Revision 2

#63249

Store at -20C

CD44 (E7K2Y) & CO-0030-594 SignalStar Oligo-Antibody Pair

1 Kit

(10 slides)

UniProt ID:
#P16070

Entrez-Gene Id:
#960

CST Logo
Orders:

877-616-CELL (2355)

[email protected]

Support:

877-678-TECH (8324)

3 Trask Lane | Danvers | Massachusetts | 01923 | USA

For Research Use Only. Not for Use in Diagnostic Procedures.

Product Includes Product # Volume Reactivity Isotype
CD44 (E7K2Y) XP® Rabbit mAb (SignalStar™ Conjugate 0030)3107450 µlH MRabbit IgG
Complementary Oligo (CO-0030-594)4047522 µl

Storage

SignalStar conjugates are supplied in PBS (pH 7.2), less than 0.1% sodium azide, 2 mM EDTA, 0.05% Triton X-100, 2 mg/mL BSA, and 50% glycerol. Complementary oligos are supplied in nuclease-free water. Store at -20°C. Do not aliquot the antibody. All components in this kit are stable for at least 12 months when stored at the recommended temperature.

Description

SignalStar multiplex immunohistochemistry (IHC) is an advanced technology for labeling multiple proteins simultaneously in tissue samples using specific primary antibodies and fluorescent detection reagents. This technology offers accuracy and reliability in visualizing and analyzing protein expression while maintaining spatial context and tissue architecture.

SignalStar Oligo-Antibody Pairs are compatible with the SignalStar Multiplex IHC Buffer Kits for use in fluorescent multiplex imaging experiments. This product includes the oligo-conjugated antibodies and complementary oligos required for labeling your target protein on up to 10 slides. SignalStar Multiplex IHC Buffer Kits are required to amplify and image the target signal. Multiple oligo-antibody pairs can be conveniently combined into a multiplex panel using the SignalStar Multiplex IHC Panel Builder. SignalStar Multiplex IHC Kits & Reagents are not compatible with all of Cell Signaling Technology® products and protocols that are recommended for use in immunohistochemical assays.

Specificity/Sensitivity

CD44 (E7K2Y) XP® Rabbit mAb (SignalStar™ Conjugate 0030) recognizes endogenous levels of total CD44 protein.

Source / Purification

Monoclonal antibody is produced by immunizing animals with a synthetic peptide corresponding to residues surrounding Pro136 of human CD44 protein. This sequence region is conserved in all isoforms of CD44 reported in Uniprot, with the exception of isoform 2 and isoform 19.

Background

CD44 is a type I transmembrane glycoprotein that mediates cell-cell and cell-matrix interaction through its affinity for hyaluronic acid (HA) and possibly through other parts of the extracellular matrix (ECM). CD44 is highly polymorphic, possesses a number of alternative splice variants and undergoes extensive post-translational modifications (1,2). Increased surface levels of CD44 are characteristic of T cell activation, and expression of the protein is upregulated during the inflammatory response. Research studies have shown that interactions between CD44 and HER2 are linked to an increase in ovarian carcinoma cell growth (1-3). CD44 interacts with ezrin, radixin, and moesin (ERM), linking the actin cytoskeleton to the plasma membrane and the ECM (4-6). CD44 is constitutively phosphorylated at Ser325 in resting cells. Activation of PKC results in phosphorylation of Ser291, dephosphorylation of Ser325, disassociation of ezrin from CD44, and directional motility (4).

Species Reactivity

Species reactivity is determined by testing in at least one approved application (e.g., western blot).

Trademarks and Patents

Cell Signaling Technology is a trademark of Cell Signaling Technology, Inc.

SignalStar is a registered trademark of Cell Signaling Technology, Inc.

All other trademarks are the property of their respective owners. Visit cellsignal.com/trademarks for more information.

Limited Uses

Except as otherwise expressly agreed in a writing signed by a legally authorized representative of CST, the following terms apply to Products provided by CST, its affiliates or its distributors. Any Customer's terms and conditions that are in addition to, or different from, those contained herein, unless separately accepted in writing by a legally authorized representative of CST, are rejected and are of no force or effect.

Products are labeled with For Research Use Only or a similar labeling statement and have not been approved, cleared, or licensed by the FDA or other regulatory foreign or domestic entity, for any purpose. Customer shall not use any Product for any diagnostic or therapeutic purpose, or otherwise in any manner that conflicts with its labeling statement. Products sold or licensed by CST are provided for Customer as the end-user and solely for research and development uses. Any use of Product for diagnostic, prophylactic or therapeutic purposes, or any purchase of Product for resale (alone or as a component) or other commercial purpose, requires a separate license from CST. Customer shall (a) not sell, license, loan, donate or otherwise transfer or make available any Product to any third party, whether alone or in combination with other materials, or use the Products to manufacture any commercial products, (b) not copy, modify, reverse engineer, decompile, disassemble or otherwise attempt to discover the underlying structure or technology of the Products, or use the Products for the purpose of developing any products or services that would compete with CST products or services, (c) not alter or remove from the Products any trademarks, trade names, logos, patent or copyright notices or markings, (d) use the Products solely in accordance with CST Product Terms of Sale and any applicable documentation, and (e) comply with any license, terms of service or similar agreement with respect to any third party products or services used by Customer in connection with the Products.

Orders: 877-616-CELL (2355) [email protected] Support: 877-678-TECH (8324) [email protected] Web: cellsignal.com
For Research Use Only. Not for Use in Diagnostic Procedures.

Revision 2

Cell Signaling Technology Logo
SignalStar™ multiplex immunohistochemical analysis of paraffin-embedded human gastric adenocarcinoma using CD44 (E7K2Y) & CO-0030-750 SignalStar™ Oligo-Antibody Pair #18266 (cyan), Vimentin (D21H3) & CO-0012-488 SignalStar™ Oligo-Antibody Pair #96317 (green), SIRPα/SHPS1 (D6I3M) & CO-0034-594 SignalStar™ Oligo-Antibody Pair #60004 (yellow), and CD45 (Intracellular Domain) (D9M8I) & CO-0013-647 SignalStar™ Oligo-Antibody Pair #32740 (red). All fluorophores have been assigned a pseudocolor, as indicated. Staining was performed on the BOND RX by Leica Biosystems.
Immunohistochemistry Image 1: CD44 (E7K2Y) & CO-0030-594 SignalStar<sup>™</sup> Oligo-Antibody Pair
SignalStar™ immunohistochemical analysis of paraffin-embedded human squamous cell lung carcinoma using CD44 (E7K2Y) & CO-0030-488 SignalStar™ Oligo-Antibody Pair #51316 (green). All fluorophores have been assigned a pseudocolor, as indicated. Staining was performed on the BOND RX by Leica Biosystems.
Immunohistochemistry Image 2: CD44 (E7K2Y) & CO-0030-594 SignalStar<sup>™</sup> Oligo-Antibody Pair
SignalStar™ immunohistochemical analysis of paraffin-embedded human squamous cell lung carcinoma using CD44 (E7K2Y) & CO-0030-594 SignalStar™ Oligo-Antibody Pair #63249 (yellow). All fluorophores have been assigned a pseudocolor, as indicated. Staining was performed on the BOND RX by Leica Biosystems.
Immunohistochemistry Image 3: CD44 (E7K2Y) & CO-0030-594 SignalStar<sup>™</sup> Oligo-Antibody Pair
Orders: 877-616-CELL (2355) [email protected] Support: 877-678-TECH (8324) [email protected] Web: cellsignal.com
For Research Use Only. Not for Use in Diagnostic Procedures.

Revision 2

Cell Signaling Technology Logo
SignalStar™ immunohistochemical analysis of paraffin-embedded human squamous cell lung carcinoma using CD44 (E7K2Y) & CO-0030-647 SignalStar™ Oligo-Antibody Pair #90334 (red). All fluorophores have been assigned a pseudocolor, as indicated. Staining was performed on the BOND RX by Leica Biosystems.
Immunohistochemistry Image 4: CD44 (E7K2Y) & CO-0030-594 SignalStar<sup>™</sup> Oligo-Antibody Pair
SignalStar™ immunohistochemical analysis of paraffin-embedded human gastric adenocarcinoma using CD44 (E7K2Y) & CO-0030-750 SignalStar™ Oligo-Antibody Pair #18266 (cyan). All fluorophores have been assigned a pseudocolor, as indicated. Staining was performed on the BOND RX by Leica Biosystems.
Immunohistochemistry Image 5: CD44 (E7K2Y) & CO-0030-594 SignalStar<sup>™</sup> Oligo-Antibody Pair
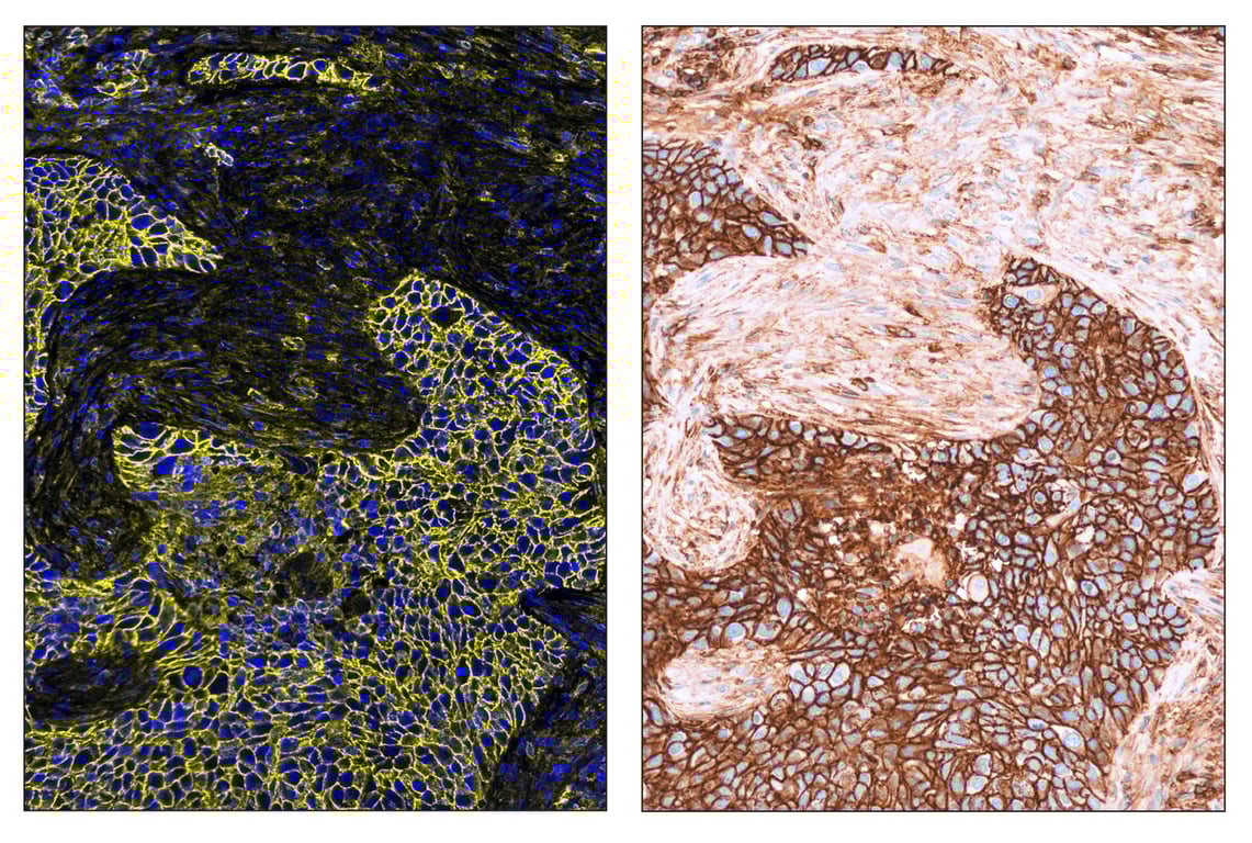
SignalStar™ multiplex immunohistochemical analysis of paraffin-embedded human squamous cell lung carcinoma using CD44 (E7K2Y) & CO-0030-594 SignalStar™ Oligo-Antibody Pair #63249 (left, yellow) and ProLong Gold Antifade Reagent with DAPI #8961 (left, blue) compared to chromogenic immunohistochemical analysis of a serial section of paraffin-embedded human squamous cell lung carcinoma using CD44 (E7K2Y) XP® Rabbit mAb #37259 (right). All fluorophores have been assigned a pseudocolor, as indicated. Staining was performed on the BOND RX by Leica Biosystems.
Immunohistochemistry Image 6: CD44 (E7K2Y) & CO-0030-594 SignalStar<sup>™</sup> Oligo-Antibody Pair
Orders: 877-616-CELL (2355) [email protected] Support: 877-678-TECH (8324) [email protected] Web: cellsignal.com
For Research Use Only. Not for Use in Diagnostic Procedures.

Revision 2

Cell Signaling Technology Logo
SignalStar™ multiplex immunohistochemical analysis of paraffin-embedded human gastric adenocarcinoma using CD44 (E7K2Y) & CO-0030-488 SignalStar™ Oligo-Antibody Pair #51316 (green), CD163 (D6U1J) & CO-0022-594 SignalStar™ Oligo-Antibody Pair #43547 (orange), Tox/Tox2 (E6I3Q) & CO-0016-647 SignalStar™ Oligo-Antibody Pair #67341 (magenta), α-Smooth Muscle Actin (D4K9N) & CO-0024-647 SignalStar™ Oligo-Antibody Pair #63902 (red), and Pan-Keratin (C11) & CO-0003-750 SignalStar™ Oligo-Antibody Pair #97227 (cyan). All fluorophores have been assigned a pseudocolor, as indicated. Staining was performed on the BOND RX by Leica Biosystems.
Immunohistochemistry Image 7: CD44 (E7K2Y) & CO-0030-594 SignalStar<sup>™</sup> Oligo-Antibody Pair
SignalStar™ multiplex immunohistochemical analysis of paraffin-embedded RENCA syngeneic tumor using α-Smooth Muscle Actin (D4K9N) & CO-0024-488 SignalStar™ Oligo-Antibody Pair #76133 (green), SIRPα/SHPS1 (D6I3M) & CO-0034-594 SignalStar™ Oligo-Antibody Pair #60004 (yellow), CD206/MRC1 (E6T5J) & CO-0032-647 SignalStar™ Oligo-Antibody Pair #41470 (red), CD44 (E7K2Y) & CO-0030-750 SignalStar™ Oligo-Antibody Pair #18266 (cyan), TCF1/TCF7 (C63D9) & CO-0006-594 SignalStar™ Oligo-Antibody Pair #34706 (orange), Vimentin (D21H3) & CO-0012-750 SignalStar™ Oligo-Antibody Pair #61002 (magenta), and DAPI #4083 (blue). All fluorophores have been assigned a pseudocolor, as indicated. Staining was performed on the BOND RX autostainer by Leica Biosystems.
Immunohistochemistry Image 8: CD44 (E7K2Y) & CO-0030-594 SignalStar<sup>™</sup> Oligo-Antibody Pair
SignalStar™ multiplex immunohistochemical analysis of paraffin-embedded human squamous cell lung carcinoma using CD44 (E7K2Y) & CO-0030-750 SignalStar™ Oligo-Antibody Pair #18266 (cyan) and Pan-Keratin (C11) & CO-0003-647 SignalStar™ Oligo-Antibody Pair #16373 (red). All fluorophores have been assigned a pseudocolor, as indicated.
Immunohistochemistry Image 1: CD44 (E7K2Y) & CO-0030-594 SignalStar<sup>™</sup> Oligo-Antibody Pair
Orders: 877-616-CELL (2355) [email protected] Support: 877-678-TECH (8324) [email protected] Web: cellsignal.com
For Research Use Only. Not for Use in Diagnostic Procedures.

Revision 2

Cell Signaling Technology Logo
SignalStar™ multiplex immunohistochemical analysis of paraffin-embedded mouse spleen using α-Smooth Muscle Actin (D4K9N) & CO-0024-594 SignalStar™ Oligo-Antibody Pair #25040 (yellow), CD44 (E7K2Y) & CO-0030-647 SignalStar™ Oligo-Antibody Pair #90334 (red), and CD206/MRC1 (E6T5J) & CO-0032-750 SignalStar™ Oligo-Antibody Pair #52089 (cyan). All fluorophores have been assigned a pseudocolor, as indicated.
Immunohistochemistry Image 2: CD44 (E7K2Y) & CO-0030-594 SignalStar<sup>™</sup> Oligo-Antibody Pair
Orders: 877-616-CELL (2355) [email protected] Support: 877-678-TECH (8324) [email protected] Web: cellsignal.com
For Research Use Only. Not for Use in Diagnostic Procedures.