Revision 1

#28149

Store at -20C

CST Logo
Orders:

877-616-CELL (2355)

[email protected]

Support:

877-678-TECH (8324)

3 Trask Lane | Danvers | Massachusetts | 01923 | USA

For Research Use Only. Not for Use in Diagnostic Procedures.

Applications:
W, IHC-P, FC-FP

Reactivity:
H

Sensitivity:
Endogenous

MW (kDa):
30-50

Source/Isotype:
Mouse IgG1 kappa

UniProt ID:
#P04439, #P10321, #P01889_VAR_C349S

Entrez-Gene Id:
3105, 3107, 3106

Product Usage Information

This product is the carrier free version of product #88274. All data were generated using the same antibody clone in the standard formulation which contains BSA and glycerol.

This formulation is ideal for use with technologies requiring specialized or custom antibody labeling, including fluorophores, metals, lanthanides, and oligonucleotides. It is not recommended for ChIP, ChIP-seq, CUT&RUN or CUT&Tag assays. If you require a carrier free formulation for chromatin profiling, please contact us. Optimal dilutions/concentrations should be determined by the end user.

BSA and Azide Free antibodies are quality control tested by size exclusion chromatography (SEC) to determine antibody integrity.

Formulation

Supplied in 1X PBS (10 mM Na2HPO4, 3 mM KCl, 2 mM KH2PO4, and 140 mM NaCl (pH 7.8)). BSA and Azide Free.

For standard formulation of this product see product #88274

Storage

Store at -20°C. This product will freeze at -20°C so it is recommended to aliquot into single-use vials to avoid multiple freeze/thaw cycles. A slight precipitate may be present and can be dissolved by gently vortexing. This will not interfere with antibody performance.

Specificity/Sensitivity

MHC Class I (EMR8-5) Mouse Monoclonal Antibody (BSA and Azide Free) detects HLA-A, HLA-B, HLA-C, and HLA-E. This antibody does not cross-react with HLA-G.

Source / Purification

Monoclonal antibody is produced by immunizing animals with human HLA-A*2402 extracellular domain recombinant protein.

Background

The human leukocyte antigen (HLA) system is a gene complex encoding the major histocompatibility complex (MHC) proteins in humans. These cell surface proteins are responsible for the regulation of antigen-specific immunity in humans. HLA genes are highly polymorphic, allowing them to fine-tune the adaptive immune response. HLAs corresponding to MHC class I (HLA-A, B, and C) present small peptide antigens from inside the cell, approximately 8 to 10 amino acids in length, to CD8+ T lymphocytes in order to activate a cytotoxic T cell response. HLAs corresponding to MHC class II (HLA-DP, DM, DO, DQ, and DR) present antigens from outside of the cell, approximately 15 to 24 residues in length, to CD4+ T helper cells, which in turn secrete cytokines and stimulate B cells to produce antibodies to that specific antigen. HLAs corresponding to MHC class III encode components of the complement system (1,2).

Species Reactivity

Species reactivity is determined by testing in at least one approved application (e.g., western blot).

Applications Key

W: Western Blotting IHC-P: Immunohistochemistry (Paraffin) FC-FP: Flow Cytometry (Fixed/Permeabilized)

Cross-Reactivity Key

H: Human

Trademarks and Patents

Cell Signaling Technology is a trademark of Cell Signaling Technology, Inc.

All other trademarks are the property of their respective owners. Visit cellsignal.com/trademarks for more information.

Limited Uses

Except as otherwise expressly agreed in a writing signed by a legally authorized representative of CST, the following terms apply to Products provided by CST, its affiliates or its distributors. Any Customer's terms and conditions that are in addition to, or different from, those contained herein, unless separately accepted in writing by a legally authorized representative of CST, are rejected and are of no force or effect.

Products are labeled with For Research Use Only or a similar labeling statement and have not been approved, cleared, or licensed by the FDA or other regulatory foreign or domestic entity, for any purpose. Customer shall not use any Product for any diagnostic or therapeutic purpose, or otherwise in any manner that conflicts with its labeling statement. Products sold or licensed by CST are provided for Customer as the end-user and solely for research and development uses. Any use of Product for diagnostic, prophylactic or therapeutic purposes, or any purchase of Product for resale (alone or as a component) or other commercial purpose, requires a separate license from CST. Customer shall (a) not sell, license, loan, donate or otherwise transfer or make available any Product to any third party, whether alone or in combination with other materials, or use the Products to manufacture any commercial products, (b) not copy, modify, reverse engineer, decompile, disassemble or otherwise attempt to discover the underlying structure or technology of the Products, or use the Products for the purpose of developing any products or services that would compete with CST products or services, (c) not alter or remove from the Products any trademarks, trade names, logos, patent or copyright notices or markings, (d) use the Products solely in accordance with CST Product Terms of Sale and any applicable documentation, and (e) comply with any license, terms of service or similar agreement with respect to any third party products or services used by Customer in connection with the Products.

Orders: 877-616-CELL (2355) [email protected] Support: 877-678-TECH (8324) [email protected] Web: cellsignal.com
For Research Use Only. Not for Use in Diagnostic Procedures.

Revision 1

Cell Signaling Technology Logo
Western blot analysis of extracts from various cell lines using MHC Class I (EMR8-5) Mouse mAb (upper) or GAPDH (D16H11) XP® Rabbit mAb #5174 (lower). Low expression of MHC Class I protein in K-562 cells is consistent with the predicted expression pattern. Data were generated using the standard formulation of this product.
Western Blotting Image 1: MHC Class I (EMR8-5) Mouse Monoclonal Antibody (BSA and Azide Free)
Immunohistochemical analysis of paraffin-embedded human hepatocellular carcinoma using MHC Class I (EMR8-5) Mouse mAb. Data were generated using the standard formulation of this product.
Immunohistochemistry Image 1: MHC Class I (EMR8-5) Mouse Monoclonal Antibody (BSA and Azide Free)
Immunohistochemical analysis of paraffin-embedded human papillary carcinoma of the thyroid using MHC Class I (EMR8-5) Mouse mAb. Data were generated using the standard formulation of this product.
Immunohistochemistry Image 2: MHC Class I (EMR8-5) Mouse Monoclonal Antibody (BSA and Azide Free)
Orders: 877-616-CELL (2355) [email protected] Support: 877-678-TECH (8324) [email protected] Web: cellsignal.com
For Research Use Only. Not for Use in Diagnostic Procedures.

Revision 1

Cell Signaling Technology Logo
Immunohistochemical analysis of paraffin-embedded human gastric carcinoma using MHC Class I (EMR8-5) Mouse mAb. Data were generated using the standard formulation of this product.
Immunohistochemistry Image 3: MHC Class I (EMR8-5) Mouse Monoclonal Antibody (BSA and Azide Free)
Immunohistochemical analysis of paraffin-embedded human B-cell non-Hodgkin lymphoma using MHC Class I (EMR8-5) Mouse mAb. Data were generated using the standard formulation of this product.
Immunohistochemistry Image 4: MHC Class I (EMR8-5) Mouse Monoclonal Antibody (BSA and Azide Free)
Immunohistochemical analysis of paraffin-embedded human large cell neuroendocrine lung carcinoma using MHC Class I (EMR8-5) Mouse mAb. Data were generated using the standard formulation of this product.
Immunohistochemistry Image 5: MHC Class I (EMR8-5) Mouse Monoclonal Antibody (BSA and Azide Free)
Orders: 877-616-CELL (2355) [email protected] Support: 877-678-TECH (8324) [email protected] Web: cellsignal.com
For Research Use Only. Not for Use in Diagnostic Procedures.

Revision 1

Cell Signaling Technology Logo
Immunohistochemical analysis of paraffin-embedded human colon adenocarcinoma using MHC Class I (EMR8-5) Mouse mAb. Data were generated using the standard formulation of this product.
Immunohistochemistry Image 6: MHC Class I (EMR8-5) Mouse Monoclonal Antibody (BSA and Azide Free)
Immunohistochemical analysis of paraffin-embedded human squamous cell carcinoma of the cervix using MHC Class I (EMR8-5) Mouse mAb. Data were generated using the standard formulation of this product.
Immunohistochemistry Image 7: MHC Class I (EMR8-5) Mouse Monoclonal Antibody (BSA and Azide Free)
Immunohistochemical analysis of paraffin-embedded human urothelial carcinoma using MHC Class I (EMR8-5) Mouse mAb. Data were generated using the standard formulation of this product.
Immunohistochemistry Image 8: MHC Class I (EMR8-5) Mouse Monoclonal Antibody (BSA and Azide Free)
Orders: 877-616-CELL (2355) [email protected] Support: 877-678-TECH (8324) [email protected] Web: cellsignal.com
For Research Use Only. Not for Use in Diagnostic Procedures.

Revision 1

Cell Signaling Technology Logo
Immunohistochemical analysis of paraffin-embedded normal human spleen using MHC Class I (EMR8-5) Mouse mAb. Data were generated using the standard formulation of this product.
Immunohistochemistry Image 9: MHC Class I (EMR8-5) Mouse Monoclonal Antibody (BSA and Azide Free)
Immunohistochemical analysis of paraffin-embedded normal human small intestine using MHC Class I (EMR8-5) Mouse mAb. Data were generated using the standard formulation of this product.
Immunohistochemistry Image 10: MHC Class I (EMR8-5) Mouse Monoclonal Antibody (BSA and Azide Free)
Immunohistochemical analysis of paraffin-embedded normal human pancreas using MHC Class I (EMR8-5) Mouse mAb. Data were generated using the standard formulation of this product.
Immunohistochemistry Image 11: MHC Class I (EMR8-5) Mouse Monoclonal Antibody (BSA and Azide Free)
Orders: 877-616-CELL (2355) [email protected] Support: 877-678-TECH (8324) [email protected] Web: cellsignal.com
For Research Use Only. Not for Use in Diagnostic Procedures.

Revision 1

Cell Signaling Technology Logo
Immunohistochemical analysis of paraffin-embedded normal human kidney using MHC Class I (EMR8-5) Mouse mAb. Data were generated using the standard formulation of this product.
Immunohistochemistry Image 12: MHC Class I (EMR8-5) Mouse Monoclonal Antibody (BSA and Azide Free)
Immunohistochemical analysis of paraffin-embedded normal human heart using MHC Class I (EMR8-5) Mouse mAb. Data were generated using the standard formulation of this product.
Immunohistochemistry Image 13: MHC Class I (EMR8-5) Mouse Monoclonal Antibody (BSA and Azide Free)
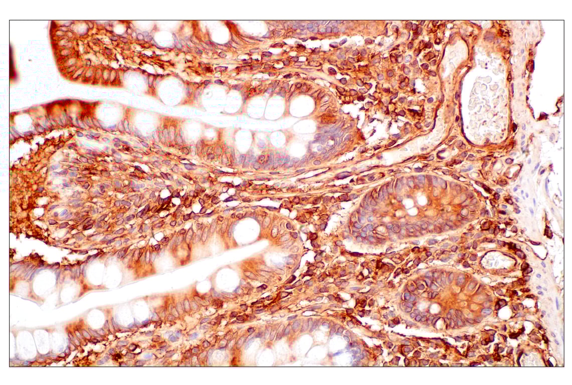
Immunohistochemical analysis of paraffin-embedded normal human colon using MHC Class I (EMR8-5) Mouse mAb. Data were generated using the standard formulation of this product.
Immunohistochemistry Image 14: MHC Class I (EMR8-5) Mouse Monoclonal Antibody (BSA and Azide Free)
Orders: 877-616-CELL (2355) [email protected] Support: 877-678-TECH (8324) [email protected] Web: cellsignal.com
For Research Use Only. Not for Use in Diagnostic Procedures.

Revision 1

Cell Signaling Technology Logo
Immunohistochemical analysis of paraffin-embedded human renal cell carcinoma using MHC Class I (EMR8-5) Mouse mAb (left) compared to concentration-matched Mouse (G3A1) mAb IgG1 Isotype Control #5415 (right).  Data were generated using the standard formulation of this product.
Immunohistochemistry Image 15: MHC Class I (EMR8-5) Mouse Monoclonal Antibody (BSA and Azide Free)
Immunohistochemical analysis of paraffin-embedded HL-60 cell pellet (left, high-expressing) or K-562 cell pellet (right, low-expressing) using MHC Class I (EMR8-5) Mouse mAb. Data were generated using the standard formulation of this product.
Immunohistochemistry Image 16: MHC Class I (EMR8-5) Mouse Monoclonal Antibody (BSA and Azide Free)
Flow cytometric analysis of K-562 cells (blue, low-expressing) and HL-60 cells (green, high-expressing) using MHC Class I (EMR8-5) Mouse mAb (solid lines) or concentration-matched Mouse (G3A1) mAb IgG1 Isotype Control #5415 (dashed lines). Anti-mouse IgG (H+L), F(ab')2 Fragment (Alexa Fluor® 488 Conjugate) #4408 was used as a secondary antibody. Data were generated using the standard formulation of this product.
Flow Cytometry Image 1: MHC Class I (EMR8-5) Mouse Monoclonal Antibody (BSA and Azide Free)
Orders: 877-616-CELL (2355) [email protected] Support: 877-678-TECH (8324) [email protected] Web: cellsignal.com
For Research Use Only. Not for Use in Diagnostic Procedures.