Revision 6

#18653

Store at +4C

CST Logo
Orders:

877-616-CELL (2355)

[email protected]

Support:

877-678-TECH (8324)

3 Trask Lane | Danvers | Massachusetts | 01923 | USA

For Research Use Only. Not for Use in Diagnostic Procedures.

Applications:
IHC-P

Reactivity:
Rab

Source/Isotype:
Horse

Product Usage Information

1. Equilibrate SignalStain® Boost IHC Detection Reagent (AP, Rabbit) to room temperature prior to applying to the slides.

2. Cover sections with 1-3 drops (40-120 µl), as needed, and incubate in a humidified chamber for 30 minutes at room temperature.

3. Wash slides and develop with any alkaline phosphatase-compatible substrate.

Storage

SignalStain® Boost IHC Detection Reagent (AP, Rabbit) should be stored at 4°C and is stable for 12 months.

Specificity/Sensitivity

SignalStain® Boost IHC Detection Reagent (AP, Rabbit) can be used to detect rabbit primary antibodies in immunohistochemical assays.

Description

SignalStain® Boost IHC Detection Reagent (AP, Rabbit) is a ready-to-use solution intended for use in immunohistochemical assays to detect rabbit primary antibodies. SignalStain® Boost IHC Detection Reagent (AP, Rabbit) is a highly sensitive, one-step, polymer-based detection reagent that is specific for rabbit IgG. It can be used to visualize targets in both paraffin-embedded and frozen tissue sections and it is compatible with all alkaline phosphatase-based substrates.

Species Reactivity

Species reactivity is determined by testing in at least one approved application (e.g., western blot).

Applications Key

IHC-P: Immunohistochemistry (Paraffin)

Cross-Reactivity Key

Rab: Rabbit

Trademarks and Patents

Cell Signaling Technology is a trademark of Cell Signaling Technology, Inc.

SignalStain is a registered trademark of Cell Signaling Technology, Inc.

All other trademarks are the property of their respective owners. Visit cellsignal.com/trademarks for more information.

Limited Uses

Except as otherwise expressly agreed in a writing signed by a legally authorized representative of CST, the following terms apply to Products provided by CST, its affiliates or its distributors. Any Customer's terms and conditions that are in addition to, or different from, those contained herein, unless separately accepted in writing by a legally authorized representative of CST, are rejected and are of no force or effect.

Products are labeled with For Research Use Only or a similar labeling statement and have not been approved, cleared, or licensed by the FDA or other regulatory foreign or domestic entity, for any purpose. Customer shall not use any Product for any diagnostic or therapeutic purpose, or otherwise in any manner that conflicts with its labeling statement. Products sold or licensed by CST are provided for Customer as the end-user and solely for research and development uses. Any use of Product for diagnostic, prophylactic or therapeutic purposes, or any purchase of Product for resale (alone or as a component) or other commercial purpose, requires a separate license from CST. Customer shall (a) not sell, license, loan, donate or otherwise transfer or make available any Product to any third party, whether alone or in combination with other materials, or use the Products to manufacture any commercial products, (b) not copy, modify, reverse engineer, decompile, disassemble or otherwise attempt to discover the underlying structure or technology of the Products, or use the Products for the purpose of developing any products or services that would compete with CST products or services, (c) not alter or remove from the Products any trademarks, trade names, logos, patent or copyright notices or markings, (d) use the Products solely in accordance with CST Product Terms of Sale and any applicable documentation, and (e) comply with any license, terms of service or similar agreement with respect to any third party products or services used by Customer in connection with the Products.

Orders: 877-616-CELL (2355) [email protected] Support: 877-678-TECH (8324) [email protected] Web: cellsignal.com
For Research Use Only. Not for Use in Diagnostic Procedures.

Revision 6

Cell Signaling Technology Logo
Immunohistochemical analysis of paraffin-embedded human colon carcinoma using CD8α (D8A8Y) Rabbit mAb #85336. Note: Detection was performed with SignalStain® Boost IHC Detection Reagent (AP, Rabbit) and SignalStain® Vibrant Red Alkaline Phosphatase Substrate Kit #76713.
Immunohistochemistry Image 1: SignalStain<sup>®</sup> Boost IHC Detection Reagent (AP, Rabbit)
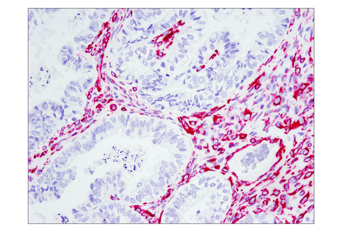
Immunohistochemical analysis of paraffin-embedded human ovarian carcinoma using Vimentin (D21H3) XP® Rabbit mAb #5741. Note: Detection was performed with SignalStain® Boost IHC Detection Reagent (AP, Rabbit) and SignalStain® Vibrant Red Alkaline Phosphatase Substrate Kit #76713.
Immunohistochemistry Image 2: SignalStain<sup>®</sup> Boost IHC Detection Reagent (AP, Rabbit)
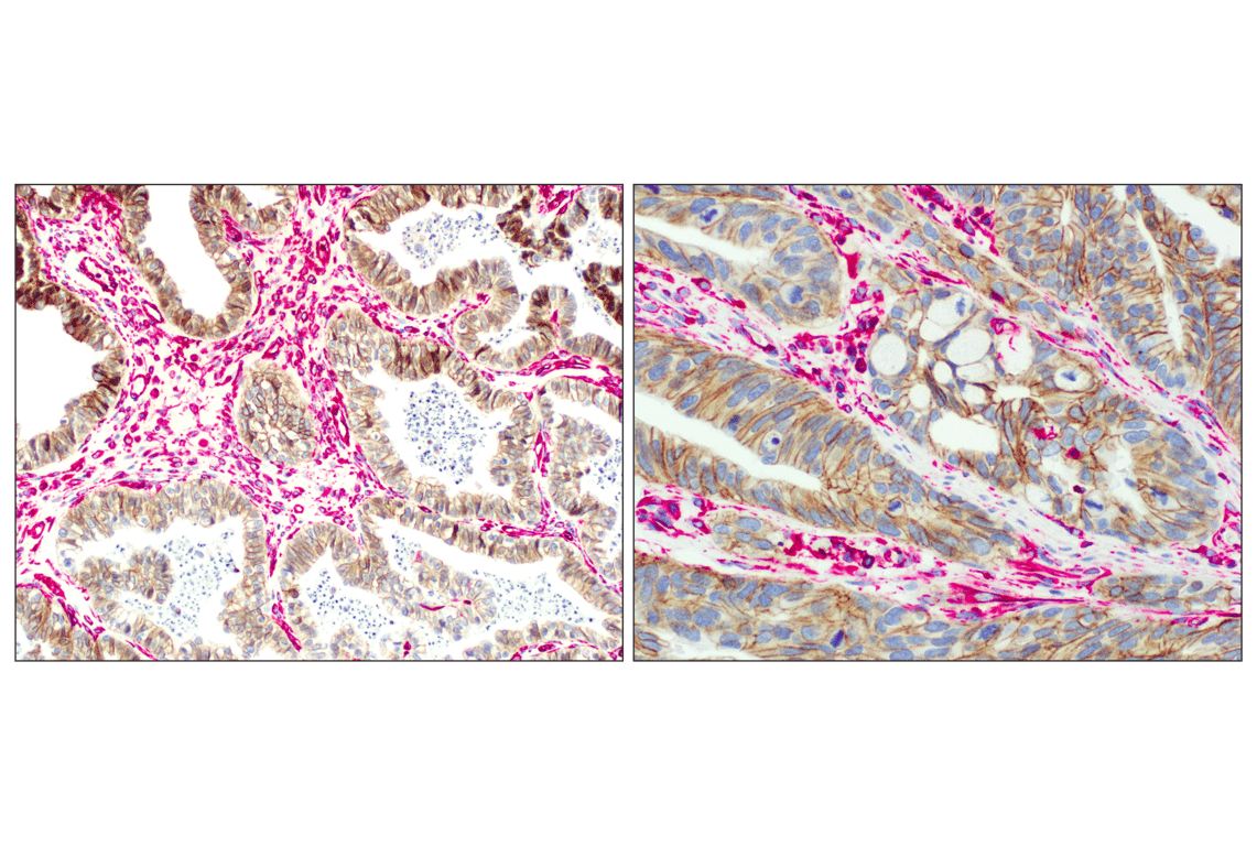
Immunohistochemical analysis of paraffin-embedded human ovarian carcinoma (left) and gastric adenocarcinoma (right) using Vimentin (D21H3) XP® Rabbit mAb #5741 (red) and E-Cadherin (4A2) Mouse mAb #14472 (brown).

SignalStain® Boost IHC Detection Reagent (AP, Rabbit) and SignalStain® Vibrant Red Alkaline Phosphatase Substrate Kit #76713 were used to detect Vimentin (D21H3) XP® Rabbit mAb #5741. SignalStain® Boost IHC Detection Reagent (AP, Mouse) #31926 and SignalStain® DAB Substrate Kit #8059 were used to detect E-Cadherin (4A2) Mouse mAb #14472.

Immunohistochemistry Image 3: SignalStain<sup>®</sup> Boost IHC Detection Reagent (AP, Rabbit)
Orders: 877-616-CELL (2355) [email protected] Support: 877-678-TECH (8324) [email protected] Web: cellsignal.com
For Research Use Only. Not for Use in Diagnostic Procedures.