Rad23B (D4W7F) Rabbit Monoclonal Antibody #13525
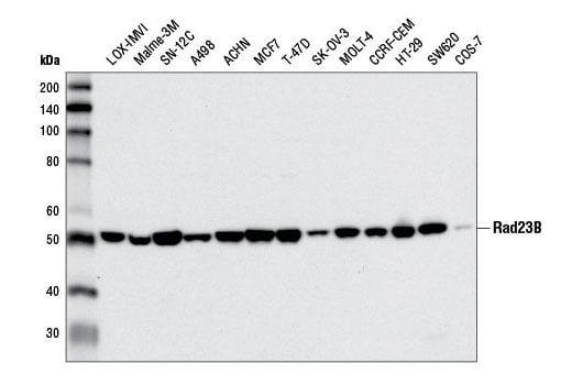
- WB
Product Specifications
| REACTIVITY | H Mk |
| SENSITIVITY | Endogenous |
| MW (kDa) | 53 |
| Source/Isotype | Rabbit IgG |
Application Key:
- WB-Western Blotting
Species Cross-Reactivity Key:
- H-Human
- Mk-Monkey
Product Information
Product Usage Information
| Application | Dilution |
|---|---|
| Western Blotting | 1:1000 |
Storage
Protocol
Specificity / Sensitivity
Species Reactivity:
Source / Purification
Background
The UV excision repair protein Rad23B is a multi-domain scaffold protein that plays an important role in ubiquitin-dependent proteasomal degradation. Rad23B contains an amino-terminal ubiquitin-like (UbL) domain that facilitates interaction with the S5a/PSMD4 subunit of the proteasome 19S regulatory complex (2,3). In addition, Rad23B contains a central ubiquitin-associated domain (UBA1) and a carboxy-terminal UBA2 domain, which bind mono- and polyubiquitin with distinct specificities (4). Research studies demonstrate that Rad23B binds specifically to K48-ubiquitinated proteins to facilitate recruitment of target proteins to the proteasome (5). Between the paired UBA domains, Rad23B contains an XPC-binding domain that facilitates binding to XPC and recruitment to DNA lesions (6), as well as the binding of peptide:N-glycanase that is critical for recruitment of ubiquitinated ERAD substrates to the proteasome (7). Research studies have shown that targeted deletion of the murine Rad23b locus impairs embryonic development, suggesting that Rad23B is essential for mammalian development (8).
- Verma, R. et al. (2004) Cell 118, 99-110.
- Ryu, K.S. et al. (2003) J Biol Chem 278, 36621-7.
- Walters, K.J. et al. (2003) Proc Natl Acad Sci U S A 100, 12694-9.
- Raasi, S. et al. (2005) Nat Struct Mol Biol 12, 708-14.
- Nathan, J.A. et al. (2013) EMBO J 32, 552-65.
- Masutani, C. et al. (1994) EMBO J 13, 1831-43.
- Lee, J.H. et al. (2005) Proc Natl Acad Sci U S A 102, 9144-9.
- Ng, J.M. et al. (2002) Mol Cell Biol 22, 1233-45.
Alternate Names
hHR23B; HR23B; p58; RAD23 homolog B (S. cerevisiae); RAD23 homolog B, nucleotide excision repair protein; RAD23, yeast homolog of, B; RAD23B; RD23B; UV excision repair protein RAD23 homolog B; XP-C repair complementing complex 58 kDa; XP-C repair complementing protein; XP-C repair-complementing complex 58 kDa protein
Limited Uses
Except as otherwise expressly agreed in a writing signed by a legally authorized representative of CST, the following terms apply to Products provided by CST, its affiliates or its distributors. Any Customer's terms and conditions that are in addition to, or different from, those contained herein, unless separately accepted in writing by a legally authorized representative of CST, are rejected and are of no force or effect.
Products are labeled with For Research Use Only or a similar labeling statement and have not been approved, cleared, or licensed by the FDA or other regulatory foreign or domestic entity, for any purpose. Customer shall not use any Product for any diagnostic or therapeutic purpose, or otherwise in any manner that conflicts with its labeling statement. Products sold or licensed by CST are provided for Customer as the end-user and solely for research and development uses. Any use of Product for diagnostic, prophylactic or therapeutic purposes, or any purchase of Product for resale (alone or as a component) or other commercial purpose, requires a separate license from CST. Customer shall (a) not sell, license, loan, donate or otherwise transfer or make available any Product to any third party, whether alone or in combination with other materials, or use the Products to manufacture any commercial products, (b) not copy, modify, reverse engineer, decompile, disassemble or otherwise attempt to discover the underlying structure or technology of the Products, or use the Products for the purpose of developing any products or services that would compete with CST products or services, (c) not alter or remove from the Products any trademarks, trade names, logos, patent or copyright notices or markings, (d) use the Products solely in accordance with CST Product Terms of Sale and any applicable documentation, and (e) comply with any license, terms of service or similar agreement with respect to any third party products or services used by Customer in connection with the Products.