Revision 1

#54523

Store at -20C

CST Logo
Orders:

877-616-CELL (2355)

[email protected]

Support:

877-678-TECH (8324)

3 Trask Lane | Danvers | Massachusetts | 01923 | USA

For Research Use Only. Not for Use in Diagnostic Procedures.

Applications:
W, IP

Reactivity:
H M R

Sensitivity:
Endogenous

MW (kDa):
34, 44

Source/Isotype:
Rabbit IgG

UniProt ID:
#P11309

Entrez-Gene Id:
5292

Product Usage Information

Application Dilution
Western Blotting 1:1000
Immunoprecipitation 1:200

Storage

Supplied in 10 mM sodium HEPES (pH 7.5), 150 mM NaCl, 100 µg/ml BSA, 50% glycerol and less than 0.02% sodium azide. Store at –20°C. Do not aliquot the antibody.

Specificity/Sensitivity

Pim-1 (D8D7Y) Rabbit Monoclonal Antibody recognizes endogenous levels of total Pim-1 protein. No cross reactivity was detected with other Pim family members.

Source / Purification

Monoclonal antibody is produced by immunizing animals with recombinant protein specific to a central region of human Pim-1 protein.

Background

Pim proteins (Pim-1, Pim-2 and Pim-3) are oncogene-encoded serine/threonine kinases (1). Pim-1, a serine/threonine kinase highly expressed in hematopoietic cells, plays a critical role in the transduction of mitogenic signals and is rapidly induced by a variety of growth factors and cytokines (1-4). Pim-1 cooperates with c-Myc in lymphoid cell transformation and protects cells from growth factor withdrawal and genotoxic stress-induced apoptosis (5,6). Pim-1 also enhances the transcriptional activity of c-Myb through direct phosphorylation within the c-Myb DNA binding domain as well as phosphorylation of the transcriptional coactivator p100 (7,8). Hypermutations of the Pim-1 gene are found in B-cell diffuse large cell lymphomas (9). Phosphorylation of Pim-1 at Tyr218 by Etk occurs following IL-6 stimulation and correlates with an increase in Pim-1 activity (10). Various Pim substrates have been identified; Bad is phosphorylated by both Pim-1 and Pim-2 at Ser112 and this phosphorylation reverses Bad-induced cell apoptosis (11,12).
The corresponding pim-1 gene encodes a pair of proteins through use of different translation initiation sites. Both larger 44 kDa (Pim-1L) and smaller 33 kDa (Pim-1S) proteins are active kinases, but differ in stability (13).

Species Reactivity

Species reactivity is determined by testing in at least one approved application (e.g., western blot).

Western Blot Buffer

IMPORTANT: For western blots, incubate membrane with diluted primary antibody in 5% w/v BSA, 1X TBS, 0.1% Tween® 20 at 4°C with gentle shaking, overnight.

Applications Key

W: Western Blotting IP: Immunoprecipitation

Cross-Reactivity Key

H: Human M: Mouse R: Rat

Trademarks and Patents

Cell Signaling Technology is a trademark of Cell Signaling Technology, Inc.

All other trademarks are the property of their respective owners. Visit cellsignal.com/trademarks for more information.

Limited Uses

Except as otherwise expressly agreed in a writing signed by a legally authorized representative of CST, the following terms apply to Products provided by CST, its affiliates or its distributors. Any Customer's terms and conditions that are in addition to, or different from, those contained herein, unless separately accepted in writing by a legally authorized representative of CST, are rejected and are of no force or effect.

Products are labeled with For Research Use Only or a similar labeling statement and have not been approved, cleared, or licensed by the FDA or other regulatory foreign or domestic entity, for any purpose. Customer shall not use any Product for any diagnostic or therapeutic purpose, or otherwise in any manner that conflicts with its labeling statement. Products sold or licensed by CST are provided for Customer as the end-user and solely for research and development uses. Any use of Product for diagnostic, prophylactic or therapeutic purposes, or any purchase of Product for resale (alone or as a component) or other commercial purpose, requires a separate license from CST. Customer shall (a) not sell, license, loan, donate or otherwise transfer or make available any Product to any third party, whether alone or in combination with other materials, or use the Products to manufacture any commercial products, (b) not copy, modify, reverse engineer, decompile, disassemble or otherwise attempt to discover the underlying structure or technology of the Products, or use the Products for the purpose of developing any products or services that would compete with CST products or services, (c) not alter or remove from the Products any trademarks, trade names, logos, patent or copyright notices or markings, (d) use the Products solely in accordance with CST Product Terms of Sale and any applicable documentation, and (e) comply with any license, terms of service or similar agreement with respect to any third party products or services used by Customer in connection with the Products.

Orders: 877-616-CELL (2355) [email protected] Support: 877-678-TECH (8324) [email protected] Web: cellsignal.com
For Research Use Only. Not for Use in Diagnostic Procedures.

Revision 1

Cell Signaling Technology Logo
Western blot anlaysis of extracts from various cell lines using Pim-1 (D8D7Y) Rabbit mAb (upper) or β-Actin (D6A8) Rabbit mAb #8457 (lower).
Western Blotting Image 1: Pim-1 (D8D7Y) Rabbit Monoclonal Antibody
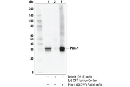
Immunoprecipitatin of Pim-1 from K-562 cell extracts. Lane 1 represents 10% input, lane 2 is precipitated with Rabbit (DA1E) mAb IgG XP® Isotype Control #3900, and lane 3 is Pim-1 (D8D7Y) Rabbit mAb. Western blot was performed using Pim-1 (D8D7Y) Rabbit mAb. A conformation-specific secondary antibody was used to avoid cross-reactivity with IgG.
Immunoprecipitation Image 1: Pim-1 (D8D7Y) Rabbit Monoclonal Antibody
Orders: 877-616-CELL (2355) [email protected] Support: 877-678-TECH (8324) [email protected] Web: cellsignal.com
For Research Use Only. Not for Use in Diagnostic Procedures.