Revision 4

#5946

Store at -20C

CST Logo
Orders:

877-616-CELL (2355)

[email protected]

Support:

877-678-TECH (8324)

3 Trask Lane | Danvers | Massachusetts | 01923 | USA

For Research Use Only. Not for Use in Diagnostic Procedures.

Applications:
IP

Reactivity:
M

Source/Isotype:
Rabbit

Product Usage Information

Add 10-20 μl of well-vortexed beads to 200 μl of cell lysate at 1 mg/ml in 1X Cell Lysis Buffer (10X) #9803. See protocol for more details.

Storage

Supplied in 10 mM sodium HEPES (pH 7.5), 150 mM NaCl, 100 µg/ml BSA, 50% glycerol. Store at –20°C. Do not aliquot the antibodies.

Specificity/Sensitivity

Assay by immunoelectrophoresis resulted in a single precipitin arc against anti-goat serum, mouse IgG and mouse serum. No reaction was observed against anti-pepsin, anti-goat IgG Fc, or human serum proteins.

Source / Purification

The Anti-mouse IgG (H+L), F(ab')2 Fragment is produced by immunizing goats with mouse IgG whole molecules. The Anti-mouse IgG (H+L), F(ab')2 Fragment is prepared from monospecific antiserum by immunoaffinity chromatography using mouse IgG coupled to agarose beads followed by solid phase adsorption to remove any unwanted reactivities, pepsin digestion, and chromatographic separation.

Description

This Cell Signaling Technology antibody is immobilized via covalent binding of primary amino groups to N-hydroxysuccinimide (NHS)-activated sepharose beads. Anti-mouse IgG (H+L), F(ab')2 Fragment (Sepharose Bead Conjugate) is useful for the immunoprecipitation of antibodies raised in mice.

Background

Anti-mouse IgG (H+L), F(ab')2 Fragment (Sepharose Bead Conjugate) is ideal for immunoprecipitation. This secondary antibody will detect mouse antibodies. Since this secondary antibody is made with F(ab')2 fragments, non-specific binding through Fc receptors present on cells will be eliminated.

Species Reactivity

Species reactivity is determined by testing in at least one approved application (e.g., western blot).

Applications Key

IP: Immunoprecipitation

Cross-Reactivity Key

M: Mouse

Trademarks and Patents

Cell Signaling Technology is a trademark of Cell Signaling Technology, Inc.

All other trademarks are the property of their respective owners. Visit cellsignal.com/trademarks for more information.

Limited Uses

Except as otherwise expressly agreed in a writing signed by a legally authorized representative of CST, the following terms apply to Products provided by CST, its affiliates or its distributors. Any Customer's terms and conditions that are in addition to, or different from, those contained herein, unless separately accepted in writing by a legally authorized representative of CST, are rejected and are of no force or effect.

Products are labeled with For Research Use Only or a similar labeling statement and have not been approved, cleared, or licensed by the FDA or other regulatory foreign or domestic entity, for any purpose. Customer shall not use any Product for any diagnostic or therapeutic purpose, or otherwise in any manner that conflicts with its labeling statement. Products sold or licensed by CST are provided for Customer as the end-user and solely for research and development uses. Any use of Product for diagnostic, prophylactic or therapeutic purposes, or any purchase of Product for resale (alone or as a component) or other commercial purpose, requires a separate license from CST. Customer shall (a) not sell, license, loan, donate or otherwise transfer or make available any Product to any third party, whether alone or in combination with other materials, or use the Products to manufacture any commercial products, (b) not copy, modify, reverse engineer, decompile, disassemble or otherwise attempt to discover the underlying structure or technology of the Products, or use the Products for the purpose of developing any products or services that would compete with CST products or services, (c) not alter or remove from the Products any trademarks, trade names, logos, patent or copyright notices or markings, (d) use the Products solely in accordance with CST Product Terms of Sale and any applicable documentation, and (e) comply with any license, terms of service or similar agreement with respect to any third party products or services used by Customer in connection with the Products.

Orders: 877-616-CELL (2355) [email protected] Support: 877-678-TECH (8324) [email protected] Web: cellsignal.com
For Research Use Only. Not for Use in Diagnostic Procedures.

Revision 4

Cell Signaling Technology Logo
Immunoprecipitation of COS-7 cell extracts, untransfected or transfected with a construct overexpressing TrCP1-GST using GST (26H1) Mouse mAb #2624. Extracts were incubated with either Anti-Mouse IgG (H+L), F(ab')2 Fragment (Sepharose® Bead Conjugate) (lane 1 and 2) or Protein G Beads (lane 3). The western blot was probed using GST (91G1) Rabbit mAb #2625.
Immunoprecipitation Image 1: Anti-mouse IgG (H+L), F(ab')<sub>2</sub> Fragment (Sepharose<sup>®</sup> Bead Conjugate)
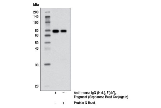
Immunoprecipitation of NIH/3T3 cell extracts using Akt (pan)(40D4) Mouse mAb #2920. Extracts were incubated with either Anti-Mouse IgG (H+L), F(ab')2 Fragment (Sepharose® Bead Conjugate) (lane 1) or Protein G Beads (lane 2). The western blot was probed using Akt (pan) (C67E7) Rabbit mAb #4691.
Immunoprecipitation Image 2: Anti-mouse IgG (H+L), F(ab')<sub>2</sub> Fragment (Sepharose<sup>®</sup> Bead Conjugate)
Orders: 877-616-CELL (2355) [email protected] Support: 877-678-TECH (8324) [email protected] Web: cellsignal.com
For Research Use Only. Not for Use in Diagnostic Procedures.