Cell Signaling Technology Logo - Extra Large
Trial Size Available Flag
Recombinant Flag
Recombinant: Superior lot-to-lot consistency, continuous supply, and animal-free manufacturing.

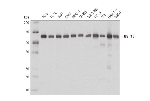
USP15 (D1K6S) Rabbit Monoclonal Antibody #66310

Filter:
  • WB
  • IP
  • eCLIP

    Product Specifications

    REACTIVITY H M R Mk
    SENSITIVITY Endogenous
    MW (kDa) 120
    Source/Isotype Rabbit IgG
    Application Key:
    • WB-Western Blotting 
    • IP-Immunoprecipitation 
    • eCLIP-eCLIP 
    Species Cross-Reactivity Key:
    • H-Human 
    • M-Mouse 
    • R-Rat 
    • Mk-Monkey 

    Product Information

    Product Usage Information

    Application Dilution
    Western Blotting 1:1000
    Immunoprecipitation 1:200
    eCLIP 1:200
    For more information about the RBP-eCLIP service please visit Eclipsebio.

    Storage

    Supplied in 10 mM sodium HEPES (pH 7.5), 150 mM NaCl, 100 µg/ml BSA, 50% glycerol and less than 0.02% sodium azide. Store at –20°C. Do not aliquot the antibody.

    Protocol

    Specificity / Sensitivity

    USP15 (D1K6S) Rabbit Monoclonal Antibody recognizes endogenous levels of total USP15 protein. This antibody does not cross-react with either USP4 or USP11 proteins.

    Species Reactivity:

    Human, Mouse, Rat, Monkey

    The antigen sequence used to produce this antibody shares 100% sequence homology with the species listed here, but reactivity has not been tested or confirmed to work by CST. Use of this product with these species is not covered under our Product Performance Guarantee.

    Species predicted to react based on 100% sequence homology:

    Dog, Pig

    Source / Purification

    Monoclonal antibody is produced by immunizing animals with a synthetic peptide corresponding to residues near the carboxy terminus of human USP15 protein.

    Background

    Protein ubiquitination and deubiquitination are reversible processes catalyzed by ubiquitinating enzymes (UBEs) and deubiquitinating enzymes (DUBs), respectively (1,2). DUBs are categorized into five subfamilies based on catalytic domain structure: USP, UCH, OTU, MJD, and JAMM. Ubiquitin carboxyl-terminal hydrolase 15 (USP15) is a USP subfamily deubiquitinating enzyme with similar domain structure to the paralogous DUBs, USP4, and USP11. The USP15 gene is amplified in glioblastoma and other solid tumors and its high expression correlates with a poor prognosis (3,4). Research studies demonstrate that USP15 is a positive regulator of oncogenic TGF-β signaling and that USP15 deubiquitinates monoubiquitinated R-SMADs to enhance target gene promoter binding (5). USP15 also promotes oncogenic TGF-β signaling by opposing SMURF2-mediated ubiquitination of the type I TGF-β receptor, which facilitates receptor stabilization (3,4). USP15 contributes to oncogenesis by negatively regulating T cell-mediated antitumor responses through the deubiquitination and stabilization of the E3 ubiquitin ligase MDM2. This observation supports USP15 as a potential target for cancer therapeutics (6).

    Alternate Names

    Deubiquitinating enzyme 15; KIAA0529; MGC131982; MGC149838; MGC74854; Ubiquitin carboxyl-terminal hydrolase 15; ubiquitin specific peptidase 15; ubiquitin specific protease 15; Ubiquitin thioesterase 15; ubiquitin thiolesterase 15; Ubiquitin-specific-processing protease 15; UBP15; Unph-2; Unph4; USP15

    For Research Use Only. Not for Use in Diagnostic Procedures.
    Cell Signaling Technology is a trademark of Cell Signaling Technology, Inc.
    All other trademarks are the property of their respective owners. Visit our Trademark Information page.