Pim-1 (D8D7Y) Rabbit Monoclonal Antibody #54523
- WB
- IP
Product Specifications
| REACTIVITY | H M R |
| SENSITIVITY | Endogenous |
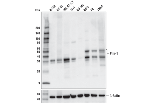
| MW (kDa) | 34, 44 |
| Source/Isotype | Rabbit IgG |
Application Key:
- WB-Western Blotting
- IP-Immunoprecipitation
Species Cross-Reactivity Key:
- H-Human
- M-Mouse
- R-Rat
Product Information
Product Usage Information
| Application | Dilution |
|---|---|
| Western Blotting | 1:1000 |
| Immunoprecipitation | 1:200 |
Storage
Protocol
Specificity / Sensitivity
Species Reactivity:
Source / Purification
Background
The corresponding pim-1 gene encodes a pair of proteins through use of different translation initiation sites. Both larger 44 kDa (Pim-1L) and smaller 33 kDa (Pim-1S) proteins are active kinases, but differ in stability (13).
- Mikkers, H. et al. (2004) Mol Cell Biol 24, 6104-15.
- Selten, G. et al. (1986) Cell 46, 603-11.
- Meeker, T.C. et al. (1987) J Cell Biochem 35, 105-12.
- Dautry, F. et al. (1988) J Biol Chem 263, 17615-20.
- Möröy, T. et al. (1993) Proc Natl Acad Sci USA 90, 10734-8.
- Lilly, M. and Kraft, A. (1997) Cancer Res 57, 5348-55.
- Leverson, J.D. et al. (1998) Mol Cell 2, 417-25.
- Winn, L.M. et al. (2003) Cell Cycle 2, 258-62.
- Pasqualucci, L. et al. (2001) Nature 412, 341-6.
- Kim, O. et al. (2004) Oncogene 23, 1838-44.
- Aho, T.L. et al. (2004) FEBS Lett 571, 43-9.
- Yan, B. et al. (2003) J Biol Chem 278, 45358-67.
- Saris, C.J. et al. (1991) EMBO J 10, 655-64.
Alternate Names
Oncogene PIM1; PIM; pim-1 kinase 44 kDa isoform; pim-1 oncogene; pim-1 oncogene (proviral integration site 1); Pim-1 proto-oncogene, serine/threonine kinase; PIM1; Proto-oncogene serine/threonine-protein kinase pim-1; Serine/threonine-protein kinase pim-1
Limited Uses
Except as otherwise expressly agreed in a writing signed by a legally authorized representative of CST, the following terms apply to Products provided by CST, its affiliates or its distributors. Any Customer's terms and conditions that are in addition to, or different from, those contained herein, unless separately accepted in writing by a legally authorized representative of CST, are rejected and are of no force or effect.
Products are labeled with For Research Use Only or a similar labeling statement and have not been approved, cleared, or licensed by the FDA or other regulatory foreign or domestic entity, for any purpose. Customer shall not use any Product for any diagnostic or therapeutic purpose, or otherwise in any manner that conflicts with its labeling statement. Products sold or licensed by CST are provided for Customer as the end-user and solely for research and development uses. Any use of Product for diagnostic, prophylactic or therapeutic purposes, or any purchase of Product for resale (alone or as a component) or other commercial purpose, requires a separate license from CST. Customer shall (a) not sell, license, loan, donate or otherwise transfer or make available any Product to any third party, whether alone or in combination with other materials, or use the Products to manufacture any commercial products, (b) not copy, modify, reverse engineer, decompile, disassemble or otherwise attempt to discover the underlying structure or technology of the Products, or use the Products for the purpose of developing any products or services that would compete with CST products or services, (c) not alter or remove from the Products any trademarks, trade names, logos, patent or copyright notices or markings, (d) use the Products solely in accordance with CST Product Terms of Sale and any applicable documentation, and (e) comply with any license, terms of service or similar agreement with respect to any third party products or services used by Customer in connection with the Products.