Revision 1

#83243

Store at -20C

CST Logo
Orders:

877-616-CELL (2355)

[email protected]

Support:

877-678-TECH (8324)

3 Trask Lane | Danvers | Massachusetts | 01923 | USA

For Research Use Only. Not for Use in Diagnostic Procedures.

Applications:
W, IHC-Bond, IHC-P, IF-IC, FC-FP

Reactivity:
H M R

Sensitivity:
Endogenous

MW (kDa):
200

Source/Isotype:
Rabbit IgG

UniProt ID:
#P37275

Entrez-Gene Id:
6935

Product Usage Information

This product is the carrier-free version of product #70512. All data were generated using the same antibody clone in the standard formulation which contains BSA and glycerol. This formulation is ideal for use with technologies requiring specialized or custom antibody labeling, including fluorophores, metals, lanthanides, and oligonucleotides. It is not recommended for ChIP, ChIP-seq, CUT&RUN, or CUT&Tag assays. If you require a carrier-free formulation for chromatin profiling, please contact us. Optimal dilutions/concentrations should be determined by the end user.BSA and Azide Free antibodies are quality control tested by size exclusion chromatography (SEC) to determine antibody integrity.

Formulation

Supplied in 1X PBS (10 mM Na2HPO4, 3 mM KCl, 2 mM KH2PO4, and 140 mM NaCl (pH 7.8)). BSA and Azide Free.

For standard formulation of this product see product #70512.

Storage

Store at -20°C. This product will freeze at -20°C so it is recommended to aliquot into single-use vials to avoid multiple freeze/thaw cycles. A slight precipitate may be present and can be dissolved by gently vortexing. This will not interfere with antibody performance.

Specificity/Sensitivity

ZEB1 (E2G6Y) Rabbit Monoclonal Antibody (BSA and Azide Free) recognizes endogenous levels of total ZEB1 protein.

Source / Purification

Monoclonal antibody is produced by immunizing animals with recombinant protein corresponding to the central region of human ZEB1 protein.

Background

ZEB family proteins are zinc-finger and homeobox domain containing transcription factors. There are two members in mammals, ZEB1 (δ-EF1, TCF8, AREB6) and ZEB2 (SIP1). ZEB1 and ZEB2 contain two separate zinc-finger domains and a homeodomain (1). While ZEB proteins mainly function as transcriptional suppressors, they are able to activate transcription, dependent on DNA-context and cell type (1). One of the targets suppressed by ZEB proteins is E-cadherin. Downregulation of E-cadherin is one of the hallmarks of epithelial mesenchymal transition (EMT), a critical feature of normal embryonic development, which is also utilized by malignant epithelial tumors to spread beyond their origin (2-4). ZEB1 mutations are associated with posterior corneal dystrophy, and ZEB2 mutations were reported to be associated with Hirschsprung (HSCR) disease (5-8).

Species Reactivity

Species reactivity is determined by testing in at least one approved application (e.g., western blot).

Applications Key

W: Western Blotting IHC-Bond: IHC Leica Bond IHC-P: Immunohistochemistry (Paraffin) IF-IC: Immunofluorescence (Immunocytochemistry) FC-FP: Flow Cytometry (Fixed/Permeabilized)

Cross-Reactivity Key

H: Human M: Mouse R: Rat

Trademarks and Patents

Cell Signaling Technology is a trademark of Cell Signaling Technology, Inc.

All other trademarks are the property of their respective owners. Visit cellsignal.com/trademarks for more information.

Limited Uses

Except as otherwise expressly agreed in a writing signed by a legally authorized representative of CST, the following terms apply to Products provided by CST, its affiliates or its distributors. Any Customer's terms and conditions that are in addition to, or different from, those contained herein, unless separately accepted in writing by a legally authorized representative of CST, are rejected and are of no force or effect.

Products are labeled with For Research Use Only or a similar labeling statement and have not been approved, cleared, or licensed by the FDA or other regulatory foreign or domestic entity, for any purpose. Customer shall not use any Product for any diagnostic or therapeutic purpose, or otherwise in any manner that conflicts with its labeling statement. Products sold or licensed by CST are provided for Customer as the end-user and solely for research and development uses. Any use of Product for diagnostic, prophylactic or therapeutic purposes, or any purchase of Product for resale (alone or as a component) or other commercial purpose, requires a separate license from CST. Customer shall (a) not sell, license, loan, donate or otherwise transfer or make available any Product to any third party, whether alone or in combination with other materials, or use the Products to manufacture any commercial products, (b) not copy, modify, reverse engineer, decompile, disassemble or otherwise attempt to discover the underlying structure or technology of the Products, or use the Products for the purpose of developing any products or services that would compete with CST products or services, (c) not alter or remove from the Products any trademarks, trade names, logos, patent or copyright notices or markings, (d) use the Products solely in accordance with CST Product Terms of Sale and any applicable documentation, and (e) comply with any license, terms of service or similar agreement with respect to any third party products or services used by Customer in connection with the Products.

Orders: 877-616-CELL (2355) [email protected] Support: 877-678-TECH (8324) [email protected] Web: cellsignal.com
For Research Use Only. Not for Use in Diagnostic Procedures.

Revision 1

Cell Signaling Technology Logo
Western blot analysis of extracts from various cell lines using ZEB1 (E2G6Y) XP® Rabbit mAb (upper) or GAPDH (D16H11) XP® Rabbit mAb #5174 (lower). Data were generated using the standard formulation of this product.
Western Blotting Image 1: ZEB1 (E2G6Y) Rabbit Monoclonal Antibody (BSA and Azide Free)
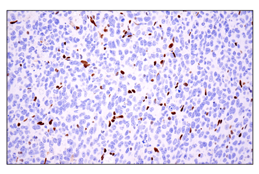
Immunohistochemical analysis of paraffin-embedded human mucoepidermoid carcinoma of the larynx using ZEB1 (E2G6Y) XP® Rabbit mAb performed on the Leica® BOND™ Rx. Data were generated using the standard formulation of this product.
Immunohistochemistry Image 1: ZEB1 (E2G6Y) Rabbit Monoclonal Antibody (BSA and Azide Free)
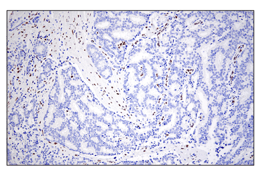
Immunohistochemical analysis of paraffin-embedded human ductal breast carcinoma using ZEB1 (E2G6Y) XP® Rabbit mAb performed on the Leica® BOND™ Rx. Data were generated using the standard formulation of this product.
Immunohistochemistry Image 2: ZEB1 (E2G6Y) Rabbit Monoclonal Antibody (BSA and Azide Free)
Orders: 877-616-CELL (2355) [email protected] Support: 877-678-TECH (8324) [email protected] Web: cellsignal.com
For Research Use Only. Not for Use in Diagnostic Procedures.

Revision 1

Cell Signaling Technology Logo
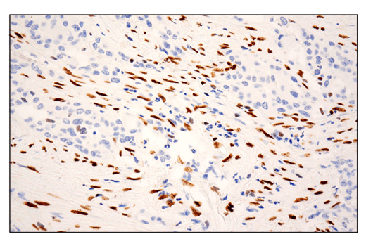
Immunohistochemical analysis of paraffin-embedded human endometrioid adenocarcinoma using ZEB1 (E2G6Y) XP® Rabbit mAb. Data were generated using the standard formulation of this product.
Immunohistochemistry Image 1: ZEB1 (E2G6Y) Rabbit Monoclonal Antibody (BSA and Azide Free)
Immunohistochemical analysis of paraffin-embedded human prostate adenocarcinoma using ZEB1 (E2G6Y) XP® Rabbit mAb. Data were generated using the standard formulation of this product.
Immunohistochemistry Image 2: ZEB1 (E2G6Y) Rabbit Monoclonal Antibody (BSA and Azide Free)
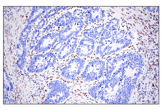
Immunohistochemical analysis of paraffin-embedded human colon adenocarcinoma using ZEB1 (E2G6Y) XP® Rabbit mAb. Data were generated using the standard formulation of this product.
Immunohistochemistry Image 3: ZEB1 (E2G6Y) Rabbit Monoclonal Antibody (BSA and Azide Free)
Orders: 877-616-CELL (2355) [email protected] Support: 877-678-TECH (8324) [email protected] Web: cellsignal.com
For Research Use Only. Not for Use in Diagnostic Procedures.

Revision 1

Cell Signaling Technology Logo
Immunohistochemical analysis of paraffin-embedded human ovarian serous carcinoma using ZEB1 (E2G6Y) XP® Rabbit mAb. Data were generated using the standard formulation of this product.
Immunohistochemistry Image 4: ZEB1 (E2G6Y) Rabbit Monoclonal Antibody (BSA and Azide Free)
Immunohistochemical analysis of paraffin-embedded mouse lung using ZEB1 (E2G6Y) XP® Rabbit mAb. Data were generated using the standard formulation of this product.
Immunohistochemistry Image 5: ZEB1 (E2G6Y) Rabbit Monoclonal Antibody (BSA and Azide Free)
Immunohistochemical analysis of paraffin-embedded human gastrointestinal stromal tumor using ZEB1 (E2G6Y) XP® Rabbit mAb (left) compared to concentration-matched Rabbit (DA1E) mAb IgG XP® Isotype Control #3900 (right). Data were generated using the standard formulation of this product.
Immunohistochemistry Image 6: ZEB1 (E2G6Y) Rabbit Monoclonal Antibody (BSA and Azide Free)
Orders: 877-616-CELL (2355) [email protected] Support: 877-678-TECH (8324) [email protected] Web: cellsignal.com
For Research Use Only. Not for Use in Diagnostic Procedures.

Revision 1

Cell Signaling Technology Logo
Immunohistochemical analysis of paraffin-embedded HT-1080 cell pellet (left, positive) or HCC1806 cell pellet (right, negative) using ZEB1 (E2G6Y) XP® Rabbit mAb. Data were generated using the standard formulation of this product.
Immunohistochemistry Image 7: ZEB1 (E2G6Y) Rabbit Monoclonal Antibody (BSA and Azide Free)
Immunohistochemical analysis of paraffin-embedded 4T1 syngeneic mammary tumor using ZEB1 (E2G6Y) XP® Rabbit mAb. Data were generated using the standard formulation of this product.
Immunohistochemistry Image 8: ZEB1 (E2G6Y) Rabbit Monoclonal Antibody (BSA and Azide Free)
Confocal immunofluorescent analysis of HT-1080 cells (left, positive) and HCC1806 cells (right, negative) using ZEB1 (E2G6Y) XP® Rabbit mAb (green), Cytochrome c (6H2.B4) Mouse mAb #12963 (yellow), and Alexa Fluor® 647 Phalloidin #8940 (red). Slides were mounted with ProLong® Gold Antifade Reagent with DAPI #8961 (blue). Data were generated using the standard formulation of this product.
Immunofluorescence Image 1: ZEB1 (E2G6Y) Rabbit Monoclonal Antibody (BSA and Azide Free)
Orders: 877-616-CELL (2355) [email protected] Support: 877-678-TECH (8324) [email protected] Web: cellsignal.com
For Research Use Only. Not for Use in Diagnostic Procedures.

Revision 1

Cell Signaling Technology Logo
Flow cytometric analysis of HCC1806 cells (blue, negative) and HT-1080 cells (green, positive) using ZEB1 (E2G6Y) XP® Rabbit mAb (solid lines) or concentration-matched Rabbit (DA1E) mAb IgG XP® Isotype Control #3900 (dashed lines). Anti-rabbit IgG (H+L), F(ab')2 Fragment (Alexa Fluor® 488 Conjugate) #4412 was used as a secondary antibody. Data were generated using the standard formulation of this product.
Flow Cytometry Image 1: ZEB1 (E2G6Y) Rabbit Monoclonal Antibody (BSA and Azide Free)
Orders: 877-616-CELL (2355) [email protected] Support: 877-678-TECH (8324) [email protected] Web: cellsignal.com
For Research Use Only. Not for Use in Diagnostic Procedures.