Revision 5

#37478

Store at +4C

CST Logo
Orders:

877-616-CELL (2355)

[email protected]

Support:

877-678-TECH (8324)

3 Trask Lane | Danvers | Massachusetts | 01923 | USA

For Research Use Only. Not for Use in Diagnostic Procedures.

Applications:
IP

Reactivity:
All

Product Usage Information

Vortex tube briefly to resuspend the beads. Add 20-40 μl of bead slurry to each immunoprecipitation (IP) reaction. For bead washing and subsequent elution of immunocomplexes, the beads can be separated from solution by a brief 1 minute centrifugation in a microcentrifuge at 6,000 rpm. Resuspend the beads in solution by gently vortexing or rocking the tube. Please follow CST's recommended IP protocol to perform IP followed by western blot.

Storage

Supplied as a 50% slurry in 20% ethanol solution. Store at 4°C. This product is stable for 36 months.

Description

Protein G Agarose Beads are an affinity matrix for the small-scale isolation of immunocomplexes from immunoprecipitations (IP assays). Protein G is covalently coupled to agarose beads. Protein G exhibits high affinity for subclasses of IgG from many species (including human, rabbit, mouse, rat, and sheep) and can be used for immunoprecipitation assays with these antibodies.

Product Specifications:
Bead Diameter: ~50-150 micron per bead
Binding Capacity: ~20 mg human IgG/ml

Species Reactivity

Species reactivity is determined by testing in at least one approved application (e.g., western blot).

Applications Key

IP: Immunoprecipitation

Cross-Reactivity Key

All: All Species Expected

Trademarks and Patents

Cell Signaling Technology is a trademark of Cell Signaling Technology, Inc.

All other trademarks are the property of their respective owners. Visit cellsignal.com/trademarks for more information.

Limited Uses

Except as otherwise expressly agreed in a writing signed by a legally authorized representative of CST, the following terms apply to Products provided by CST, its affiliates or its distributors. Any Customer's terms and conditions that are in addition to, or different from, those contained herein, unless separately accepted in writing by a legally authorized representative of CST, are rejected and are of no force or effect.

Products are labeled with For Research Use Only or a similar labeling statement and have not been approved, cleared, or licensed by the FDA or other regulatory foreign or domestic entity, for any purpose. Customer shall not use any Product for any diagnostic or therapeutic purpose, or otherwise in any manner that conflicts with its labeling statement. Products sold or licensed by CST are provided for Customer as the end-user and solely for research and development uses. Any use of Product for diagnostic, prophylactic or therapeutic purposes, or any purchase of Product for resale (alone or as a component) or other commercial purpose, requires a separate license from CST. Customer shall (a) not sell, license, loan, donate or otherwise transfer or make available any Product to any third party, whether alone or in combination with other materials, or use the Products to manufacture any commercial products, (b) not copy, modify, reverse engineer, decompile, disassemble or otherwise attempt to discover the underlying structure or technology of the Products, or use the Products for the purpose of developing any products or services that would compete with CST products or services, (c) not alter or remove from the Products any trademarks, trade names, logos, patent or copyright notices or markings, (d) use the Products solely in accordance with CST Product Terms of Sale and any applicable documentation, and (e) comply with any license, terms of service or similar agreement with respect to any third party products or services used by Customer in connection with the Products.

Orders: 877-616-CELL (2355) [email protected] Support: 877-678-TECH (8324) [email protected] Web: cellsignal.com
For Research Use Only. Not for Use in Diagnostic Procedures.

Revision 5

Cell Signaling Technology Logo
Immunoprecipitation (IP) of COX IV from HeLa cells using COX IV (4D11-B3-E8) Mouse Monoclonal Antibody #11967 and Protein G Agarose Beads. Western blot analysis was performed on the IP pellet (lane 1) and supernatant (lane 2) using COX IV (3E11) Rabbit Monoclonal Antibody #4850.
Immunoprecipitation Image 1: Protein G Agarose Beads
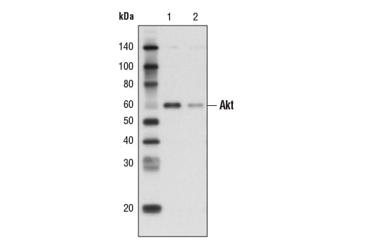
Immunoprecipitation (IP) of Akt from 3T3 cells using Akt (pan) (40D4) Mouse Monoclonal Antibody #2920 and Protein G Agarose Beads. Western blot analysis was performed on the IP pellet (lane 1) and supernatant (lane 2) using Akt (pan) (C67E7) Rabbit Monoclonal Antibody #4691.
Immunoprecipitation Image 2: Protein G Agarose Beads
Orders: 877-616-CELL (2355) [email protected] Support: 877-678-TECH (8324) [email protected] Web: cellsignal.com
For Research Use Only. Not for Use in Diagnostic Procedures.