Revision 1

#67452

Store at -20C

CST Logo
Orders:

877-616-CELL (2355)

[email protected]

Support:

877-678-TECH (8324)

3 Trask Lane | Danvers | Massachusetts | 01923 | USA

For Research Use Only. Not for Use in Diagnostic Procedures.

Applications:
W, IHC-P

Reactivity:
H

Sensitivity:
Endogenous

MW (kDa):
54, 20

Source/Isotype:
Rabbit IgG

UniProt ID:
#P10619

Entrez-Gene Id:
5476

Product Usage Information

Application Dilution
Western Blotting 1:1000
Immunohistochemistry (Paraffin) 1:200 - 1:800

Storage

Supplied in 10 mM sodium HEPES (pH 7.5), 150 mM NaCl, 100 µg/mL BSA, 50% glycerol, and less than 0.02% sodium azide. Store at –20°C. Do not aliquot the antibody.

Specificity/Sensitivity

Cathepsin A (F8X9E) Rabbit Monoclonal Antibody recognizes endogenous levels of total cathepsin A protein. This antibody detects the full-length (inactive) cathepsin A precursor in addition to the processed (active) light chain. This antibody detects a 75 kDa protein of unknown identity in some cell lines by western blotting. Non-specific nuclear staining was observed in testis by immunohistochemistry.

Source / Purification

Monoclonal antibody is produced by immunizing animals with a synthetic peptide corresponding to residues near the carboxy terminus of human cathepsin A protein.

Background

Cathepsin A, also known as lysosomal protective protein for beta-galactosidase (PPGB), functions as both a serine protease and a critical enzyme for stabilizing β-galactosidase and neuraminidase (1,2). Similar to other cathepsin family members, cathepsin A is synthesized as an inactive 54 kDa precursor, then cleaved into catalytically active large (32 kDa) and small (20 kDa) subunits that form a disulfide-linked heterodimer after excision of a linker peptide (1-3). Cathepsin A degradation targets include endothelin (4), LAMP2 (5), and angiotensin I (6). CTSA gene mutations result in protein misfolding and lysosomal galactosialidosis, as neuraminidase and β-galactosidase activity depend on direct association with cathepsin A (7,8). Cathepsin A overexpression in heart causes excess degradation of superoxide dismutase (SOD), increasing oxidative stress, inflammation, and remodeling of the extracellular matrix (ECM) (9). High expression of cathepsin A has been reported and associated with metastasis in melanocytic tumors, colorectal cancer, hepatocellular carcinoma, and lung adenocarcinoma (10-13).

Species Reactivity

Species reactivity is determined by testing in at least one approved application (e.g., western blot).

Western Blot Buffer

IMPORTANT: For western blots, incubate membrane with diluted primary antibody in 5% w/v BSA, 1X TBS, 0.1% Tween® 20 at 4°C with gentle shaking, overnight.

Applications Key

W: Western Blotting IHC-P: Immunohistochemistry (Paraffin)

Cross-Reactivity Key

H: Human

Trademarks and Patents

Cell Signaling Technology is a trademark of Cell Signaling Technology, Inc.

All other trademarks are the property of their respective owners. Visit cellsignal.com/trademarks for more information.

Limited Uses

Except as otherwise expressly agreed in a writing signed by a legally authorized representative of CST, the following terms apply to Products provided by CST, its affiliates or its distributors. Any Customer's terms and conditions that are in addition to, or different from, those contained herein, unless separately accepted in writing by a legally authorized representative of CST, are rejected and are of no force or effect.

Products are labeled with For Research Use Only or a similar labeling statement and have not been approved, cleared, or licensed by the FDA or other regulatory foreign or domestic entity, for any purpose. Customer shall not use any Product for any diagnostic or therapeutic purpose, or otherwise in any manner that conflicts with its labeling statement. Products sold or licensed by CST are provided for Customer as the end-user and solely for research and development uses. Any use of Product for diagnostic, prophylactic or therapeutic purposes, or any purchase of Product for resale (alone or as a component) or other commercial purpose, requires a separate license from CST. Customer shall (a) not sell, license, loan, donate or otherwise transfer or make available any Product to any third party, whether alone or in combination with other materials, or use the Products to manufacture any commercial products, (b) not copy, modify, reverse engineer, decompile, disassemble or otherwise attempt to discover the underlying structure or technology of the Products, or use the Products for the purpose of developing any products or services that would compete with CST products or services, (c) not alter or remove from the Products any trademarks, trade names, logos, patent or copyright notices or markings, (d) use the Products solely in accordance with CST Product Terms of Sale and any applicable documentation, and (e) comply with any license, terms of service or similar agreement with respect to any third party products or services used by Customer in connection with the Products.

Orders: 877-616-CELL (2355) [email protected] Support: 877-678-TECH (8324) [email protected] Web: cellsignal.com
For Research Use Only. Not for Use in Diagnostic Procedures.

Revision 1

Cell Signaling Technology Logo
Western blot analysis of extracts from various human tissues using Cathepsin A (F8X9E) Rabbit mAb (upper) or GAPDH (D16H11) XP® Rabbit mAb #5174 (lower). Low expression of cathepsin A protein in human cerebellum tissue is consistent with the predicted expression pattern.
Western Blotting Image 1: Cathepsin A (F8X9E) Rabbit Monoclonal Antibody
Western blot analysis of extracts from 293T cells, mock transfected (-) or transfected with a construct expressing Myc/DDK-tagged full-length human cathepsin A (hCTSA-Myc/DDK; +), using Cathepsin A (F8X9E) Rabbit mAb (upper), Myc-Tag (71D10) Rabbit mAb #2278 (middle), or GAPDH (D16H11) XP® Rabbit mAb #5174 (lower).
Western Blotting Image 2: Cathepsin A (F8X9E) Rabbit Monoclonal Antibody
Western blot analysis of extracts from various cell lines using Cathepsin A (F8X9E) Rabbit mAb (upper) or GAPDH (D16H11) XP® Rabbit mAb #5174 (lower). Low expression of cathepsin A protein in SU-DHL-4 and REC-1 cells is consistent with the predicted expression pattern.
Western Blotting Image 3: Cathepsin A (F8X9E) Rabbit Monoclonal Antibody
Orders: 877-616-CELL (2355) [email protected] Support: 877-678-TECH (8324) [email protected] Web: cellsignal.com
For Research Use Only. Not for Use in Diagnostic Procedures.

Revision 1

Cell Signaling Technology Logo
Immunohistochemical analysis of paraffin-embedded human colon adenocarcinoma using Cathepsin A (F8X9E) Rabbit mAb.
Immunohistochemistry Image 1: Cathepsin A (F8X9E) Rabbit Monoclonal Antibody
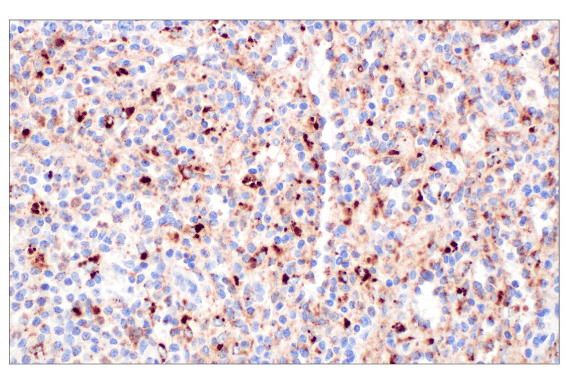
Immunohistochemical analysis of paraffin-embedded human carcinosarcoma of the thymus using Cathepsin A (F8X9E) Rabbit mAb.
Immunohistochemistry Image 2: Cathepsin A (F8X9E) Rabbit Monoclonal Antibody
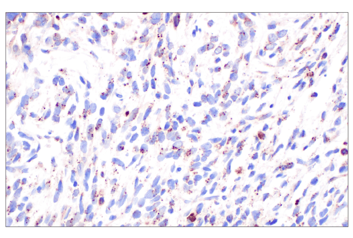
Immunohistochemical analysis of paraffin-embedded human squamous cell carcinoma of the skin using Cathepsin A (F8X9E) Rabbit mAb.
Immunohistochemistry Image 3: Cathepsin A (F8X9E) Rabbit Monoclonal Antibody
Orders: 877-616-CELL (2355) [email protected] Support: 877-678-TECH (8324) [email protected] Web: cellsignal.com
For Research Use Only. Not for Use in Diagnostic Procedures.

Revision 1

Cell Signaling Technology Logo
Immunohistochemical analysis of paraffin-embedded human tonsil using Cathepsin A (F8X9E) Rabbit mAb.
Immunohistochemistry Image 4: Cathepsin A (F8X9E) Rabbit Monoclonal Antibody
Immunohistochemical analysis of paraffin-embedded normal human kidney using Cathepsin A (F8X9E) Rabbit mAb.
Immunohistochemistry Image 5: Cathepsin A (F8X9E) Rabbit Monoclonal Antibody
Immunohistochemical analysis of paraffin-embedded normal human spleen using Cathepsin A (F8X9E) Rabbit mAb.
Immunohistochemistry Image 6: Cathepsin A (F8X9E) Rabbit Monoclonal Antibody
Orders: 877-616-CELL (2355) [email protected] Support: 877-678-TECH (8324) [email protected] Web: cellsignal.com
For Research Use Only. Not for Use in Diagnostic Procedures.

Revision 1

Cell Signaling Technology Logo
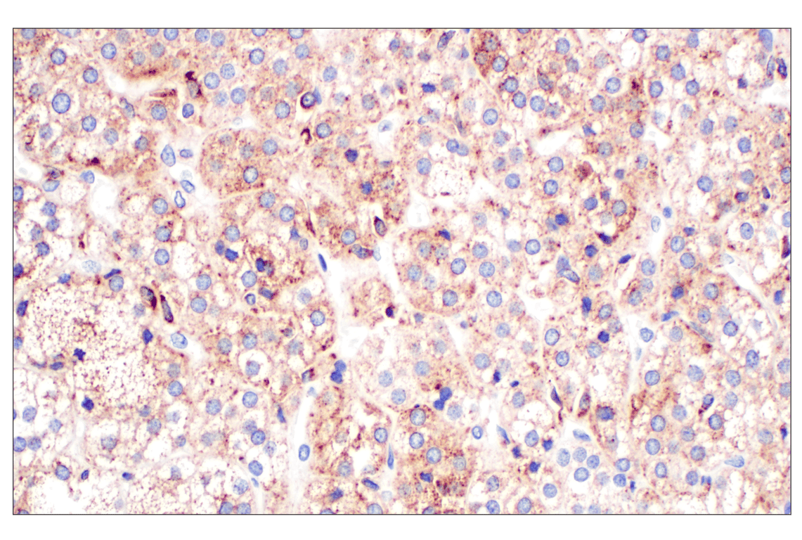
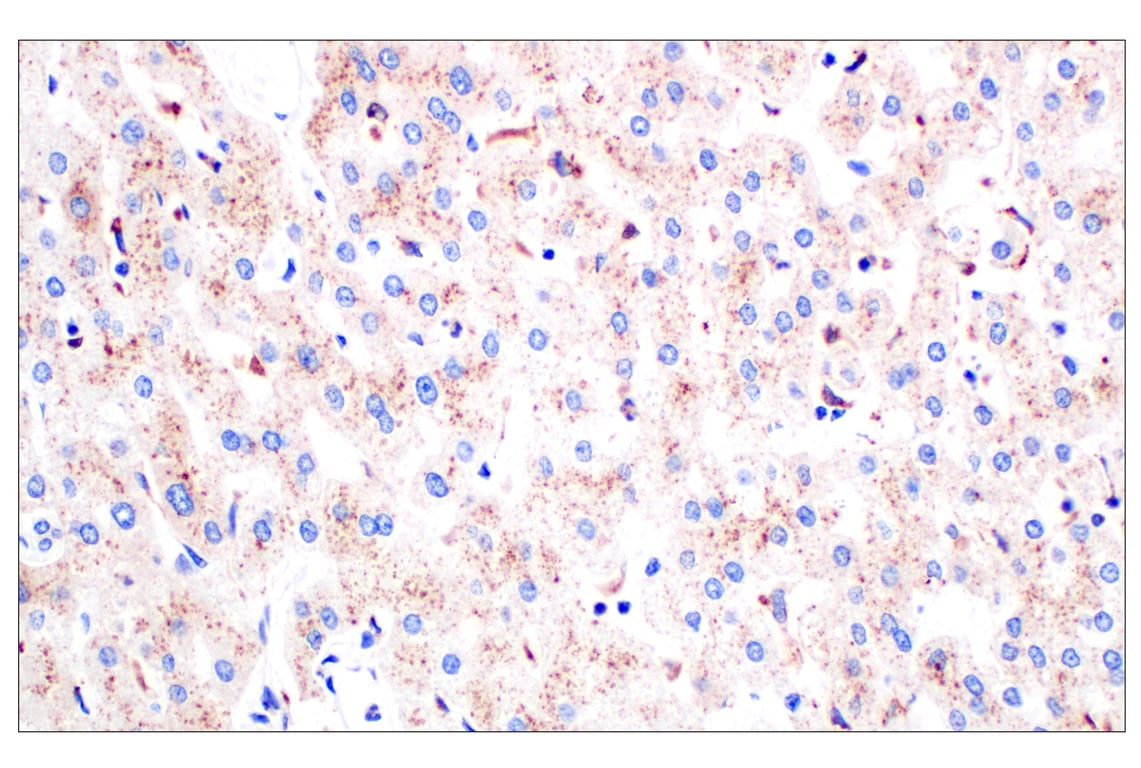
Immunohistochemical analysis of paraffin-embedded normal human liver using Cathepsin A (F8X9E) Rabbit mAb.
Immunohistochemistry Image 7: Cathepsin A (F8X9E) Rabbit Monoclonal Antibody
Immunohistochemical analysis of paraffin-embedded normal human placenta using Cathepsin A (F8X9E) Rabbit mAb.
Immunohistochemistry Image 8: Cathepsin A (F8X9E) Rabbit Monoclonal Antibody
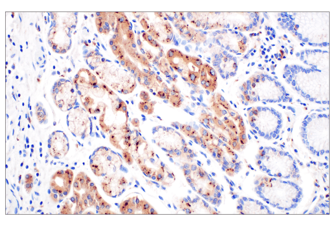
Immunohistochemical analysis of paraffin-embedded normal human stomach using Cathepsin A (F8X9E) Rabbit mAb.
Immunohistochemistry Image 9: Cathepsin A (F8X9E) Rabbit Monoclonal Antibody
Orders: 877-616-CELL (2355) [email protected] Support: 877-678-TECH (8324) [email protected] Web: cellsignal.com
For Research Use Only. Not for Use in Diagnostic Procedures.

Revision 1

Cell Signaling Technology Logo
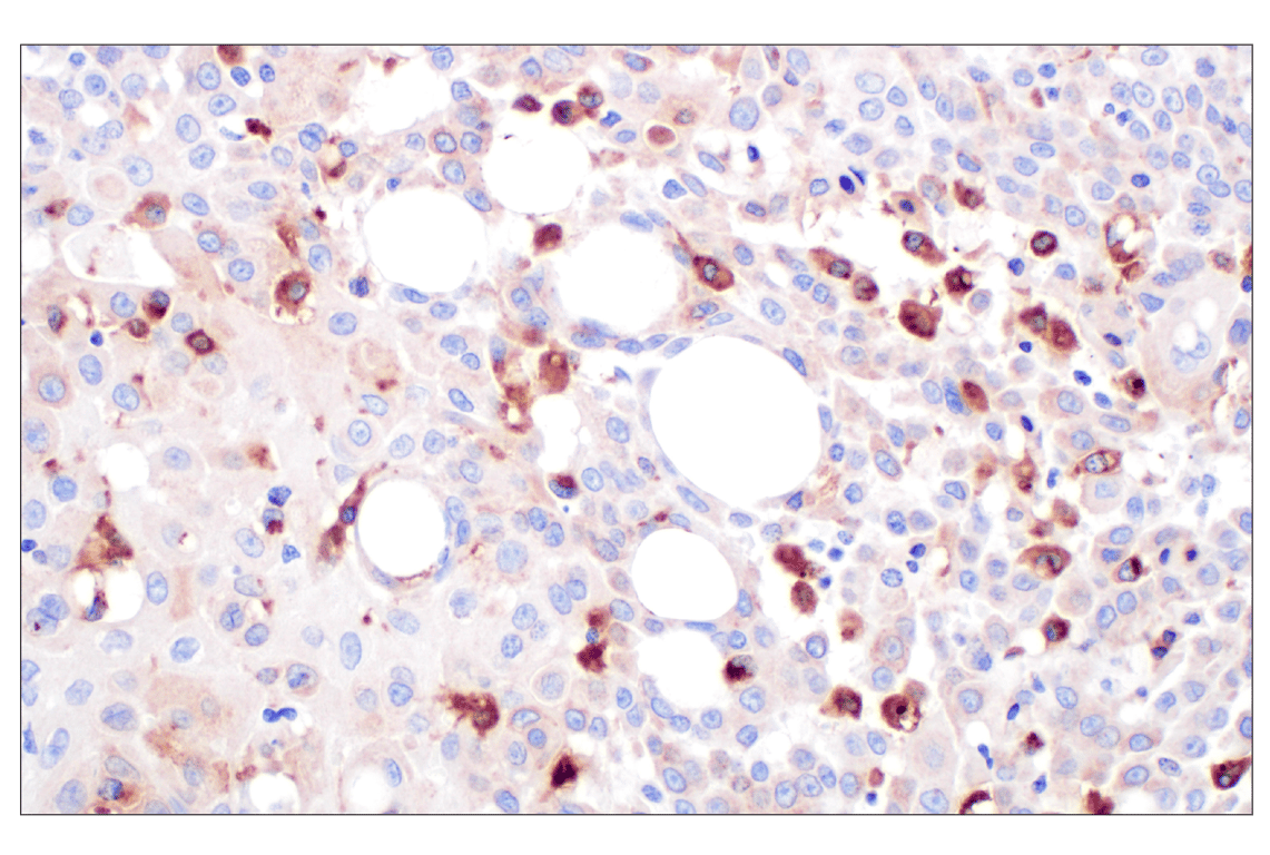
Immunohistochemical analysis of paraffin-embedded normal human adrenal gland using Cathepsin A (F8X9E) Rabbit mAb.
Immunohistochemistry Image 10: Cathepsin A (F8X9E) Rabbit Monoclonal Antibody
Immunohistochemical analysis of paraffin-embedded human colon adenocarcinoma using Cathepsin A (F8X9E) Rabbit mAb (left) compared to concentration-matched Rabbit (DA1E) mAb IgG XP® Isotype Control #3900 (right).
Immunohistochemistry Image 11: Cathepsin A (F8X9E) Rabbit Monoclonal Antibody
Immunohistochemical analysis of paraffin-embedded PANC-1 cell pellet (left, high-expressing) or NCI-H146 cell pellet (right, low-expressing) using Cathepsin A (F8X9E) Rabbit mAb.
Immunohistochemistry Image 12: Cathepsin A (F8X9E) Rabbit Monoclonal Antibody
Orders: 877-616-CELL (2355) [email protected] Support: 877-678-TECH (8324) [email protected] Web: cellsignal.com
For Research Use Only. Not for Use in Diagnostic Procedures.