for resale (alone or as a component) or other commercial purpose, requires a separate license from CST. Customer shall (a) not sell, license, loan, donate or otherwise transfer or make available any Product to any third party, whether alone or in combination with other materials, or use the Products to manufacture any commercial products, (b) not copy, modify, reverse engineer, decompile, disassemble or otherwise attempt to discover the underlying structure or technology of the Products, or use the Products for the purpose of developing any products or services that would compete with CST products or services, (c) not alter or remove from the Products any trademarks, trade names, logos, patent or copyright notices or markings, (d) use the Products solely in accordance with CST Product Terms of Sale and any applicable documentation, and (e) comply with any license, terms of service or similar agreement with respect to any third party products or services used by Customer in connection with the Products.

Orders: 877-616-CELL (2355) [email protected] Support: 877-678-TECH (8324) [email protected] Web: cellsignal.com
For Research Use Only. Not for Use in Diagnostic Procedures.

Revision 7

Cell Signaling Technology Logo
Western blot analysis of extracts from THP-1 and A-204 using YKL-40 (E2L1M) Rabbit mAb upper) and loading control α-Actinin (D6F6) XP® Rabbit mAb #6487. As expected, A-204 is low to negative for YKL-40 expression.
Western Blotting Image 1: YKL-40 (E2L1M) Rabbit Monoclonal Antibody
Simple WesternTM analysis of lysates (1 mg/ml) from THP-1 cells using YKL-40 (E2L1M) Rabbit mAb #47066. The virtual lane view (left) shows the target band (as indicated) at 1:10 and 1:50 dilutions of primary antibody. The corresponding electropherogram view (right) plots chemiluminescence by molecular weight along the capillary at 1:10 (blue line) and 1:50 (green line) dilutions of primary antibody. This experiment was performed under reducing conditions on the JessTM Simple Western instrument from ProteinSimple, a BioTechne brand, using the 12-230kDa.
Western Blotting Image 1: YKL-40 (E2L1M) Rabbit Monoclonal Antibody
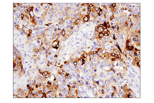
Immunohistochemical analysis of paraffin-embedded human lung squamous cell carcinoma using YKL-40 (E2L1M) Rabbit mAb.
Immunohistochemistry Image 1: YKL-40 (E2L1M) Rabbit Monoclonal Antibody
Orders: 877-616-CELL (2355) [email protected] Support: 877-678-TECH (8324) [email protected] Web: cellsignal.com
For Research Use Only. Not for Use in Diagnostic Procedures.

Revision 7

Cell Signaling Technology Logo
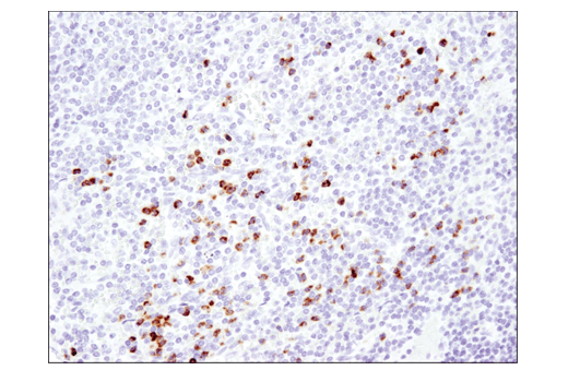
Immunohistochemical analysis of paraffin-embedded human non-Hodgkin's lymphoma using YKL-40 (E2L1M) Rabbit mAb.
Immunohistochemistry Image 2: YKL-40 (E2L1M) Rabbit Monoclonal Antibody
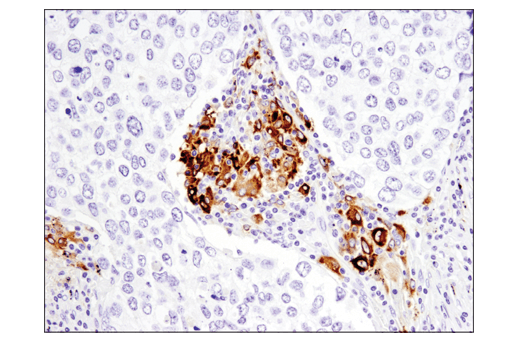
Immunohistochemical analysis of paraffin-embedded human serous papillary carcinoma of the ovary using YKL-40 (E2L1M) Rabbit mAb.
Immunohistochemistry Image 3: YKL-40 (E2L1M) Rabbit Monoclonal Antibody
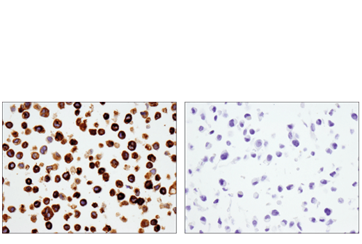
Immunohistochemical analysis of paraffin-embedded THP-1 cell pellet (left, positive) or A-204 cell pellet (right, negative) using YKL-40 (E2L1M) Rabbit mAb.
Immunohistochemistry Image 4: YKL-40 (E2L1M) Rabbit Monoclonal Antibody
Orders: 877-616-CELL (2355) [email protected] Support: 877-678-TECH (8324) [email protected] Web: cellsignal.com
For Research Use Only. Not for Use in Diagnostic Procedures.

Revision 7

Cell Signaling Technology Logo
Confocal immunofluorescent analysis of THP-1 cells (left, positive) and A-204 cells (right, negative) using YKL-40 (E2L1M) Rabbit mAb (green). Actin filaments were labeled with DyLight™ 554 Phalloidin #13054 (red). Samples were mounted in ProLong® Gold Antifade Reagent with DAPI #8961 (blue).
Immunofluorescence Image 1: YKL-40 (E2L1M) Rabbit Monoclonal Antibody
Orders: 877-616-CELL (2355) [email protected] Support: 877-678-TECH (8324) [email protected] Web: cellsignal.com
For Research Use Only. Not for Use in Diagnostic Procedures.