Revision 3

#30020

Store at -20C

CST Logo
Orders:

877-616-CELL (2355)

[email protected]

Support:

877-678-TECH (8324)

3 Trask Lane | Danvers | Massachusetts | 01923 | USA

For Research Use Only. Not for Use in Diagnostic Procedures.

Applications:
W, W-S, IP, IHC-P, IF-F, IF-IC, FC-FP

Reactivity:
H M R

Sensitivity:
Endogenous

MW (kDa):
140, 80

Source/Isotype:
Rabbit IgG

UniProt ID:
#Q4VCS5

Entrez-Gene Id:
154796

Product Usage Information

Application Dilution
Western Blotting 1:1000
Simple Western™ 1:50 - 1:250
Immunoprecipitation 1:100
Immunohistochemistry (Paraffin) 1:250 - 1:1000
Immunofluorescence (Frozen) 1:800 - 1:1600
Immunofluorescence (Immunocytochemistry) 1:200 - 1:400
Flow Cytometry (Fixed/Permeabilized) 1:400 - 1:1600

Storage

Supplied in 10 mM sodium HEPES (pH 7.5), 150 mM NaCl, 100 µg/mL BSA, 50% glycerol, and less than 0.02% sodium azide. Store at –20°C. Do not aliquot the antibody.

Specificity/Sensitivity

Angiomotin (F7W8U) Rabbit Monoclonal Antibody recognizes endogenous levels of total angiomotin protein. Based on the sequence of the immunogenic peptide, this antibody is not expected to cross-react with the AMOT family members AMOTL1 or AMOTL2.

Source / Purification

Monoclonal antibody is produced by immunizing animals with a synthetic peptide corresponding to residues surrounding Pro1075 of human angiomotin protein.

Background

Angiomotin (AMOT) is a widely expressed cell junction protein initially identified through its ability to bind angiostatin. Alternative splicing results in two isoforms of angiomotin, the full-length p130 and the amino-terminally truncated p80. These isoforms, along with angiomotin-like 1 (AMOTL1) and angiomotin-like 2 (AMOTL2), comprise the Motin protein family. Angiomotin is important in endothelial cell polarity, migration, and blood vessel formation during development, as well as in signaling through small GTPases and the Hippo/YAP pathway (reviewed in 1). Research studies have shown that angiomotin expression regulates migration and proliferation of breast cancer cells (2,3).

Species Reactivity

Species reactivity is determined by testing in at least one approved application (e.g., western blot).

Western Blot Buffer

IMPORTANT: For western blots, incubate membrane with diluted primary antibody in 5% w/v nonfat dry milk, 1X TBS, 0.1% Tween® 20 at 4°C with gentle shaking, overnight.

Applications Key

W: Western Blotting W-S: Simple Western™ IP: Immunoprecipitation IHC-P: Immunohistochemistry (Paraffin) IF-F: Immunofluorescence (Frozen) IF-IC: Immunofluorescence (Immunocytochemistry) FC-FP: Flow Cytometry (Fixed/Permeabilized)

Cross-Reactivity Key

H: Human M: Mouse R: Rat

Trademarks and Patents

Cell Signaling Technology is a trademark of Cell Signaling Technology, Inc.

All other trademarks are the property of their respective owners. Visit cellsignal.com/trademarks for more information.

Limited Uses

Except as otherwise expressly agreed in a writing signed by a legally authorized representative of CST, the following terms apply to Products provided by CST, its affiliates or its distributors. Any Customer's terms and conditions that are in addition to, or different from, those contained herein, unless separately accepted in writing by a legally authorized representative of CST, are rejected and are of no force or effect.

Products are labeled with For Research Use Only or a similar labeling statement and have not been approved, cleared, or licensed by the FDA or other regulatory foreign or domestic entity, for any purpose. Customer shall not use any Product for any diagnostic or therapeutic purpose, or otherwise in any manner that conflicts with its labeling statement. Products sold or licensed by CST are provided for Customer as the end-user and solely for research and development uses. Any use of Product for diagnostic, prophylactic or therapeutic purposes, or any purchase of Product for resale (alone or as a component) or other commercial purpose, requires a separate license from CST. Customer shall (a) not sell, license, loan, donate or otherwise transfer or make available any Product to any third party, whether alone or in combination with other materials, or use the Products to manufacture any commercial products, (b) not copy, modify, reverse engineer, decompile, disassemble or otherwise attempt to discover the underlying structure or technology of the Products, or use the Products for the purpose of developing any products or services that would compete with CST products or services, (c) not alter or remove from the Products any trademarks, trade names, logos, patent or copyright notices or markings, (d) use the Products solely in accordance with CST Product Terms of Sale and any applicable documentation, and (e) comply with any license, terms of service or similar agreement with respect to any third party products or services used by Customer in connection with the Products.

Orders: 877-616-CELL (2355) [email protected] Support: 877-678-TECH (8324) [email protected] Web: cellsignal.com
For Research Use Only. Not for Use in Diagnostic Procedures.

Revision 3

Cell Signaling Technology Logo
Western blot analysis of extracts from various cell lines using Angiomotin (F7W8U) Rabbit mAb (upper) or GAPDH (D16H11) XP® Rabbit mAb #5174 (lower). Low expression of angiomotin protein in MCF7, RAW 264.7, and MTLn3 cells is consistent with the predicted expression pattern.
Western Blotting Image 1: Angiomotin (F7W8U) Rabbit Monoclonal Antibody
Simple WesternTM analysis of lysates (0.1 mg/ml) from OV-CAR3 cells using Angiomotin (F7W8U) Rabbit mAb #30020. The virtual lane view (left) shows the target band (as indicated) at 1:50 and 1:250 dilutions of primary antibody. The corresponding electropherogram view (right) plots chemiluminescence by molecular weight along the capillary at 1:50 (blue line) and 1:250 (green line) dilutions of primary antibody. This experiment was performed under reducing conditions on the JessTM Simple Western instrument from ProteinSimple, a BioTechne brand, using the 12-230kDa.
Western Blotting Image 1: Angiomotin (F7W8U) Rabbit Monoclonal Antibody
Immunoprecipitation of angiomotin protein from 293T cell extracts. Lane 1 is 10% input, lane 2 is Rabbit (DA1E) mAb IgG XP® Isotype Control #3900, and lane 3 is Angiomotin (F7W8U) Rabbit mAb. Western blot analysis was performed using Angiomotin (F7W8U) Rabbit mAb. Anti-rabbit IgG, HRP-linked Antibody #7074 was used as a secondary antibody.
Immunoprecipitation Image 1: Angiomotin (F7W8U) Rabbit Monoclonal Antibody
Orders: 877-616-CELL (2355) [email protected] Support: 877-678-TECH (8324) [email protected] Web: cellsignal.com
For Research Use Only. Not for Use in Diagnostic Procedures.

Revision 3

Cell Signaling Technology Logo
Immunohistochemical analysis of paraffin-embedded human colon adenocarcinoma using Angiomotin (F7W8U) Rabbit mAb.
Immunohistochemistry Image 1: Angiomotin (F7W8U) Rabbit Monoclonal Antibody
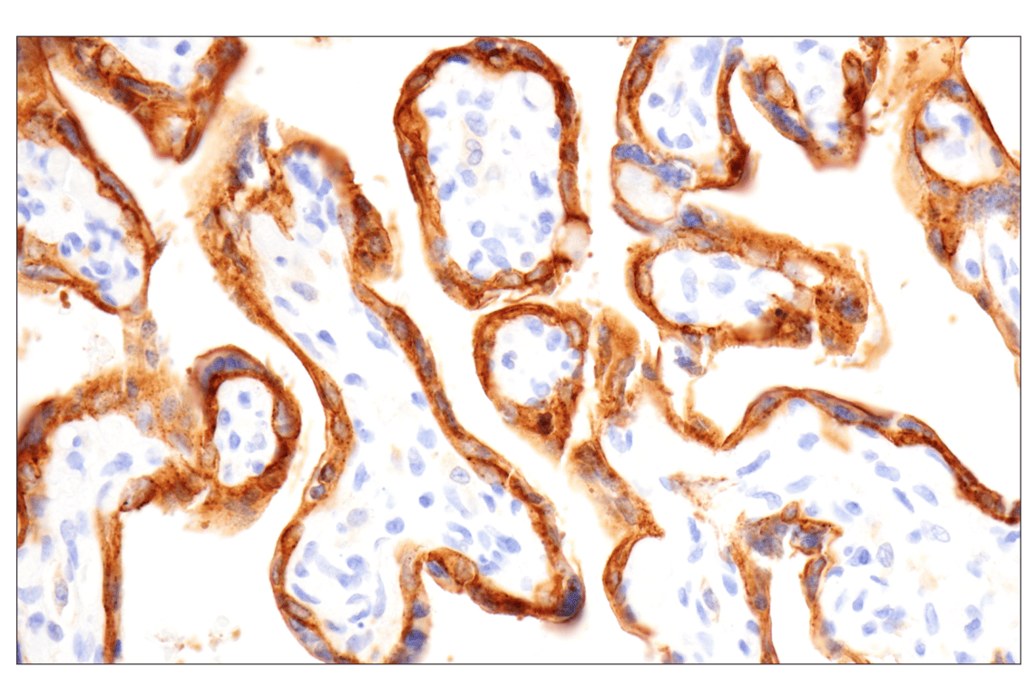
Immunohistochemical analysis of paraffin-embedded normal human placenta using Angiomotin (F7W8U) Rabbit mAb.
Immunohistochemistry Image 2: Angiomotin (F7W8U) Rabbit Monoclonal Antibody
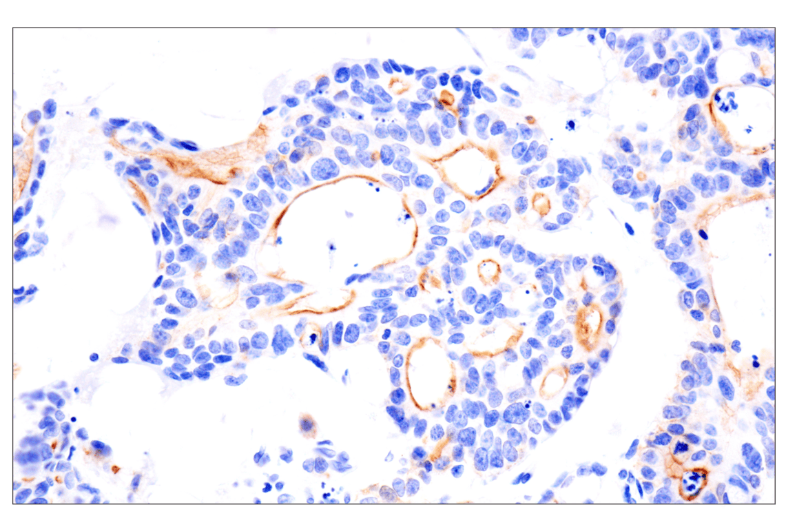
Immunohistochemical analysis of paraffin-embedded normal human epididymis using Angiomotin (F7W8U) Rabbit mAb.
Immunohistochemistry Image 3: Angiomotin (F7W8U) Rabbit Monoclonal Antibody
Orders: 877-616-CELL (2355) [email protected] Support: 877-678-TECH (8324) [email protected] Web: cellsignal.com
For Research Use Only. Not for Use in Diagnostic Procedures.

Revision 3

Cell Signaling Technology Logo
Immunohistochemical analysis of paraffin-embedded mouse placenta using Angiomotin (F7W8U) Rabbit mAb (left) compared to concentration-matched Rabbit (DA1E) mAb IgG XP® Isotype Control #3900 (right). 
Immunohistochemistry Image 4: Angiomotin (F7W8U) Rabbit Monoclonal Antibody
Immunohistochemical analysis of paraffin-embedded 293T cell pellet (left, positive) or MCF7 cell pellet (right, negative) using Angiomotin (F7W8U) Rabbit mAb.
Immunohistochemistry Image 5: Angiomotin (F7W8U) Rabbit Monoclonal Antibody
Confocal immunofluorescent analysis of fixed frozen mouse placenta, labeled with Angiomotin (F7W8U) Rabbit mAb (left, green) and co-labeled with DyLight 554 Phalloidin #13054 (right, red) and ProLong Gold Antifade Reagent with DAPI #8961 (right, blue).
Immunofluorescence Image 1: Angiomotin (F7W8U) Rabbit Monoclonal Antibody
Orders: 877-616-CELL (2355) [email protected] Support: 877-678-TECH (8324) [email protected] Web: cellsignal.com
For Research Use Only. Not for Use in Diagnostic Procedures.

Revision 3

Cell Signaling Technology Logo
Confocal immunofluorescent analysis of NCI-H520 cells (left, high-expressing) or MCF7 cells (right, low-expressing) using Angiomotin (F7W8U) Rabbit mAb (green) and DAPI #4083 (blue).
Immunofluorescence Image 1: Angiomotin (F7W8U) Rabbit Monoclonal Antibody
Flow cytometric analysis of fixed/permeabilized RAW 264.7 cells (blue, negative) and C2C12 cells (green, positive) using Angiomotin (F7W8U) Rabbit mAb (solid lines) or concentration-matched Rabbit (DA1E) mAb IgG XP® Isotype Control #3900 (dashed lines). Anti-rabbit IgG F(ab')2 Fragment (Alexa Fluor® 488 Conjugate) #4412 was used as a secondary antibody.
Flow Cytometry Image 1: Angiomotin (F7W8U) Rabbit Monoclonal Antibody
Flow cytometric analysis of fixed/permeabilized MCF7 cells (blue, negative) and 293T cells (green, positive) using Angiomotin (F7W8U) Rabbit mAb (solid lines) or concentration-matched Rabbit (DA1E) mAb IgG XP® Isotype Control #3900 (dashed lines). Anti-rabbit IgG F(ab')2 Fragment (Alexa Fluor® 488 Conjugate) #4412 was used as a secondary antibody.
Flow Cytometry Image 2: Angiomotin (F7W8U) Rabbit Monoclonal Antibody
Orders: 877-616-CELL (2355) [email protected] Support: 877-678-TECH (8324) [email protected] Web: cellsignal.com
For Research Use Only. Not for Use in Diagnostic Procedures.