Cell Signaling Technology Logo - Extra Large
Trial Size Available Flag
Recombinant Flag
Recombinant: Superior lot-to-lot consistency, continuous supply, and animal-free manufacturing.

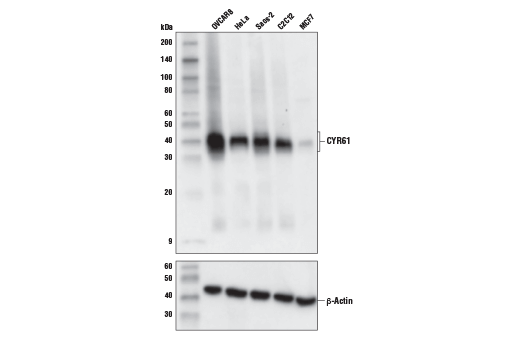
CYR61 (E5W3H) Rabbit Monoclonal Antibody #39382

Filter:
  • WB
  • IHC

    Product Specifications

    REACTIVITY H M
    SENSITIVITY Endogenous
    MW (kDa) 41
    Source/Isotype Rabbit IgG
    Application Key:
    • WB-Western Blotting 
    • IHC-Immunohistochemistry 
    Species Cross-Reactivity Key:
    • H-Human 
    • M-Mouse 

    Product Information

    Product Usage Information

    Application Dilution
    Western Blotting 1:1000
    Immunohistochemistry (Paraffin) 1:50

    Storage

    Supplied in 10 mM sodium HEPES (pH 7.5), 150 mM NaCl, 100 µg/ml BSA, 50% glycerol and less than 0.02% sodium azide. Store at –20°C. Do not aliquot the antibody.

    For a carrier free (BSA and azide free) version of this product see product #56138.

    Protocol

    Specificity / Sensitivity

    CYR61 (E5W3H) Rabbit Monoclonal Antibody recognizes endogenous levels of total CYR61 protein. Based on amino acid sequence comparisons, this antibody is not predicted to cross-react with other CCN-family proteins.

    Species Reactivity:

    Human, Mouse

    The antigen sequence used to produce this antibody shares 100% sequence homology with the species listed here, but reactivity has not been tested or confirmed to work by CST. Use of this product with these species is not covered under our Product Performance Guarantee.

    Species predicted to react based on 100% sequence homology:

    Rat

    Source / Purification

    Monoclonal antibody is produced by immunizing animals with a synthetic peptide corresponding to residues surrounding Asn103 of human CYR61 protein.

    Background

    Cysteine-rich protein 61 (CYR61, CCN1) is a secreted, matrix-associated protein belonging to the CCN family, a protein group characterized primarily by its high cysteine content (1). CYR61 regulates diverse cellular events including cell proliferation, differentiation, angiogenesis, and extracellular matrix formation. Research studies have implicated CYR61 in the development or progression of various cancers, including breast, prostate, lung, and hepatocellular carcinoma (1-4). Notably, its role in promoting cancer progression appears to be context-dependent. For example, investigators have shown that overexpression of CYR61 was positively associated with invasiveness of breast cancer cell lines (2), whereas in primary prostate tumors, expression levels were inversely correlated with tumor aggressiveness (3). In additional research studies of hepatocellular carcinoma, where CYR61 expression was positively associated with cancer progression, CYR61 was shown to be transcriptionally regulated by the Wnt/β-catenin signaling pathway (1).

    Alternate Names

    CCN family member 1; CCN1; cellular communication network factor 1; CYR61; cysteine rich angiogenic inducer 61; Cysteine-rich angiogenic inducer 61; cysteine-rich heparin-binding protein 61; cysteine-rich, angiogenic inducer, 61; cysteine-rich, anigogenic inducer, 61; GIG1; IBP-10; IGF-binding protein 10; IGFBP-10; IGFBP10; Insulin-like growth factor-binding protein 10; Protein CYR61; Protein GIG1

    For Research Use Only. Not for Use in Diagnostic Procedures.
    Cell Signaling Technology is a trademark of Cell Signaling Technology, Inc.
    All other trademarks are the property of their respective owners. Visit our Trademark Information page.