Revision 2

#20929

Store at -20C

TMEM119 (E3E4T) & CO-0130-488 SignalStar Oligo-Antibody Pair

1 Kit

(10 slides)

UniProt ID:
#Q4V9L6

Entrez-Gene Id:
#338773

CST Logo
Orders:

877-616-CELL (2355)

[email protected]

Support:

877-678-TECH (8324)

3 Trask Lane | Danvers | Massachusetts | 01923 | USA

For Research Use Only. Not for Use in Diagnostic Procedures.

Product Includes Product # Volume Reactivity Isotype
TMEM119 (E3E4T) Mouse mAb (SignalStar™ Conjugate 0130)6238350 µlHMouse IgG2a
Complementary Oligo (CO-0130-488)3267522 µl

Storage

SignalStar conjugates are supplied in PBS (pH 7.2), less than 0.1% sodium azide, 2 mM EDTA, 0.05% Triton X-100, 2 mg/mL BSA, and 50% glycerol. Complementary oligos are supplied in nuclease-free water. Store at -20°C. Do not aliquot the antibody. All components in this kit are stable for at least 12 months when stored at the recommended temperature.

Description

SignalStar multiplex immunohistochemistry (IHC) is an advanced technology for labeling multiple proteins simultaneously in tissue samples using specific primary antibodies and fluorescent detection reagents. This technology offers accuracy and reliability in visualizing and analyzing protein expression while maintaining spatial context and tissue architecture.

SignalStar Oligo-Antibody Pairs are compatible with the SignalStar Multiplex IHC Buffer Kits for use in fluorescent multiplex imaging experiments. This product includes the oligo-conjugated antibodies and complementary oligos required for labeling your target protein on up to 10 slides. SignalStar Multiplex IHC Buffer Kits are required to amplify and image the target signal. Multiple oligo-antibody pairs can be conveniently combined into a multiplex panel using the SignalStar Multiplex IHC Panel Builder. SignalStar Multiplex IHC Kits & Reagents are not compatible with all of Cell Signaling Technology® products and protocols that are recommended for use in immunohistochemical assays.

Specificity/Sensitivity

TMEM119 (E3E4T) Mouse mAb (SignalStar™ Conjugate 0130) recognizes endogenous levels of total TMEM119 protein.

Source / Purification

Monoclonal antibody is produced by immunizing animals with a synthetic peptide corresponding to residues near the amino terminus of human TMEM119 protein.

Background

Transmembrane protein 119 (TMEM119) is a cell-surface protein of unknown function, expressed exclusively by the microglia subset of myeloid and neural cells (1). Iba1+ microglia with both ramified and amoeboid morphologies express TMEM119, while Iba1+ macrophages are TMEM119 negative (2). TMEM119 and other homeostatic genes have been shown to be downregulated in disease-associated microglia (DAM). DAM are conserved in human and mouse and have been identified in Alzheimer’s disease (AD), amyotrophic lateral sclerosis (ALS), and 5XFAD and APP/PS1 mouse models (3,4). This protein’s specificity as a microglia marker has proven itself important for labeling microglia in healthy tissue as well as deciphering them from infiltrating macrophages and other cell types in neurodegenerative disease models (1,2).

Species Reactivity

Species reactivity is determined by testing in at least one approved application (e.g., western blot).

Trademarks and Patents

Cell Signaling Technology is a trademark of Cell Signaling Technology, Inc.

SignalStar is a registered trademark of Cell Signaling Technology, Inc.

U.S. Patent No. 10,781,477, foreign equivalents, and child patents deriving therefrom.

All other trademarks are the property of their respective owners. Visit cellsignal.com/trademarks for more information.

Limited Uses

Except as otherwise expressly agreed in a writing signed by a legally authorized representative of CST, the following terms apply to Products provided by CST, its affiliates or its distributors. Any Customer's terms and conditions that are in addition to, or different from, those contained herein, unless separately accepted in writing by a legally authorized representative of CST, are rejected and are of no force or effect.

Products are labeled with For Research Use Only or a similar labeling statement and have not been approved, cleared, or licensed by the FDA or other regulatory foreign or domestic entity, for any purpose. Customer shall not use any Product for any diagnostic or therapeutic purpose, or otherwise in any manner that conflicts with its labeling statement. Products sold or licensed by CST are provided for Customer as the end-user and solely for research and development uses. Any use of Product for diagnostic, prophylactic or therapeutic purposes, or any purchase of Product for resale (alone or as a component) or other commercial purpose, requires a separate license from CST. Customer shall (a) not sell, license, loan, donate or otherwise transfer or make available any Product to any third party, whether alone or in combination with other materials, or use the Products to manufacture any commercial products, (b) not copy, modify, reverse engineer, decompile, disassemble or otherwise attempt to discover the underlying structure or technology of the Products, or use the Products for the purpose of developing any products or services that would compete with CST products or services, (c) not alter or remove from the Products any trademarks, trade names, logos, patent or copyright notices or markings, (d) use the Products solely in accordance with CST Product Terms of Sale and any applicable documentation, and (e) comply with any license, terms of service or similar agreement with respect to any third party products or services used by Customer in connection with the Products.

Orders: 877-616-CELL (2355) [email protected] Support: 877-678-TECH (8324) [email protected] Web: cellsignal.com
For Research Use Only. Not for Use in Diagnostic Procedures.

Revision 2

Cell Signaling Technology Logo
SignalStar™ multiplex immunohistochemical analysis of paraffin-embedded human soft tissue squamous cell carcinoma using Phospho-CREB (Ser133) (87G3) & CO-0125-488 SignalStar™ Oligo-Antibody Pair #71574 (green), TMEM119 (E3E4T) & CO-00130-647 SignalStar™ Oligo-Antibody Pair #89700 (red), c-Fos (E2I7R) & CO-0131-750 SignalStar™ Oligo-Antibody Pair #85602 (cyan), CD68 (D4B9C) & CO-0007-594 SignalStar™ Oligo-Antibody Pair 77318 (yellow), and Pan-Keratin (C11) & CO-0003-488 SignalStar™ Oligo-Antibody Pair #63566 (magenta). All fluorophores have been assigned a pseudocolor, as indicated. Staining was performed on the BOND RX autostainer by Leica Biosystems.
Immunohistochemistry Image 1: TMEM119 (E3E4T) & CO-0130-488 SignalStar<sup>™</sup> Oligo-Antibody Pair
SignalStar™ multiplex immunohistochemical analysis of paraffin-embedded human colon adenocarcinoma using TMEM119 (E3E4T) & CO-00130-488 SignalStar™ Oligo-Antibody Pair #20929 (green). All fluorophores have been assigned a pseudocolor, as indicated. Staining was performed on the BOND RX autostainer by Leica Biosystems.
Immunohistochemistry Image 2: TMEM119 (E3E4T) & CO-0130-488 SignalStar<sup>™</sup> Oligo-Antibody Pair
SignalStar™ multiplex immunohistochemical analysis of paraffin-embedded human cerebellum using TMEM119 (E3E4T) & CO-00130-594 SignalStar™ Oligo-Antibody Pair #57450 (yellow). All fluorophores have been assigned a pseudocolor, as indicated. Staining was performed on the BOND RX autostainer by Leica Biosystems.
Immunohistochemistry Image 3: TMEM119 (E3E4T) & CO-0130-488 SignalStar<sup>™</sup> Oligo-Antibody Pair
Orders: 877-616-CELL (2355) [email protected] Support: 877-678-TECH (8324) [email protected] Web: cellsignal.com
For Research Use Only. Not for Use in Diagnostic Procedures.

Revision 2

Cell Signaling Technology Logo
SignalStar™ multiplex immunohistochemical analysis of paraffin-embedded human lung adenocarcinoma using TMEM119 (E3E4T) & CO-00130-647 SignalStar™ Oligo-Antibody Pair #89700 (red). All fluorophores have been assigned a pseudocolor, as indicated. Staining was performed on the BOND RX autostainer by Leica Biosystems.
Immunohistochemistry Image 4: TMEM119 (E3E4T) & CO-0130-488 SignalStar<sup>™</sup> Oligo-Antibody Pair
SignalStar™ multiplex immunohistochemical analysis of paraffin-embedded human cerebellum using TMEM119 (E3E4T) & CO-00130-750 SignalStar™ Oligo-Antibody Pair #19945 (cyan). All fluorophores have been assigned a pseudocolor, as indicated. Staining was performed on the BOND RX autostainer by Leica Biosystems.
Immunohistochemistry Image 5: TMEM119 (E3E4T) & CO-0130-488 SignalStar<sup>™</sup> Oligo-Antibody Pair
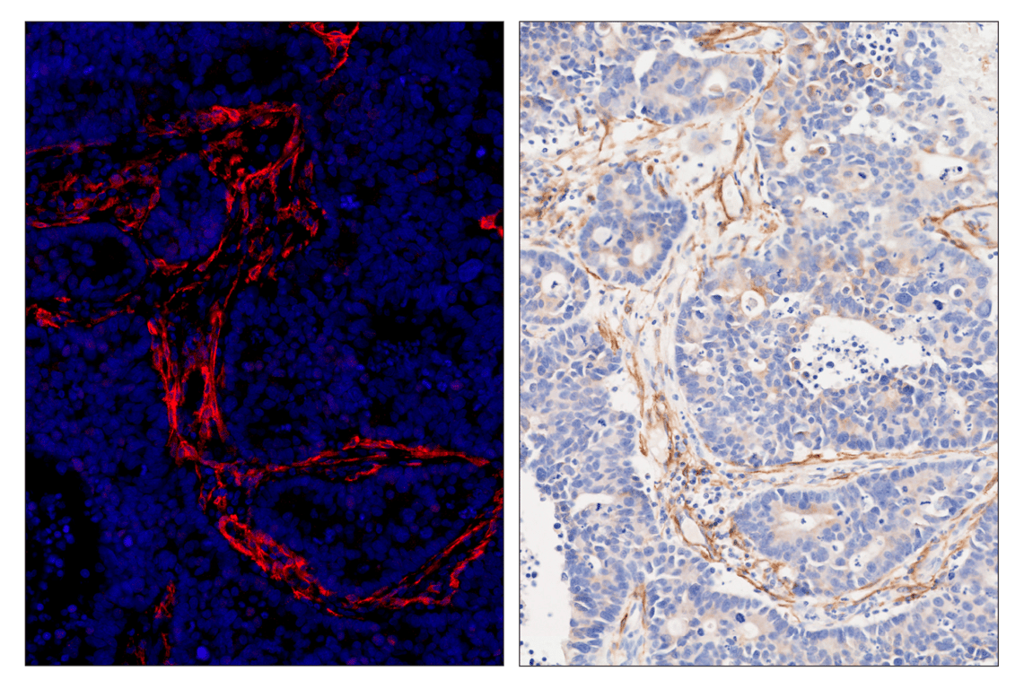
SignalStar™ multiplex immunohistochemical analysis of paraffin-embedded human lung adenocarcinoma using TMEM119 (E3E4T) & CO-00130-647 SignalStar™ Oligo-Antibody Pair #89700 (left, red) and DAPI #4083 (left, blue) compared to chromogenic immunohistochemical analysis of a serial section of paraffin-embedded human lung adenocarcinoma using TMEM119 (E3E4T) Mouse mAb #41134 (right). All fluorophores have been assigned a pseudocolor, as indicated. Staining was performed on the BOND RX autostainer by Leica Biosystems.
Immunohistochemistry Image 6: TMEM119 (E3E4T) & CO-0130-488 SignalStar<sup>™</sup> Oligo-Antibody Pair
Orders: 877-616-CELL (2355) [email protected] Support: 877-678-TECH (8324) [email protected] Web: cellsignal.com
For Research Use Only. Not for Use in Diagnostic Procedures.

Revision 2

Cell Signaling Technology Logo
SignalStar™ multiplex immunohistochemical analysis of paraffin-embedded human soft tissue squamous cell carcinoma using Phospho-CREB (Ser133) (87G3) & CO-0125-488 SignalStar™ Oligo-Antibody Pair #71574 (green), TMEM119 (E3E4T) & CO-00130-647 SignalStar™ Oligo-Antibody Pair #89700 (red), c-Fos (E2I7R) & CO-0131-750 SignalStar™ Oligo-Antibody Pair #85602 (cyan), Pan-Keratin (C11) & CO-0003-488 SignalStar™ Oligo-Antibody Pair #63566 (magenta), CD68 (D4B9C) & CO-0007-594 SignalStar™ Oligo-Antibody Pair 77318 (yellow), CD8α (D8A8Y) & CO-0004-750 SignalStar™Oligo-Antibody Pair #62750 (orange), and DAPI #4083 (blue). All fluorophores have been assigned a pseudocolor, as indicated. Staining was performed on the BOND RX autostainer by Leica Biosystems.
Immunohistochemistry Image 7: TMEM119 (E3E4T) & CO-0130-488 SignalStar<sup>™</sup> Oligo-Antibody Pair
SignalStar™ multiplex immunohistochemical analysis of paraffin-embedded human colon adenocarcinoma using c-Fos (E2I7R) & CO-0131-488 SignalStar™ Oligo-Antibody Pair #28962 (green), Phospho-CREB (Ser133) (87G3) & CO-0125-594 SignalStar™ Oligo-Antibody Pair #34820 (yellow), and TMEM119 (E3E4T) & CO-00130-647 SignalStar™ Oligo-Antibody Pair #89700 (red). All fluorophores have been assigned a pseudocolor, as indicated. 
Immunohistochemistry Image 1: TMEM119 (E3E4T) & CO-0130-488 SignalStar<sup>™</sup> Oligo-Antibody Pair
Orders: 877-616-CELL (2355) [email protected] Support: 877-678-TECH (8324) [email protected] Web: cellsignal.com
For Research Use Only. Not for Use in Diagnostic Procedures.