Revision 4

#66310

Store at -20C

CST Logo
Orders:

877-616-CELL (2355)

[email protected]

Support:

877-678-TECH (8324)

3 Trask Lane | Danvers | Massachusetts | 01923 | USA

For Research Use Only. Not for Use in Diagnostic Procedures.

Applications:
W, IP, eCLIP

Reactivity:
H M R Mk

Sensitivity:
Endogenous

MW (kDa):
120

Source/Isotype:
Rabbit IgG

UniProt ID:
#Q9Y4E8

Entrez-Gene Id:
9958

Product Usage Information

Application Dilution
Western Blotting 1:1000
Immunoprecipitation 1:200
eCLIP 1:200
For more information about the RBP-eCLIP service please visit Eclipsebio.

Storage

Supplied in 10 mM sodium HEPES (pH 7.5), 150 mM NaCl, 100 µg/ml BSA, 50% glycerol and less than 0.02% sodium azide. Store at –20°C. Do not aliquot the antibody.

Specificity/Sensitivity

USP15 (D1K6S) Rabbit Monoclonal Antibody recognizes endogenous levels of total USP15 protein. This antibody does not cross-react with either USP4 or USP11 proteins.

Species predicted to react based on 100% sequence homology

Dog, Pig

Source / Purification

Monoclonal antibody is produced by immunizing animals with a synthetic peptide corresponding to residues near the carboxy terminus of human USP15 protein.

Background

Protein ubiquitination and deubiquitination are reversible processes catalyzed by ubiquitinating enzymes (UBEs) and deubiquitinating enzymes (DUBs), respectively (1,2). DUBs are categorized into five subfamilies based on catalytic domain structure: USP, UCH, OTU, MJD, and JAMM. Ubiquitin carboxyl-terminal hydrolase 15 (USP15) is a USP subfamily deubiquitinating enzyme with similar domain structure to the paralogous DUBs, USP4, and USP11. The USP15 gene is amplified in glioblastoma and other solid tumors and its high expression correlates with a poor prognosis (3,4). Research studies demonstrate that USP15 is a positive regulator of oncogenic TGF-β signaling and that USP15 deubiquitinates monoubiquitinated R-SMADs to enhance target gene promoter binding (5). USP15 also promotes oncogenic TGF-β signaling by opposing SMURF2-mediated ubiquitination of the type I TGF-β receptor, which facilitates receptor stabilization (3,4). USP15 contributes to oncogenesis by negatively regulating T cell-mediated antitumor responses through the deubiquitination and stabilization of the E3 ubiquitin ligase MDM2. This observation supports USP15 as a potential target for cancer therapeutics (6).

Species Reactivity

Species reactivity is determined by testing in at least one approved application (e.g., western blot).

Western Blot Buffer

IMPORTANT: For western blots, incubate membrane with diluted primary antibody in 5% w/v BSA, 1X TBS, 0.1% Tween® 20 at 4°C with gentle shaking, overnight.

Applications Key

W: Western Blotting IP: Immunoprecipitation eCLIP: eCLIP

Cross-Reactivity Key

H: Human M: Mouse R: Rat Mk: Monkey

Trademarks and Patents

Cell Signaling Technology is a trademark of Cell Signaling Technology, Inc.

All other trademarks are the property of their respective owners. Visit cellsignal.com/trademarks for more information.

Limited Uses

Except as otherwise expressly agreed in a writing signed by a legally authorized representative of CST, the following terms apply to Products provided by CST, its affiliates or its distributors. Any Customer's terms and conditions that are in addition to, or different from, those contained herein, unless separately accepted in writing by a legally authorized representative of CST, are rejected and are of no force or effect.

Products are labeled with For Research Use Only or a similar labeling statement and have not been approved, cleared, or licensed by the FDA or other regulatory foreign or domestic entity, for any purpose. Customer shall not use any Product for any diagnostic or therapeutic purpose, or otherwise in any manner that conflicts with its labeling statement. Products sold or licensed by CST are provided for Customer as the end-user and solely for research and development uses. Any use of Product for diagnostic, prophylactic or therapeutic purposes, or any purchase of Product for resale (alone or as a component) or other commercial purpose, requires a separate license from CST. Customer shall (a) not sell, license, loan, donate or otherwise transfer or make available any Product to any third party, whether alone or in combination with other materials, or use the Products to manufacture any commercial products, (b) not copy, modify, reverse engineer, decompile, disassemble or otherwise attempt to discover the underlying structure or technology of the Products, or use the Products for the purpose of developing any products or services that would compete with CST products or services, (c) not alter or remove from the Products any trademarks, trade names, logos, patent or copyright notices or markings, (d) use the Products solely in accordance with CST Product Terms of Sale and any applicable documentation, and (e) comply with any license, terms of service or similar agreement with respect to any third party products or services used by Customer in connection with the Products.

Orders: 877-616-CELL (2355) [email protected] Support: 877-678-TECH (8324) [email protected] Web: cellsignal.com
For Research Use Only. Not for Use in Diagnostic Procedures.

Revision 4

Cell Signaling Technology Logo
Western blot analysis of extracts from various cell lines using USP15 (D1K6S) Rabbit mAb.
Western Blotting Image 1: USP15 (D1K6S) Rabbit Monoclonal Antibody
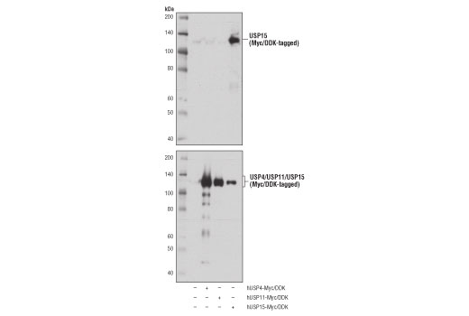
Western blot analysis of extracts from 293T cells, mock transfected (-) or transfected with constructs expressing Myc/DDK-tagged full-length human USP4 protein (hUSP4-Myc/DDK; +), Myc/DDK-tagged full-length USP11 protein (hUSP11-Myc/DDK; +), and Myc/DDK-tagged full-length human USP15 protein (hUSP15-Myc/DDK; +), using USP15 (D1K6S) Rabbit mAb (upper) and DYKDDDDK Tag Antibody #2368 (lower).
Western Blotting Image 2: USP15 (D1K6S) Rabbit Monoclonal Antibody
Immunoprecipitation of USP15 from 293T cell extracts. Lane 1 is 10% input, lane 2 is Rabbit (DA1E) mAb XP® Isotype Control #3900, and lane 3 is USP15 (D1K6S) Rabbit mAb. Western blot analysis was performed using USP15 (D1K6S) Rabbit mAb.
Immunoprecipitation Image 1: USP15 (D1K6S) Rabbit Monoclonal Antibody
Orders: 877-616-CELL (2355) [email protected] Support: 877-678-TECH (8324) [email protected] Web: cellsignal.com
For Research Use Only. Not for Use in Diagnostic Procedures.

Revision 4

Cell Signaling Technology Logo
Enhanced cross-linking and immunoprecipitation (eCLIP) was performed with RNA from K-562 cells and USP15 (D1K6S) Rabbit mAb using a protocol based on the RBP-eCLIP Kit from EclipseBio. The figure shows binding across the NSUN6 transcript. Data is kindly provided by the laboratory of Dr. Gene Yeo and used with permission.
eCLIP Image 1: USP15 (D1K6S) Rabbit Monoclonal Antibody
Orders: 877-616-CELL (2355) [email protected] Support: 877-678-TECH (8324) [email protected] Web: cellsignal.com
For Research Use Only. Not for Use in Diagnostic Procedures.