Revision 4

#2946

Store at -20C

CST Logo
Orders:

877-616-CELL (2355)

[email protected]

Support:

877-678-TECH (8324)

3 Trask Lane | Danvers | Massachusetts | 01923 | USA

For Research Use Only. Not for Use in Diagnostic Procedures.

Applications:
W, IHC-P

Reactivity:
H Mk

Sensitivity:
Endogenous

MW (kDa):
21

Source/Isotype:
Mouse IgG2a

UniProt ID:
#P38936

Entrez-Gene Id:
1026

Product Usage Information

Application Dilution
Western Blotting 1:2000
Immunohistochemistry (Paraffin) 1:50

Storage

Supplied in 10 mM sodium HEPES (pH 7.5), 150 mM NaCl, 100 µg/ml BSA, 50% glycerol and less than 0.02% sodium azide. Store at –20°C. Do not aliquot the antibody.

Specificity/Sensitivity

p21 Waf1/Cip1 (DCS60) Mouse Monoclonal Antibody detects endogenous levels of total p21 protein. This antibody does not cross-react with other cdk inhibitors.

Source / Purification

Monoclonal antibody is produced by immunizing animals with recombinant human p21 corresponding to the amino-terminal portion of p21.

Background

The tumor suppressor protein p21 Waf1/Cip1 acts as an inhibitor of cell cycle progression. It functions in stoichiometric relationships forming heterotrimeric complexes with cyclins and cyclin-dependent kinases. In association with CDK2 complexes, it serves to inhibit kinase activity and block progression through G1/S (1). However, p21 may also enhance assembly and activity in complexes of CDK4 or CDK6 and cyclin D (2). The carboxy-terminal region of p21 is sufficient to bind and inhibit PCNA, a subunit of DNA polymerase, and may coordinate DNA replication with cell cycle progression (3). Upon UV damage or during cell cycle stages when cdc2/cyclin B or CDK2/cyclin A are active, p53 is phosphorylated and upregulates p21 transcription via a p53-responsive element (4). Protein levels of p21 are downregulated through ubiquitination and proteasomal degradation (5).

Species Reactivity

Species reactivity is determined by testing in at least one approved application (e.g., western blot).

Western Blot Buffer

IMPORTANT: For western blots, incubate membrane with diluted primary antibody in 5% w/v nonfat dry milk, 1X TBS, 0.1% Tween® 20 at 4°C with gentle shaking, overnight.

Applications Key

W: Western Blotting IHC-P: Immunohistochemistry (Paraffin)

Cross-Reactivity Key

H: Human Mk: Monkey

Trademarks and Patents

Cell Signaling Technology is a trademark of Cell Signaling Technology, Inc.

All other trademarks are the property of their respective owners. Visit cellsignal.com/trademarks for more information.

Limited Uses

Except as otherwise expressly agreed in a writing signed by a legally authorized representative of CST, the following terms apply to Products provided by CST, its affiliates or its distributors. Any Customer's terms and conditions that are in addition to, or different from, those contained herein, unless separately accepted in writing by a legally authorized representative of CST, are rejected and are of no force or effect.

Products are labeled with For Research Use Only or a similar labeling statement and have not been approved, cleared, or licensed by the FDA or other regulatory foreign or domestic entity, for any purpose. Customer shall not use any Product for any diagnostic or therapeutic purpose, or otherwise in any manner that conflicts with its labeling statement. Products sold or licensed by CST are provided for Customer as the end-user and solely for research and development uses. Any use of Product for diagnostic, prophylactic or therapeutic purposes, or any purchase of Product for resale (alone or as a component) or other commercial purpose, requires a separate license from CST. Customer shall (a) not sell, license, loan, donate or otherwise transfer or make available any Product to any third party, whether alone or in combination with other materials, or use the Products to manufacture any commercial products, (b) not copy, modify, reverse engineer, decompile, disassemble or otherwise attempt to discover the underlying structure or technology of the Products, or use the Products for the purpose of developing any products or services that would compete with CST products or services, (c) not alter or remove from the Products any trademarks, trade names, logos, patent or copyright notices or markings, (d) use the Products solely in accordance with CST Product Terms of Sale and any applicable documentation, and (e) comply with any license, terms of service or similar agreement with respect to any third party products or services used by Customer in connection with the Products.

Orders: 877-616-CELL (2355) [email protected] Support: 877-678-TECH (8324) [email protected] Web: cellsignal.com
For Research Use Only. Not for Use in Diagnostic Procedures.

Revision 4

Cell Signaling Technology Logo
Western blot analysis of extracts from control HeLa cells (lane 1) or p21 Waf1/Cip1 knockout HeLa cells (lane 2) using p21 Waf1/Cip1 (DCS60) Mouse mAb (upper) or α-Actinin (D6F6) XP® Rabbit mAb #6487 (lower). The absence of signal in the p21 Waf1/Cip1 knockout HeLa cells confirms the specificity of the antibody for p21 Waf1/Cip1.
Western Blotting Image 1: p21 Waf1/Cip1 (DCS60) Mouse Monoclonal Antibody
Western blot analysis of extracts from 293, MCF-7 and COS cells, using p21 Waf1/Cip1 (DCS60) Mouse mAb.
Western Blotting Image 2: p21 Waf1/Cip1 (DCS60) Mouse Monoclonal Antibody
Western blot analysis of extracts from 293 and Hela cells, transfected with control (-) or p21 Waf1/Cip1 (+) siRNA. p21 Waf1/Cip1 was detected using p21 Waf1/Cip1 (DCS60) Mouse Monoclonal Antibody #2946, p42 MAPK was detected using p42 MAPK (3A7) Mouse Monoclonal Antibody #9107. The p21 Waf1/Cip1 monoclonal antibody confirms silencing of p21 expression, and the p42 monoclonal antibody is used to control for loading and specificity of p21 Waf1/Cip1 siRNA.
Western Blotting Image 3: p21 Waf1/Cip1 (DCS60) Mouse Monoclonal Antibody
Orders: 877-616-CELL (2355) [email protected] Support: 877-678-TECH (8324) [email protected] Web: cellsignal.com
For Research Use Only. Not for Use in Diagnostic Procedures.

Revision 4

Cell Signaling Technology Logo
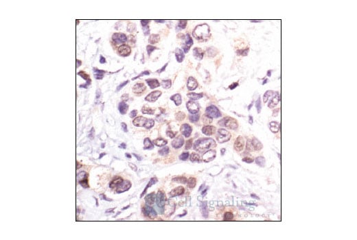
Immunohistochemical analysis of paraffin-embedded human breast carcinoma, showing nuclear and cytoplasmic localization, using p21 Waf1/Cip1 (DCS60) Mouse mAb.
Immunohistochemistry Image 1: p21 Waf1/Cip1 (DCS60) Mouse Monoclonal Antibody
Orders: 877-616-CELL (2355) [email protected] Support: 877-678-TECH (8324) [email protected] Web: cellsignal.com
For Research Use Only. Not for Use in Diagnostic Procedures.