Revision 1

#66478

Store at -20C

Phospho-Histone H2A.X (Ser139) (D7T2V) & CO-0135-488 SignalStar Oligo-Antibody Pair

1 Kit

(10 slides)

UniProt ID:
#P16104

Entrez-Gene Id:
#3014

CST Logo
Orders:

877-616-CELL (2355)

[email protected]

Support:

877-678-TECH (8324)

3 Trask Lane | Danvers | Massachusetts | 01923 | USA

For Research Use Only. Not for Use in Diagnostic Procedures.

Product Includes Product # Volume Reactivity Isotype
Phospho-Histone H2A.X (Ser139) (D7T2V) Mouse Monoclonal Antibody (SignalStar™ Conjugate 0135)3258150 µlH MMouse IgG1
Complementary Oligo (CO-0135-488)3002722 µl

Storage

SignalStar conjugates are supplied in PBS (pH 7.2), less than 0.1% sodium azide, 2 mM EDTA, 0.05% Triton X-100, 2 mg/mL BSA, and 50% glycerol. Complementary oligos are supplied in nuclease-free water. Store at -20°C. Do not aliquot the antibody. All components in this kit are stable for at least 12 months when stored at the recommended temperature.

Description

SignalStar multiplex immunohistochemistry (IHC) is an advanced technology for labeling multiple proteins simultaneously in tissue samples using specific primary antibodies and fluorescent detection reagents. This technology offers accuracy and reliability in visualizing and analyzing protein expression while maintaining spatial context and tissue architecture.

SignalStar Oligo-Antibody Pairs are compatible with the SignalStar Multiplex IHC Buffer Kits for use in fluorescent multiplex imaging experiments. This product includes the oligo-conjugated antibodies and complementary oligos required for labeling your target protein on up to 10 slides. SignalStar Multiplex IHC Buffer Kits are required to amplify and image the target signal. Multiple oligo-antibody pairs can be conveniently combined into a multiplex panel using the SignalStar Multiplex IHC Panel Builder. SignalStar Multiplex IHC Kits & Reagents are not compatible with all of Cell Signaling Technology® products and protocols that are recommended for use in immunohistochemical assays.

Specificity/Sensitivity

Phospho-Histone H2A.X (Ser139) (D7T2V) Mouse Monoclonal Antibody (SignalStar™ Conjugate 0135) recognizes endogenous levels of Histone H2A.X protein only when phosphorylated at Ser139.

Source / Purification

Monoclonal antibody is produced by immunizing animals with a synthetic phosphopeptide corresponding to residues surrounding Ser139 of human Histone H2A.X protein.

Background

Histone H2A.X is a variant histone that represents approximately 10% of the total H2A histone proteins in normal human fibroblasts (1). H2A.X is required for checkpoint-mediated cell cycle arrest and DNA repair following double-stranded DNA breaks (1). DNA damage, caused by ionizing radiation, UV-light, or radiomimetic agents, results in rapid phosphorylation of H2A.X at Ser139 by PI3K-like kinases, including ATM, ATR, and DNA-PK (2,3). Within minutes following DNA damage, H2A.X is phosphorylated at Ser139 at sites of DNA damage to generate γ-H2A.X (4). This very early event in the DNA-damage response is required for recruitment of a multitude of DNA-damage response proteins, including MDC1, NBS1, RAD50, MRE11, 53BP1, and BRCA1 (1). In addition to its role in DNA-damage repair, H2A.X is required for DNA fragmentation during apoptosis and is phosphorylated by various kinases in response to apoptotic signals. H2A.X is phosphorylated at Ser139 by DNA-PK in response to cell death receptor activation, c-Jun N-terminal Kinase (JNK1) in response to UV-A irradiation, and p38 MAPK in response to serum starvation (5-8). H2A.X is constitutively phosphorylated on Tyr142 in undamaged cells by WSTF (Williams-Beuren syndrome transcription factor) (9,10). Upon DNA damage, and concurrent with phosphorylation of Ser139, Tyr142 is dephosphorylated at sites of DNA damage by recruited EYA1 and EYA3 phosphatases (9). While phosphorylation at Ser139 facilitates the recruitment of DNA repair proteins and apoptotic proteins to sites of DNA damage, phosphorylation at Tyr142 appears to determine which set of proteins are recruited. Phosphorylation of H2A.X at Tyr142 inhibits the recruitment of DNA repair proteins and promotes binding of pro-apoptotic factors such as JNK1 (9). Mouse embryonic fibroblasts expressing only mutant H2A.X Y142F, which favors recruitment of DNA repair proteins over apoptotic proteins, show a reduced apoptotic response to ionizing radiation (9). Thus, it appears that the balance of H2A.X Tyr142 phosphorylation and dephosphorylation provides a switch mechanism to determine cell fate after DNA damage.

Species Reactivity

Species reactivity is determined by testing in at least one approved application (e.g., western blot).

Trademarks and Patents

Cell Signaling Technology is a trademark of Cell Signaling Technology, Inc.

SignalStar is a registered trademark of Cell Signaling Technology, Inc.

U.S. Patent No. 10,781,477, foreign equivalents, and child patents deriving therefrom.

All other trademarks are the property of their respective owners. Visit cellsignal.com/trademarks for more information.

Limited Uses

Except as otherwise expressly agreed in a writing signed by a legally authorized representative of CST, the following terms apply to Products provided by CST, its affiliates or its distributors. Any Customer's terms and conditions that are in addition to, or different from, those contained herein, unless separately accepted in writing by a legally authorized representative of CST, are rejected and are of no force or effect.

Products are labeled with For Research Use Only or a similar labeling statement and have not been approved, cleared, or licensed by the FDA or other regulatory foreign or domestic entity, for any purpose. Customer shall not use any Product for any diagnostic or therapeutic purpose, or otherwise in any manner that conflicts with its labeling statement. Products sold or licensed by CST are provided for Customer as the end-user and solely for research and development uses. Any use of Product for diagnostic, prophylactic or therapeutic purposes, or any purchase of Product for resale (alone or as a component) or other commercial purpose, requires a separate license from CST. Customer shall (a) not sell, license, loan, donate or otherwise transfer or make available any Product to any third party, whether alone or in combination with other materials, or use the Products to manufacture any commercial products, (b) not copy, modify, reverse engineer, decompile, disassemble or otherwise attempt to discover the underlying structure or technology of the Products, or use the Products for the purpose of developing any products or services that would compete with CST products or services, (c) not alter or remove from the Products any trademarks, trade names, logos, patent or copyright notices or markings, (d) use the Products solely in accordance with CST Product Terms of Sale and any applicable documentation, and (e) comply with any license, terms of service or similar agreement with respect to any third party products or services used by Customer in connection with the Products.

Orders: 877-616-CELL (2355) [email protected] Support: 877-678-TECH (8324) [email protected] Web: cellsignal.com
For Research Use Only. Not for Use in Diagnostic Procedures.

Revision 1

Cell Signaling Technology Logo
SignalStar™ multiplex immunohistochemical analysis of paraffin-embedded human tonsil using Phospho-Histone H2A.X (Ser139) (D7T2V) & CO-0135-488 SignalStar™ Oligo-Antibody Pair #66478 (magenta), CD54/ICAM-1 (E3Q9N) & CO-0146-594 SignalStar™ Oligo-Antibody Pair #32147 (yellow), Myeloperoxidase (E1E7I) & CO-0138-647 SignalStar™ Oligo-Antibody Pair #53259 (red), Pan-Keratin (C11) & CO-0003-750 SignalStar™ Oligo-Antibody Pair #97227 (cyan), CD8α (D8A8Y) & CO-0004-488 SignalStar™ Oligo-Antibody Pair #45747 (green), Ki-67 (8D5) & CO-0014-594 SignalStar™ Oligo-Antibody Pair #35330 (white), and α-Smooth Muscle Actin (D4K9N) & CO-0024-647 SignalStar™ Oligo-Antibody Pair #63902 (orange). All fluorophores have been assigned a pseudocolor, as indicated. Staining was performed on the BOND RX autostainer by Leica Biosystems.
Immunohistochemistry Image 1: Phospho-Histone H2A.X (Ser139) (D7T2V) & CO-0135-488 SignalStar<sup>™</sup> Oligo-Antibody Pair
SignalStar™ multiplex immunohistochemical analysis of paraffin-embedded human lung adenocarcinoma using Phospho-Histone H2A.X (Ser139) (D7T2V) & CO-0135-488 SignalStar™ Oligo-Antibody Pair #66478 (green). All fluorophores have been assigned a pseudocolor, as indicated. Staining was performed on the BOND RX autostainer by Leica Biosystems.
Immunohistochemistry Image 2: Phospho-Histone H2A.X (Ser139) (D7T2V) & CO-0135-488 SignalStar<sup>™</sup> Oligo-Antibody Pair
SignalStar™ multiplex immunohistochemical analysis of paraffin-embedded human non-small cell lung carcinoma using Phospho-Histone H2A.X (Ser139) (D7T2V) & CO-0135-594 SignalStar™ Oligo-Antibody Pair #51203 (yellow). All fluorophores have been assigned a pseudocolor, as indicated. Staining was performed on the BOND RX autostainer by Leica Biosystems.
Immunohistochemistry Image 3: Phospho-Histone H2A.X (Ser139) (D7T2V) & CO-0135-488 SignalStar<sup>™</sup> Oligo-Antibody Pair
Orders: 877-616-CELL (2355) [email protected] Support: 877-678-TECH (8324) [email protected] Web: cellsignal.com
For Research Use Only. Not for Use in Diagnostic Procedures.

Revision 1

Cell Signaling Technology Logo
SignalStar™ multiplex immunohistochemical analysis of paraffin-embedded GL261 syngeneic tumor using Phospho-Histone H2A.X (Ser139) (D7T2V) & CO-0135-647 SignalStar™ Oligo-Antibody Pair #70223 (red). All fluorophores have been assigned a pseudocolor, as indicated. Staining was performed on the BOND RX autostainer by Leica Biosystems.
Immunohistochemistry Image 4: Phospho-Histone H2A.X (Ser139) (D7T2V) & CO-0135-488 SignalStar<sup>™</sup> Oligo-Antibody Pair
SignalStar™ multiplex immunohistochemical analysis of paraffin-embedded human tonsil using Phospho-Histone H2A.X (Ser139) (D7T2V) & CO-0135-750 SignalStar™ Oligo-Antibody Pair #87500 (cyan). All fluorophores have been assigned a pseudocolor, as indicated. Staining was performed on the BOND RX autostainer by Leica Biosystems.
Immunohistochemistry Image 5: Phospho-Histone H2A.X (Ser139) (D7T2V) & CO-0135-488 SignalStar<sup>™</sup> Oligo-Antibody Pair
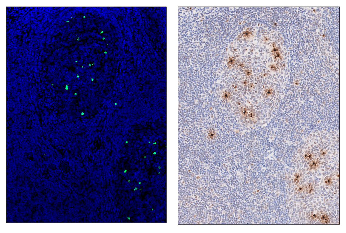
SignalStar™ multiplex immunohistochemical analysis of paraffin-embedded human tonsil using Phospho-Histone H2A.X (Ser139) (D7T2V) & CO-0135-488 SignalStar™ Oligo-Antibody Pair #66478 (left, green) and DAPI #4083 (left, blue) compared to chromogenic immunohistochemical analysis of a serial section of paraffin-embedded human tonsil using Phospho-Histone H2A.X (Ser139) (D7T2V) Mouse mAb #80312 (right). All fluorophores have been assigned a pseudocolor, as indicated. Staining was performed on the BOND RX autostainer by Leica Biosystems.
Immunohistochemistry Image 6: Phospho-Histone H2A.X (Ser139) (D7T2V) & CO-0135-488 SignalStar<sup>™</sup> Oligo-Antibody Pair
Orders: 877-616-CELL (2355) [email protected] Support: 877-678-TECH (8324) [email protected] Web: cellsignal.com
For Research Use Only. Not for Use in Diagnostic Procedures.

Revision 1

Cell Signaling Technology Logo
SignalStar™ multiplex immunohistochemical analysis of paraffin-embedded human lung adenocarcinoma using Phospho-Histone H2A.X (Ser139) (D7T2V) & CO-0135-488 SignalStar™ Oligo-Antibody Pair #66478 (magenta), Pan-Keratin (C11) & CO-0003-594 SignalStar™ Oligo-Antibody Pair #30989 (cyan), Myeloperoxidase (E1E7I) & CO-0138-647 SignalStar™ Oligo-Antibody Pair #53259 (green), CD54/ICAM-1 (E3Q9N) & CO-0146-750 SignalStar™ Oligo-Antibody Pair #81990 (red), and DAPI #4083 (blue). All fluorophores have been assigned a pseudocolor, as indicated. Staining was performed on the BOND RX autostainer by Leica Biosystems.
Immunohistochemistry Image 7: Phospho-Histone H2A.X (Ser139) (D7T2V) & CO-0135-488 SignalStar<sup>™</sup> Oligo-Antibody Pair
SignalStar™ multiplex immunohistochemical analysis of paraffin-embedded human gastric adenocarcinoma using CD54/ICAM-1 (E3Q9N) & CO-0146-488 SignalStar™ Oligo-Antibody Pair #59104 (red), Myeloperoxidase (E1E7I) & CO-0138-594 SignalStar™ Oligo-Antibody Pair #39503 (cyan), Phospho-Histone H2A.X (Ser139) (D7T2V) & CO-0135-647 SignalStar™ Oligo-Antibody Pair #70223 (magenta), and Pan-Keratin (C11) & CO-0003-750 SignalStar™ Oligo-Antibody Pair #97227 (green). All fluorophores have been assigned a pseudocolor, as indicated. 
Immunohistochemistry Image 1: Phospho-Histone H2A.X (Ser139) (D7T2V) & CO-0135-488 SignalStar<sup>™</sup> Oligo-Antibody Pair
Orders: 877-616-CELL (2355) [email protected] Support: 877-678-TECH (8324) [email protected] Web: cellsignal.com
For Research Use Only. Not for Use in Diagnostic Procedures.