Revision 2

#4174

Store at -20C

CST Logo
Orders:

877-616-CELL (2355)

[email protected]

Support:

877-678-TECH (8324)

3 Trask Lane | Danvers | Massachusetts | 01923 | USA

For Research Use Only. Not for Use in Diagnostic Procedures.

Background

TPA (12-O-tetradecanoylphorbol-13-acetate) / PMA (phorbol-12-myristate-13-acetate) is the most commonly used phorbol ester. It binds and activates protein kinase C, causing a wide range of effects in cells and tissues (1,2). TPA has been demonstrated to be a potent tumor promoter in mouse skin (3). Conversely, it has been shown to be an effective cancer therapeutic agent in myelocytic leukemia patients, and has been indicated as a potential colorectal cancer therapeutic (4-5). TPA has also been shown to increase white blood cell and neutrophil counts in solid tumor cancer patients (6).

Molecular Formula

C36H56O8

Molecular Weight

616.83 g/mol

Purity

>99.5%

CAS

16561-29-8

Solubility

Soluble in DMSO and EtOH at 25mg/ml.

Storage

Store lyophilized or in solution at -20ºC, desiccated. Protect from light. In lyophilized form, the chemical is stable for 24 months. Once in solution, use within 3 months to prevent loss of potency. Aliquot to avoid multiple freeze/thaw cycles.

Directions for Use

TPA is supplied as a 1 mg powder. Store at -20C. Before use, dissolve powder in 1 ml DMSO to yield a 1.6 mM stock solution. For working concentration of 200 μM, add 125 μl stock solution to 875 μl DMSO. Treat cells with 200 nM TPA for 20-30 minutes.

TPA is soluble in DMSO and ethanol.

Trademarks and Patents

Cell Signaling Technology is a trademark of Cell Signaling Technology, Inc.

All other trademarks are the property of their respective owners. Visit cellsignal.com/trademarks for more information.

Limited Uses

Except as otherwise expressly agreed in a writing signed by a legally authorized representative of CST, the following terms apply to Products provided by CST, its affiliates or its distributors. Any Customer's terms and conditions that are in addition to, or different from, those contained herein, unless separately accepted in writing by a legally authorized representative of CST, are rejected and are of no force or effect.

Products are labeled with For Research Use Only or a similar labeling statement and have not been approved, cleared, or licensed by the FDA or other regulatory foreign or domestic entity, for any purpose. Customer shall not use any Product for any diagnostic or therapeutic purpose, or otherwise in any manner that conflicts with its labeling statement. Products sold or licensed by CST are provided for Customer as the end-user and solely for research and development uses. Any use of Product for diagnostic, prophylactic or therapeutic purposes, or any purchase of Product for resale (alone or as a component) or other commercial purpose, requires a separate license from CST. Customer shall (a) not sell, license, loan, donate or otherwise transfer or make available any Product to any third party, whether alone or in combination with other materials, or use the Products to manufacture any commercial products, (b) not copy, modify, reverse engineer, decompile, disassemble or otherwise attempt to discover the underlying structure or technology of the Products, or use the Products for the purpose of developing any products or services that would compete with CST products or services, (c) not alter or remove from the Products any trademarks, trade names, logos, patent or copyright notices or markings, (d) use the Products solely in accordance with CST Product Terms of Sale and any applicable documentation, and (e) comply with any license, terms of service or similar agreement with respect to any third party products or services used by Customer in connection with the Products.

Orders: 877-616-CELL (2355) [email protected] Support: 877-678-TECH (8324) [email protected] Web: cellsignal.com
For Research Use Only. Not for Use in Diagnostic Procedures.

Revision 2

Cell Signaling Technology Logo
Western blot analysis of extracts from serum-starved 293 cells, untreated (lane 1), stimulated with TPA treatment (lanes 2 & 3), and treated with CIP and λ phosphatase (lane 3), using Phospho-PKC (pan) (βII Ser660) Antibody #9371 or PKCα Antibody #2056.
undefined Image 1: TPA (12-O-Tetradecanoylphorbol-13-Acetate)
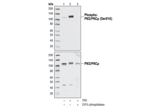
Western blot analysis of extracts from serum-starved 293 cells, untreated (lane 1), stimulated with TPA treatment (lanes 2 & 3), and treated with CIP and λ phosphatase (lane 3), using Phospho-PKD/PKCμ (Ser916) Antibody #2051 or PKD/PKCμ Antibody.
undefined Image 2: TPA (12-O-Tetradecanoylphorbol-13-Acetate)
Orders: 877-616-CELL (2355) [email protected] Support: 877-678-TECH (8324) [email protected] Web: cellsignal.com
For Research Use Only. Not for Use in Diagnostic Procedures.