Revision 4

#9812

Store at -20C

KinomeView® Profiling Kit

1 Kit

(16 x 40 microliters)

CST Logo
Orders:

877-616-CELL (2355)

[email protected]

Support:

877-678-TECH (8324)

3 Trask Lane | Danvers | Massachusetts | 01923 | USA

For Research Use Only. Not for Use in Diagnostic Procedures.

Products Included

Motif

Quantity

Isotype

Phospho-Akt Substrate (110B7E) Rabbit Monoclonal Antibody #9614

RXX(S*/T*)

40 µl

Rabbit IgG

Phospho-Akt Substrate (23C8D2) Rabbit Monoclonal Antibody #10001

RXRXX(S*/T*)

40 µl

Rabbit IgG

Phospho-(Ser/Thr) AMPK Substrate (P-S/T2-102) Rabbit Monoclonal Antibody #5759

(L/M)XRXX(S*/T*), RXX(S*/T*)

40 µl

Rabbit IgG

Phospho-(Ser) ATM/ATR Substrate (D23H2/D69H5) Rabbit Monoclonal Antibody #9607

S*Q

40 µl

Rabbit IgG

Phospho-(Ser/Thr) ATM/ATR Substrate (S*/T*QG) (P-S/T2-100) Rabbit Monoclonal Antibody #6966

(S*/T*)QG, (S*/T*)Q

40 µl

Rabbit IgG

Phospho-(Ser) CDKs Substrate (P-S2-100) Rabbit Monoclonal Antibody #9477

(K/H)S*P

40 µl

Rabbit IgG

Phospho-(Ser/Thr) CK2 Substrate (P-S/T3-100) Rabbit Monoclonal Antibody #8738

(S*/T*)DXE

40 µl

Rabbit IgG

Phospho-MAPK/CDK Substrates (34B2) Rabbit Monoclonal Antibody #2325

PXS*P, S*PX(K/R)

40 µl

Rabbit IgG

Phospho-(Ser/Thr) PDK1 Docking Motif (18A2)  Mouse Monoclonal Antibody #9634

(F/K)XX(F/Y)(S*/T*)(F/Y)

40 µl

Mouse IgG2a

Phospho-PKA Substrate (100G7E) Rabbit Monoclonal Antibody #9624

(K/R)(K/R)X(S*/T*)

40 µl

Rabbit IgG

Phospho-(Ser) PKC Substrate (P-S3-101) Rabbit Monoclonal Antibody #6967

(K/R)XS*X(K/R)

40 µl

Rabbit IgG

Phospho-(Thr) PLK Binding Motif (D73F6) Rabbit Monoclonal Antibody #5243

ST*P

40 µl

Rabbit IgG

Phospho-Thr-Pro Motif Antibody #3003

T*P, T*PP

40 µl

Rabbit IgG

Phospho-Thr-Pro-Glu (C32G12) Rabbit Monoclonal Antibody #3004

T*PE, T*P

40 µl

Rabbit IgG

Phospho-Thr-X-Arg Motif Antibody #2351

T*X(K/R)

40 µl

Rabbit IgG

Phospho-Tyrosine (P-Tyr-1000) Rabbit Monoclonal Antibody #8954

Y*

40 µl

Rabbit IgG

Anti-rabbit IgG, HRP-linked Antibody #7074

100 µl

Goat

Anti-mouse IgG, HRP-linked Antibody #7076

100 µl

Horse

Description

The KinomeView® Profiling Kit provides a set of Phospho-Motif Antibodies that cover a large portion of the kinome and react broadly with serine, threonine, and tyrosine phosphorylation mediated by diverse kinase families throughout the kinome. This kit will provide researchers with an immunoblotting strategy to dissect the complexity of the phosphoproteome and determine the kinase families involved in the regulation of diverse physiological processes. By using the provided Phospho-motif Antibodies, the investigator can assess global changes in protein phosphorylation by western analysis across a range of experimental samples and conditions.

Storage

Supplied in 10 mM sodium HEPES (pH 7.5), 150 mM NaCl, 100 µg/ml BSA, 50% glycerol and less than 0.02% sodium azide. Store at –20°C. Do not aliquot the antibody.

Background

Cell Signaling Technology (CST) has developed Phospho-motif Antibodies that have broad immunoreactivity for serine, threonine and tyrosine phosphorylation mediated by both known and unknown kinases. Using these Motif Antibodies for western blotting provides a Kinome-wide view of cellular phosphorylation.

Trademarks and Patents

Cell Signaling Technology is a trademark of Cell Signaling Technology, Inc.

U.S. Patent No. 7,429,487, foreign equivalents, and child patents deriving therefrom.

All other trademarks are the property of their respective owners. Visit cellsignal.com/trademarks for more information.

Limited Uses

Except as otherwise expressly agreed in a writing signed by a legally authorized representative of CST, the following terms apply to Products provided by CST, its affiliates or its distributors. Any Customer's terms and conditions that are in addition to, or different from, those contained herein, unless separately accepted in writing by a legally authorized representative of CST, are rejected and are of no force or effect.

Products are labeled with For Research Use Only or a similar labeling statement and have not been approved, cleared, or licensed by the FDA or other regulatory foreign or domestic entity, for any purpose. Customer shall not use any Product for any diagnostic or therapeutic purpose, or otherwise in any manner that conflicts with its labeling statement. Products sold or licensed by CST are provided for Customer as the end-user and solely for research and development uses. Any use of Product for diagnostic, prophylactic or therapeutic purposes, or any purchase of Product for resale (alone or as a component) or other commercial purpose, requires a separate license from CST. Customer shall (a) not sell, license, loan, donate or otherwise transfer or make available any Product to any third party, whether alone or in combination with other materials, or use the Products to manufacture any commercial products, (b) not copy, modify, reverse engineer, decompile, disassemble or otherwise attempt to discover the underlying structure or technology of the Products, or use the Products for the purpose of developing any products or services that would compete with CST products or services, (c) not alter or remove from the Products any trademarks, trade names, logos, patent or copyright notices or markings, (d) use the Products solely in accordance with CST Product Terms of Sale and any applicable documentation, and (e) comply with any license, terms of service or similar agreement with respect to any third party products or services used by Customer in connection with the Products.

Orders: 877-616-CELL (2355) [email protected] Support: 877-678-TECH (8324) [email protected] Web: cellsignal.com
For Research Use Only. Not for Use in Diagnostic Procedures.

Revision 4

Cell Signaling Technology Logo
Western blot analysis of extracts from HeLa cells, untreated or treated with Calyculin A #9902 (10 nM, 30 min) or Staurosporine #9953 (1 μM, 3 hr), using Phospho-(Ser/Thr) CK2 Substrate (P-S/T3-100) Rabbit mAb #8738.
undefined Image 1: KinomeView<sup>®</sup> Profiling Kit
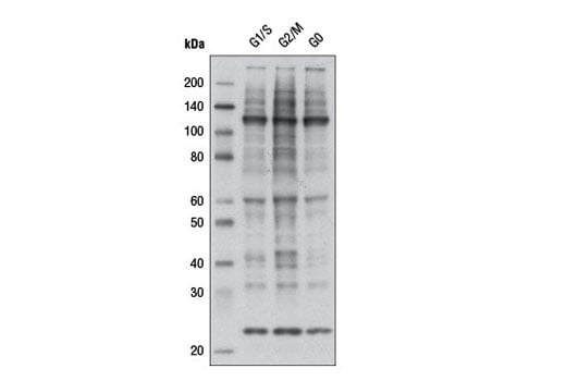
Western blot analysis of extracts from COS-7 cells, synchronized in G1/S, G2/M, and G0 phase of the cell cycle, using Phospho-(Ser) CDKs Substrate (P-S2-100) Rabbit mAb #9477.
undefined Image 2: KinomeView<sup>®</sup> Profiling Kit
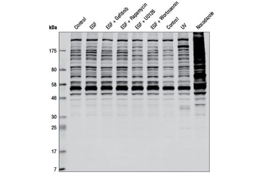
Phospho-Tyr antibody reacts broadly with Tyr-phosphorylated proteins. HeLa cells were treated by different conditions, an induction in Tyr phosphorylation is observed upon stimulation of EGF receptor by treatment with EGF; EGFR mediated phosphorylation is inhibited by the tyrosine kinase inhibitor gefitinib.
undefined Image 3: KinomeView<sup>®</sup> Profiling Kit
Orders: 877-616-CELL (2355) [email protected] Support: 877-678-TECH (8324) [email protected] Web: cellsignal.com
For Research Use Only. Not for Use in Diagnostic Procedures.

Revision 4

Cell Signaling Technology Logo
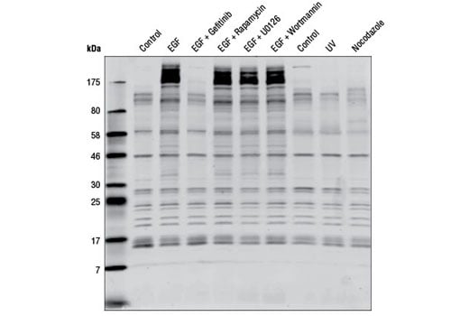
Phospho-MAPK/CDK Substrate antibody has broad reactivity with proteins phosphorylated on Ser residues with proximal Pro residues at the -2 and +1 positions. CMGC family kinases including MAPKs and CDKs phosphorylate substrates containing this motif. Changes in phosphorylation of this motif are detected with nocodazole mediated mitotic arrest, as well as MEK/ERK signaling inhibition by U0126 in HeLa cells.
undefined Image 4: KinomeView<sup>®</sup> Profiling Kit
Western blot analysis of extracts from various cell types, untreated or treated as indicated, using KinomeView™ Profiling Kit component antibodies. Select abbreviations: TBB, CKII inhibitor 4,5,6,7-tetrabromobenzotriazole; PDBu, phorbol 12,13-dibutyrate.
undefined Image 5: KinomeView<sup>®</sup> Profiling Kit
Orders: 877-616-CELL (2355) [email protected] Support: 877-678-TECH (8324) [email protected] Web: cellsignal.com
For Research Use Only. Not for Use in Diagnostic Procedures.