Revision 1

#60968

Store at -20C

CST Logo
Orders:

877-616-CELL (2355)

[email protected]

Support:

877-678-TECH (8324)

3 Trask Lane | Danvers | Massachusetts | 01923 | USA

For Research Use Only. Not for Use in Diagnostic Procedures.

Applications:
W, IP

Reactivity:
H

Sensitivity:
Endogenous

MW (kDa):
44, 58

Source/Isotype:
Rabbit

UniProt ID:
#Q9H171

Entrez-Gene Id:
81030

Product Usage Information

Application Dilution
Western Blotting 1:1000
Immunoprecipitation 1:50

Storage

Supplied in 10 mM sodium HEPES (pH 7.5), 150 mM NaCl, 100 µg/ml BSA and 50% glycerol. Store at –20°C. Do not aliquot the antibody.

Specificity/Sensitivity

ZBP1 Antibody recognizes endogenous levels of total ZBP1 protein. A band of unknown identity is detected at around 19 kDa.

Source / Purification

Polyclonal antibodies are produced by immunizing animals with a synthetic peptide corresponding to residues surrounding Gln372 of human ZBP1 protein. Antibodies are purified by protein A and peptide affinity chromatography.

Background

ZBP1 (Z-DNA binding protein 1), also referred to as DAI (DNA-dependent activator of IFN-regulatory factors) and DLM-1, is a nucleotide binding protein that plays a role in tumorigenesis and innate immune responses to viral infection (1). It is expressed at high levels in lymphatic tissues and intestine and is induced in macrophages by interferon gamma or by LPS (2,3). It contains two amino-terminal Z-alpha domains that bind to left-handed Z-DNA and Z-RNA (4,5). In addition, an adjacent domain binds right-handed B-DNA that allows for it to function as a cytosolic DNA sensor in innate immune responses, triggering activation of TBK1 and IRF-3, and subsequent production of type I interferons (6,7). Furthermore, ZBP1 can trigger the activation of NF-κB through interaction with the RIP homotypic interaction motif (RHIM) of RIPK1 and RIPK3 (8). ZBP1 binding to RIPK3 can also induce a process of programmed necrosis termed necroptosis (9). In contrast, its interaction with RIPK1 can repress necroptosis (10,11). The mRNA binding activity of ZBP1 is also thought to play a role in tumorigenesis. ZBP1 is repressed in metastatic breast cancer, which leads to dysregulation of mRNA targets involved in proliferation and metastasis (12,13).

Species Reactivity

Species reactivity is determined by testing in at least one approved application (e.g., western blot).

Western Blot Buffer

IMPORTANT: For western blots, incubate membrane with diluted primary antibody in 5% w/v nonfat dry milk, 1X TBS, 0.1% Tween® 20 at 4°C with gentle shaking, overnight.

Applications Key

W: Western Blotting IP: Immunoprecipitation

Cross-Reactivity Key

H: Human

Trademarks and Patents

Cell Signaling Technology is a trademark of Cell Signaling Technology, Inc.

All other trademarks are the property of their respective owners. Visit cellsignal.com/trademarks for more information.

Limited Uses

Except as otherwise expressly agreed in a writing signed by a legally authorized representative of CST, the following terms apply to Products provided by CST, its affiliates or its distributors. Any Customer's terms and conditions that are in addition to, or different from, those contained herein, unless separately accepted in writing by a legally authorized representative of CST, are rejected and are of no force or effect.

Products are labeled with For Research Use Only or a similar labeling statement and have not been approved, cleared, or licensed by the FDA or other regulatory foreign or domestic entity, for any purpose. Customer shall not use any Product for any diagnostic or therapeutic purpose, or otherwise in any manner that conflicts with its labeling statement. Products sold or licensed by CST are provided for Customer as the end-user and solely for research and development uses. Any use of Product for diagnostic, prophylactic or therapeutic purposes, or any purchase of Product for resale (alone or as a component) or other commercial purpose, requires a separate license from CST. Customer shall (a) not sell, license, loan, donate or otherwise transfer or make available any Product to any third party, whether alone or in combination with other materials, or use the Products to manufacture any commercial products, (b) not copy, modify, reverse engineer, decompile, disassemble or otherwise attempt to discover the underlying structure or technology of the Products, or use the Products for the purpose of developing any products or services that would compete with CST products or services, (c) not alter or remove from the Products any trademarks, trade names, logos, patent or copyright notices or markings, (d) use the Products solely in accordance with CST Product Terms of Sale and any applicable documentation, and (e) comply with any license, terms of service or similar agreement with respect to any third party products or services used by Customer in connection with the Products.

Orders: 877-616-CELL (2355) [email protected] Support: 877-678-TECH (8324) [email protected] Web: cellsignal.com
For Research Use Only. Not for Use in Diagnostic Procedures.

Revision 1

Cell Signaling Technology Logo
Western blot analysis of extracts from 293T cells, mock transfected (-) or transfected with a construct expressing Myc/DDK-tagged full-length human ZBP1 (hZBP1-Myc/DDK; +), using ZBP1 Antibody (upper) or Myc Tag (71D10) Rabbit mAb #2278 (lower).
Western Blotting Image 1: ZBP1 Antibody
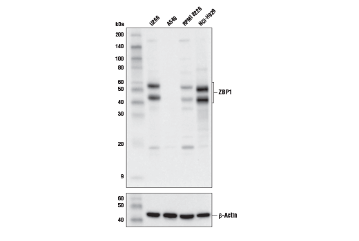
Western blot analysis of extracts from various cell lines using ZBP1 Antibody (upper) or β-Actin (D6A8) Rabbit mAb #8457 (lower). Based on RNA-seq data, ZBP1 is predicted not to be expressed in A549 cells.
Western Blotting Image 2: ZBP1 Antibody
Immunoprecipitation of ZBP1 from NCI-H929 cell extracts. Lane 1 is 10% input, lane 2 is Normal Rabbit IgG #2729, and lane 3 is ZBP1 Antibody. Western blot was performed using ZBP1 Antibody. Mouse Anti-rabbit IgG (Conformation Specific) (L27A9) mAb (HRP-Conjugate) #5127 was used as a secondary antibody.
Immunoprecipitation Image 1: ZBP1 Antibody
Orders: 877-616-CELL (2355) [email protected] Support: 877-678-TECH (8324) [email protected] Web: cellsignal.com
For Research Use Only. Not for Use in Diagnostic Procedures.