Revision 4

#39382

Store at -20C

CST Logo
Orders:

877-616-CELL (2355)

[email protected]

Support:

877-678-TECH (8324)

3 Trask Lane | Danvers | Massachusetts | 01923 | USA

For Research Use Only. Not for Use in Diagnostic Procedures.

Applications:
W, IHC-P

Reactivity:
H M

Sensitivity:
Endogenous

MW (kDa):
41

Source/Isotype:
Rabbit IgG

UniProt ID:
#O00622

Entrez-Gene Id:
3491

Product Usage Information

Application Dilution
Western Blotting 1:1000
Immunohistochemistry (Paraffin) 1:50

Storage

Supplied in 10 mM sodium HEPES (pH 7.5), 150 mM NaCl, 100 µg/ml BSA, 50% glycerol and less than 0.02% sodium azide. Store at –20°C. Do not aliquot the antibody.

For a carrier free (BSA and azide free) version of this product see product #56138.

Specificity/Sensitivity

CYR61 (E5W3H) Rabbit Monoclonal Antibody recognizes endogenous levels of total CYR61 protein. Based on amino acid sequence comparisons, this antibody is not predicted to cross-react with other CCN-family proteins.

Species predicted to react based on 100% sequence homology

Rat

Source / Purification

Monoclonal antibody is produced by immunizing animals with a synthetic peptide corresponding to residues surrounding Asn103 of human CYR61 protein.

Background

Cysteine-rich protein 61 (CYR61, CCN1) is a secreted, matrix-associated protein belonging to the CCN family, a protein group characterized primarily by its high cysteine content (1). CYR61 regulates diverse cellular events including cell proliferation, differentiation, angiogenesis, and extracellular matrix formation. Research studies have implicated CYR61 in the development or progression of various cancers, including breast, prostate, lung, and hepatocellular carcinoma (1-4). Notably, its role in promoting cancer progression appears to be context-dependent. For example, investigators have shown that overexpression of CYR61 was positively associated with invasiveness of breast cancer cell lines (2), whereas in primary prostate tumors, expression levels were inversely correlated with tumor aggressiveness (3). In additional research studies of hepatocellular carcinoma, where CYR61 expression was positively associated with cancer progression, CYR61 was shown to be transcriptionally regulated by the Wnt/β-catenin signaling pathway (1).

Species Reactivity

Species reactivity is determined by testing in at least one approved application (e.g., western blot).

Western Blot Buffer

IMPORTANT: For western blots, incubate membrane with diluted primary antibody in 5% w/v BSA, 1X TBS, 0.1% Tween® 20 at 4°C with gentle shaking, overnight.

Applications Key

W: Western Blotting IHC-P: Immunohistochemistry (Paraffin)

Cross-Reactivity Key

H: Human M: Mouse

Trademarks and Patents

Cell Signaling Technology is a trademark of Cell Signaling Technology, Inc.

All other trademarks are the property of their respective owners. Visit cellsignal.com/trademarks for more information.

Limited Uses

Except as otherwise expressly agreed in a writing signed by a legally authorized representative of CST, the following terms apply to Products provided by CST, its affiliates or its distributors. Any Customer's terms and conditions that are in addition to, or different from, those contained herein, unless separately accepted in writing by a legally authorized representative of CST, are rejected and are of no force or effect.

Products are labeled with For Research Use Only or a similar labeling statement and have not been approved, cleared, or licensed by the FDA or other regulatory foreign or domestic entity, for any purpose. Customer shall not use any Product for any diagnostic or therapeutic purpose, or otherwise in any manner that conflicts with its labeling statement. Products sold or licensed by CST are provided for Customer as the end-user and solely for research and development uses. Any use of Product for diagnostic, prophylactic or therapeutic purposes, or any purchase of Product for resale (alone or as a component) or other commercial purpose, requires a separate license from CST. Customer shall (a) not sell, license, loan, donate or otherwise transfer or make available any Product to any third party, whether alone or in combination with other materials, or use the Products to manufacture any commercial products, (b) not copy, modify, reverse engineer, decompile, disassemble or otherwise attempt to discover the underlying structure or technology of the Products, or use the Products for the purpose of developing any products or services that would compete with CST products or services, (c) not alter or remove from the Products any trademarks, trade names, logos, patent or copyright notices or markings, (d) use the Products solely in accordance with CST Product Terms of Sale and any applicable documentation, and (e) comply with any license, terms of service or similar agreement with respect to any third party products or services used by Customer in connection with the Products.

Orders: 877-616-CELL (2355) [email protected] Support: 877-678-TECH (8324) [email protected] Web: cellsignal.com
For Research Use Only. Not for Use in Diagnostic Procedures.

Revision 4

Cell Signaling Technology Logo
Western blot analysis of extracts from various cell lines using CYR61 (E5W3H) Rabbit mAb (upper) and β-Actin (D6A8) Rabbit mAb #8457 (lower).
Western Blotting Image 1: CYR61 (E5W3H) Rabbit Monoclonal Antibody
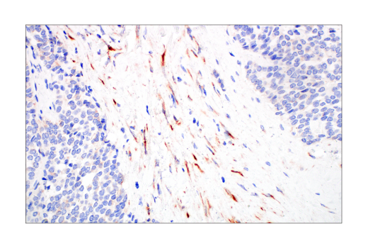
Immunohistochemical analysis of paraffin-embedded human urothelial carcinoma using CYR61 (E5W3H) Rabbit mAb.
Immunohistochemistry Image 1: CYR61 (E5W3H) Rabbit Monoclonal Antibody
Immunohistochemical analysis of paraffin-embedded OVCAR-8 (NIH) cell pellet (left, positive) or HT-29 cell pellet (right, negative) using CYR61 (E5W3H) Rabbit mAb.
Immunohistochemistry Image 2: CYR61 (E5W3H) Rabbit Monoclonal Antibody
Orders: 877-616-CELL (2355) [email protected] Support: 877-678-TECH (8324) [email protected] Web: cellsignal.com
For Research Use Only. Not for Use in Diagnostic Procedures.

Revision 4

Cell Signaling Technology Logo
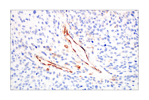
Immunohistochemical analysis of paraffin-embedded human lung adenocarcinoma using CYR61 (E5W3H) Rabbit mAb.
Immunohistochemistry Image 3: CYR61 (E5W3H) Rabbit Monoclonal Antibody
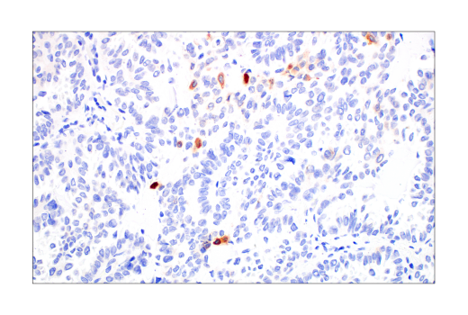
Immunohistochemical analysis of paraffin-embedded human pancreatic neuroendocrine tumor using CYR61 (E5W3H) Rabbit mAb.
Immunohistochemistry Image 4: CYR61 (E5W3H) Rabbit Monoclonal Antibody
Immunohistochemical analysis of paraffin-embedded human prostate adenocarcinoma using CYR61 (E5W3H) Rabbit mAb.
Immunohistochemistry Image 5: CYR61 (E5W3H) Rabbit Monoclonal Antibody
Orders: 877-616-CELL (2355) [email protected] Support: 877-678-TECH (8324) [email protected] Web: cellsignal.com
For Research Use Only. Not for Use in Diagnostic Procedures.