Revision 1

#13525

Store at -20C

CST Logo
Orders:

877-616-CELL (2355)

[email protected]

Support:

877-678-TECH (8324)

3 Trask Lane | Danvers | Massachusetts | 01923 | USA

For Research Use Only. Not for Use in Diagnostic Procedures.

Applications:
W

Reactivity:
H Mk

Sensitivity:
Endogenous

MW (kDa):
53

Source/Isotype:
Rabbit IgG

UniProt ID:
#P54727

Entrez-Gene Id:
5887

Product Usage Information

Application Dilution
Western Blotting 1:1000

Storage

Supplied in 10 mM sodium HEPES (pH 7.5), 150 mM NaCl, 100 µg/ml BSA, 50% glycerol and less than 0.02% sodium azide. Store at –20°C. Do not aliquot the antibody.

Specificity/Sensitivity

Rad23B (D4W7F) Rabbit Monoclonal Antibody recognizes endogenous levels of total Rad23B protein. This antibody does not cross-react with Rad23A protein.

Source / Purification

Monoclonal antibody is produced by immunizing animals with a synthetic peptide corresponding to residues surrounding Ala140 of human Rad23B protein.

Background

The yeast nucleotide excision repair (NER) radiation sensitive protein 23 (rad23) and its human homologs Rad23A (hHR23A) and Rad23B (hHR23B) are critical components of the cellular machinery that recognize DNA lesions and serve as receptors that target ubiquitinated substrates to the proteasome for degradation (1).
The UV excision repair protein Rad23B is a multi-domain scaffold protein that plays an important role in ubiquitin-dependent proteasomal degradation. Rad23B contains an amino-terminal ubiquitin-like (UbL) domain that facilitates interaction with the S5a/PSMD4 subunit of the proteasome 19S regulatory complex (2,3). In addition, Rad23B contains a central ubiquitin-associated domain (UBA1) and a carboxy-terminal UBA2 domain, which bind mono- and polyubiquitin with distinct specificities (4). Research studies demonstrate that Rad23B binds specifically to K48-ubiquitinated proteins to facilitate recruitment of target proteins to the proteasome (5). Between the paired UBA domains, Rad23B contains an XPC-binding domain that facilitates binding to XPC and recruitment to DNA lesions (6), as well as the binding of peptide:N-glycanase that is critical for recruitment of ubiquitinated ERAD substrates to the proteasome (7). Research studies have shown that targeted deletion of the murine Rad23b locus impairs embryonic development, suggesting that Rad23B is essential for mammalian development (8).

Species Reactivity

Species reactivity is determined by testing in at least one approved application (e.g., western blot).

Western Blot Buffer

IMPORTANT: For western blots, incubate membrane with diluted primary antibody in 5% w/v BSA, 1X TBS, 0.1% Tween® 20 at 4°C with gentle shaking, overnight.

Applications Key

W: Western Blotting

Cross-Reactivity Key

H: Human Mk: Monkey

Trademarks and Patents

Cell Signaling Technology is a trademark of Cell Signaling Technology, Inc.

All other trademarks are the property of their respective owners. Visit cellsignal.com/trademarks for more information.

Limited Uses

Except as otherwise expressly agreed in a writing signed by a legally authorized representative of CST, the following terms apply to Products provided by CST, its affiliates or its distributors. Any Customer's terms and conditions that are in addition to, or different from, those contained herein, unless separately accepted in writing by a legally authorized representative of CST, are rejected and are of no force or effect.

Products are labeled with For Research Use Only or a similar labeling statement and have not been approved, cleared, or licensed by the FDA or other regulatory foreign or domestic entity, for any purpose. Customer shall not use any Product for any diagnostic or therapeutic purpose, or otherwise in any manner that conflicts with its labeling statement. Products sold or licensed by CST are provided for Customer as the end-user and solely for research and development uses. Any use of Product for diagnostic, prophylactic or therapeutic purposes, or any purchase of Product for resale (alone or as a component) or other commercial purpose, requires a separate license from CST. Customer shall (a) not sell, license, loan, donate or otherwise transfer or make available any Product to any third party, whether alone or in combination with other materials, or use the Products to manufacture any commercial products, (b) not copy, modify, reverse engineer, decompile, disassemble or otherwise attempt to discover the underlying structure or technology of the Products, or use the Products for the purpose of developing any products or services that would compete with CST products or services, (c) not alter or remove from the Products any trademarks, trade names, logos, patent or copyright notices or markings, (d) use the Products solely in accordance with CST Product Terms of Sale and any applicable documentation, and (e) comply with any license, terms of service or similar agreement with respect to any third party products or services used by Customer in connection with the Products.

Orders: 877-616-CELL (2355) [email protected] Support: 877-678-TECH (8324) [email protected] Web: cellsignal.com
For Research Use Only. Not for Use in Diagnostic Procedures.

Revision 1

Cell Signaling Technology Logo
Western blot analysis of extracts from various cell lines using Rad23B (D4W7F) Rabbit mAb.
Western Blotting Image 1: Rad23B (D4W7F) Rabbit Monoclonal Antibody
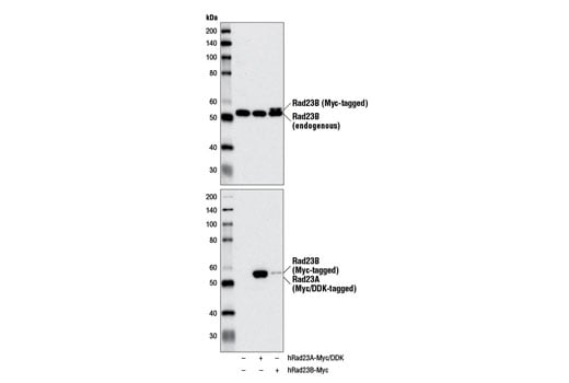
Western blot analysis of extracts from 293T cells, mock transfected (-) or transfected with constructs expressing Myc/DDK-tagged full-length human RAD23A protein (hRAD23A-Myc/DDK; +) and Myc-tagged full-length human RAD23B protein (hRAD23B-Myc; +), using Rad23B (D4W7F) Rabbit mAb (upper) or Myc-Tag (71D10) Rabbit mAb #2278 (lower).
Western Blotting Image 2: Rad23B (D4W7F) Rabbit Monoclonal Antibody
Orders: 877-616-CELL (2355) [email protected] Support: 877-678-TECH (8324) [email protected] Web: cellsignal.com
For Research Use Only. Not for Use in Diagnostic Procedures.