Revision 3

#13663

Store at -20C

CST Logo
Orders:

877-616-CELL (2355)

[email protected]

Support:

877-678-TECH (8324)

3 Trask Lane | Danvers | Massachusetts | 01923 | USA

For Research Use Only. Not for Use in Diagnostic Procedures.

Applications:
W, IP, IF-IC

Reactivity:
H Mk

Sensitivity:
Endogenous

MW (kDa):
220

Source/Isotype:
Rabbit IgG

UniProt ID:
#Q07157

Entrez-Gene Id:
7082

Product Usage Information

Application Dilution
Western Blotting 1:1000
Immunoprecipitation 1:50
Immunofluorescence (Immunocytochemistry) 1:100 - 1:200

Storage

Supplied in 10 mM sodium HEPES (pH 7.5), 150 mM NaCl, 100 µg/ml BSA, 50% glycerol and less than 0.02% sodium azide. Store at –20°C. Do not aliquot the antibody.

Specificity/Sensitivity

ZO-1 (D6L1E) Rabbit Monoclonal Antibody recognizes endogenous levels of total ZO-1 protein.

Source / Purification

Monoclonal antibody is produced by immunizing animals with a synthetic peptide corresponding to residues surrounding Ala1558 of human ZO-1 protein.

Background

Tight junctions, or zona occludens (ZO), form a continuous barrier to fluids across the epithelium and endothelium. They function in regulation of paracellular permeability and in the maintenance of cell polarity, blocking the movement of transmembrane proteins between the apical and the basolateral cell surfaces (reviewed in 1). ZO-1, -2, and -3 (also known as TJP1, 2, and 3) are peripheral membrane adaptor proteins that link junctional transmembrane proteins, such as occludin and claudin, to the actin cytoskeleton (reviewed in 2). ZO-1 and ZO-2 are required for tight junction formation and function (3,4). In subconfluent proliferating cells, ZO-1 and ZO-2 have been shown to colocalize to the nucleus and play a role in transcriptional regulation, possibly through facilitating nuclear import/export of transcriptional regulators (5-7). The ZO-2 gene is transcribed from two promoters, generating the ZO-2A and ZO-2C isoforms. ZO-2C lacks a 23 amino acid amino-terminal sequence found in other ZO-2 isoforms. While both isoforms appear to be widely expressed, abnormal regulation of the ZO-2 gene may be correlated with development of ductal cancer (8).

Species Reactivity

Species reactivity is determined by testing in at least one approved application (e.g., western blot).

Western Blot Buffer

IMPORTANT: For western blots, incubate membrane with diluted primary antibody in 5% w/v BSA, 1X TBS, 0.1% Tween® 20 at 4°C with gentle shaking, overnight.

Applications Key

W: Western Blotting IP: Immunoprecipitation IF-IC: Immunofluorescence (Immunocytochemistry)

Cross-Reactivity Key

H: Human Mk: Monkey

Trademarks and Patents

Cell Signaling Technology is a trademark of Cell Signaling Technology, Inc.

All other trademarks are the property of their respective owners. Visit cellsignal.com/trademarks for more information.

Limited Uses

Except as otherwise expressly agreed in a writing signed by a legally authorized representative of CST, the following terms apply to Products provided by CST, its affiliates or its distributors. Any Customer's terms and conditions that are in addition to, or different from, those contained herein, unless separately accepted in writing by a legally authorized representative of CST, are rejected and are of no force or effect.

Products are labeled with For Research Use Only or a similar labeling statement and have not been approved, cleared, or licensed by the FDA or other regulatory foreign or domestic entity, for any purpose. Customer shall not use any Product for any diagnostic or therapeutic purpose, or otherwise in any manner that conflicts with its labeling statement. Products sold or licensed by CST are provided for Customer as the end-user and solely for research and development uses. Any use of Product for diagnostic, prophylactic or therapeutic purposes, or any purchase of Product for resale (alone or as a component) or other commercial purpose, requires a separate license from CST. Customer shall (a) not sell, license, loan, donate or otherwise transfer or make available any Product to any third party, whether alone or in combination with other materials, or use the Products to manufacture any commercial products, (b) not copy, modify, reverse engineer, decompile, disassemble or otherwise attempt to discover the underlying structure or technology of the Products, or use the Products for the purpose of developing any products or services that would compete with CST products or services, (c) not alter or remove from the Products any trademarks, trade names, logos, patent or copyright notices or markings, (d) use the Products solely in accordance with CST Product Terms of Sale and any applicable documentation, and (e) comply with any license, terms of service or similar agreement with respect to any third party products or services used by Customer in connection with the Products.

Orders: 877-616-CELL (2355) [email protected] Support: 877-678-TECH (8324) [email protected] Web: cellsignal.com
For Research Use Only. Not for Use in Diagnostic Procedures.

Revision 3

Cell Signaling Technology Logo
Western blot analysis of extracts from various cell lines using ZO-1 (D6L1E) Rabbit mAb (upper) and α-Actinin (D6F6) XP® Rabbit mAb #6487 (lower).
Western Blotting Image 1: ZO-1 (D6L1E) Rabbit Monoclonal Antibody
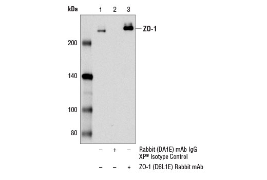
Immunoprecipitation of ZO-1 from MCF7 cell extracts using Rabbit (DA1E) mAb IgG XP® Isotype Control #3900 (lane 2) or ZO-1 (D6L1E) Rabbit mAb (lane 3). Lane 1 is 10% input. Western blot was performed using ZO-1 (D6L1E) Rabbit mAb.
Immunoprecipitation Image 1: ZO-1 (D6L1E) Rabbit Monoclonal Antibody
Confocal immunofluorescent analysis of MCF7 (high-expressing, left) and MDA-MB-435 (low-expressing, right) cells, using ZO-1 (D6L1E) Rabbit mAb (green). Actin filaments were labeled with DyLight™ 554 Phalloidin #13054 (red). Blue pseudocolor = DRAQ5® #4084 (fluorescent DNA dye).
Immunofluorescence Image 1: ZO-1 (D6L1E) Rabbit Monoclonal Antibody
Orders: 877-616-CELL (2355) [email protected] Support: 877-678-TECH (8324) [email protected] Web: cellsignal.com
For Research Use Only. Not for Use in Diagnostic Procedures.